JavaScript is disabled in your browser. Please enable JavaScript to view this website.
AB236951

Anti-ARFGEF2/BIG2 antibody

Be the first to review this product! Submit a review

|

(1 Publication)

Rabbit Polyclonal ARFGEF2/BIG2 antibody. Suitable for WB, IHC-P, ICC/IF and reacts with Mouse, Rat, Human samples. Cited in 1 publication. Immunogen corresponding to Recombinant Fragment Protein within Human ARFGEF2 aa 200-350.

View Alternative Names

ARFGEP2, BIG2, ARFGEF2, Brefeldin A-inhibited guanine nucleotide-exchange protein 2, Brefeldin A-inhibited GEP 2, ADP-ribosylation factor guanine nucleotide-exchange factor 2

4 Images
Immunocytochemistry/ Immunofluorescence - Anti-ARFGEF2/BIG2 antibody (AB236951)
  • ICC/IF

Supplier Data

Immunocytochemistry/ Immunofluorescence - Anti-ARFGEF2/BIG2 antibody (AB236951)

A549 (Human lung carcinoma cell line) cells stained for ARFGEF2/BIG2 using ab236951 at a dilution of 1/133 in ICC/IF.
The cells were fixed in 4% formaldehyde, permeabilized using 0.2% Triton X-100 and blocked in 10% normal goat serum. The cells were then incubated with the primary antibody overnight at 4°C. Secondary used is an Alexa-Fluor®488-conjugated Goat Anti-Rabbit IgG (H+L). COunterstained with DAPI (blue).

Immunohistochemistry (Formalin/PFA-fixed paraffin-embedded sections) - Anti-ARFGEF2/BIG2 antibody (AB236951)
  • IHC-P

Supplier Data

Immunohistochemistry (Formalin/PFA-fixed paraffin-embedded sections) - Anti-ARFGEF2/BIG2 antibody (AB236951)

Paraffin-embedded human breast cancer tissue stained for ARFGEF2/BIG2 with ab236951 at a 1/100 dilution in immunohistochemical analysis.

After dewaxing and hydration, antigen retrieval was mediated by high pressure in a citrate buffer (pH 6.0). Section was blocked with 10% normal goat serum for 30 minutes at RT. Then primary antibody (1% BSA) was incubated at 4°C overnight. The primary is detected by a biotinylated secondary antibody and visualized using an HRP conjugated SP system.

Immunohistochemistry (Formalin/PFA-fixed paraffin-embedded sections) - Anti-ARFGEF2/BIG2 antibody (AB236951)
  • IHC-P

Supplier Data

Immunohistochemistry (Formalin/PFA-fixed paraffin-embedded sections) - Anti-ARFGEF2/BIG2 antibody (AB236951)

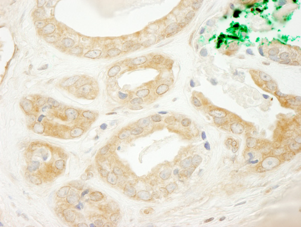
Paraffin-embedded human pancreatic cancer tissue stained for ARFGEF2/BIG with ab236951 at a 1/100 dilution in immunohistochemical analysis.

After dewaxing and hydration, antigen retrieval was mediated by high pressure in a citrate buffer (pH 6.0). Section was blocked with 10% normal goat serum for 30 minutes at RT. Then primary antibody (1% BSA) was incubated at 4°C overnight. The primary is detected by a biotinylated secondary antibody and visualized using an HRP conjugated SP system.

Western blot - Anti-ARFGEF2/BIG2 antibody (AB236951)
  • WB

Supplier Data

Western blot - Anti-ARFGEF2/BIG2 antibody (AB236951)

All lanes:

Western blot - Anti-ARFGEF2/BIG2 antibody (ab236951) at 3.2 µg/mL

Lane 1:

Rat heart tissue

Lane 2:

Mouse brain tissue

Lane 3:

Mouse liver tissue

Secondary

All lanes:

Goat polyclonal to rabbit IgG at 1/50000 dilution

Predicted band size: 202 kDa

false

Key facts

Host species

Rabbit

Clonality

Polyclonal

Isotype

IgG

Carrier free

No

Reacts with

Mouse, Rat, Human

Applications

WB, ICC/IF, IHC-P

applications

Immunogen

Recombinant Fragment Protein within Human ARFGEF2 aa 200-350. The exact immunogen used to generate this antibody is proprietary information.

Q9Y6D5

Reactivity data

{ "title": "Reactivity Data", "filters": { "stats": ["", "Species", "Dilution Info", "Notes"], "tabs": { "all-applications": {"fullname" : "All Applications", "shortname": "All Applications"}, "WB" : {"fullname" : "Western blot", "shortname":"WB"}, "IHCP" : {"fullname" : "Immunohistochemistry (Formalin/PFA-fixed paraffin-embedded sections)", "shortname":"IHC-P"}, "ICCIF" : {"fullname" : "Immunocytochemistry/ Immunofluorescence", "shortname":"ICC/IF"} }, "product-promise": { "all": "all", "testedAndGuaranteed": "tested", "guaranteed": "expected", "predicted": "predicted", "notRecommended": "not-recommended" } }, "values": { "Human": { "WB-species-checked": "guaranteed", "WB-species-dilution-info": "", "WB-species-notes": "", "IHCP-species-checked": "testedAndGuaranteed", "IHCP-species-dilution-info": "1/20 - 1/200", "IHCP-species-notes": "<p></p>", "ICCIF-species-checked": "testedAndGuaranteed", "ICCIF-species-dilution-info": "1/50 - 1/200", "ICCIF-species-notes": "<p></p>" }, "Mouse": { "WB-species-checked": "testedAndGuaranteed", "WB-species-dilution-info": "3.2 µg/mL", "WB-species-notes": "<p></p>", "IHCP-species-checked": "guaranteed", "IHCP-species-dilution-info": "", "IHCP-species-notes": "", "ICCIF-species-checked": "guaranteed", "ICCIF-species-dilution-info": "", "ICCIF-species-notes": "" }, "Rat": { "WB-species-checked": "testedAndGuaranteed", "WB-species-dilution-info": "3.2 µg/mL", "WB-species-notes": "<p></p>", "IHCP-species-checked": "guaranteed", "IHCP-species-dilution-info": "", "IHCP-species-notes": "", "ICCIF-species-checked": "guaranteed", "ICCIF-species-dilution-info": "", "ICCIF-species-notes": "" } } }

Properties and storage information

Form
Liquid
Purification technique
Affinity purification Protein G
Purification notes
Purity >95%
Storage buffer
pH: 7.4 Preservative: 0.03% Proclin 300 Constituents: PBS, 50% Glycerol (glycerin, glycerine)
Shipped at conditions
Blue Ice
Appropriate short-term storage duration
1-2 weeks
Appropriate short-term storage conditions
+4°C
Appropriate long-term storage conditions
-20°C
Aliquoting information
Upon delivery aliquot
Storage information
Avoid freeze / thaw cycle

Supplementary information

This supplementary information is collated from multiple sources and compiled automatically.

ARFGEF2 also known as BIG2 is a guanine nucleotide exchange factor (GEF) that regulates the activation of ADP-ribosylation factors (ARFs). This protein helps in the exchange of GDP to GTP on ARFs which is essential for the function of various cellular processes involving membrane trafficking. ARFGEF2 has a molecular mass of approximately 206 kDa. It is predominantly expressed in the brain particularly in the neurons but also shows expression in other tissues including heart and kidney.
Biological function summary

ARFGEF2/BIG2 is important in maintaining proper Golgi apparatus function and vesicle trafficking. It forms part of various complexes related to vesicle formation and transport within the neuron and other cells. Through its activity ARFGEF2 influences the organization of the Golgi and modulates protein sorting and export. Consequently this protein plays an important role in neural development and cell signaling.

Pathways

ARFGEF2/BIG2 participates actively in the secretory pathway and is a significant player in the trafficking of vesicles from the Golgi apparatus. The protein works closely with ARF proteins facilitating vesicle budding and cargo sorting. Additionally ARFGEF2 interacts with coat protein complex I (COPI) highlighting its role in retrograde transport from the Golgi to the endoplasmic reticulum. It also functions in concert with regulators of membrane curvature to enable proper vesicle formation.

ARFGEF2/BIG2 is linked to the condition known as periventricular heterotopia with microcephaly (PHM) a disorder affecting brain development. Mutations in this protein lead to problems in vesicular trafficking and neuronal migration. Furthermore the improper function of ARFGEF2 can impact the RhoA signaling pathway connected to schizophrenia where RhoA proteins are important linked elements. Defective or altered ARFGEF2 may result in compromised neural structures and predispose individuals to such neurological conditions.

Product protocols

For this product, it's our understanding that no specific protocols are required. You can visit:

Target data

Promotes guanine-nucleotide exchange on ARF1 and ARF3 and to a lower extent on ARF5 and ARF6. Promotes the activation of ARF1/ARF5/ARF6 through replacement of GDP with GTP. Involved in the regulation of Golgi vesicular transport. Required for the integrity of the endosomal compartment. Involved in trafficking from the trans-Golgi network (TGN) to endosomes and is required for membrane association of the AP-1 complex and GGA1. Seems to be involved in recycling of the transferrin receptor from recycling endosomes to the plasma membrane. Probably is involved in the exit of GABA(A) receptors from the endoplasmic reticulum. Involved in constitutive release of tumor necrosis factor receptor 1 via exosome-like vesicles; the function seems to involve PKA and specifically PRKAR2B. Proposed to act as A kinase-anchoring protein (AKAP) and may mediate crosstalk between Arf and PKA pathways.
See full target information ARFGEF2

Publications (1)

Recent publications for all applications. Explore the full list and refine your search

Communications biology 4:1370 PubMed34876695

2021

Tankyrase-1-mediated degradation of Golgin45 regulates glycosyltransferase trafficking and protein glycosylation in Rab2-GTP-dependent manner.

Applications

Unspecified application

Species

Unspecified reactive species

Xihua Yue,Neeraj Tiwari,Lianhui Zhu,Hai Dang Truong Ngo,Jae-Min Lim,Bopil Gim,Shuaiyang Jing,Yijing Wang,Yi Qian,Intaek Lee
View all publications

Product promise

We are committed to supporting your work with high-quality reagents, and we're here for you every step of the way. In the unlikely event that one of our products does not perform as expected, you're protected by our Product Promise.
For full details, please see our Terms & Conditions

Please note: All products are 'FOR RESEARCH USE ONLY. NOT FOR USE IN DIAGNOSTIC OR THERAPEUTIC PROCEDURES'.

For licensing inquiries, please contact partnerships@abcam.com