JavaScript is disabled in your browser. Please enable JavaScript to view this website.
AB204743

Anti-ARHGAP22 antibody

5

(1 Review)

|

(1 Publication)

Rabbit Polyclonal ARHGAP22 antibody. Suitable for IHC-P, WB and reacts with Human samples. Cited in 1 publication. Immunogen corresponding to Recombinant Fragment Protein within Human ARHGAP22 aa 450-600.

View Alternative Names

RHOGAP2, ARHGAP22, Rho GTPase-activating protein 22, Rho-type GTPase-activating protein 22

2 Images
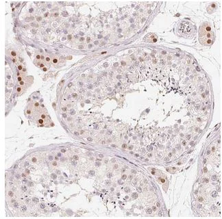
Immunohistochemistry (Formalin/PFA-fixed paraffin-embedded sections) - Anti-ARHGAP22 antibody (AB204743)
  • IHC-P

Supplier Data

Immunohistochemistry (Formalin/PFA-fixed paraffin-embedded sections) - Anti-ARHGAP22 antibody (AB204743)

Immunohistochemical analysis of paraffin-embedded Human testis tissue labeling ARHGAP22 with ab204743 at 1/50 dilution.

Western blot - Anti-ARHGAP22 antibody (AB204743)
  • WB

Supplier Data

Western blot - Anti-ARHGAP22 antibody (AB204743)

All lanes:

Western blot - Anti-ARHGAP22 antibody (ab204743) at 1/100 dilution

All lanes:

RT-4 cell lysate

Predicted band size: 77 kDa

false

Key facts

Host species

Rabbit

Clonality

Polyclonal

Isotype

IgG

Carrier free

No

Reacts with

Human

Applications

IHC-P, WB

applications

Immunogen

Recombinant Fragment Protein within Human ARHGAP22 aa 450-600. The exact immunogen used to generate this antibody is proprietary information.

Q7Z5H3

Reactivity data

{ "title": "Reactivity Data", "filters": { "stats": ["", "Species", "Dilution Info", "Notes"], "tabs": { "all-applications": {"fullname" : "All Applications", "shortname": "All Applications"}, "IHCP" : {"fullname" : "Immunohistochemistry (Formalin/PFA-fixed paraffin-embedded sections)", "shortname":"IHC-P"}, "WB" : {"fullname" : "Western blot", "shortname":"WB"} }, "product-promise": { "all": "all", "testedAndGuaranteed": "tested", "guaranteed": "expected", "predicted": "predicted", "notRecommended": "not-recommended" } }, "values": { "Human": { "IHCP-species-checked": "testedAndGuaranteed", "IHCP-species-dilution-info": "1/50 - 1/200", "IHCP-species-notes": "<p></p> Perform heat-mediated antigen retrieval with citrate buffer pH 6 before commencing with IHC staining protocol.", "WB-species-checked": "testedAndGuaranteed", "WB-species-dilution-info": "0.04-0.4 µg/mL", "WB-species-notes": "<p></p>" } } }

Properties and storage information

Form
Liquid
Purification technique
Affinity purification Immunogen
Storage buffer
pH: 7.2 Preservative: 0.02% Sodium azide Constituents: 59% PBS, 40% Glycerol (glycerin, glycerine)
Shipped at conditions
Blue Ice
Appropriate short-term storage duration
1-2 weeks
Appropriate short-term storage conditions
+4°C
Appropriate long-term storage conditions
-20°C
Aliquoting information
Upon delivery aliquot
Storage information
Avoid freeze / thaw cycle

Supplementary information

This supplementary information is collated from multiple sources and compiled automatically.

ARHGAP22 also known as Rho GTPase-activating protein 22 functions as a critical regulator of Rho family GTPases through GTPase activation which leads to the inactivation of RhoC and Cdc42. This protein includes the unique domains required for its GTPase-activating role and has a molecular mass of approximately 75 kDa. ARHGAP22 predominantly expresses in tissues such as the brain kidney and spleen.
Biological function summary

ARHGAP22 modulates actin organization which affects cell shape and motility. It plays a role in the regulation of cell migration and cytoskeleton dynamics. Though not part of a well-defined multiprotein complex ARHGAP22 interacts with other proteins involved in cytoskeletal rearrangement supporting cellular communication and migration processes.

Pathways

ARHGAP22 integrates into signaling cascades like the Rho GTPase cycle influencing cell migration pathways. It interacts with proteins such as RhoC and Cdc42 within these pathways contributing to dynamic cellular remodeling. The pathways linked to ARHGAP22 involve cytoskeletal reorganization affecting processes like angiogenesis and neural development.

ARHGAP22 has implications in cancer progression particularly through its role in metastasis. Overexpression or misregulation can contribute to enhanced cell migration and invasion leading to a more aggressive cancer phenotype. Additionally ARHGAP22 is connected to neurological disorders possibly through its impact on neural cell migration. Interaction with proteins such as Cdc42 can disrupt normal signaling leading to these pathological conditions.

Product protocols

For this product, it's our understanding that no specific protocols are required. You can visit:

Target data

Rho GTPase-activating protein involved in the signal transduction pathway that regulates endothelial cell capillary tube formation during angiogenesis. Acts as a GTPase activator for the RAC1 by converting it to an inactive GDP-bound state. Inhibits RAC1-dependent lamellipodia formation. May also play a role in transcription regulation via its interaction with VEZF1, by regulating activity of the endothelin-1 (EDN1) promoter (By similarity).
See full target information ARHGAP22

Publications (1)

Recent publications for all applications. Explore the full list and refine your search

Renal failure 47:2536729 PubMed40775604

2025

Identification of novel pathogenic mutations in associated with distal renal tubular acidosis and analysis of wild-type expression in glomerular disease.

Applications

Unspecified application

Species

Unspecified reactive species

Yaru Jiang,Menglu Ren,Chun Gan,Qing Yang,Huimin Jiang,Han Xiao,Xindi Zhou,Wanbing Chen,Xuejun Yang,Baohui Yang,Yaxi Chen,Mo Wang,Haiping Yang,Wei Jiang,Qiu Li
View all publications

Product promise

We are committed to supporting your work with high-quality reagents, and we're here for you every step of the way. In the unlikely event that one of our products does not perform as expected, you're protected by our Product Promise.
For full details, please see our Terms & Conditions

Please note: All products are 'FOR RESEARCH USE ONLY. NOT FOR USE IN DIAGNOSTIC OR THERAPEUTIC PROCEDURES'.

For licensing inquiries, please contact partnerships@abcam.com