JavaScript is disabled in your browser. Please enable JavaScript to view this website.
AB32381

Anti-Argonaute-2 antibody

4

(11 Reviews)

|

(500 Publications)

Rabbit Polyclonal Argonaute-2 antibody. Suitable for IHC-P, WB and reacts with Human samples. Cited in 500 publications.

View Alternative Names

EIF2C2, AGO2, Protein argonaute-2, Argonaute2, hAgo2, Argonaute RISC catalytic component 2, Eukaryotic translation initiation factor 2C 2, PAZ Piwi domain protein, Protein slicer, eIF-2C 2, eIF2C 2, PPD

3 Images
Immunohistochemistry (Formalin/PFA-fixed paraffin-embedded sections) - Anti-Argonaute-2 antibody (AB32381)
  • IHC-P

Lab

Immunohistochemistry (Formalin/PFA-fixed paraffin-embedded sections) - Anti-Argonaute-2 antibody (AB32381)

IHC image of Argonaute-2 antibody staining in a section of formalin-fixed paraffin-embedded human breast adenocarcinoma* performed on a Leica BONDTM system using the standard protocol. The section was pre-treated using heat mediated antigen retrieval with sodium citrate buffer (pH6, epitope retrieval solution 1) for 20mins. The section was then incubated with ab32381, 5ug/ml, for 15 mins at room temperature and detected using an HRP conjugated compact polymer system. DAB was used as the chromogen. The section was then counterstained with haematoxylin and mounted with DPX.

For other IHC staining systems (automated and non-automated) customers should optimize variable parameters such as antigen retrieval conditions, primary antibody concentration and antibody incubation times.

*Tissue obtained from the Human Research Tissue Bank, supported by the NIHR Cambridge Biomedical Research Centre

Immunohistochemistry (Formalin/PFA-fixed paraffin-embedded sections) - Anti-Argonaute-2 antibody (AB32381)
  • IHC-P

PubMed

Immunohistochemistry (Formalin/PFA-fixed paraffin-embedded sections) - Anti-Argonaute-2 antibody (AB32381)

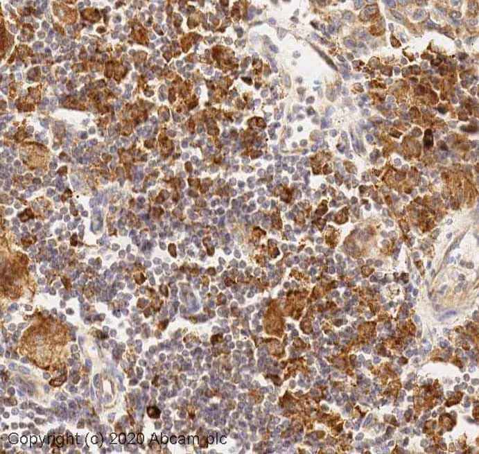
Immunohistochemical analysis of Argonaute2 (AGO2) in human tissues sections from slowly progressive, rapidly progressive, or normal biopsies.

Representative images of slowly progressive (A–B, E–F), rapidly progressive (C–D, G–H), and normal (I–J) biopsies stained with IgG control (A, C, E, G, & I) and anti-AGO2 antibody (B, D, F, H, & J) are shown. Images A, B, C, & D were stained with antibody concentrations of 20 μg/ml and images E, F, G, H, I, & J were stained with an antibody concentration of 4 μg/ml. Sections were counterstained with hematoxylin. Protein expression stains brown in this procedure (original magnification : ×200).

Panels A-D shown.

Oak et al PLoS One. 2011;6(6):e21253. doi: 10.1371/journal.pone.0021253. Epub 2011 Jun 21. Fig 5. Reproduced under the Creative Commons license http://creativecommons.org/licenses/by/4.0/

Western blot - Anti-Argonaute-2 antibody (AB32381)
  • WB

Project

Western blot - Anti-Argonaute-2 antibody (AB32381)

The identification of the 55 kDa band is unclear but this band has also been observed in HeLa lysates in the Western Blot of ab5072, targeting Drosophila Ago2 / eIF2C2.

All lanes:

Western blot - Anti-Argonaute-2 antibody (ab32381) at 2 µg/mL

Lane 1:

HeLa (Human epithelial carcinoma cell line) Whole Cell Lysate at 20 µg

Lane 2:

Western blot - Jurkat whole cell lysate (<a href='/en-us/products/cell-lysates/jurkat-whole-cell-lysate-ab7899'>ab7899</a>) at 20 µg

Lane 3:

HeLa (Human epithelial carcinoma cell line) Nuclear Lysate at 20 µg

Secondary

All lanes:

IRDye 680 Conjugated Goat Anti-Rabbit IgG (H+L) at 1/10000 dilution

Predicted band size: 97 kDa

Observed band size: 55 kDa,87 kDa

false

Key facts

Host species

Rabbit

Clonality

Polyclonal

Isotype

IgG

Carrier free

No

Reacts with

Human

Applications

WB, IHC-P

applications

Immunogen

The exact immunogen used to generate this antibody is proprietary information.

Specificity

The immunogen used for this product shares 69% homology with AGO1. Cross-reactivity with this protein has not been confirmed experimentally.

Reactivity data

{ "title": "Reactivity Data", "filters": { "stats": ["", "Species", "Dilution Info", "Notes"], "tabs": { "all-applications": {"fullname" : "All Applications", "shortname": "All Applications"}, "IHCP" : {"fullname" : "Immunohistochemistry (Formalin/PFA-fixed paraffin-embedded sections)", "shortname":"IHC-P"}, "WB" : {"fullname" : "Western blot", "shortname":"WB"} }, "product-promise": { "all": "all", "testedAndGuaranteed": "tested", "guaranteed": "expected", "predicted": "predicted", "notRecommended": "not-recommended" } }, "values": { "Human": { "IHCP-species-checked": "testedAndGuaranteed", "IHCP-species-dilution-info": "5 µg/mL", "IHCP-species-notes": "<p></p>", "WB-species-checked": "testedAndGuaranteed", "WB-species-dilution-info": "2 µg/mL", "WB-species-notes": "<p></p>" }, "Mouse": { "IHCP-species-checked": "notRecommended", "IHCP-species-dilution-info": "", "IHCP-species-notes": "", "WB-species-checked": "notRecommended", "WB-species-dilution-info": "", "WB-species-notes": "" }, "Rat": { "IHCP-species-checked": "notRecommended", "IHCP-species-dilution-info": "", "IHCP-species-notes": "", "WB-species-checked": "notRecommended", "WB-species-dilution-info": "", "WB-species-notes": "" }, "Cow": { "IHCP-species-checked": "notRecommended", "IHCP-species-dilution-info": "", "IHCP-species-notes": "", "WB-species-checked": "notRecommended", "WB-species-dilution-info": "", "WB-species-notes": "" }, "Drosophila melanogaster": { "IHCP-species-checked": "notRecommended", "IHCP-species-dilution-info": "", "IHCP-species-notes": "<p></p>", "WB-species-checked": "notRecommended", "WB-species-dilution-info": "", "WB-species-notes": "<p></p>" }, "Rabbit": { "IHCP-species-checked": "notRecommended", "IHCP-species-dilution-info": "", "IHCP-species-notes": "", "WB-species-checked": "notRecommended", "WB-species-dilution-info": "", "WB-species-notes": "" } } }

Properties and storage information

Form
Liquid
Purification technique
Affinity purification Immunogen
Storage buffer
pH: 7.4 Preservative: 0.02% Sodium azide Constituents: PBS, 1% BSA
Shipped at conditions
Blue Ice
Appropriate short-term storage duration
1-2 weeks
Appropriate short-term storage conditions
+4°C
Appropriate long-term storage conditions
-20°C
Aliquoting information
Upon delivery aliquot
Storage information
Avoid freeze / thaw cycle

Supplementary information

This supplementary information is collated from multiple sources and compiled automatically.

Argonaute-2 often referred to as Ago2 or Argonaute-2 protein plays an important role in the RNA-induced silencing complex (RISC). It has a molecular weight of approximately 97 kDa. Ago2 is found in the cytoplasm and nucleus of cells and is expressed in a wide range of tissues including the brain and liver. Its mechanical function involves binding to guide RNA and facilitating strand cleavage which is essential for gene silencing and regulation at the post-transcriptional level.
Biological function summary

The Argonaute-2 protein participates in gene silencing mechanisms. As a part of RISC Ago2 binds to microRNAs (miRNAs) or small interfering RNAs (siRNAs) to direct sequence-specific cleavage of target mRNAs regulating their translation and stability. This protein is a part of a multi-protein complex that modulates gene expression and influences cellular homeostasis and development. In its biological role Argonaute-2 impacts cellular differentiation proliferation and apoptosis.

Pathways

Several cellular processes require Argonaute-2 notably the RNA interference (RNAi) and microRNA (miRNA) pathways. In these pathways it interacts with Dicer a protein essential for the maturation of small RNA molecules and facilitates the gene silencing process. Ago2 is also involved in the regulation of gene expression during embryonic development and stress responses indicating its importance in maintaining cellular function and responding to environmental changes.

Anomalies in Argonaute-2 activity correlate with cancer including lung and breast cancer where dysregulation of miRNA pathways can lead to unchecked cellular proliferation. It is also linked to neurological disorders like schizophrenia possibly due to its role in gene expression regulation in neural cells. Interactions between Ago2 and proteins like Dicer and other Argonautes suggest complex regulatory networks that when disrupted contribute to these diseases.

Product protocols

For this product, it's our understanding that no specific protocols are required. You can visit:

Target data

Required for RNA-mediated gene silencing (RNAi) by the RNA-induced silencing complex (RISC). The 'minimal RISC' appears to include AGO2 bound to a short guide RNA such as a microRNA (miRNA) or short interfering RNA (siRNA). These guide RNAs direct RISC to complementary mRNAs that are targets for RISC-mediated gene silencing. The precise mechanism of gene silencing depends on the degree of complementarity between the miRNA or siRNA and its target. Binding of RISC to a perfectly complementary mRNA generally results in silencing due to endonucleolytic cleavage of the mRNA specifically by AGO2. Binding of RISC to a partially complementary mRNA results in silencing through inhibition of translation, and this is independent of endonuclease activity. May inhibit translation initiation by binding to the 7-methylguanosine cap, thereby preventing the recruitment of the translation initiation factor eIF4-E. May also inhibit translation initiation via interaction with EIF6, which itself binds to the 60S ribosomal subunit and prevents its association with the 40S ribosomal subunit. The inhibition of translational initiation leads to the accumulation of the affected mRNA in cytoplasmic processing bodies (P-bodies), where mRNA degradation may subsequently occur. In some cases RISC-mediated translational repression is also observed for miRNAs that perfectly match the 3' untranslated region (3'-UTR). Can also up-regulate the translation of specific mRNAs under certain growth conditions. Binds to the AU element of the 3'-UTR of the TNF (TNF-alpha) mRNA and up-regulates translation under conditions of serum starvation. Also required for transcriptional gene silencing (TGS), in which short RNAs known as antigene RNAs or agRNAs direct the transcriptional repression of complementary promoter regions.. (Microbial infection) Upon Sars-CoV-2 infection, associates with viral miRNA-like small RNA, CoV2-miR-O7a, and may repress mRNAs, such as BATF2, to evade the IFN response.
See full target information AGO2

Publications (500)

Recent publications for all applications. Explore the full list and refine your search

Frontiers in veterinary science 12:1644542 PubMed41049145

2025

Follicular fluid-derived small extracellular vesicles during individual maturation improve blastocyst development.

Applications

Unspecified application

Species

Unspecified reactive species

Nima Azari-Dolatabad,Davoud Eshghi,Camilla Benedetti,Andrea Fernandez Montoro,Lei Xie,Fabiola Le Graffric Molto,Sarah E Moorey,An Hendrix,Geert Opsomer,Jo L M R Leroy,Ann Van Soom,Krishna Chaitanya Pavani,Osvaldo Bogado Pascottini

Nature neuroscience 28:2201-2216 PubMed41044342

2025

Muscle-derived miR-126 regulates TDP-43 axonal local synthesis and NMJ integrity in ALS models.

Applications

Unspecified application

Species

Unspecified reactive species

Ariel Ionescu,Lior Ankol,Anand Ganapathy Subramaniam,Topaz Altman,Iddo Magen,Yahel Cohen,Yehuda Danino,Tal Gradus-Pery,Yoav Niv,Ori Bar Avi,Danielle Geller,Amjd Ibraheem,Ruilei Cheng,Noam Steinberg,Leenor Alfahel,Pauline Duc,Zeynep Ergul-Ulger,Doruk Arslan,Ersin Tan,Florence Rage,Nilo Riva,Angello Quattrini,Can Ebru Bekircan-Kurt,Adrian Israelson,Amir Dori,Eran Hornstein,Eran Perlson

iScience 28:113391 PubMed40949099

2025

Argonaute 2 inhibits RIG-I signaling via competition for viral RNA binding.

Applications

Unspecified application

Species

Unspecified reactive species

Honglian Liu,Yingyin Liao,Fei Yu,Leo Ngo-Shing Li,Yajie Zhang,Lin Zhu,Guangshan Xie,Jiayan Liu,Siwen Liu,Shaofeng Deng,Rachel Chun-Yee Tam,Wenjun Song,Pin Chen,Xiaofeng Huang,Conor J Cremin,Yixin Chen,Min Zheng,Pui Wang,Zongwei Cai,Kwok-Yung Yuen,Honglin Chen,Bobo Wing-Yee Mok

Oncology letters 30:459 PubMed40776904

2025

Knockdown of LINC00467 inhibits gastric cancer progression by modulating the sequestration of miR-141-3p.

Applications

Unspecified application

Species

Unspecified reactive species

Hui Ju,Yi Feng,Xiaojing Mu,Weitai He,Guifang He,Ben Tian,Duo Cai,Changchang Liu,Yu Song,Hao Chen,Shihai Liu

Stem cell research & therapy 16:431 PubMed40770661

2025

Exosomal miR-218 secreted from endothelial progenitor cells mitigates acute lung injury in sepsis mice by inhibiting HMGA1 in alveolar macrophages.

Applications

Unspecified application

Species

Unspecified reactive species

Guibin Liang,Menghao Zeng,Qianlu Wang,Wenhua Wang,Jie Liu,Min Gao,Zhihui He

Frontiers in oncology 15:1568367 PubMed40666104

2025

Hsa_circ_0001859 promotes NSCLC progression through the miRNA-101-3p/MMP1 axis.

Applications

Unspecified application

Species

Unspecified reactive species

Jianxin Tan,Zhenyu Fan,Rongguo Lu,Shugao Ye

Cell biology and toxicology 41:84 PubMed40366468

2025

U2AF65 mediated circPVT1 promotes NSCLC cell proliferation and inhibits ferroptosis through the miR-338-3p/GPX4 axis.

Applications

Unspecified application

Species

Unspecified reactive species

Lujuan He,Zezhi Zhou,Jufen Wang,Jiehan Jiang,Shenggang Liu

Nucleic acids research 53: PubMed40219968

2025

Nuclear AGO2 supports influenza A virus replication through type-I interferon regulation.

Applications

Unspecified application

Species

Unspecified reactive species

Hsiang-Chi Huang,Michelle Fong,Iwona Nowak,Evgeniia Shcherbinina,Vivian Lobo,Danica F Besavilla,Hang T Huynh,Karin Schön,Jakub O Westholm,Carola Fernandez,Angana A H Patel,Clotilde Wiel,Volkan I Sayin,Dimitrios G Anastasakis,Davide Angeletti,Aishe A Sarshad

Cell reports. Medicine 6:101997 PubMed40054457

2025

siRNA-AGO2 complex inhibits bacterial gene translation: A promising therapeutic strategy for superbug infection.

Applications

Unspecified application

Species

Unspecified reactive species

Chen Wang,Wangjian Sheng,Yu Zhou,Xudong Hang,Jiayi Zhao,Yuanyuan Gu,Xiangfeng Meng,Yuefan Bai,Weili Li,Yujing Zhang,Linlin Zhang,Jing Yu,Zhen Zhou,Xiaona Li,Haorui Sun,Yanhong Xue,Tao Xu,Ke Zen,Hong Ling,Chen-Yu Zhang,Hongkai Bi,Huan Wang

Cancer science 116:544-558 PubMed39618050

2024

LncRNA MIR600HG inhibits laryngeal cancer development by mediating the miR-424-5p/BTG2 axis.

Applications

Unspecified application

Species

Unspecified reactive species

Xiaowen Zhu,Min Zhong,Qingdong Wang,MeiJia Zhang
View all publications

Product promise

We are committed to supporting your work with high-quality reagents, and we're here for you every step of the way. In the unlikely event that one of our products does not perform as expected, you're protected by our Product Promise.
For full details, please see our Terms & Conditions

Please note: All products are 'FOR RESEARCH USE ONLY. NOT FOR USE IN DIAGNOSTIC OR THERAPEUTIC PROCEDURES'.

For licensing inquiries, please contact partnerships@abcam.com