JavaScript is disabled in your browser. Please enable JavaScript to view this website.
AB264066

Anti-Arg2 antibody [EPR22626-38]

5

(1 Review)

|

(8 Publications)

Rabbit Recombinant Monoclonal Arg2 antibody. Suitable for IP, WB, IHC-Fr, IHC-P and reacts with Mouse, Rat, Human samples. Cited in 8 publications.

View Alternative Names

Arginase II, Kidney-type arginase, Non-hepatic arginase, Type II arginase, ARG2

10 Images
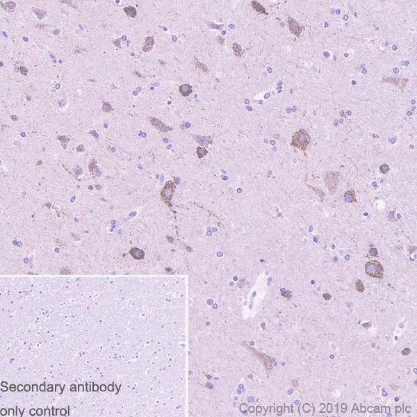
Immunohistochemistry (Formalin/PFA-fixed paraffin-embedded sections) - Anti-Arg2 antibody [EPR22626-38] (AB264066)
  • IHC-P

Unknown

Immunohistochemistry (Formalin/PFA-fixed paraffin-embedded sections) - Anti-Arg2 antibody [EPR22626-38] (AB264066)

Immunohistochemical analysis of paraffin-embedded Human cerebrum tissue labeling Arg2/AGS with ab264066 at 1/500 dilution (1.134 ug/ml) followed by a ready to use Rabbit specific IHC polymer detection kit HRP/DAB (ab209101). Positive staining on tubules in human cerebrum. The section was incubated with ab264066 for 15 mins at room temperature. The immunostaining staining was performed on a Leica Biosystems BOND® RX instrument. Counterstained with Hematoxylin.

Secondary antibody only control/ Secondary antibody is a ready to use Rabbit specific IHC polymer detection kit HRP/DAB (ab209101).

Heat mediated antigen retrieval with Tris-EDTA buffer (pH 9.0, epitope retrieval solution 2) for 20 mins.

Immunohistochemistry (Formalin/PFA-fixed paraffin-embedded sections) - Anti-Arg2 antibody [EPR22626-38] (AB264066)
  • IHC-P

Unknown

Immunohistochemistry (Formalin/PFA-fixed paraffin-embedded sections) - Anti-Arg2 antibody [EPR22626-38] (AB264066)

Immunohistochemical analysis of paraffin-embedded Mouse small intestine tissue labeling Arg2/AGS with ab264066 at 1/500 dilution (1.134 ug/ml) followed by a ready to use Rabbit specific IHC polymer detection kit HRP/DAB (ab209101). Positive staining in the mouse small intestine. The section was incubated with ab264066 for 15 mins at room temperature. The immunostaining staining was performed on a Leica Biosystems BOND® RX instrument. Counterstained with Hematoxylin.

Secondary antibody only control/ Secondary antibody is a ready to use Rabbit specific IHC polymer detection kit HRP/DAB (ab209101).

Heat mediated antigen retrieval with Tris-EDTA buffer (pH 9.0, epitope retrieval solution 2) for 20 mins.

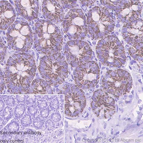
Immunohistochemistry (Formalin/PFA-fixed paraffin-embedded sections) - Anti-Arg2 antibody [EPR22626-38] (AB264066)
  • IHC-P

Unknown

Immunohistochemistry (Formalin/PFA-fixed paraffin-embedded sections) - Anti-Arg2 antibody [EPR22626-38] (AB264066)

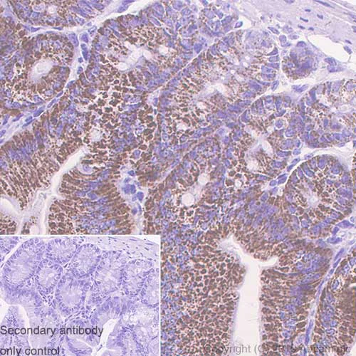
Immunohistochemical analysis of paraffin-embedded Rat colon tissue labeling Arg2/AGS with ab264066 at 1/500 dilution (1.134 ug/ml) followed by a ready to use Rabbit specific IHC polymer detection kit HRP/DAB (ab209101). Positive staining in the rat colon. The section was incubated with ab264066 for 15 mins at room temperature. The immunostaining staining was performed on a Leica Biosystems BOND® RX instrument. Counterstained with Hematoxylin.

Secondary antibody only control/ Secondary antibody is a ready to use Rabbit specific IHC polymer detection kit HRP/DAB (ab209101).

Heat mediated antigen retrieval with Tris-EDTA buffer (pH 9.0, epitope retrieval solution 2) for 20 mins.

Immunohistochemistry (Formalin/PFA-fixed paraffin-embedded sections) - Anti-Arg2 antibody [EPR22626-38] (AB264066)
  • IHC-P

Unknown

Immunohistochemistry (Formalin/PFA-fixed paraffin-embedded sections) - Anti-Arg2 antibody [EPR22626-38] (AB264066)

Immunohistochemical analysis of paraffin-embedded Rat kidney tissue labeling Arg2/AGS with ab264066 at 1/500 dilution (1.134 ug/ml) followed by a ready to use Rabbit specific IHC polymer detection kit HRP/DAB (ab209101). Positive staining on tubules in the rat kidney. The section was incubated with ab264066 for 15 mins at room temperature. The immunostaining staining was performed on a Leica Biosystems BOND® RX instrument. Counterstained with Hematoxylin.

Secondary antibody only control/ Secondary antibody is a ready to use Rabbit specific IHC polymer detection kit HRP/DAB (ab209101).

Heat mediated antigen retrieval with Tris-EDTA buffer (pH 9.0, epitope retrieval solution 2) for 20 mins.

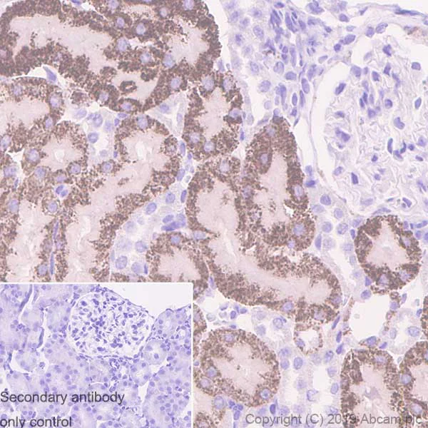
Immunohistochemistry (Formalin/PFA-fixed paraffin-embedded sections) - Anti-Arg2 antibody [EPR22626-38] (AB264066)
  • IHC-P

Unknown

Immunohistochemistry (Formalin/PFA-fixed paraffin-embedded sections) - Anti-Arg2 antibody [EPR22626-38] (AB264066)

Immunohistochemical analysis of paraffin-embedded Mouse kidney tissue labeling Arg2/AGS with ab264066 at 1/500 dilution (1.134 ug/ml) followed by a ready to use Rabbit specific IHC polymer detection kit HRP/DAB (ab209101). Positive staining on tubules in mouse kidney. The section was incubated with ab264066 for 15 mins at room temperature. The immunostaining staining was performed on a Leica Biosystems BOND® RX instrument. Counterstained with Hematoxylin.

Secondary antibody only control/ Secondary antibody is a ready to use Rabbit specific IHC polymer detection kit HRP/DAB (ab209101).

Heat mediated antigen retrieval with Tris-EDTA buffer (pH 9.0, epitope retrieval solution 2) for 20 mins.

Immunohistochemistry (Frozen sections) - Anti-Arg2 antibody [EPR22626-38] (AB264066)
  • IHC-Fr

Unknown

Immunohistochemistry (Frozen sections) - Anti-Arg2 antibody [EPR22626-38] (AB264066)

Immunohistochemical analysis of frozen section of 4% paraformaldehyde-fixed, 0.2% Triton X-100 permeabilized mouse small intestine tissue labeling Arg2 with ab264066 at 1/500 dilution, followed by ab150077 AlexaFluor®488 Goat anti-Rabbit secondary at 1/1000 dilution (Green). Positive staining on mouse small intestine (PMID : 26895666) is observed. The nuclear counter stain is DAPI (Blue).
Secondary antibody only control : Used PBS instead of primary antibody, secondary antibody is ab150077 AlexaFluor®488 Goat anti-Rabbit secondary at 1/1000 dilution.

Heat mediated antigen retrieval using sodium citrate buffer (10mM citrate pH 6.0 + 0.05% Tween-20).

Immunoprecipitation - Anti-Arg2 antibody [EPR22626-38] (AB264066)
  • IP

Unknown

Immunoprecipitation - Anti-Arg2 antibody [EPR22626-38] (AB264066)

Arg2/AGS was immunoprecipitated from 0.35 mg Mouse kidney lysate with ab264066 at 1/30 dilution (2ug in 0.35mg lysates). Western blot was performed on the immunoprecipitate using ab264066 at 1/1000 dilution. VeriBlot for IP Detection Reagent (HRP) (ab131366) was used at 1/5000 dilution.

Lane 1 : Mouse kidney lysate 10ug

Lane 2 : ab264066 IP in Mouse kidney lysate

Lane 3 : Rabbit monoclonal IgG (ab172730) instead of ab264066 in Mouse kidney lysate

Blocking and dilution buffer and concentration : 5% NFDM/TBST.

Exposure time : 3 min

All lanes:

Immunoprecipitation - Anti-Arg2 antibody [EPR22626-38] (ab264066)

Predicted band size: 39 kDa

Observed band size: 39 kDa

false

Western blot - Anti-Arg2 antibody [EPR22626-38] (AB264066)
  • WB

Unknown

Western blot - Anti-Arg2 antibody [EPR22626-38] (AB264066)

Blocking and dilution buffer : 5% NFDM/TBST.

Exposure time : 3 minutes.

Negative control : liver (PMID : 21975054).

All lanes:

Western blot - Anti-Arg2 antibody [EPR22626-38] (ab264066) at 1/1000 dilution

Lane 1:

Mouse kidney tissue lysate at 20 µg

Lane 2:

Mouse liver tissue lysate at 20 µg

Lane 3:

Human kidney tissue lysate at 20 µg

Lane 4:

Human liver tissue lysate at 20 µg

Secondary

Lanes 1 - 2:

Western blot - Goat Anti-Rabbit IgG H&L (HRP) (<a href='/en-us/products/secondary-antibodies/goat-rabbit-igg-h-l-hrp-ab97051'>ab97051</a>) at 1/100000 dilution

Lanes 3 - 4:

Western blot - Goat Anti-Rabbit IgG H&L (HRP) (<a href='/en-us/products/secondary-antibodies/goat-rabbit-igg-h-l-hrp-ab97051'>ab97051</a>) at 1/50000 dilution

Predicted band size: 39 kDa

Observed band size: 39 kDa

false

Western blot - Anti-Arg2 antibody [EPR22626-38] (AB264066)
  • WB

Unknown

Western blot - Anti-Arg2 antibody [EPR22626-38] (AB264066)

Blocking and dilution buffer : 5% NFDM/TBST.

Exposure time : 3 minutes.

All lanes:

Western blot - Anti-Arg2 antibody [EPR22626-38] (ab264066) at 1/1000 dilution

Lane 1:

Rat kidney tissue lysate at 20 µg

Lane 2:

Rat small intestine tissue lysate at 20 µg

Lane 3:

Mouse small intestine tissue lysate at 10 µg

Secondary

All lanes:

Western blot - Goat Anti-Rabbit IgG H&L (HRP) (<a href='/en-us/products/secondary-antibodies/goat-rabbit-igg-h-l-hrp-ab97051'>ab97051</a>) at 1/100000 dilution

Predicted band size: 39 kDa

Observed band size: 39 kDa

false

Western blot - Anti-Arg2 antibody [EPR22626-38] (AB264066)
  • WB

Unknown

Western blot - Anti-Arg2 antibody [EPR22626-38] (AB264066)

Blocking/Dilution buffer : 5% NFDM/TBST.

All lanes:

Western blot - Anti-Arg2 antibody [EPR22626-38] (ab264066) at 1/1000 dilution

Lane 1:

GST tagged Recombinant Human ARG1 protein (full-length, aa 1 to 322) (61 KDa)

Lane 2:

GST tagged Recombinant Human ARG2 protein (full-length, aa 1 to 354) (65 KDa)

Secondary

All lanes:

Western blot - Goat Anti-Rabbit IgG H&L (HRP) (<a href='/en-us/products/secondary-antibodies/goat-rabbit-igg-h-l-hrp-ab97051'>ab97051</a>) at 1/20000 dilution

Predicted band size: 39 kDa

Observed band size: 65 kDa

false

Exposure time: 20s

Key facts

Host species

Rabbit

Clonality

Monoclonal

Clone number

EPR22626-38

Isotype

IgG

Carrier free

No

Reacts with

Mouse, Rat, Human

Applications

IHC-Fr, IP, WB, IHC-P

applications

Immunogen

The exact immunogen used to generate this antibody is proprietary information.

Reactivity data

{ "title": "Reactivity Data", "filters": { "stats": ["", "Species", "Dilution Info", "Notes"], "tabs": { "all-applications": {"fullname" : "All Applications", "shortname": "All Applications"}, "IP" : {"fullname" : "Immunoprecipitation", "shortname":"IP"}, "WB" : {"fullname" : "Western blot", "shortname":"WB"}, "IHCFr" : {"fullname" : "Immunohistochemistry (Frozen sections)", "shortname":"IHC-Fr"}, "IHCP" : {"fullname" : "Immunohistochemistry (Formalin/PFA-fixed paraffin-embedded sections)", "shortname":"IHC-P"} }, "product-promise": { "all": "all", "testedAndGuaranteed": "tested", "guaranteed": "expected", "predicted": "predicted", "notRecommended": "not-recommended" } }, "values": { "Human": { "IP-species-checked": "guaranteed", "IP-species-dilution-info": "", "IP-species-notes": "", "WB-species-checked": "testedAndGuaranteed", "WB-species-dilution-info": "1/1000", "WB-species-notes": "<p></p>", "IHCFr-species-checked": "guaranteed", "IHCFr-species-dilution-info": "", "IHCFr-species-notes": "", "IHCP-species-checked": "testedAndGuaranteed", "IHCP-species-dilution-info": "1/500", "IHCP-species-notes": "<p></p>" }, "Mouse": { "IP-species-checked": "testedAndGuaranteed", "IP-species-dilution-info": "1/30", "IP-species-notes": "<p></p>", "WB-species-checked": "testedAndGuaranteed", "WB-species-dilution-info": "1/1000", "WB-species-notes": "<p></p>", "IHCFr-species-checked": "testedAndGuaranteed", "IHCFr-species-dilution-info": "1/500", "IHCFr-species-notes": "<p>Heat mediated antigen retrieval using sodium citrate buffer (10mM citrate pH 6.0 + 0.05% Tween-20).</p>", "IHCP-species-checked": "testedAndGuaranteed", "IHCP-species-dilution-info": "1/500", "IHCP-species-notes": "<p></p>" }, "Rat": { "IP-species-checked": "guaranteed", "IP-species-dilution-info": "", "IP-species-notes": "", "WB-species-checked": "testedAndGuaranteed", "WB-species-dilution-info": "1/1000", "WB-species-notes": "<p></p>", "IHCFr-species-checked": "guaranteed", "IHCFr-species-dilution-info": "", "IHCFr-species-notes": "", "IHCP-species-checked": "testedAndGuaranteed", "IHCP-species-dilution-info": "1/500", "IHCP-species-notes": "<p></p>" } } }

Product details

Patented technology
Our RabMAb® technology is a patented hybridoma-based technology for making rabbit monoclonal antibodies. For details on our patents, please refer to RabMAb® patents.

What are the advantages of a recombinant monoclonal antibody?
This product is a recombinant monoclonal antibody, which offers several advantages including:

  • - High batch-to-batch consistency and reproducibility
  • - Improved sensitivity and specificity
  • - Long-term security of supply
  • - Animal-free batch production

For more information, read more on recombinant antibodies.

Properties and storage information

Form
Liquid
Purification technique
Affinity purification Protein A
Storage buffer
pH: 7.2 - 7.4 Preservative: 0.01% Sodium azide Constituents: PBS, 40% Glycerol (glycerin, glycerine), 0.05% BSA
Shipped at conditions
Blue Ice
Appropriate short-term storage duration
1-2 weeks
Appropriate short-term storage conditions
+4°C
Appropriate long-term storage conditions
-20°C
Aliquoting information
Upon delivery aliquot
Storage information
Avoid freeze / thaw cycle

Supplementary information

This supplementary information is collated from multiple sources and compiled automatically.

Arginase 2 (Arg2) also known as AII is an enzyme with a molecular weight of approximately 39 kDa. It is part of the urea cycle and functions to hydrolyze L-arginine into L-ornithine and urea. Arg2 is a mitochondrial enzyme mainly expressed in the liver kidney and prostate. Its expression can extend to other tissues such as the small intestine in some conditions and its activity is important in regulating arginine availability for various physiological processes.
Biological function summary

Arg2 plays a role in nitrogen disposal and polyamine synthesis. As part of an enzymatic complex it contributes to the urea cycle which is important for the removal of excess nitrogen from the body. Arginase activity also influences the balance of nitric oxide synthesis as it competes with nitric oxide synthase for their common substrate L-arginine. This competition affects cellular functions which rely on nitric oxide signaling for developing proper vascular and immune responses.

Pathways

Arg2 is an important player in the urea cycle and the polyamine synthesis pathway. It works alongside the enzymes involved in these processes such as ornithine decarboxylase. Additionally Arg2 has a role in the nitric oxide regulation pathway modulating nitric oxide levels by limiting the availability of L-arginine for nitric oxide synthase. This makes Arg2 essential for metabolic processes and cellular communication.

Altered Arg2 expression has been associated with cardiovascular diseases and renal complications. For instance disruptions in Arg2 function can lead to endothelial dysfunction influencing conditions like atherosclerosis. Arg2 imbalances are also linked to kidney diseases possibly due to its critical role in ammonia detoxification and renal arginine metabolism. Its interaction with other proteins such as nitric oxide synthase further emphasizes its relevance in these health conditions.

Product protocols

For this product, it's our understanding that no specific protocols are required. You can visit:

Target data

May play a role in the regulation of extra-urea cycle arginine metabolism and also in down-regulation of nitric oxide synthesis. Extrahepatic arginase functions to regulate L-arginine bioavailability to nitric oxid synthase (NOS). Arginine metabolism is a critical regulator of innate and adaptive immune responses. Seems to be involved in negative regulation of the survival capacity of activated CD4(+) and CD8(+) T cells (PubMed : 27745970). May suppress inflammation-related signaling in asthmatic airway epithelium (PubMed : 27214549). May contribute to the immune evasion of H.pylori by restricting M1 macrophage activation and polyamine metabolism (By similarity). In fetal dendritic cells may play a role in promoting immune suppression and T cell TNF-alpha production during gestation (PubMed : 28614294). Regulates RPS6KB1 signaling, which promotes endothelial cell senescence and inflammation and implicates NOS3/eNOS dysfunction (PubMed : 22928666). Can inhibit endothelial autophagy independently of its enzymatic activity implicating mTORC2 signaling (PubMed : 25484082). Involved in vascular smooth muscle cell senescence and apoptosis independently of its enzymatic activity (PubMed : 23832324). Since NOS is found in the penile corpus cavernosum smooth muscle, the clitoral corpus cavernosum and the vagina, arginase-2 plays a role in both male and female sexual arousal (PubMed : 12859189).
See full target information ARG2

Publications (8)

Recent publications for all applications. Explore the full list and refine your search

Journal of experimental & clinical cancer research : CR 44:257 PubMed40877908

2025

TRAP1 expression elicits pro-tumoral functions in macrophages associated to malignant peripheral nerve sheath tumor cells.

Applications

Unspecified application

Species

Unspecified reactive species

Francesca Scantamburlo,Alessia Rubini,Margherita Toffanin,Maria Egle Castorina,Francesco Ciscato,Sofia Tomasoni,Paolo Finotti,Ranieri Verin,Valentina Zappulli,Marco Fantuz,Camilla Bean,Andrea Rasola,Ionica Masgras

Journal of pharmaceutical analysis 15:101181 PubMed40337128

2025

A novel exploration of 's role in regulating myeloid-derived suppressor cell activation within the colon cancer microenvironment.

Applications

Unspecified application

Species

Unspecified reactive species

Wei Niu,Xiaxia Du,Yang Song,Lianyi Guo,Baohai Liu,Xin Tong

Advanced science (Weinheim, Baden-Wurttemberg, Germany) 11:e2408598 PubMed39303165

2024

Blockade of CCR5 T Cell Accumulation in the Tumor Microenvironment Optimizes Anti-TGF-β/PD-L1 Bispecific Antibody.

Applications

Unspecified application

Species

Unspecified reactive species

Ming Yi,Tianye Li,Mengke Niu,Yuze Wu,Bin Zhao,Zhuoyang Shen,Shengtao Hu,Chaomei Zhang,Xiaojun Zhang,Jing Zhang,Yongxiang Yan,Pengfei Zhou,Qian Chu,Zhijun Dai,Kongming Wu

eLife 13: PubMed39235443

2024

Circular RNA sponges to aggravate type 2 diabetes-induced vascular endothelial dysfunction.

Applications

Unspecified application

Species

Unspecified reactive species

Ming Zhang,Guangyi Du,Lianghua Xie,Yang Xu,Wei Chen

Science advances 10:eadi1782 PubMed38630819

2024

RIPK3 deficiency blocks R-2-hydroxyglutarate-induced necroptosis in IDH-mutated AML cells.

Applications

Unspecified application

Species

Unspecified reactive species

Shuanghong Zhu,Yingwan Luo,Kongfei Li,Chen Mei,Yuxia Wang,Lingxu Jiang,Wei Wang,Qi Zhang,Wenli Yang,Wei Lang,Xinping Zhou,Lu Wang,Yanling Ren,Liya Ma,Li Ye,Xin Huang,Jianjun Chen,Jie Sun,Hongyan Tong

Nutrition & metabolism 20:17 PubMed36998018

2023

Untargeted metabolomic analysis of ischemic injury in human umbilical vein endothelial cells reveals the involvement of arginine metabolism.

Applications

Unspecified application

Species

Unspecified reactive species

Ruihao Wu,Jiayin Zhong,Lei Song,Min Zhang,Lulu Chen,Li Zhang,Zhaohui Qiu

ESMO open 7:100636 PubMed36423363

2022

Characterisation of the immune microenvironment of primary breast cancer and brain metastasis reveals depleted T-cell response associated to ARG2 expression.

Applications

Unspecified application

Species

Unspecified reactive species

A Giannoudis,D Varešlija,V Sharma,R Zakaria,A Platt-Higgins,P S Rudland,M D Jenkinson,L S Young,C Palmieri

Regenerative biomaterials 9:rbac023 PubMed35529048

2022

Antioxidant-enriched autologous biogel promoted diabetic wound healing by remodeling inherent posttraumatic inflammatory patterning and restoring compromised microenvironment homeostasis.

Applications

Unspecified application

Species

Unspecified reactive species

Yixi Yang,Le Wang,Yonglin Zhou,Yijun He,Shaozhang Lin,Yuwei Zeng,Yunhe Zhou,Wei Li,Zaopeng He,Qi Zhao,Lihao Chen,Zijie Li,Wenhao Wang,Zhi-Yong Zhang
View all publications

Product promise

We are committed to supporting your work with high-quality reagents, and we're here for you every step of the way. In the unlikely event that one of our products does not perform as expected, you're protected by our Product Promise.
For full details, please see our Terms & Conditions

Please note: All products are 'FOR RESEARCH USE ONLY. NOT FOR USE IN DIAGNOSTIC OR THERAPEUTIC PROCEDURES'.

For licensing inquiries, please contact partnerships@abcam.com