JavaScript is disabled in your browser. Please enable JavaScript to view this website.
AB228963

Anti-Arg2 antibody [EPR22626-51]

Be the first to review this product! Submit a review

|

(1 Publication)

Rabbit Recombinant Monoclonal Arg2 antibody. Suitable for IP, WB, IHC-P and reacts with Rat, Mouse samples. Cited in 1 publication.

View Alternative Names

Arginase II, Kidney-type arginase, Non-hepatic arginase, Type II arginase, Arg2

5 Images
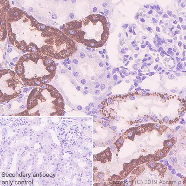
Immunohistochemistry (Formalin/PFA-fixed paraffin-embedded sections) - Anti-Arg2 antibody [EPR22626-51] (AB228963)
  • IHC-P

Unknown

Immunohistochemistry (Formalin/PFA-fixed paraffin-embedded sections) - Anti-Arg2 antibody [EPR22626-51] (AB228963)

Immunohistochemical analysis of paraffin-embedded rat kidney tissue labeling Arg2 with ab228963 at 1/500 dilution, followed by ready to use Rabbit specific IHC polymer detection kit HRP/DAB (ab209101). Positive staining on the tubules in the rat kidney (PMID : 8954792) is observed. The section was incubated with ab228963 for 30 mins at room temperature. The immunostaining was performed on a Leica Biosystems BOND® RX instrument. Counterstained with hematoxylin.

Secondary antibody only control : Used PBS instead of primary antibody, secondary antibody is ready to use Rabbit specific IHC polymer detection kit HRP/DAB (ab209101).

Heat mediated antigen retrieval with Tris-EDTA buffer (pH 9.0, epitope retrieval solution 2) for 20 mins.

Immunohistochemistry (Formalin/PFA-fixed paraffin-embedded sections) - Anti-Arg2 antibody [EPR22626-51] (AB228963)
  • IHC-P

Unknown

Immunohistochemistry (Formalin/PFA-fixed paraffin-embedded sections) - Anti-Arg2 antibody [EPR22626-51] (AB228963)

Immunohistochemical analysis of paraffin-embedded mouse small intestine tissue labeling Arg2 with ab228963 at 1/500 dilution, followed by ready to use Rabbit specific IHC polymer detection kit HRP/DAB (ab209101). Positive staining on the mouse small intestine (PMID : 19000307) is observed. The section was incubated with ab228963 for 30 mins at room temperature. The immunostaining was performed on a Leica Biosystems BOND® RX instrument. Counterstained with hematoxylin.

Secondary antibody only control : Used PBS instead of primary antibody, secondary antibody is ready to use Rabbit specific IHC polymer detection kit HRP/DAB (ab209101).

Heat mediated antigen retrieval with Tris-EDTA buffer (pH 9.0, epitope retrieval solution 2) for 20 mins.

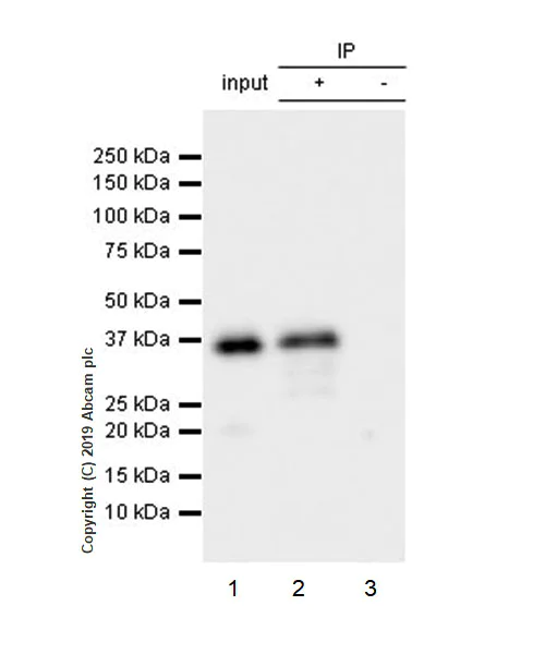
Immunoprecipitation - Anti-Arg2 antibody [EPR22626-51] (AB228963)
  • IP

Unknown

Immunoprecipitation - Anti-Arg2 antibody [EPR22626-51] (AB228963)

Arg2 was immunoprecipitated from 0.35 mg rat kidney lysate with ab228963 at 1/30 dilution. Western blot was performed from the immunoprecipitate using ab228963 at 1/500 dilution. VeriBlot for IP Detection Reagent (HRP) (ab131366), was used at 1/1000 dilution.

Lane 1 : Rat kidney lysate 10 μg (Input).
Lane 2 : ab228963 IP in rat kidney lysate.
Lane 3 : Rabbit monoclonal IgG (ab172730) instead of ab228963 in rat kidney lysate.

Blocking/Dilution buffer : 5% NFDM/TBST.
Exposure time : 5 seconds.

All lanes:

Immunoprecipitation - Anti-Arg2 antibody [EPR22626-51] (ab228963)

Predicted band size: 112 kDa,36 kDa,38 kDa,39 kDa,40 kDa

Observed band size: 39 kDa,48 kDa,50 kDa

false

Western blot - Anti-Arg2 antibody [EPR22626-51] (AB228963)
  • WB

Unknown

Western blot - Anti-Arg2 antibody [EPR22626-51] (AB228963)

Blocking/Dilution buffer : 5% NFDM/TBST.

All lanes:

Western blot - Anti-Arg2 antibody [EPR22626-51] (ab228963) at 1/1000 dilution

Lane 1:

Rat small intestine lysate at 20 µg

Lane 2:

Rat kidney lysate at 20 µg

Secondary

All lanes:

Western blot - Goat Anti-Rabbit IgG H&L (HRP) (<a href='/en-us/products/secondary-antibodies/goat-rabbit-igg-h-l-hrp-ab97051'>ab97051</a>) at 1/100000 dilution

Predicted band size: 39 kDa

Observed band size: 39 kDa

false

Exposure time: 3min

Western blot - Anti-Arg2 antibody [EPR22626-51] (AB228963)
  • WB

Unknown

Western blot - Anti-Arg2 antibody [EPR22626-51] (AB228963)

Negative control : Mouse liver (PMID : 21975054).

Blocking/Dilution buffer : 5% NFDM/TBST.

Exposure times : Lane 1 : 10 seconds; Lanes 2-3 : 3 minutes.

All lanes:

Western blot - Anti-Arg2 antibody [EPR22626-51] (ab228963) at 1/1000 dilution

Lane 1:

Mouse small intestine lysate at 20 µg

Lane 2:

Mouse kidney lysate at 20 µg

Lane 3:

Mouse liver lysate at 20 µg

Secondary

All lanes:

Western blot - Goat Anti-Rabbit IgG H&L (HRP) (<a href='/en-us/products/secondary-antibodies/goat-rabbit-igg-h-l-hrp-ab97051'>ab97051</a>) at 1/100000 dilution

Predicted band size: 39 kDa

Observed band size: 39 kDa

false

  • Carrier free

    Anti-Arg2 antibody [EPR22626-51] - BSA and Azide free

Key facts

Host species

Rabbit

Clonality

Monoclonal

Clone number

EPR22626-51

Isotype

IgG

Carrier free

No

Reacts with

Mouse, Rat

Applications

IHC-P, IP, WB

applications

Immunogen

The exact immunogen used to generate this antibody is proprietary information.

Reactivity data

{ "title": "Reactivity Data", "filters": { "stats": ["", "Species", "Dilution Info", "Notes"], "tabs": { "all-applications": {"fullname" : "All Applications", "shortname": "All Applications"}, "IP" : {"fullname" : "Immunoprecipitation", "shortname":"IP"}, "WB" : {"fullname" : "Western blot", "shortname":"WB"}, "IHCFr" : {"fullname" : "Immunohistochemistry (Frozen sections)", "shortname":"IHC-Fr"}, "IHCP" : {"fullname" : "Immunohistochemistry (Formalin/PFA-fixed paraffin-embedded sections)", "shortname":"IHC-P"} }, "product-promise": { "all": "all", "testedAndGuaranteed": "tested", "guaranteed": "expected", "predicted": "predicted", "notRecommended": "not-recommended" } }, "values": { "Mouse": { "IP-species-checked": "guaranteed", "IP-species-dilution-info": "", "IP-species-notes": "", "WB-species-checked": "testedAndGuaranteed", "WB-species-dilution-info": "1/1000", "WB-species-notes": "<p></p>", "IHCFr-species-checked": "notRecommended", "IHCFr-species-dilution-info": "", "IHCFr-species-notes": "<p></p>", "IHCP-species-checked": "testedAndGuaranteed", "IHCP-species-dilution-info": "1/500", "IHCP-species-notes": "<p></p>" }, "Rat": { "IP-species-checked": "testedAndGuaranteed", "IP-species-dilution-info": "1/30", "IP-species-notes": "<p></p>", "WB-species-checked": "testedAndGuaranteed", "WB-species-dilution-info": "1/1000", "WB-species-notes": "<p></p>", "IHCFr-species-checked": "notRecommended", "IHCFr-species-dilution-info": "", "IHCFr-species-notes": "<p></p>", "IHCP-species-checked": "testedAndGuaranteed", "IHCP-species-dilution-info": "1/500", "IHCP-species-notes": "<p></p>" } } }

Product details

Patented technology
Our RabMAb® technology is a patented hybridoma-based technology for making rabbit monoclonal antibodies. For details on our patents, please refer to RabMAb® patents.

What are the advantages of a recombinant monoclonal antibody?
This product is a recombinant monoclonal antibody, which offers several advantages including:

  • - High batch-to-batch consistency and reproducibility
  • - Improved sensitivity and specificity
  • - Long-term security of supply
  • - Animal-free batch production

For more information, read more on recombinant antibodies.

Properties and storage information

Form
Liquid
Purification technique
Affinity purification Protein A
Storage buffer
pH: 7.2 - 7.4 Preservative: 0.01% Sodium azide Constituents: PBS, 40% Glycerol (glycerin, glycerine), 0.05% BSA
Shipped at conditions
Blue Ice
Appropriate short-term storage duration
1-2 weeks
Appropriate short-term storage conditions
+4°C
Appropriate long-term storage conditions
-20°C
Aliquoting information
Upon delivery aliquot
Storage information
Avoid freeze / thaw cycle

Supplementary information

This supplementary information is collated from multiple sources and compiled automatically.

Arginase 2 (Arg2) also known as AII is an enzyme with a molecular weight of approximately 39 kDa. It is part of the urea cycle and functions to hydrolyze L-arginine into L-ornithine and urea. Arg2 is a mitochondrial enzyme mainly expressed in the liver kidney and prostate. Its expression can extend to other tissues such as the small intestine in some conditions and its activity is important in regulating arginine availability for various physiological processes.
Biological function summary

Arg2 plays a role in nitrogen disposal and polyamine synthesis. As part of an enzymatic complex it contributes to the urea cycle which is important for the removal of excess nitrogen from the body. Arginase activity also influences the balance of nitric oxide synthesis as it competes with nitric oxide synthase for their common substrate L-arginine. This competition affects cellular functions which rely on nitric oxide signaling for developing proper vascular and immune responses.

Pathways

Arg2 is an important player in the urea cycle and the polyamine synthesis pathway. It works alongside the enzymes involved in these processes such as ornithine decarboxylase. Additionally Arg2 has a role in the nitric oxide regulation pathway modulating nitric oxide levels by limiting the availability of L-arginine for nitric oxide synthase. This makes Arg2 essential for metabolic processes and cellular communication.

Altered Arg2 expression has been associated with cardiovascular diseases and renal complications. For instance disruptions in Arg2 function can lead to endothelial dysfunction influencing conditions like atherosclerosis. Arg2 imbalances are also linked to kidney diseases possibly due to its critical role in ammonia detoxification and renal arginine metabolism. Its interaction with other proteins such as nitric oxide synthase further emphasizes its relevance in these health conditions.

Product protocols

For this product, it's our understanding that no specific protocols are required. You can visit:

Target data

May play a role in the regulation of extra-urea cycle arginine metabolism and also in down-regulation of nitric oxide synthesis. Extrahepatic arginase functions to regulate L-arginine bioavailability to nitric oxid synthase (NOS). Arginine metabolism is a critical regulator of innate and adaptive immune responses. Seems to be involved in negative regulation of the survival capacity of activated CD4(+) and CD8(+) T cells (PubMed : 25009204, PubMed : 27745970). May suppress inflammation-related signaling in asthmatic airway epithelium (PubMed : 27214549). May contribute to the immune evasion of H.pylori by restricting M1 macrophage activation and polyamine metabolism (PubMed : 27074721). May play a role in promoting prenatal immune suppression (By similarity). Regulates RPS6KB1 signaling, which promotes endothelial cell senescence and inflammation and implicates NOS3/eNOS dysfunction (PubMed : 22928666). Can inhibit endothelial autophagy independently of its enzymatic activity implicating mTORC2 signaling (PubMed : 25484082). Involved in vascular smooth muscle cell senescence and apoptosis independently of its enzymatic activity (By similarity).
See full target information Arg2

Publications (1)

Recent publications for all applications. Explore the full list and refine your search

Cancer biology & therapy 23:1-8 PubMed36154909

2022

Targeting mitochondrial tyrosyl-tRNA synthetase YARS2 suppresses colorectal cancer progression.

Applications

Unspecified application

Species

Unspecified reactive species

Qingxia Fang,Jingyang Lin,Liang Gao,Ruolang Pan,Xiaochun Zheng
View all publications

Product promise

We are committed to supporting your work with high-quality reagents, and we're here for you every step of the way. In the unlikely event that one of our products does not perform as expected, you're protected by our Product Promise.
For full details, please see our Terms & Conditions

Please note: All products are 'FOR RESEARCH USE ONLY. NOT FOR USE IN DIAGNOSTIC OR THERAPEUTIC PROCEDURES'.

For licensing inquiries, please contact partnerships@abcam.com