JavaScript is disabled in your browser. Please enable JavaScript to view this website.
AB179828

Anti-ARH antibody [EPR13116] - C-terminal

Be the first to review this product! Submit a review

|

(1 Publication)

Rabbit Recombinant Monoclonal ARH antibody. C-terminal. Suitable for WB and reacts with Human samples. Cited in 1 publication.

View Alternative Names

ARH, LDLRAP1, Low density lipoprotein receptor adapter protein 1, Autosomal recessive hypercholesterolemia protein

1 Images
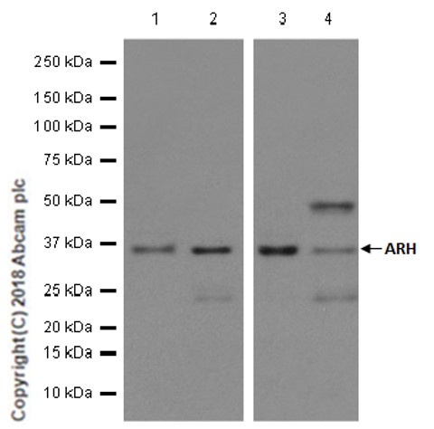
Western blot - Anti-ARH antibody [EPR13116] - C-terminal (AB179828)
  • WB

Supplier Data

Western blot - Anti-ARH antibody [EPR13116] - C-terminal (AB179828)

All lanes:

Western blot - Anti-ARH antibody [EPR13116] - C-terminal (ab179828) at 1/10000 dilution

Lane 1:

Human fetal liver lysate at 10 µg

Lane 2:

HeLa cell lysate at 10 µg

Lane 3:

K562 cell lysate at 10 µg

Lane 4:

293T cell lysate at 10 µg

Secondary

All lanes:

Goat anti-rabbit HRP at 1/2000 dilution

Predicted band size: 34 kDa

false

  • Carrier free

    Anti-ARH antibody [EPR13116] - BSA and Azide free

Key facts

Host species

Rabbit

Clonality

Monoclonal

Clone number

EPR13116

Isotype

IgG

Carrier free

No

Reacts with

Human

Applications

WB

applications

Immunogen

The exact immunogen used to generate this antibody is proprietary information.

Reactivity data

{ "title": "Reactivity Data", "filters": { "stats": ["", "Species", "Dilution Info", "Notes"], "tabs": { "all-applications": {"fullname" : "All Applications", "shortname": "All Applications"}, "IP" : {"fullname" : "Immunoprecipitation", "shortname":"IP"}, "FlowCyt" : {"fullname" : "Flow Cytometry", "shortname":"Flow Cyt"}, "WB" : {"fullname" : "Western blot", "shortname":"WB"}, "IHCP" : {"fullname" : "Immunohistochemistry (Formalin/PFA-fixed paraffin-embedded sections)", "shortname":"IHC-P"}, "ICCIF" : {"fullname" : "Immunocytochemistry/ Immunofluorescence", "shortname":"ICC/IF"} }, "product-promise": { "all": "all", "testedAndGuaranteed": "tested", "guaranteed": "expected", "predicted": "predicted", "notRecommended": "not-recommended" } }, "values": { "Human": { "IP-species-checked": "notRecommended", "IP-species-dilution-info": "", "IP-species-notes": "<p></p>", "FlowCyt-species-checked": "notRecommended", "FlowCyt-species-dilution-info": "", "FlowCyt-species-notes": "<p></p>", "WB-species-checked": "testedAndGuaranteed", "WB-species-dilution-info": "1/10000 - 1/50000", "WB-species-notes": "<p></p>", "IHCP-species-checked": "notRecommended", "IHCP-species-dilution-info": "", "IHCP-species-notes": "<p></p>", "ICCIF-species-checked": "notRecommended", "ICCIF-species-dilution-info": "", "ICCIF-species-notes": "<p></p>" } } }

Product details

Species reactivity
Mouse, Rat: We have preliminary internal testing data to indicate this antibody may not react with these species.
Please contact us for more information.

Patented technology
Our RabMAb® technology is a patented hybridoma-based technology for making rabbit monoclonal antibodies. For details on our patents, please refer to RabMAb® patents.

What are the advantages of a recombinant monoclonal antibody?
This product is a recombinant monoclonal antibody, which offers several advantages including:

  • - High batch-to-batch consistency and reproducibility
  • - Improved sensitivity and specificity
  • - Long-term security of supply
  • - Animal-free batch production

For more information, read more on recombinant antibodies.

Properties and storage information

Form
Liquid
Purification technique
Affinity purification Protein A
Storage buffer
pH: 7.2 - 7.4 Preservative: 0.01% Sodium azide Constituents: PBS, 40% Glycerol (glycerin, glycerine), 0.05% BSA
Shipped at conditions
Blue Ice
Appropriate short-term storage duration
1-2 weeks
Appropriate short-term storage conditions
+4°C
Appropriate long-term storage conditions
-20°C
Aliquoting information
Upon delivery aliquot
Storage information
Avoid freeze / thaw cycle

Supplementary information

This supplementary information is collated from multiple sources and compiled automatically.

The ARH protein also known as autosomal recessive hypercholesterolemia protein plays an important role in the intracellular trafficking and endocytosis of low-density lipoprotein receptors (LDLR). ARH has a molecular mass of approximately 308 amino acids and is expressed primarily in the liver heart and adrenal gland. Its function is important in maintaining cholesterol homeostasis and influencing lipid metabolism by mediating receptor-ligand interactions.
Biological function summary

ARH facilitates the internalization of LDL particles by forming a complex with LDL receptors at the cell surface. This process helps in the uptake of cholesterol-rich lipoproteins an essential task for cell function. By binding adaptor proteins and clathrin ARH aids in creating pits that vesicles need during LDL endocytosis ensuring specific retrieval of receptors and ligands. This protein plays a role in maintaining cellular lipid balance and contributes to cholesterol regulation.

Pathways

ARH acts in the lipoprotein metabolism and cholesterol transport pathways by collaborating with other proteins. It interacts with LDLR and integrates into the clathrin-mediated endocytic pathway pivotal for cholesterol uptake and distribution within the body. It is associated with proteins such as LDLR and clathrin which perform key steps in lipoprotein processing and cholesterol homeostasis.

Alterations in ARH can lead to hypercholesterolemia a disorder characterized by elevated cholesterol levels in the blood and increased cardiovascular risk. ARH is associated with familial hypercholesterolemia reflecting its central role in cholesterol regulation. The protein's interaction with LDLR is important in this context as defects in this interaction result in impaired clearance of LDL from the bloodstream. Such disruptions emphasize the importance of ARH in lipid-related disorders and potential therapeutic targeting.

Product protocols

For this product, it's our understanding that no specific protocols are required. You can visit:

Target data

Adapter protein (clathrin-associated sorting protein (CLASP)) required for efficient endocytosis of the LDL receptor (LDLR) in polarized cells such as hepatocytes and lymphocytes, but not in non-polarized cells (fibroblasts). May be required for LDL binding and internalization but not for receptor clustering in coated pits. May facilitate the endocytosis of LDLR and LDLR-LDL complexes from coated pits by stabilizing the interaction between the receptor and the structural components of the pits. May also be involved in the internalization of other LDLR family members. Binds to phosphoinositides, which regulate clathrin bud assembly at the cell surface. Required for trafficking of LRP2 to the endocytic recycling compartment which is necessary for LRP2 proteolysis, releasing a tail fragment which translocates to the nucleus and mediates transcriptional repression (By similarity).
See full target information LDLRAP1

Publications (1)

Recent publications for all applications. Explore the full list and refine your search

Atherosclerosis 284:223-229 PubMed30777337

2019

A new variant (c.1A>G) in LDLRAP1 causing autosomal recessive hypercholesterolemia: Characterization of the defect and response to PCSK9 inhibition.

Applications

Unspecified application

Species

Unspecified reactive species

Carmen Rodríguez-Jiménez,Diego Gómez-Coronado,Manuel Frías Vargas,Francisca Cerrato,Carlos Lahoz,Jose Saban-Ruiz,Daniel González-Nieto,Miguel A Lasunción,José M Mostaza,Sonia Rodríguez-Nóvoa
View all publications

Product promise

We are committed to supporting your work with high-quality reagents, and we're here for you every step of the way. In the unlikely event that one of our products does not perform as expected, you're protected by our Product Promise.
For full details, please see our Terms & Conditions

Please note: All products are 'FOR RESEARCH USE ONLY. NOT FOR USE IN DIAGNOSTIC OR THERAPEUTIC PROCEDURES'.

For licensing inquiries, please contact partnerships@abcam.com