JavaScript is disabled in your browser. Please enable JavaScript to view this website.
AB264071

Anti-Arg2 antibody [EPR22626-38] - BSA and Azide free

Be the first to review this product! Submit a review

|

(0 Publication)

Rabbit Recombinant Monoclonal Arg2 antibody. Carrier free. Suitable for IP, WB, IHC-Fr, IHC-P and reacts with Mouse, Rat, Human samples.

View Alternative Names

Arginase II, Kidney-type arginase, Non-hepatic arginase, Type II arginase, ARG2

7 Images
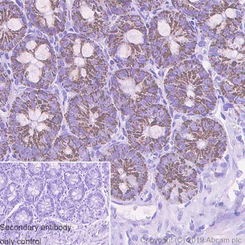
Immunohistochemistry (Formalin/PFA-fixed paraffin-embedded sections) - Anti-Arg2 antibody [EPR22626-38] - BSA and Azide free (AB264071)
  • IHC-P

Unknown

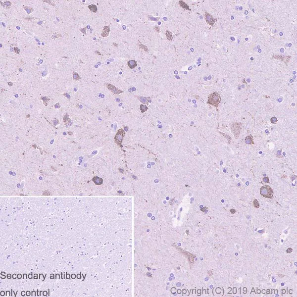
Immunohistochemistry (Formalin/PFA-fixed paraffin-embedded sections) - Anti-Arg2 antibody [EPR22626-38] - BSA and Azide free (AB264071)

Immunohistochemical analysis of paraffin-embedded Human cerebrum tissue labeling Arg2/AGS with ab264066 at 1/500 dilution (1.134 ug/ml) followed by a ready to use Rabbit specific IHC polymer detection kit HRP/DAB (ab209101). Positive staining on tubules in human cerebrum. The section was incubated with ab264066 for 15 mins at room temperature. The immunostaining staining was performed on a Leica Biosystems BOND® RX instrument. Counterstained with Hematoxylin.

Secondary antibody only control/ Secondary antibody is a ready to use Rabbit specific IHC polymer detection kit HRP/DAB (ab209101).

Heat mediated antigen retrieval with Tris-EDTA buffer (pH 9.0, epitope retrieval solution 2) for 20 mins.

This data was developed using the same antibody clone in a different buffer formulation containing PBS, BSA, glycerol, and sodium azide (ab264066).

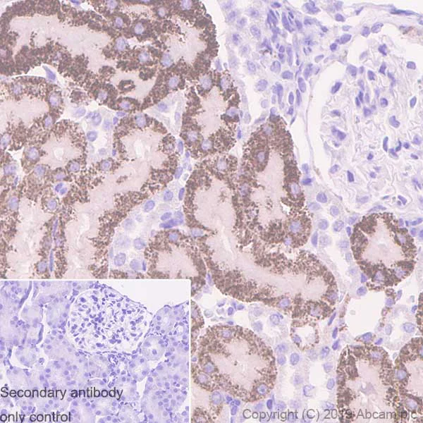
Immunohistochemistry (Formalin/PFA-fixed paraffin-embedded sections) - Anti-Arg2 antibody [EPR22626-38] - BSA and Azide free (AB264071)
  • IHC-P

Unknown

Immunohistochemistry (Formalin/PFA-fixed paraffin-embedded sections) - Anti-Arg2 antibody [EPR22626-38] - BSA and Azide free (AB264071)

Immunohistochemical analysis of paraffin-embedded Mouse kidney tissue labeling Arg2/AGS with ab264066 at 1/500 dilution (1.134 ug/ml) followed by a ready to use Rabbit specific IHC polymer detection kit HRP/DAB (ab209101). Positive staining on tubules in mouse kidney. The section was incubated with ab264066 for 15 mins at room temperature. The immunostaining staining was performed on a Leica Biosystems BOND® RX instrument. Counterstained with Hematoxylin.

Secondary antibody only control/ Secondary antibody is a ready to use Rabbit specific IHC polymer detection kit HRP/DAB (ab209101).

Heat mediated antigen retrieval with Tris-EDTA buffer (pH 9.0, epitope retrieval solution 2) for 20 mins.

This data was developed using the same antibody clone in a different buffer formulation containing PBS, BSA, glycerol, and sodium azide (ab264066).

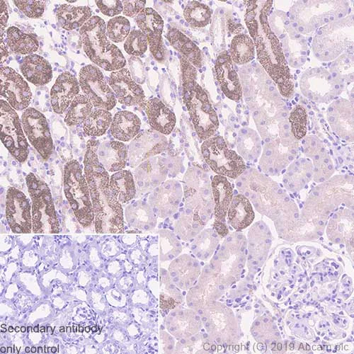
Immunohistochemistry (Formalin/PFA-fixed paraffin-embedded sections) - Anti-Arg2 antibody [EPR22626-38] - BSA and Azide free (AB264071)
  • IHC-P

Unknown

Immunohistochemistry (Formalin/PFA-fixed paraffin-embedded sections) - Anti-Arg2 antibody [EPR22626-38] - BSA and Azide free (AB264071)

Immunohistochemical analysis of paraffin-embedded Rat kidney tissue labeling Arg2/AGS with ab264066 at 1/500 dilution (1.134 ug/ml) followed by a ready to use Rabbit specific IHC polymer detection kit HRP/DAB (ab209101). Positive staining on tubules in the rat kidney. The section was incubated with ab264066 for 15 mins at room temperature. The immunostaining staining was performed on a Leica Biosystems BOND® RX instrument. Counterstained with Hematoxylin.

Secondary antibody only control/ Secondary antibody is a ready to use Rabbit specific IHC polymer detection kit HRP/DAB (ab209101).

Heat mediated antigen retrieval with Tris-EDTA buffer (pH 9.0, epitope retrieval solution 2) for 20 mins.

This data was developed using the same antibody clone in a different buffer formulation containing PBS, BSA, glycerol, and sodium azide (ab264066).

Immunohistochemistry (Formalin/PFA-fixed paraffin-embedded sections) - Anti-Arg2 antibody [EPR22626-38] - BSA and Azide free (AB264071)
  • IHC-P

Unknown

Immunohistochemistry (Formalin/PFA-fixed paraffin-embedded sections) - Anti-Arg2 antibody [EPR22626-38] - BSA and Azide free (AB264071)

Immunohistochemical analysis of paraffin-embedded Mouse small intestine tissue labeling Arg2/AGS with ab264066 at 1/500 dilution (1.134 ug/ml) followed by a ready to use Rabbit specific IHC polymer detection kit HRP/DAB (ab209101). Positive staining in the mouse small intestine. The section was incubated with ab264066 for 15 mins at room temperature. The immunostaining staining was performed on a Leica Biosystems BOND® RX instrument. Counterstained with Hematoxylin.

Secondary antibody only control/ Secondary antibody is a ready to use Rabbit specific IHC polymer detection kit HRP/DAB (ab209101).

Heat mediated antigen retrieval with Tris-EDTA buffer (pH 9.0, epitope retrieval solution 2) for 20 mins.

This data was developed using the same antibody clone in a different buffer formulation containing PBS, BSA, glycerol, and sodium azide (ab264066).

Immunohistochemistry (Frozen sections) - Anti-Arg2 antibody [EPR22626-38] - BSA and Azide free (AB264071)
  • IHC-Fr

Unknown

Immunohistochemistry (Frozen sections) - Anti-Arg2 antibody [EPR22626-38] - BSA and Azide free (AB264071)

Immunohistochemical analysis of frozen section of 4% oaraformaldehyde-fixed, 0.2% Triton X-100 permeabilized mouse small intestine tissue labeling Arg2 with ab264066 at 1/500 dilution, followed by ab150077 AlexaFluor®488 Goat anti-Rabbit secondary at 1/1000 dilution (Green). Positive staining on mouse small intestine (PMID : 26895666) is observed. The nuclear counter stain is DAPI (Blue).
Secondary antibody only control : Used PBS instead of primary antibody, secondary antibody is ab150077 AlexaFluor®488 Goat anti-Rabbit secondary at 1/1000 dilution.

Heat mediated antigen retrieval using sodium citrate buffer (10mM citrate pH 6.0 + 0.05% Tween-20).

This data was developed using the same antibody clone in a different buffer formulation containing PBS, BSA, glycerol, and sodium azide (ab264066).

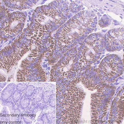
Immunohistochemistry (Formalin/PFA-fixed paraffin-embedded sections) - Anti-Arg2 antibody [EPR22626-38] - BSA and Azide free (AB264071)
  • IHC-P

Unknown

Immunohistochemistry (Formalin/PFA-fixed paraffin-embedded sections) - Anti-Arg2 antibody [EPR22626-38] - BSA and Azide free (AB264071)

Immunohistochemical analysis of paraffin-embedded Rat colon tissue labeling Arg2/AGS with ab264066 at 1/500 dilution (1.134 ug/ml) followed by a ready to use Rabbit specific IHC polymer detection kit HRP/DAB (ab209101). Positive staining in the rat colon. The section was incubated with ab264066 for 15 mins at room temperature. The immunostaining staining was performed on a Leica Biosystems BOND® RX instrument. Counterstained with Hematoxylin.

Secondary antibody only control/ Secondary antibody is a ready to use Rabbit specific IHC polymer detection kit HRP/DAB (ab209101).

Heat mediated antigen retrieval with Tris-EDTA buffer (pH 9.0, epitope retrieval solution 2) for 20 mins.

This data was developed using the same antibody clone in a different buffer formulation containing PBS, BSA, glycerol, and sodium azide (ab264066).

Immunoprecipitation - Anti-Arg2 antibody [EPR22626-38] - BSA and Azide free (AB264071)
  • IP

Unknown

Immunoprecipitation - Anti-Arg2 antibody [EPR22626-38] - BSA and Azide free (AB264071)

Arg2/AGS was immunoprecipitated from 0.35 mg Mouse kidney lysate with ab264066 at 1/30 dilution (2ug in 0.35mg lysates). Western blot was performed on the immunoprecipitate using ab264066 at 1/1000 dilution. VeriBlot for IP Detection Reagent (HRP) (ab131366) was used at 1/5000 dilution.

Lane 1 : Mouse kidney lysate 10ug

Lane 2 : ab264066 IP in Mouse kidney lysate

Lane 3 : Rabbit monoclonal IgG (ab172730) instead of ab264066 in Mouse kidney lysate

Blocking and dilution buffer and concentration : 5% NFDM/TBST.

Exposure time : 3 min

This data was developed using the same antibody clone in a different buffer formulation containing PBS, BSA, glycerol, and sodium azide (ab264066).

All lanes:

Immunoprecipitation - Anti-Arg2 antibody [EPR22626-38] (<a href='/en-us/products/primary-antibodies/arg2-antibody-epr22626-38-ab264066'>ab264066</a>)

Predicted band size: 39 kDa

Observed band size: 39 kDa

false

Key facts

Host species

Rabbit

Clonality

Monoclonal

Clone number

EPR22626-38

Isotype

IgG

Carrier free

Yes

Reacts with

Mouse, Rat, Human

Applications

WB, IHC-Fr, IHC-P, IP

applications

Immunogen

The exact immunogen used to generate this antibody is proprietary information.

Reactivity data

{ "title": "Reactivity Data", "filters": { "stats": ["", "Species", "Dilution Info", "Notes"], "tabs": { "all-applications": {"fullname" : "All Applications", "shortname": "All Applications"}, "IP" : {"fullname" : "Immunoprecipitation", "shortname":"IP"}, "WB" : {"fullname" : "Western blot", "shortname":"WB"}, "IHCFr" : {"fullname" : "Immunohistochemistry (Frozen sections)", "shortname":"IHC-Fr"}, "IHCP" : {"fullname" : "Immunohistochemistry (Formalin/PFA-fixed paraffin-embedded sections)", "shortname":"IHC-P"} }, "product-promise": { "all": "all", "testedAndGuaranteed": "tested", "guaranteed": "expected", "predicted": "predicted", "notRecommended": "not-recommended" } }, "values": { "Human": { "IP-species-checked": "guaranteed", "IP-species-dilution-info": "", "IP-species-notes": "", "WB-species-checked": "testedAndGuaranteed", "WB-species-dilution-info": "", "WB-species-notes": "<p></p>", "IHCFr-species-checked": "guaranteed", "IHCFr-species-dilution-info": "", "IHCFr-species-notes": "", "IHCP-species-checked": "testedAndGuaranteed", "IHCP-species-dilution-info": "", "IHCP-species-notes": "<p></p>" }, "Mouse": { "IP-species-checked": "testedAndGuaranteed", "IP-species-dilution-info": "", "IP-species-notes": "<p></p>", "WB-species-checked": "testedAndGuaranteed", "WB-species-dilution-info": "", "WB-species-notes": "<p></p>", "IHCFr-species-checked": "testedAndGuaranteed", "IHCFr-species-dilution-info": "", "IHCFr-species-notes": "<p>Heat mediated antigen retrieval using sodium citrate buffer (10mM citrate pH 6.0 + 0.05% Tween-20).</p>", "IHCP-species-checked": "testedAndGuaranteed", "IHCP-species-dilution-info": "", "IHCP-species-notes": "<p></p>" }, "Rat": { "IP-species-checked": "guaranteed", "IP-species-dilution-info": "", "IP-species-notes": "", "WB-species-checked": "testedAndGuaranteed", "WB-species-dilution-info": "", "WB-species-notes": "<p></p>", "IHCFr-species-checked": "guaranteed", "IHCFr-species-dilution-info": "", "IHCFr-species-notes": "", "IHCP-species-checked": "testedAndGuaranteed", "IHCP-species-dilution-info": "", "IHCP-species-notes": "<p></p>" } } }

Product details

ab264071 is the carrier-free version of ab264066.

Patented technology
Our RabMAb® technology is a patented hybridoma-based technology for making rabbit monoclonal antibodies. For details on our patents, please refer to RabMAb® patents.

What are the advantages of a recombinant monoclonal antibody?
This product is a recombinant monoclonal antibody, which offers several advantages including:

  • - High batch-to-batch consistency and reproducibility
  • - Improved sensitivity and specificity
  • - Long-term security of supply
  • - Animal-free batch production

For more information, read more on recombinant antibodies.

Conjugation ready
Our carrier-free antibodies are typically supplied in a PBS-only formulation, purified and free of BSA, sodium azide and glycerol. This conjugation-ready format is designed for use with fluorochromes, metal isotopes, oligonucleotides, and enzymes, which makes them ideal for antibody labelling, functional and cell-based assays, flow-based assays (e.g. mass cytometry) and Multiplex Imaging applications.

Use our conjugation kits for antibody conjugates that are ready-to-use in as little as 20 minutes with 1 minute hands-on-time and 100% antibody recovery: available for fluorescent dyes, HRP, biotin and gold.

Compatibility
This product is compatible with the Maxpar® Antibody Labeling Kit from Fluidigm, without the need for antibody preparation. Maxpar® is a trademark of Fluidigm Canada Inc.

Properties and storage information

Form
Liquid
Purification technique
Affinity purification Protein A
Storage buffer
pH: 7.2 - 7.4 Constituents: PBS
Shipped at conditions
Blue Ice
Appropriate short-term storage conditions
+4°C
Appropriate long-term storage conditions
+4°C
Storage information
Do Not Freeze

Supplementary information

This supplementary information is collated from multiple sources and compiled automatically.

Arginase 2 (Arg2) also known as AII is an enzyme with a molecular weight of approximately 39 kDa. It is part of the urea cycle and functions to hydrolyze L-arginine into L-ornithine and urea. Arg2 is a mitochondrial enzyme mainly expressed in the liver kidney and prostate. Its expression can extend to other tissues such as the small intestine in some conditions and its activity is important in regulating arginine availability for various physiological processes.
Biological function summary

Arg2 plays a role in nitrogen disposal and polyamine synthesis. As part of an enzymatic complex it contributes to the urea cycle which is important for the removal of excess nitrogen from the body. Arginase activity also influences the balance of nitric oxide synthesis as it competes with nitric oxide synthase for their common substrate L-arginine. This competition affects cellular functions which rely on nitric oxide signaling for developing proper vascular and immune responses.

Pathways

Arg2 is an important player in the urea cycle and the polyamine synthesis pathway. It works alongside the enzymes involved in these processes such as ornithine decarboxylase. Additionally Arg2 has a role in the nitric oxide regulation pathway modulating nitric oxide levels by limiting the availability of L-arginine for nitric oxide synthase. This makes Arg2 essential for metabolic processes and cellular communication.

Altered Arg2 expression has been associated with cardiovascular diseases and renal complications. For instance disruptions in Arg2 function can lead to endothelial dysfunction influencing conditions like atherosclerosis. Arg2 imbalances are also linked to kidney diseases possibly due to its critical role in ammonia detoxification and renal arginine metabolism. Its interaction with other proteins such as nitric oxide synthase further emphasizes its relevance in these health conditions.

Product protocols

For this product, it's our understanding that no specific protocols are required. You can visit:

Target data

May play a role in the regulation of extra-urea cycle arginine metabolism and also in down-regulation of nitric oxide synthesis. Extrahepatic arginase functions to regulate L-arginine bioavailability to nitric oxid synthase (NOS). Arginine metabolism is a critical regulator of innate and adaptive immune responses. Seems to be involved in negative regulation of the survival capacity of activated CD4(+) and CD8(+) T cells (PubMed : 27745970). May suppress inflammation-related signaling in asthmatic airway epithelium (PubMed : 27214549). May contribute to the immune evasion of H.pylori by restricting M1 macrophage activation and polyamine metabolism (By similarity). In fetal dendritic cells may play a role in promoting immune suppression and T cell TNF-alpha production during gestation (PubMed : 28614294). Regulates RPS6KB1 signaling, which promotes endothelial cell senescence and inflammation and implicates NOS3/eNOS dysfunction (PubMed : 22928666). Can inhibit endothelial autophagy independently of its enzymatic activity implicating mTORC2 signaling (PubMed : 25484082). Involved in vascular smooth muscle cell senescence and apoptosis independently of its enzymatic activity (PubMed : 23832324). Since NOS is found in the penile corpus cavernosum smooth muscle, the clitoral corpus cavernosum and the vagina, arginase-2 plays a role in both male and female sexual arousal (PubMed : 12859189).
See full target information ARG2

Product promise

We are committed to supporting your work with high-quality reagents, and we're here for you every step of the way. In the unlikely event that one of our products does not perform as expected, you're protected by our Product Promise.
For full details, please see our Terms & Conditions

Please note: All products are 'FOR RESEARCH USE ONLY. NOT FOR USE IN DIAGNOSTIC OR THERAPEUTIC PROCEDURES'.

For licensing inquiries, please contact partnerships@abcam.com