JavaScript is disabled in your browser. Please enable JavaScript to view this website.
AB217154

Anti-ARID1A antibody [EPR13501] - BSA and Azide free

  • Recombinant
  • KO Validated
  • Advanced Validation
  • RabMAb
  • What is this?

Be the first to review this product! Submit a review

|

(2 Publications)

Rabbit Recombinant Monoclonal ARID1A antibody. Carrier free. Suitable for IHC-P, ChIC/CUT&RUN-seq, ICC/IF, WB, Flow Cyt (Intra) and reacts with Rat, Mouse, Human samples. Cited in 2 publications.

View Alternative Names

BAF250, BAF250A, C1orf4, OSA1, SMARCF1, ARID1A, AT-rich interactive domain-containing protein 1A, ARID domain-containing protein 1A, B120, BRG1-associated factor 250, BRG1-associated factor 250a, Osa homolog 1, SWI-like protein, SWI/SNF complex protein p270, hELD, hOSA1

14 Images
Immunocytochemistry/ Immunofluorescence - Anti-ARID1A antibody [EPR13501] - BSA and Azide free (AB217154)
  • ICC/IF

Lab

Immunocytochemistry/ Immunofluorescence - Anti-ARID1A antibody [EPR13501] - BSA and Azide free (AB217154)

Clone EPR13501 (ab217154) has been successfully conjugated by Abcam. This image was generated using Anti-ARID1A antibody [EPR13501] (Alexa Fluor® 488). Please refer to ab216112 for protocol details.

ab216112 staining ARID1A in wild-type HAP1 cells (top panel) and ARID1A knockout HAP1 cells (bottom panel). The cells were fixed with 100% methanol (5min), permeabilized with 0.1% Triton X-100 for 5 minutes and then blocked with 1% BSA/10% normal goat serum/0.3M glycine in 0.1% PBS-Tween for 1h. The cells were then incubated with ab216112 at 1/500 dilution (shown in green) and ab195889 at 1/250 dilution (shown in pseudo colour red) overnight at +4°C. Nuclear DNA was labelled in blue with DAPI.

Image was taken with a confocal microscope (Leica-Microsystems, TCS SP8).

Immunocytochemistry/ Immunofluorescence - Anti-ARID1A antibody [EPR13501] - BSA and Azide free (AB217154)
  • ICC/IF

Lab

Immunocytochemistry/ Immunofluorescence - Anti-ARID1A antibody [EPR13501] - BSA and Azide free (AB217154)

ab182560 staining ARID1A in wild-type HAP1 cells (top panel) and ARID1A knockout HAP1 cells (bottom panel). The cells were fixed with 4% formaldehyde (10min), permeabilized with 0.1% Triton X-100 for 5 minutes and then blocked with 1% BSA/10% normal goat serum/0.3M glycine in 0.1% PBS-Tween for 1h. The cells were then incubated with ab182560 at 1/500 dilution and ab195889 at 1/250 dilution (shown in pseudo colour red) overnight at +4°C, followed by a further incubation at room temperature for 1h with a goat secondary antibody to Rabbit IgG (Alexa Fluor® 488) (ab150081) at 2 μg/ml (shown in green). Nuclear DNA was labelled in blue with DAPI.

This data was developed using the same antibody clone in a different buffer formulation containing PBS, BSA, glycerol, and sodium azide (ab182560).

Immunocytochemistry/ Immunofluorescence - Anti-ARID1A antibody [EPR13501] - BSA and Azide free (AB217154)
  • ICC/IF

Supplier Data

Immunocytochemistry/ Immunofluorescence - Anti-ARID1A antibody [EPR13501] - BSA and Azide free (AB217154)

Immunofluorescent analysis of SH-SY5Y cells labeling ARID1A with ab182560 at 1/500 and Goat anti rabbit IgG(Alexa Fluor®555) at 1/200. Image at the right stained with DAPI.

This data was developed using the same antibody clone in a different buffer formulation containing PBS, BSA, glycerol, and sodium azide (ab182560).

Immunocytochemistry/ Immunofluorescence - Anti-ARID1A antibody [EPR13501] - BSA and Azide free (AB217154)
  • ICC/IF

Collaborator

Immunocytochemistry/ Immunofluorescence - Anti-ARID1A antibody [EPR13501] - BSA and Azide free (AB217154)

This data was developed using ab182560, the same antibody clone in a different buffer formulation.

ab182560 was shown to react with ARID1A in wild-type HAP1 cells in immunocytochemistry with loss of signal observed in a ARID1A knockout cell line. Wild-type and knockout cells were mixed and pelleted at a 1 : 1 ratio on coverslips. The cells were fixed with 4% paraformaldehyde (15 min) then permeabilized with 0.1% Triton X-100 (10min) and then blocked with 1x PBS, 0.01% Triton X-100, 5% BSA, 5% NGS. The cells were then incubated with ab182560 at 1/2000 dilution overnight at 4°C followed by a further incubation at room temperature for 1h with a goat anti-rabbit secondary antibody to (Alexa Fluor® 555) at 0.5 µg/ml. Acquisition of the green (wild-type), red (antibody staining) and far-red (knockout) channels was performed. Representative grayscale images of the red channel are shown. Wild-type and knockout cells are outlined with yellow and magenta dashed line, respectively. Schematic representation of the mosaic strategy used is shown on the bottom-right panel. Image was acquired with a Zeiss(LSM-880).

This data was provided by YCharOS Inc., an open science company with the mission of characterizing commercially available antibody reagents for all human proteins. Abcam and YCharOS are working together to help address the reproducibility crisis by enabling the life science community to better evaluate commercially available antibodies.

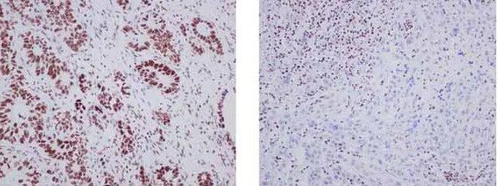
Immunohistochemistry (Formalin/PFA-fixed paraffin-embedded sections) - Anti-ARID1A antibody [EPR13501] - BSA and Azide free (AB217154)
  • IHC-P

Supplier Data

Immunohistochemistry (Formalin/PFA-fixed paraffin-embedded sections) - Anti-ARID1A antibody [EPR13501] - BSA and Azide free (AB217154)

This IHC data was generated using the same anti-ARID1A antibody clone, EPR13501, in a different buffer formulation (cat# ab182560).

Immunohistochemical analysis of paraffin embedded Human kidney tissue (Left image) labeling ARID1A using ab182560 at 1/1000 dilution. Right image : Right picture : paraffine embedded human clear cell carcinoma of kidney with ARID1A mutation. A Ready to use HRP Polymer for Rabbit IgG (prediluted) was used as secondary. Counterstain : Hematoxylin.

Perform heat mediated antigen retrieval with EDTA buffer pH 9 before commencing with IHC staining protocol.

Flow Cytometry (Intracellular) - Anti-ARID1A antibody [EPR13501] - BSA and Azide free (AB217154)
  • Flow Cyt (Intra)

Lab

Flow Cytometry (Intracellular) - Anti-ARID1A antibody [EPR13501] - BSA and Azide free (AB217154)

Intracellular Flow Cytometry analysis of SH-SY5Y (human neuroblastoma) cells labeling ARID1A with purified ab182560 at 1/230 dilution (10ug/ml) (red). Cells were fixed with 4% paraformaldehyde and permeabilised with 90% methanol. A Goat anti rabbit IgG (Alexa Fluor® 488) (1/2000 dilution) was used as the secondary antibody. Rabbit monoclonal IgG (Black) was used as the isotype control, cells without incubation with primary antibody and secondary antibody (Blue) were used as the unlabeled control.

This data was developed using the same antibody clone in a different buffer formulation containing PBS, BSA, glycerol, and sodium azide (ab182560).

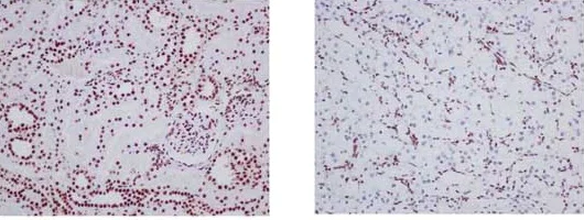
Immunohistochemistry (Formalin/PFA-fixed paraffin-embedded sections) - Anti-ARID1A antibody [EPR13501] - BSA and Azide free (AB217154)
  • IHC-P

Supplier Data

Immunohistochemistry (Formalin/PFA-fixed paraffin-embedded sections) - Anti-ARID1A antibody [EPR13501] - BSA and Azide free (AB217154)

Immunohistochemical analysis of paraffin embedded Human adenocarcinoma of endometrium without ARID1A mutation (Left image) labeling ARID1A using ab182560 at 1/1000 dilution. Right image : Right picture : paraffine embedded human adenocarcinoma of endometrium with ARID1A mutation. A Ready to use HRP Polymer for Rabbit IgG (prediluted) was used as secondary. Counterstain : Hematoxylin.

This data was developed using the same antibody clone in a different buffer formulation containing PBS, BSA, glycerol, and sodium azide (ab182560).

Perform heat mediated antigen retrieval with EDTA buffer pH 9 before commencing with IHC staining protocol.

Immunocytochemistry/ Immunofluorescence - Anti-ARID1A antibody [EPR13501] - BSA and Azide free (AB217154)
  • ICC/IF

Lab

Immunocytochemistry/ Immunofluorescence - Anti-ARID1A antibody [EPR13501] - BSA and Azide free (AB217154)

Clone EPR13501 (ab217154) has been successfully conjugated by Abcam. This image was generated using Anti-ARID1A antibody [EPR13501] (Alexa Fluor® 647). Please refer to ab216304 for protocol details.

ab216304 staining ARID1A in wild-type HAP1 cells (top panel) and ARID1A knockout HAP1 cells (bottom panel). The cells were fixed with 100% methanol (5min), permeabilized with 0.1% Triton X-100 for 5 minutes and then blocked with 1% BSA/10% normal goat serum/0.3M glycine in 0.1% PBS-Tween for 1h. The cells were then incubated with ab216304 at 1/500 dilution (shown in red) and ab195887 at 1/250 dilution (shown in green) overnight at +4°C. Nuclear DNA was labelled in blue with DAPI.

Image was taken with a confocal microscope (Leica-Microsystems, TCS SP8).

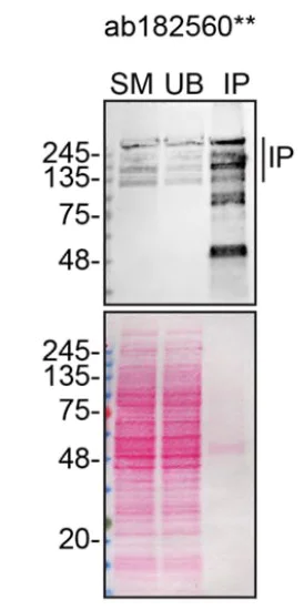
Immunoprecipitation - Anti-ARID1A antibody [EPR13501] - BSA and Azide free (AB217154)
  • IP

Collaborator

Immunoprecipitation - Anti-ARID1A antibody [EPR13501] - BSA and Azide free (AB217154)

This data was developed using ab182560, the same antibody clone in a different buffer formulation.

Immunoprecipitation of ARID1A in HAP1 cells. Lysates were prepared and immunoprecipitation was performed using 2μg of ab182560 pre-coupled to Protein A beads. Samples were then washed and processed for western blot.

This data was provided by YCharOS Inc., an open science company with the mission of characterizing commercially available antibody reagents for all human proteins. Abcam and YCharOS are working together to help address the reproducibility crisis by enabling the life science community to better evaluate commercially available antibodies.

false

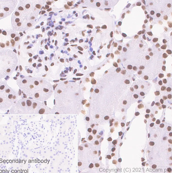
Immunohistochemistry (Formalin/PFA-fixed paraffin-embedded sections) - Anti-ARID1A antibody [EPR13501] - BSA and Azide free (AB217154)
  • IHC-P

Lab

Immunohistochemistry (Formalin/PFA-fixed paraffin-embedded sections) - Anti-ARID1A antibody [EPR13501] - BSA and Azide free (AB217154)

This data was developed using ab182560, the same antibody clone in a different buffer formulation.

Immunohistochemical analysis of formalin fixed paraffin embedded rat kidney labelling ARID1A with ab182560 at a concentration of 1/2500 dilution. The section was incubated with ab182560 for 10 mins at room temperature. The immunostaining was performed on a Leica Biosystems BOND® RX instrument. A ready to use Rabbit specific IHC polymer detection kit HRP/DAB was used as a secondary. Sections were counterstained with Hematoxylin.

Heat mediated antigen retrieval was performed with Citrate buffer (pH 9.0, Epitope Retrieval Solution 2) for 20 mins.

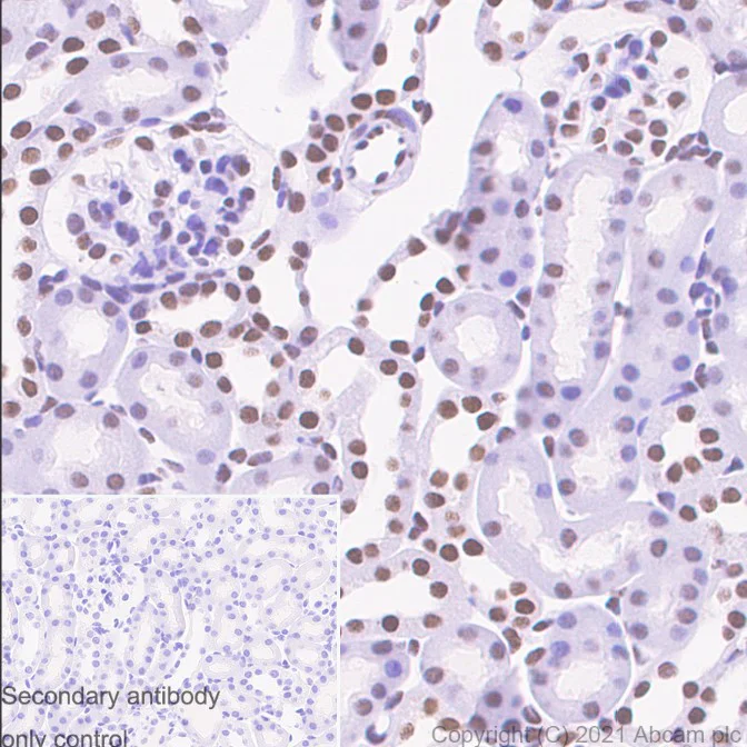
Immunohistochemistry (Formalin/PFA-fixed paraffin-embedded sections) - Anti-ARID1A antibody [EPR13501] - BSA and Azide free (AB217154)
  • IHC-P

Lab

Immunohistochemistry (Formalin/PFA-fixed paraffin-embedded sections) - Anti-ARID1A antibody [EPR13501] - BSA and Azide free (AB217154)

This data was developed using ab182560, the same antibody clone in a different buffer formulation.

Immunohistochemical analysis of formalin fixed paraffin embedded mouse kidney labelling ARID1A with ab182560 at a concentration of 1/2500 dilution. The section was incubated with ab182560 for 10 mins at room temperature. The immunostaining was performed on a Leica Biosystems BOND® RX instrument. A ready to use Rabbit specific IHC polymer detection kit HRP/DAB (ab209101) was used as a secondary. Sections were counterstained with Hematoxylin.

Heat mediated antigen retrieval was performed with Citrate buffer (pH 9.0, Epitope Retrieval Solution 2) for 20 mins.

Western blot - Anti-ARID1A antibody [EPR13501] - BSA and Azide free (AB217154)
  • WB

Lab

Western blot - Anti-ARID1A antibody [EPR13501] - BSA and Azide free (AB217154)

This data was developed using the same antibody clone in a different buffer formulation (ab182560).

Lanes 1 - 3 : Merged signal (red and green). Green - ab182560 observed at 270 kDa. Red - loading control ab8245 (Mouse anti-GAPDH antibody [6C5]) observed at 37 kDa.

ab182560 was shown to react with ARID1A in wild-type HEK-293T cells in Western blot with loss of signal observed in ARID1A knockout cell line ab266189 (ARID1A knockout cell lysate ab257250). Wild-type HEK-293T and ARID1A knockout cell lysates were subjected to SDS-PAGE. Membranes were blocked in 3 % milk in TBS-T (0.1 % Tween®) before incubation with ab182560 and ab8245 (Mouse anti-GAPDH antibody [6C5]) overnight at 4°C at a 1 in 1000 dilution and a 1 in 20000 dilution respectively. Blots were incubated with Goat anti-Rabbit IgG H&L (IRDye® 800CW) preabsorbed (ab216773) and Goat anti-Mouse IgG H&L (IRDye® 680RD) preabsorbed (ab216776) secondary antibodies at 1 in 20000 dilution for 1 h at room temperature before imaging.

All lanes:

Western blot - Anti-ARID1A antibody [EPR13501] (<a href='/en-us/products/primary-antibodies/arid1a-antibody-epr13501-ab182560'>ab182560</a>) at 1/1000 dilution

Lane 1:

Wild-type HEK-293T cell lysate at 20 µg

Lane 2:

Western blot - Human ARID1A knockout HEK-293T cell lysate (<a href='/en-us/products/cell-lysates/human-arid1a-knockout-hek-293t-cell-lysate-ab257250'>ab257250</a>) at 20 µg

Lane 3:

SH-SY5Y cell lysate at 20 µg

Secondary

Lanes 1 - 3:

Western blot - Goat anti-Rabbit IgG H&L (IRDye® 800CW) preadsorbed (<a href='/en-us/products/secondary-antibodies/goat-rabbit-igg-h-l-irdye-800cw-preadsorbed-ab216773'>ab216773</a>) at 1/20000 dilution

Lanes 1 - 3:

Western blot - Goat anti-Mouse IgG H&L (IRDye® 680RD) preadsorbed (<a href='/en-us/products/secondary-antibodies/goat-mouse-igg-h-l-irdye-680rd-preadsorbed-ab216776'>ab216776</a>) at 1/20000 dilution

Predicted band size: 242 kDa

Observed band size: 270 kDa

false

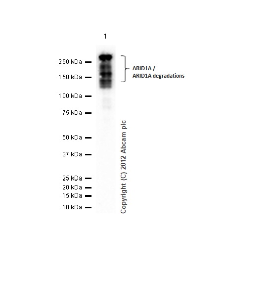
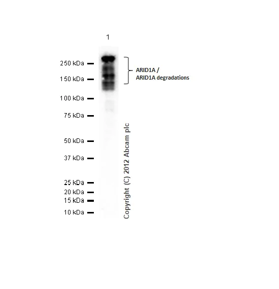
Western blot - Anti-ARID1A antibody [EPR13501] - BSA and Azide free (AB217154)
  • WB

Lab

Western blot - Anti-ARID1A antibody [EPR13501] - BSA and Azide free (AB217154)

This data was developed using the same antibody clone in a different buffer formulation (ab182560).

Blocking buffer and concentration : 5% NFDM/TBS

ARID1A has many mutations which typically generate truncated proteins that are highly prone to degradation. (PMID : 21614196, PMID : 29486633, PMID : 34429326).

All lanes:

Western blot - Anti-ARID1A antibody [EPR13501] (<a href='/en-us/products/primary-antibodies/arid1a-antibody-epr13501-ab182560'>ab182560</a>) at 1/1000 dilution

All lanes:

293T (Human embryonic kidney epithelial cell) whole cell lysate at 20 µg

Secondary

All lanes:

Western blot - Goat Anti-Rabbit IgG H&L (HRP) (<a href='/en-us/products/secondary-antibodies/goat-rabbit-igg-h-l-hrp-ab97051'>ab97051</a>) at 1/20000 dilution

Observed band size: 130-270 kDa

false

Exposure time: 20s

ChIC/CUT&RUN sequencing - Anti-ARID1A antibody [EPR13501] - BSA and Azide free (AB217154)
  • ChIC/CUT&RUN-seq

Supplier Data

ChIC/CUT&RUN sequencing - Anti-ARID1A antibody [EPR13501] - BSA and Azide free (AB217154)

ChIC/CUT&RUN was performed using a pAG-MNAse at a final concentration of 700 ng/mL, 2.5 x 10^5 HCT116 cells and 5µg of ab182560 [EPR13501]. The resulting DNA was sequenced on the Illumina NovaSeq 6000 to a depth of 10 million reads. The negative IgG control ab172730 is also shown. Additional screenshots of mapped reads can be found in the Protocol booklet in the Product Protocol section. The University of Geneva owns patents relevant to ChIC (Chromatin Immuno-Cleavage) methods. This data was developed using the same antibody clone in a different buffer formulation (ab182560).

Key facts

Host species

Rabbit

Clonality

Monoclonal

Clone number

EPR13501

Isotype

IgG

Carrier free

Yes

Reacts with

Mouse, Rat, Human

Applications

WB, ICC/IF, IHC-P, ChIC/CUT&RUN-seq, Flow Cyt (Intra)

applications

Immunogen

The exact immunogen used to generate this antibody is proprietary information.

Reactivity data

{ "title": "Reactivity Data", "filters": { "stats": ["", "Species", "Dilution Info", "Notes"], "tabs": { "all-applications": {"fullname" : "All Applications", "shortname": "All Applications"}, "IHCP" : {"fullname" : "Immunohistochemistry (Formalin/PFA-fixed paraffin-embedded sections)", "shortname":"IHC-P"}, "ChICCUTRUNseq" : {"fullname" : "ChIC/CUT&RUN sequencing", "shortname":"ChIC/CUT&RUN-seq"}, "ICCIF" : {"fullname" : "Immunocytochemistry/ Immunofluorescence", "shortname":"ICC/IF"}, "WB" : {"fullname" : "Western blot", "shortname":"WB"}, "FlowCytIntra" : {"fullname" : "Flow Cytometry (Intracellular)", "shortname":"Flow Cyt (Intra)"}, "ChIP" : {"fullname" : "ChIP", "shortname":"ChIP"} }, "product-promise": { "all": "all", "testedAndGuaranteed": "tested", "guaranteed": "expected", "predicted": "predicted", "notRecommended": "not-recommended" } }, "values": { "Human": { "IHCP-species-checked": "testedAndGuaranteed", "IHCP-species-dilution-info": "", "IHCP-species-notes": "<p></p>", "ChICCUTRUNseq-species-checked": "testedAndGuaranteed", "ChICCUTRUNseq-species-dilution-info": "", "ChICCUTRUNseq-species-notes": "<p></p>", "ICCIF-species-checked": "testedAndGuaranteed", "ICCIF-species-dilution-info": "", "ICCIF-species-notes": "<p></p>", "WB-species-checked": "testedAndGuaranteed", "WB-species-dilution-info": "1/1000", "WB-species-notes": "<p></p>", "FlowCytIntra-species-checked": "testedAndGuaranteed", "FlowCytIntra-species-dilution-info": "", "FlowCytIntra-species-notes": "<p><a href='/en-us/products/primary-antibodies/rabbit-igg-monoclonal-epr25a-isotype-control-low-endotoxin-azide-free-ab199376'>ab199376</a> - Rabbit monoclonal IgG (Low endotoxin, Azide free), is suitable for use as an isotype control with this antibody.</p>", "ChIP-species-checked": "notRecommended", "ChIP-species-dilution-info": "", "ChIP-species-notes": "<p></p>" }, "Mouse": { "IHCP-species-checked": "testedAndGuaranteed", "IHCP-species-dilution-info": "", "IHCP-species-notes": "<p></p> Perform heat-mediated antigen retrieval with citrate buffer pH 6 before commencing with IHC staining protocol.", "ChICCUTRUNseq-species-checked": "guaranteed", "ChICCUTRUNseq-species-dilution-info": "", "ChICCUTRUNseq-species-notes": "", "ICCIF-species-checked": "guaranteed", "ICCIF-species-dilution-info": "", "ICCIF-species-notes": "", "WB-species-checked": "guaranteed", "WB-species-dilution-info": "", "WB-species-notes": "", "FlowCytIntra-species-checked": "guaranteed", "FlowCytIntra-species-dilution-info": "", "FlowCytIntra-species-notes": "", "ChIP-species-checked": "notRecommended", "ChIP-species-dilution-info": "", "ChIP-species-notes": "" }, "Rat": { "IHCP-species-checked": "testedAndGuaranteed", "IHCP-species-dilution-info": "", "IHCP-species-notes": "<p></p> Perform heat-mediated antigen retrieval with citrate buffer pH 6 before commencing with IHC staining protocol.", "ChICCUTRUNseq-species-checked": "guaranteed", "ChICCUTRUNseq-species-dilution-info": "", "ChICCUTRUNseq-species-notes": "", "ICCIF-species-checked": "guaranteed", "ICCIF-species-dilution-info": "", "ICCIF-species-notes": "", "WB-species-checked": "guaranteed", "WB-species-dilution-info": "", "WB-species-notes": "", "FlowCytIntra-species-checked": "guaranteed", "FlowCytIntra-species-dilution-info": "", "FlowCytIntra-species-notes": "", "ChIP-species-checked": "notRecommended", "ChIP-species-dilution-info": "", "ChIP-species-notes": "" } } }

Product details

ab217154 is the carrier-free version of ab182560.

Patented technology
Our RabMAb® technology is a patented hybridoma-based technology for making rabbit monoclonal antibodies. For details on our patents, please refer to RabMAb® patents.

What are the advantages of a recombinant monoclonal antibody?
This product is a recombinant monoclonal antibody, which offers several advantages including:

  • - High batch-to-batch consistency and reproducibility
  • - Improved sensitivity and specificity
  • - Long-term security of supply
  • - Animal-free batch production

For more information, read more on recombinant antibodies.

Conjugation ready
Our carrier-free antibodies are typically supplied in a PBS-only formulation, purified and free of BSA, sodium azide and glycerol. This conjugation-ready format is designed for use with fluorochromes, metal isotopes, oligonucleotides, and enzymes, which makes them ideal for antibody labelling, functional and cell-based assays, flow-based assays (e.g. mass cytometry) and Multiplex Imaging applications.

Use our conjugation kits for antibody conjugates that are ready-to-use in as little as 20 minutes with 1 minute hands-on-time and 100% antibody recovery: available for fluorescent dyes, HRP, biotin and gold.

Compatibility
This product is compatible with the Maxpar® Antibody Labeling Kit from Fluidigm, without the need for antibody preparation. Maxpar® is a trademark of Fluidigm Canada Inc.

Properties and storage information

Form
Liquid
Purification technique
Affinity purification Protein A
Storage buffer
pH: 7.2 - 7.4 Constituents: PBS
Shipped at conditions
Blue Ice
Appropriate short-term storage conditions
+4°C
Appropriate long-term storage conditions
+4°C
Storage information
Do Not Freeze

Supplementary information

This supplementary information is collated from multiple sources and compiled automatically.

ARID1A also known as BAF250A is a protein encoded by the ARID1A gene and forms part of the SWI/SNF chromatin remodeling complex. The molecular weight of ARID1A is approximately 270 kDa. This protein is expressed in many tissues but higher expression is noted in the liver kidney and placenta. ARID1A contains an ARID (A-T Rich Interaction Domain) which allows it to bind DNA influencing transcription regulation significantly.
Biological function summary

ARID1A impacts cellular functions through its role in the SWI/SNF complex. This complex modulates chromatin structure and is integral to DNA accessibility which in turn controls gene expression. ARID1A's involvement helps in regulating transcription factors and affects processes such as cell growth and differentiation. Its function is necessary for maintaining proper cell proliferation and apoptosis balance.

Pathways

ARID1A plays a central role in transcriptional regulation and cell cycle control. It shows interaction with the tumor suppressor protein p53 and is implicated in the PI3K/AKT signaling pathway. ARID1A's function in these pathways affects cellular responses to DNA damage and growth signals linking it closely to important cellular fate decisions.

Mutations or loss of function in ARID1A has been strongly associated with various cancers including ovarian and endometrial cancers. In these contexts ARID1A dysfunction often occurs alongside other proteins such as p53 contributing to tumorigenesis by deregulating tumor suppressive pathways. It also holds a potential connection to neurodevelopmental disorders due to its role in chromatin remodeling and gene expression.

Product protocols

For this product, it's our understanding that no specific protocols are required. You can visit:

Target data

Involved in transcriptional activation and repression of select genes by chromatin remodeling (alteration of DNA-nucleosome topology). Component of SWI/SNF chromatin remodeling complexes that carry out key enzymatic activities, changing chromatin structure by altering DNA-histone contacts within a nucleosome in an ATP-dependent manner. Binds DNA non-specifically. Belongs to the neural progenitors-specific chromatin remodeling complex (npBAF complex) and the neuron-specific chromatin remodeling complex (nBAF complex). During neural development a switch from a stem/progenitor to a postmitotic chromatin remodeling mechanism occurs as neurons exit the cell cycle and become committed to their adult state. The transition from proliferating neural stem/progenitor cells to postmitotic neurons requires a switch in subunit composition of the npBAF and nBAF complexes. As neural progenitors exit mitosis and differentiate into neurons, npBAF complexes which contain ACTL6A/BAF53A and PHF10/BAF45A, are exchanged for homologous alternative ACTL6B/BAF53B and DPF1/BAF45B or DPF3/BAF45C subunits in neuron-specific complexes (nBAF). The npBAF complex is essential for the self-renewal/proliferative capacity of the multipotent neural stem cells. The nBAF complex along with CREST plays a role regulating the activity of genes essential for dendrite growth (By similarity).
See full target information ARID1A

Publications (2)

Recent publications for all applications. Explore the full list and refine your search

Oxidative medicine and cellular longevity 2021:3298400 PubMed34777683

2021

Trilobatin Alleviates Cognitive Deficits and Pathologies in an Alzheimer's Disease Mouse Model.

Applications

Unspecified application

Species

Unspecified reactive species

Jiuyang Ding,Jian Huang,Dan Yin,Ting Liu,Zheng Ren,Shanshan Hu,Yuanliang Ye,Cuiyun Le,Na Zhao,Hongmei Zhou,Zhu Li,Xiaolan Qi,Jiang Huang

Cancer discovery 12:562-585 PubMed34561242

2021

Inactivation Promotes Lineage-Specific Transformation and Early Metastatic Features in the Lung.

Applications

Unspecified application

Species

Unspecified reactive species

Carla P Concepcion,Sai Ma,Lindsay M LaFave,Arjun Bhutkar,Manyuan Liu,Lydia P DeAngelo,Jonathan Y Kim,Isabella Del Priore,Adam J Schoenfeld,Manon Miller,Vinay K Kartha,Peter M K Westcott,Francisco J Sánchez-Rivera,Kevin Meli,Manav Gupta,Roderick T Bronson,Gregory J Riely,Natasha Rekhtman,Charles M Rudin,Carla F Kim,Aviv Regev,Jason D Buenrostro,Tyler Jacks
View all publications
chicCutRunSequencingBooklet
en

Product promise

We are committed to supporting your work with high-quality reagents, and we're here for you every step of the way. In the unlikely event that one of our products does not perform as expected, you're protected by our Product Promise.
For full details, please see our Terms & Conditions

Please note: All products are 'FOR RESEARCH USE ONLY. NOT FOR USE IN DIAGNOSTIC OR THERAPEUTIC PROCEDURES'.

For licensing inquiries, please contact partnerships@abcam.com