JavaScript is disabled in your browser. Please enable JavaScript to view this website.
AB171973

Anti-ARHGAP27 antibody [EPR12250]

Be the first to review this product! Submit a review

|

(1 Publication)

Rabbit Recombinant Monoclonal ARHGAP27 antibody. Suitable for IHC-P, WB, ICC/IF, Flow Cyt (Intra) and reacts with Human samples. Cited in 1 publication.

View Alternative Names

CAMGAP1, SH3D20, PP905, ARHGAP27, Rho GTPase-activating protein 27, CIN85-associated multi-domain-containing Rho GTPase-activating protein 1, Rho-type GTPase-activating protein 27, SH3 domain-containing protein 20

5 Images
Immunohistochemistry (Formalin/PFA-fixed paraffin-embedded sections) - Anti-ARHGAP27 antibody [EPR12250] (AB171973)
  • IHC-P

Supplier Data

Immunohistochemistry (Formalin/PFA-fixed paraffin-embedded sections) - Anti-ARHGAP27 antibody [EPR12250] (AB171973)

Immunohistochemical analysis of paraffin-embedded Human pancreas tissue labeling ARHGAP27 with ab171973 at 1/100 dilution.

Perform heat mediated antigen retrieval with citrate buffer pH 6 before commencing with IHC staining protocol.

Immunocytochemistry/ Immunofluorescence - Anti-ARHGAP27 antibody [EPR12250] (AB171973)
  • ICC/IF

Supplier Data

Immunocytochemistry/ Immunofluorescence - Anti-ARHGAP27 antibody [EPR12250] (AB171973)

Immunofluorescent analysis of BxPC-3 cells labeling ARHGAP27 with ab171973 (green) at 1/50 dilution. DAPI nuclear staining (blue).

Western blot - Anti-ARHGAP27 antibody [EPR12250] (AB171973)
  • WB

Supplier Data

Western blot - Anti-ARHGAP27 antibody [EPR12250] (AB171973)

Note : primary antibody diluted in BSA.

All lanes:

Western blot - Anti-ARHGAP27 antibody [EPR12250] (ab171973) at 1/1000 dilution

Lane 1:

HepG2 cell lysate at 10 µg

Lane 2:

A549 cell lysate at 10 µg

Lane 3:

BxPC-3 cell lysate at 10 µg

Predicted band size: 98 kDa

false

Flow Cytometry (Intracellular) - Anti-ARHGAP27 antibody [EPR12250] (AB171973)
  • Flow Cyt (Intra)

Supplier Data

Flow Cytometry (Intracellular) - Anti-ARHGAP27 antibody [EPR12250] (AB171973)

Intracellular flow cytometric analysis of permeabilized A549 cells labeling ARHGAP27 with ab171973 at 1/10 dilution (red) or a Rabbit IgG (negative) (green).

Immunohistochemistry (Formalin/PFA-fixed paraffin-embedded sections) - Anti-ARHGAP27 antibody [EPR12250] (AB171973)
  • IHC-P

Unknown

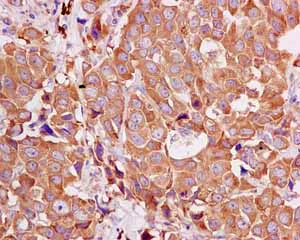
Immunohistochemistry (Formalin/PFA-fixed paraffin-embedded sections) - Anti-ARHGAP27 antibody [EPR12250] (AB171973)

Immunohistochemical analysis of paraffin-embedded Human breast carcinoma tissue labeling ARHGAP27 with ab171973 at 1/100 dilution.

Perform heat mediated antigen retrieval with citrate buffer pH 6 before commencing with IHC staining protocol.

Key facts

Host species

Rabbit

Clonality

Monoclonal

Clone number

EPR12250

Isotype

IgG

Carrier free

No

Reacts with

Human

Applications

IHC-P, Flow Cyt (Intra), WB, ICC/IF

applications

Immunogen

The exact immunogen used to generate this antibody is proprietary information.

Reactivity data

{ "title": "Reactivity Data", "filters": { "stats": ["", "Species", "Dilution Info", "Notes"], "tabs": { "all-applications": {"fullname" : "All Applications", "shortname": "All Applications"}, "IHCP" : {"fullname" : "Immunohistochemistry (Formalin/PFA-fixed paraffin-embedded sections)", "shortname":"IHC-P"}, "IP" : {"fullname" : "Immunoprecipitation", "shortname":"IP"}, "WB" : {"fullname" : "Western blot", "shortname":"WB"}, "ICCIF" : {"fullname" : "Immunocytochemistry/ Immunofluorescence", "shortname":"ICC/IF"}, "FlowCytIntra" : {"fullname" : "Flow Cytometry (Intracellular)", "shortname":"Flow Cyt (Intra)"} }, "product-promise": { "all": "all", "testedAndGuaranteed": "tested", "guaranteed": "expected", "predicted": "predicted", "notRecommended": "not-recommended" } }, "values": { "Human": { "IHCP-species-checked": "testedAndGuaranteed", "IHCP-species-dilution-info": "1/100 - 1/250", "IHCP-species-notes": "<p></p>", "IP-species-checked": "notRecommended", "IP-species-dilution-info": "", "IP-species-notes": "<p></p>", "WB-species-checked": "testedAndGuaranteed", "WB-species-dilution-info": "1/1000 - 1/5000", "WB-species-notes": "<p></p>", "ICCIF-species-checked": "testedAndGuaranteed", "ICCIF-species-dilution-info": "1/50 - 1/100", "ICCIF-species-notes": "<p></p>", "FlowCytIntra-species-checked": "testedAndGuaranteed", "FlowCytIntra-species-dilution-info": "1/10 - 1/100", "FlowCytIntra-species-notes": "<p><a href='/en-us/products/primary-antibodies/rabbit-igg-monoclonal-epr25a-isotype-control-ab172730'>ab172730</a> - Rabbit monoclonal IgG, is suitable for use as an isotype control with this antibody.</p>" } } }

Product details

Species reactivity
Mouse, Rat: We have preliminary internal testing data to indicate this antibody may not react with these species.
Please contact us for more information.

Patented technology
Our RabMAb® technology is a patented hybridoma-based technology for making rabbit monoclonal antibodies. For details on our patents, please refer to RabMAb® patents.

What are the advantages of a recombinant monoclonal antibody?
This product is a recombinant monoclonal antibody, which offers several advantages including:

  • - High batch-to-batch consistency and reproducibility
  • - Improved sensitivity and specificity
  • - Long-term security of supply
  • - Animal-free batch production

For more information, read more on recombinant antibodies.

Properties and storage information

Form
Liquid
Purification technique
Affinity purification Protein A
Storage buffer
pH: 7.2 - 7.4 Preservative: 0.01% Sodium azide Constituents: PBS, 50% Tissue culture supernatant, 40% Glycerol (glycerin, glycerine), 0.05% BSA
Shipped at conditions
Blue Ice
Appropriate short-term storage duration
1-2 weeks
Appropriate short-term storage conditions
+4°C
Appropriate long-term storage conditions
-20°C
Aliquoting information
Upon delivery aliquot
Storage information
Avoid freeze / thaw cycle

Supplementary information

This supplementary information is collated from multiple sources and compiled automatically.

ARHGAP27 also known as Rho GTPase-activating protein 27 is a regulatory protein with a mass of approximately 88 kDa. It modulates the activity of Rho family GTPases turning them from an active GTP-bound state to an inactive GDP-bound state. This protein mainly expresses in the brain and testis suggesting its specialized roles in these tissues. By controlling the actin cytoskeleton ARHGAP27 influences cell shape motility and division.
Biological function summary

The regulation of cytoskeletal dynamics involves ARHGAP27 in cellular processes. It plays a part in endocytosis a process important for internalizing molecules from the cell surface. ARHGAP27 functions in coordination with other GAPs (GTPase-activating proteins) to achieve its role. It does not operate singularly but can interact within a larger protein complex to exert its function effectively.

Pathways

ARHGAP27 participates within the regulation of Rho GTPase cycle pathway. This pathway is significant for actin cytoskeleton organization. ARHGAP27 interfaces with other proteins like Cdc42 and Rac1 which play pivotal roles in signal transduction related to cytoskeletal arrangements and cellular responses. The protein's modulation of these GTPases impacts intracellular signaling cascades that adjust the organization of actin filaments.

ARHGAP27 associations relate to neurodevelopmental conditions and certain cancers. Mutations or dysregulation of ARHGAP27 may contribute to improper neural connections or tumor development. In some cancer studies researchers identify links between ARHGAP27 and the oncogenic protein RhoA. The interactions and pathways involving ARHGAP27 provide insights into its contributions to pathological states highlighting its potential as a biomarker or therapeutic target.

Product protocols

For this product, it's our understanding that no specific protocols are required. You can visit:

Target data

Rho GTPase-activating protein which may be involved in clathrin-mediated endocytosis. GTPase activators for the Rho-type GTPases act by converting them to an inactive GDP-bound state. Has activity toward CDC42 and RAC1 (By similarity).
See full target information ARHGAP27

Publications (1)

Recent publications for all applications. Explore the full list and refine your search

Biomolecules & biomedicine 25:1801-1815 PubMed40167359

2025

Silencing CACYBP suppresses lung adenocarcinoma growth via CDK1 inhibition.

Applications

Unspecified application

Species

Unspecified reactive species

Ge Wen,Shaoqing Niu,Shiqi Mei,Senming Wang
View all publications

Product promise

We are committed to supporting your work with high-quality reagents, and we're here for you every step of the way. In the unlikely event that one of our products does not perform as expected, you're protected by our Product Promise.
For full details, please see our Terms & Conditions

Please note: All products are 'FOR RESEARCH USE ONLY. NOT FOR USE IN DIAGNOSTIC OR THERAPEUTIC PROCEDURES'.

For licensing inquiries, please contact partnerships@abcam.com