JavaScript is disabled in your browser. Please enable JavaScript to view this website.
AB251331

Anti-Argininosuccinate Lyase antibody [EPR19396] - BSA and Azide free

Be the first to review this product! Submit a review

|

(1 Publication)

Rabbit Recombinant Monoclonal Argininosuccinate Lyase antibody. Carrier free. Suitable for IP, WB and reacts with Human, Mouse, Rat samples. Cited in 1 publication.

View Alternative Names

Argininosuccinate lyase, ASAL, Arginosuccinase, ASL

5 Images
Immunoprecipitation - Anti-Argininosuccinate Lyase antibody [EPR19396] - BSA and Azide free (AB251331)
  • IP

Supplier Data

Immunoprecipitation - Anti-Argininosuccinate Lyase antibody [EPR19396] - BSA and Azide free (AB251331)

This data was developed using ab201026, the same antibody clone in a different buffer formulation.

Argininosuccinate Lyase was immunoprecipitated from 0.35 mg of Human fetal liver whole cell lysate with ab201026 at 1/30 dilution.

Western blot was performed from the immunoprecipitate using ab201026 at 1/1000 dilution.

VeriBlot for IP Detection Reagent (HRP) (ab131366), was used for detection at 1/10000 dilution.

Lane 1 : Human fetal liver whole cell lysate, 10μg (Input).
Lane 2 : ab201026 IP in Human fetal liver whole cell lysate.
Lane 3 : Rabbit IgG,monoclonal [EPR25A]-Isotype Control (ab172730) instead of ab201026 in Human fetal liver whole cell lysate.

Blocking and dilution buffer and concentration : 5% NFDM/TBST.

Exposure time : 1 second.

All lanes:

Immunoprecipitation - Anti-Argininosuccinate Lyase antibody [EPR19396] (<a href='/en-us/products/primary-antibodies/argininosuccinate-lyase-antibody-epr19396-ab201026'>ab201026</a>)

Predicted band size: 52 kDa

false

Western blot - Anti-Argininosuccinate Lyase antibody [EPR19396] - BSA and Azide free (AB251331)
  • WB

Supplier Data

Western blot - Anti-Argininosuccinate Lyase antibody [EPR19396] - BSA and Azide free (AB251331)

This data was developed using ab201026, the same antibody clone in a different buffer formulation.

Blocking and dilution buffer : 5% NFDM/TBST.

Argininosuccinate Lyase is predominantly expressed in the liver, and weakly expressed in the lung (PMID : 8576237).

All lanes:

Western blot - Anti-Argininosuccinate Lyase antibody [EPR19396] (<a href='/en-us/products/primary-antibodies/argininosuccinate-lyase-antibody-epr19396-ab201026'>ab201026</a>) at 1/5000 dilution

Lane 1:

Human fetal liver lysate at 20 µg

Lane 2:

Human fetal lung lysate at 20 µg

Secondary

All lanes:

Goat Anti-Rabbit IgG Peroxidase Conjugate, specific to the non-reduced form of IgG at 1/10000 dilution

Predicted band size: 105 kDa,41 kDa,49 kDa,52 kDa

Observed band size: 105 kDa,41 kDa,51 kDa,55-60 kDa

false

Exposure time: 2s

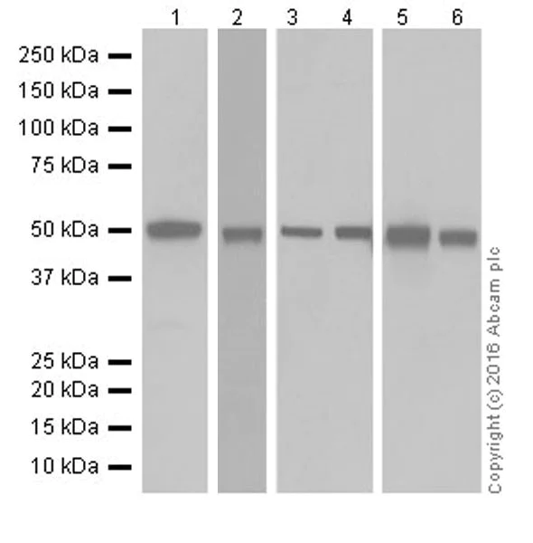
Western blot - Anti-Argininosuccinate Lyase antibody [EPR19396] - BSA and Azide free (AB251331)
  • WB

Supplier Data

Western blot - Anti-Argininosuccinate Lyase antibody [EPR19396] - BSA and Azide free (AB251331)

This data was developed using ab201026, the same antibody clone in a different buffer formulation.

Blocking and dilution buffer : 5% NFDM/TBST.

Exposure times : Lane 1 : 2 seconds; Lane 2 : 1 minute; Lanes 3-4 : 5 seconds; Lanes 5-6 : 1 second.

All lanes:

Western blot - Anti-Argininosuccinate Lyase antibody [EPR19396] (<a href='/en-us/products/primary-antibodies/argininosuccinate-lyase-antibody-epr19396-ab201026'>ab201026</a>) at 1/5000 dilution

Lane 1:

Human fetal liver tissue lysate at 20 µg

Lane 2:

Human testis tissue lysate at 20 µg

Lane 3:

HepG2 (Human liver hepatocellular carcinoma cell line) whole cell lysate at 20 µg

Lane 4:

T-47D (Human ductal breast epithelial tumor cell line) whole cell lysate at 20 µg

Lane 5:

Mouse liver lysate at 20 µg

Lane 6:

Rat liver lysate at 20 µg

Secondary

All lanes:

Goat Anti-Rabbit IgG Peroxidase Conjugate, specific to the non-reduced form of IgG at 1/10000 dilution

Predicted band size: 52 kDa

Observed band size: 51 kDa

false

Western blot - Anti-Argininosuccinate Lyase antibody [EPR19396] - BSA and Azide free (AB251331)
  • WB

Supplier Data

Western blot - Anti-Argininosuccinate Lyase antibody [EPR19396] - BSA and Azide free (AB251331)

This data was developed using ab201026, the same antibody clone in a different buffer formulation.

Blocking and dilution buffer : 5% NFDM/TBST.

All lanes:

Western blot - Anti-Argininosuccinate Lyase antibody [EPR19396] (<a href='/en-us/products/primary-antibodies/argininosuccinate-lyase-antibody-epr19396-ab201026'>ab201026</a>) at 1/2000 dilution

Lane 1:

A549 (Human lung carcinoma cell line) whole cell lysate at 20 µg

Lane 2:

SH-SY5Y (Human neuroblastoma cell line from bone marrow) whole cell lysate at 20 µg

Secondary

All lanes:

Western blot - Goat Anti-Rabbit IgG H&L (HRP) (<a href='/en-us/products/secondary-antibodies/goat-rabbit-igg-h-l-hrp-ab97051'>ab97051</a>) at 1/100000 dilution

Predicted band size: 52 kDa

Observed band size: 51 kDa

false

Exposure time: 1min

Western blot - Anti-Argininosuccinate Lyase antibody [EPR19396] - BSA and Azide free (AB251331)
  • WB

Supplier Data

Western blot - Anti-Argininosuccinate Lyase antibody [EPR19396] - BSA and Azide free (AB251331)

This data was developed using ab201026, the same antibody clone in a different buffer formulation.

Blocking and dilution buffer : 5% NFDM/TBST.

All lanes:

Western blot - Anti-Argininosuccinate Lyase antibody [EPR19396] (<a href='/en-us/products/primary-antibodies/argininosuccinate-lyase-antibody-epr19396-ab201026'>ab201026</a>) at 1/2000 dilution

Lane 1:

C6 (Rat glial tumor cell line) whole cell lysate at 20 µg

Lane 2:

RAW 264.7 (Mouse macrophage cell line transformed with Abelson murine leukemia virus) whole cell lysate at 20 µg

Lane 3:

PC-12 (Rat adrenal gland pheochromocytoma cell line) whole cell lysate at 20 µg

Lane 4:

NIH/3T3 (Mouse embryonic fibroblast cell line) whole cell lysate at 20 µg

Secondary

All lanes:

Western blot - Goat Anti-Rabbit IgG H&L (HRP) (<a href='/en-us/products/secondary-antibodies/goat-rabbit-igg-h-l-hrp-ab97051'>ab97051</a>) at 1/100000 dilution

Predicted band size: 52 kDa

Observed band size: 51 kDa

false

Exposure time: 15s

Key facts

Host species

Rabbit

Clonality

Monoclonal

Clone number

EPR19396

Isotype

IgG

Carrier free

Yes

Reacts with

Mouse, Rat, Human

Applications

WB, IP

applications

Immunogen

The exact immunogen used to generate this antibody is proprietary information.

Reactivity data

{ "title": "Reactivity Data", "filters": { "stats": ["", "Species", "Dilution Info", "Notes"], "tabs": { "all-applications": {"fullname" : "All Applications", "shortname": "All Applications"}, "IP" : {"fullname" : "Immunoprecipitation", "shortname":"IP"}, "WB" : {"fullname" : "Western blot", "shortname":"WB"} }, "product-promise": { "all": "all", "testedAndGuaranteed": "tested", "guaranteed": "expected", "predicted": "predicted", "notRecommended": "not-recommended" } }, "values": { "Human": { "IP-species-checked": "testedAndGuaranteed", "IP-species-dilution-info": "", "IP-species-notes": "<p></p>", "WB-species-checked": "testedAndGuaranteed", "WB-species-dilution-info": "", "WB-species-notes": "<p></p>" }, "Mouse": { "IP-species-checked": "guaranteed", "IP-species-dilution-info": "", "IP-species-notes": "", "WB-species-checked": "testedAndGuaranteed", "WB-species-dilution-info": "", "WB-species-notes": "<p></p>" }, "Rat": { "IP-species-checked": "guaranteed", "IP-species-dilution-info": "", "IP-species-notes": "", "WB-species-checked": "testedAndGuaranteed", "WB-species-dilution-info": "", "WB-species-notes": "<p></p>" } } }

Product details

ab251331 is the carrier-free version of ab201026.

Patented technology
Our RabMAb® technology is a patented hybridoma-based technology for making rabbit monoclonal antibodies. For details on our patents, please refer to RabMAb® patents.

What are the advantages of a recombinant monoclonal antibody?
This product is a recombinant monoclonal antibody, which offers several advantages including:

  • - High batch-to-batch consistency and reproducibility
  • - Improved sensitivity and specificity
  • - Long-term security of supply
  • - Animal-free batch production

For more information, read more on recombinant antibodies.

Conjugation ready
Our carrier-free antibodies are typically supplied in a PBS-only formulation, purified and free of BSA, sodium azide and glycerol. This conjugation-ready format is designed for use with fluorochromes, metal isotopes, oligonucleotides, and enzymes, which makes them ideal for antibody labelling, functional and cell-based assays, flow-based assays (e.g. mass cytometry) and Multiplex Imaging applications.

Use our conjugation kits for antibody conjugates that are ready-to-use in as little as 20 minutes with 1 minute hands-on-time and 100% antibody recovery: available for fluorescent dyes, HRP, biotin and gold.

Compatibility
This product is compatible with the Maxpar® Antibody Labeling Kit from Fluidigm, without the need for antibody preparation. Maxpar® is a trademark of Fluidigm Canada Inc.

Properties and storage information

Form
Liquid
Purification technique
Affinity purification Protein A
Storage buffer
pH: 7.2 - 7.4 Constituents: PBS
Shipped at conditions
Blue Ice
Appropriate short-term storage conditions
+4°C
Appropriate long-term storage conditions
+4°C
Storage information
Do Not Freeze

Supplementary information

This supplementary information is collated from multiple sources and compiled automatically.

Argininosuccinate Lyase often referred to as ASL or 'lyase' is an enzyme that plays a mechanical role in the urea cycle catalyzing the conversion of argininosuccinate into arginine and fumarate. It has a molecular mass around 51 kDa. ASL is mainly expressed in the liver but is also present in the kidney and other tissues. The proper functioning of ASL is essential for maintaining the urea cycle which detoxifies ammonia in the body.
Biological function summary

This enzyme is important for the breakdown of nitrogen molecules impacting amino acid metabolism. ASL does not operate as part of a larger complex but acts independently to facilitate the removal of nitrogenous waste. Through its action it produces arginine which serves as a vital precursor for the production of nitric oxide a critical signaling molecule in many physiological processes.

Pathways

ASL is integral to the urea cycle and amino acid metabolic pathways. The urea cycle is fundamental for ammonia detoxification while amino acid metabolic pathways involve protein turnover and energy production. Within the urea cycle ASL works alongside enzymes like argininosuccinate synthetase and arginase playing a pivotal role in converting excess nitrogen to urea which the body then excretes.

Defects in ASL can lead to argininosuccinate lyase deficiency a rare disorder that causes hyperammonemia due to urea cycle dysfunction. This deficiency associates with elevated levels of argininosuccinate in the blood and urine. Additionally ASL has been implicated in vascular diseases due to its role in arginine and nitric oxide production. Its connection to nitric oxide emphasizes the potential impact on cardiovascular health with relations to proteins such as nitric oxide synthase.

Product protocols

For this product, it's our understanding that no specific protocols are required. You can visit:

Target data

Catalyzes the reversible cleavage of L-argininosuccinate to fumarate and L-arginine, an intermediate step reaction in the urea cycle mostly providing for hepatic nitrogen detoxification into excretable urea as well as de novo L-arginine synthesis in nonhepatic tissues (PubMed : 11747432, PubMed : 11747433, PubMed : 22081021, PubMed : 2263616, PubMed : 9045711). Essential regulator of intracellular and extracellular L-arginine pools. As part of citrulline-nitric oxide cycle, forms tissue-specific multiprotein complexes with argininosuccinate synthase ASS1, transport protein SLC7A1 and nitric oxide synthase NOS1, NOS2 or NOS3, allowing for cell-autonomous L-arginine synthesis while channeling extracellular L-arginine to nitric oxide synthesis pathway (PubMed : 22081021).
See full target information ASL

Publications (1)

Recent publications for all applications. Explore the full list and refine your search

Journal of nanobiotechnology 22:800 PubMed39731111

2024

Role of PCBP2 in regulating nanovesicles loaded with curcumin to mitigate neuroferroptosis in neural damage caused by heat stroke.

Applications

Unspecified application

Species

Unspecified reactive species

Fei Guo,Yizhan Wu,Guangjun Wang,Jiangwei Liu
View all publications

Product promise

We are committed to supporting your work with high-quality reagents, and we're here for you every step of the way. In the unlikely event that one of our products does not perform as expected, you're protected by our Product Promise.
For full details, please see our Terms & Conditions

Please note: All products are 'FOR RESEARCH USE ONLY. NOT FOR USE IN DIAGNOSTIC OR THERAPEUTIC PROCEDURES'.

For licensing inquiries, please contact partnerships@abcam.com