JavaScript is disabled in your browser. Please enable JavaScript to view this website.
AB201025

Anti-Argininosuccinate Lyase antibody [EPR19382]

Be the first to review this product! Submit a review

|

(5 Publications)

Rabbit Recombinant Monoclonal Argininosuccinate Lyase antibody. Suitable for IP, WB and reacts with Human samples. Cited in 5 publications.

View Alternative Names

Argininosuccinate lyase, ASAL, Arginosuccinase, ASL

3 Images
Immunoprecipitation - Anti-Argininosuccinate Lyase antibody [EPR19382] (AB201025)
  • IP

Supplier Data

Immunoprecipitation - Anti-Argininosuccinate Lyase antibody [EPR19382] (AB201025)

Argininosuccinate Lyase was immunoprecipitated from 1mg of Human fetal liver whole cell lysate with ab201025 at 1/40 dilution.

Western blot was performed from the immunoprecipitate using ab201025 at 1/1000 dilution.

VeriBlot for IP Detection Reagent (HRP) (ab131366), was used for detection at 1/10000 dilution.

Lane 1 : Human fetal liver whole cell lysate, 10μg (Input).

Lane 2 : ab201025 IP in Human fetal liver whole cell lysate.

Lane 3 : Rabbit IgG,monoclonal-Isotype Control (ab172730) instead of ab201025 in Human fetal liver whole cell lysate.

Blocking and dilution buffer and concentration : 5% NFDM/TBST.

Exposure time : 5 seconds.

All lanes:

Immunoprecipitation - Anti-Argininosuccinate Lyase antibody [EPR19382] (ab201025)

Predicted band size: 52 kDa

false

Western blot - Anti-Argininosuccinate Lyase antibody [EPR19382] (AB201025)
  • WB

Supplier Data

Western blot - Anti-Argininosuccinate Lyase antibody [EPR19382] (AB201025)

Blocking/Dilution buffer : 5% NFDM/TBST.

Exposure time : Lane 1,2 and 3 : 8 seconds; Lane 4 : 1 second.

All lanes:

Western blot - Anti-Argininosuccinate Lyase antibody [EPR19382] (ab201025) at 1/1000 dilution

Lane 1:

Human fetal heart tissue lysate at 10 µg

Lane 2:

Human fetal kidney tissue lysate at 10 µg

Lane 3:

Human fetal spleen tissue lysate at 10 µg

Lane 4:

Human fetal liver tissue lysate at 10 µg

Secondary

All lanes:

Goat Anti-Rabbit IgG Peroxidase Conjugate, specific to the non-reduced form of IgG at 1/100000 dilution

Predicted band size: 52 kDa

Observed band size: 51 kDa

false

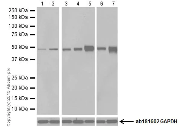
Western blot - Anti-Argininosuccinate Lyase antibody [EPR19382] (AB201025)
  • WB

Supplier Data

Western blot - Anti-Argininosuccinate Lyase antibody [EPR19382] (AB201025)

Blocking/Dilution buffer : 5% NFDM/TBST.

Exposure time : Lane 1 and 2 : 1 second; Lane 3,4 and 5 : 15 seconds; Lane 6 and 7 : 30 seconds.

Dexamethasone treatment increase the accumulation of ASL mRNA (PMID : 2209616).

All lanes:

Western blot - Anti-Argininosuccinate Lyase antibody [EPR19382] (ab201025) at 1/1000 dilution

Lane 1:

Untreated HepG2 (Human liver hepatocellular carcinoma cell line) whole cell lysate at 20 µg

Lane 2:

HepG2 (Human liver hepatocellular carcinoma cell line) treated with 1 μM dexamethasone for 24 hours whole cell lysate at 20 µg

Lane 3:

HEK-293 (Human epithelial cell line from embryonic kidney) whole cell lysate at 20 µg

Lane 4:

HeLa (Human epithelial cell line from cervix adenocarcinoma) whole cell lysate at 20 µg

Lane 5:

T-47D (Human ductal breast epithelial tumor cell line) whole cell lysate at 20 µg

Lane 6:

A549 (Human lung carcinoma cell line) whole cell lysate at 20 µg

Lane 7:

SH-SY5Y (Human neuroblastoma cell line from bone marrow) whole cell lysate at 20 µg

Secondary

All lanes:

Western blot - Goat Anti-Rabbit IgG H&L (HRP) (<a href='/en-us/products/secondary-antibodies/goat-rabbit-igg-h-l-hrp-ab97051'>ab97051</a>) at 1/100000 dilution

Predicted band size: 52 kDa

Observed band size: 51 kDa

false

  • Carrier free

    Anti-Argininosuccinate Lyase antibody [EPR19382] - BSA and Azide free

Key facts

Host species

Rabbit

Clonality

Monoclonal

Clone number

EPR19382

Isotype

IgG

Carrier free

No

Reacts with

Human

Applications

WB, IP

applications

Immunogen

The exact immunogen used to generate this antibody is proprietary information.

Reactivity data

{ "title": "Reactivity Data", "filters": { "stats": ["", "Species", "Dilution Info", "Notes"], "tabs": { "all-applications": {"fullname" : "All Applications", "shortname": "All Applications"}, "IP" : {"fullname" : "Immunoprecipitation", "shortname":"IP"}, "WB" : {"fullname" : "Western blot", "shortname":"WB"} }, "product-promise": { "all": "all", "testedAndGuaranteed": "tested", "guaranteed": "expected", "predicted": "predicted", "notRecommended": "not-recommended" } }, "values": { "Human": { "IP-species-checked": "testedAndGuaranteed", "IP-species-dilution-info": "1/40", "IP-species-notes": "<p></p>", "WB-species-checked": "testedAndGuaranteed", "WB-species-dilution-info": "1/1000", "WB-species-notes": "<p></p>" } } }

Product details

Patented technology
Our RabMAb® technology is a patented hybridoma-based technology for making rabbit monoclonal antibodies. For details on our patents, please refer to RabMAb® patents.

What are the advantages of a recombinant monoclonal antibody?
This product is a recombinant monoclonal antibody, which offers several advantages including:

  • - High batch-to-batch consistency and reproducibility
  • - Improved sensitivity and specificity
  • - Long-term security of supply
  • - Animal-free batch production

For more information, read more on recombinant antibodies.

Properties and storage information

Form
Liquid
Purification technique
Affinity purification Protein A
Storage buffer
pH: 7.2 - 7.4 Preservative: 0.01% Sodium azide Constituents: PBS, 40% Glycerol (glycerin, glycerine), 0.05% BSA
Shipped at conditions
Blue Ice
Appropriate short-term storage duration
1-2 weeks
Appropriate short-term storage conditions
+4°C
Appropriate long-term storage conditions
-20°C
Aliquoting information
Upon delivery aliquot
Storage information
Avoid freeze / thaw cycle

Supplementary information

This supplementary information is collated from multiple sources and compiled automatically.

Argininosuccinate Lyase often referred to as ASL or 'lyase' is an enzyme that plays a mechanical role in the urea cycle catalyzing the conversion of argininosuccinate into arginine and fumarate. It has a molecular mass around 51 kDa. ASL is mainly expressed in the liver but is also present in the kidney and other tissues. The proper functioning of ASL is essential for maintaining the urea cycle which detoxifies ammonia in the body.
Biological function summary

This enzyme is important for the breakdown of nitrogen molecules impacting amino acid metabolism. ASL does not operate as part of a larger complex but acts independently to facilitate the removal of nitrogenous waste. Through its action it produces arginine which serves as a vital precursor for the production of nitric oxide a critical signaling molecule in many physiological processes.

Pathways

ASL is integral to the urea cycle and amino acid metabolic pathways. The urea cycle is fundamental for ammonia detoxification while amino acid metabolic pathways involve protein turnover and energy production. Within the urea cycle ASL works alongside enzymes like argininosuccinate synthetase and arginase playing a pivotal role in converting excess nitrogen to urea which the body then excretes.

Defects in ASL can lead to argininosuccinate lyase deficiency a rare disorder that causes hyperammonemia due to urea cycle dysfunction. This deficiency associates with elevated levels of argininosuccinate in the blood and urine. Additionally ASL has been implicated in vascular diseases due to its role in arginine and nitric oxide production. Its connection to nitric oxide emphasizes the potential impact on cardiovascular health with relations to proteins such as nitric oxide synthase.

Product protocols

For this product, it's our understanding that no specific protocols are required. You can visit:

Target data

Catalyzes the reversible cleavage of L-argininosuccinate to fumarate and L-arginine, an intermediate step reaction in the urea cycle mostly providing for hepatic nitrogen detoxification into excretable urea as well as de novo L-arginine synthesis in nonhepatic tissues (PubMed : 11747432, PubMed : 11747433, PubMed : 22081021, PubMed : 2263616, PubMed : 9045711). Essential regulator of intracellular and extracellular L-arginine pools. As part of citrulline-nitric oxide cycle, forms tissue-specific multiprotein complexes with argininosuccinate synthase ASS1, transport protein SLC7A1 and nitric oxide synthase NOS1, NOS2 or NOS3, allowing for cell-autonomous L-arginine synthesis while channeling extracellular L-arginine to nitric oxide synthesis pathway (PubMed : 22081021).
See full target information ASL

Publications (5)

Recent publications for all applications. Explore the full list and refine your search

JCI insight 8: PubMed37490345

2023

Argininosuccinate lyase deficiency causes blood-brain barrier disruption via nitric oxide-mediated dysregulation of claudin expression.

Applications

Unspecified application

Species

Unspecified reactive species

Jordan Kho,Urszula Polak,Ming-Ming Jiang,John D Odom,Jill V Hunter,Saima M Ali,Lindsay C Burrage,Sandesh Cs Nagamani,Robia G Pautler,Hannah P Thompson,Akihiko Urayama,Zixue Jin,Brendan Lee

Biomedicines 11: PubMed37371829

2023

ASL mRNA-LNP Therapeutic for the Treatment of Argininosuccinic Aciduria Enables Survival Benefit in a Mouse Model.

Applications

Unspecified application

Species

Unspecified reactive species

Owen Daly,Azita Josefine Mahiny,Sara Majeski,Kevin McClintock,Julia Reichert,Gábor Boros,Gábor Tamás Szabó,Jonas Reinholz,Petra Schreiner,Steve Reid,Kieu Lam,Marlen Lepper,Melanie Adler,Tracy Meffen,James Heyes,Katalin Karikó,Pete Lutwyche,Irena Vlatkovic

Cellular and molecular life sciences : CMLS 80:177 PubMed37285022

2023

siRNA screening reveals that SNAP29 contributes to exosome release.

Applications

Unspecified application

Species

Unspecified reactive species

Nina Pettersen Hessvik,Krizia Sagini,Silvana Romero,Manuel Ramirez-Garrastacho,Marta Rodriguez,Astrid Elisabeth V Tutturen,Audun Kvalvaag,Espen Stang,Andreas Brech,Kirsten Sandvig,Alicia Llorente

Frontiers in pharmacology 12:723988 PubMed34658862

2021

Betaine Attenuates Osteoarthritis by Inhibiting Osteoclastogenesis and Angiogenesis in Subchondral Bone.

Applications

Unspecified application

Species

Unspecified reactive species

Wang Yajun,Cui Jin,Gu Zhengrong,Fang Chao,Hu Yan,Weng Weizong,Li Xiaoqun,Zhou Qirong,Chen Huiwen,Zhang Hao,Guo Jiawei,Zhuang Xinchen,Sheng Shihao,Wang Sicheng,Chen Xiao,Su Jiacan

Molecular cell 68:198-209.e6 PubMed28985504

2017

CLOCK Acetylates ASS1 to Drive Circadian Rhythm of Ureagenesis.

Applications

Unspecified application

Species

Unspecified reactive species

Ran Lin,Yan Mo,Haihong Zha,Zhipeng Qu,Pancheng Xie,Zheng-Jiang Zhu,Ying Xu,Yue Xiong,Kun-Liang Guan
View all publications

Product promise

We are committed to supporting your work with high-quality reagents, and we're here for you every step of the way. In the unlikely event that one of our products does not perform as expected, you're protected by our Product Promise.
For full details, please see our Terms & Conditions

Please note: All products are 'FOR RESEARCH USE ONLY. NOT FOR USE IN DIAGNOSTIC OR THERAPEUTIC PROCEDURES'.

For licensing inquiries, please contact partnerships@abcam.com