JavaScript is disabled in your browser. Please enable JavaScript to view this website.
AB222815

Anti-ARHGAP42 antibody

Be the first to review this product! Submit a review

|

(1 Publication)

Rabbit Polyclonal ARHGAP42 antibody. Suitable for WB, IHC-P and reacts with Human samples. Cited in 1 publication. Immunogen corresponding to Recombinant Fragment Protein within Human ARHGAP42 aa 500-750.

View Alternative Names

GRAF3, TMEM133, ARHGAP42, Rho GTPase-activating protein 42, Rho GTPase-activating protein 10-like, Rho-type GTPase-activating protein 42

3 Images
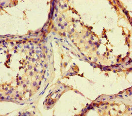
Immunohistochemistry (Formalin/PFA-fixed paraffin-embedded sections) - Anti-ARHGAP42 antibody (AB222815)
  • IHC-P

Supplier Data

Immunohistochemistry (Formalin/PFA-fixed paraffin-embedded sections) - Anti-ARHGAP42 antibody (AB222815)

Paraffin-embedded human testis tissue stained for ARHGAP42 using ab222815 at 1/100 dilution in immunohistochemical analysis.

Immunohistochemistry (Formalin/PFA-fixed paraffin-embedded sections) - Anti-ARHGAP42 antibody (AB222815)
  • IHC-P

Supplier Data

Immunohistochemistry (Formalin/PFA-fixed paraffin-embedded sections) - Anti-ARHGAP42 antibody (AB222815)

Paraffin-embedded human brain tissue stained for ARHGAP42 using ab222815 at 1/100 dilution in immunohistochemical analysis.

Western blot - Anti-ARHGAP42 antibody (AB222815)
  • WB

Supplier Data

Western blot - Anti-ARHGAP42 antibody (AB222815)

All lanes:

Western blot - Anti-ARHGAP42 antibody (ab222815) at 1/2000 dilution

All lanes:

Human placenta lysate

Secondary

All lanes:

Goat polyclonal to rabbit IgG at 1/50000 dilution

Predicted band size: 99 kDa

Observed band size: 99 kDa

false

Key facts

Host species

Rabbit

Clonality

Polyclonal

Isotype

IgG

Carrier free

No

Reacts with

Human

Applications

IHC-P, WB

applications

Immunogen

Recombinant Fragment Protein within Human ARHGAP42 aa 500-750. The exact immunogen used to generate this antibody is proprietary information.

A6NI28

Reactivity data

{ "title": "Reactivity Data", "filters": { "stats": ["", "Species", "Dilution Info", "Notes"], "tabs": { "all-applications": {"fullname" : "All Applications", "shortname": "All Applications"}, "WB" : {"fullname" : "Western blot", "shortname":"WB"}, "IHCP" : {"fullname" : "Immunohistochemistry (Formalin/PFA-fixed paraffin-embedded sections)", "shortname":"IHC-P"} }, "product-promise": { "all": "all", "testedAndGuaranteed": "tested", "guaranteed": "expected", "predicted": "predicted", "notRecommended": "not-recommended" } }, "values": { "Human": { "WB-species-checked": "testedAndGuaranteed", "WB-species-dilution-info": "1/2000 - 1/10000", "WB-species-notes": "<p></p>", "IHCP-species-checked": "testedAndGuaranteed", "IHCP-species-dilution-info": "1/20 - 1/200", "IHCP-species-notes": "<p></p>" }, "Mouse": { "WB-species-checked": "predicted", "WB-species-dilution-info": "", "WB-species-notes": "", "IHCP-species-checked": "predicted", "IHCP-species-dilution-info": "", "IHCP-species-notes": "" } } }

Properties and storage information

Form
Liquid
Purification technique
Affinity purification Protein G
Purification notes
Purity >95%.
Storage buffer
pH: 7.4 Preservative: 0.03% Proclin 300 Constituents: PBS, 50% Glycerol (glycerin, glycerine)
Shipped at conditions
Blue Ice
Appropriate short-term storage duration
1-2 weeks
Appropriate short-term storage conditions
+4°C
Appropriate long-term storage conditions
-20°C
Aliquoting information
Upon delivery aliquot
Storage information
Avoid freeze / thaw cycle

Supplementary information

This supplementary information is collated from multiple sources and compiled automatically.

ARHGAP42 also known as Rho GTPase-activating protein 42 is involved in regulating the Rho family of GTPases. This protein functions by stimulating the GTPase activity leading to the conversion of active GTP-bound Rho to its inactive GDP-bound form. The molecular mass of ARHGAP42 is approximately 106 kDa. Expression of ARHGAP42 occurs in various tissues notably in vascular smooth muscle cells. It plays a significant role in cellular processes through its regulatory activity.
Biological function summary

ARHGAP42 influences the dynamics of actin cytoskeleton and cell shape by acting within the Rho GTPase family network. It may form part of larger protein complexes where it interacts with other cellular proteins to modulate cellular functions critical for maintaining cellular integrity and motility. Through its activity ARHGAP42 contributes to the regulation of vascular tone and blood pressure which are important in cardiovascular physiology.

Pathways

ARHGAP42 serves as an integral component in the Rho signaling pathway. This pathway is essential for the regulation of cytoskeletal remodeling and is important for processes such as cell migration and morphology. ARHGAP42 interacts with associated proteins like RhoA a prominent member of the Rho GTPase family to exert its function within the Rho signaling cascade. Additionally it intersects with the vascular smooth muscle contraction pathway further supporting its role in cardiovascular system regulation.

ARHGAP42 links closely to hypertension and cardiovascular disease. Its regulation of vascular tone implicates it as a basis for understanding hypertensive disorders. Imbalance in ARHGAP42 function can lead to abnormal blood pressure regulation. Also interactions between ARHGAP42 and RhoA advance the understanding of such disorders since disruptions in the Rho pathway can affect normal cardiovascular functions.

Product protocols

For this product, it's our understanding that no specific protocols are required. You can visit:

Target data

May influence blood pressure by functioning as a GTPase-activating protein for RHOA in vascular smooth muscle.
See full target information ARHGAP42

Publications (1)

Recent publications for all applications. Explore the full list and refine your search

Cell death & disease 14:248 PubMed37024473

2023

Sphingomyelin 16:0 is a therapeutic target for neuronal death in acid sphingomyelinase deficiency.

Applications

Unspecified application

Species

Unspecified reactive species

Ángel Gaudioso,Xuntian Jiang,Josefina Casas,Edward H Schuchman,María Dolores Ledesma
View all publications

Product promise

We are committed to supporting your work with high-quality reagents, and we're here for you every step of the way. In the unlikely event that one of our products does not perform as expected, you're protected by our Product Promise.
For full details, please see our Terms & Conditions

Please note: All products are 'FOR RESEARCH USE ONLY. NOT FOR USE IN DIAGNOSTIC OR THERAPEUTIC PROCEDURES'.

For licensing inquiries, please contact partnerships@abcam.com