JavaScript is disabled in your browser. Please enable JavaScript to view this website.
AB245537

Anti-ARID1B antibody

Be the first to review this product! Submit a review

|

(0 Publication)

Rabbit Polyclonal ARID1B antibody. Suitable for IHC-P, IP and reacts with Human samples. Immunogen corresponding to Synthetic Peptide within Human ARID1B aa 1850-1900.

View Alternative Names

BAF250B, DAN15, KIAA1235, OSA2, ARID1B, AT-rich interactive domain-containing protein 1B, ARID domain-containing protein 1B, BRG1-associated factor 250b, BRG1-binding protein hELD/OSA1, Osa homolog 2, p250R, hOsa2

2 Images
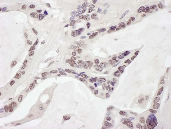
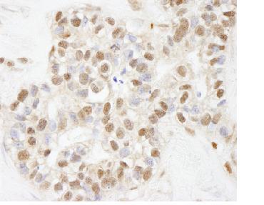
Immunohistochemistry (Formalin/PFA-fixed paraffin-embedded sections) - Anti-ARID1B antibody (AB245537)
  • IHC-P

Supplier Data

Immunohistochemistry (Formalin/PFA-fixed paraffin-embedded sections) - Anti-ARID1B antibody (AB245537)

Formalin-fixed, paraffin-embedded human ovarian carcinoma tissue stained for ARID1B using ab245537 at 1/1000 dilution in immunohistochemical analysis. Detection : DAB staining.

Immunoprecipitation - Anti-ARID1B antibody (AB245537)
  • IP

Supplier Data

Immunoprecipitation - Anti-ARID1B antibody (AB245537)

ARID1B was immunoprecipitated from HEK-293T (human epithelial cell line from embryonic kidney transformed with large T antigen) whole cell lysate (0.5 or 1 mg for IP, 20% of IP loaded) with ab245537 at 6 μg/reaction. Western blot was performed from the immunoprecipitate using ab245537 at 1 μg/ml.

Lane 1 : ab245537 (Batch 1) IP in HEK-293T whole cell lysate.

Lane 2 : ab245537 (Batch 2) IP in HEK-293T whole cell lysate.

Lane 3 : Control IgG IP in HEK-293T whole cell lysate.

Detection : Chemiluminescence with an exposure time of 3 minutes.

Lysates prepared in NETN buffer.

All lanes:

Immunoprecipitation - Anti-ARID1B antibody (ab245537)

Predicted band size: 236 kDa

false

Key facts

Host species

Rabbit

Clonality

Polyclonal

Isotype

IgG

Carrier free

No

Reacts with

Human

Applications

IHC-P, IP

applications

Immunogen

Synthetic Peptide within Human ARID1B aa 1850-1900. The exact immunogen used to generate this antibody is proprietary information.

Q8NFD5

Reactivity data

{ "title": "Reactivity Data", "filters": { "stats": ["", "Species", "Dilution Info", "Notes"], "tabs": { "all-applications": {"fullname" : "All Applications", "shortname": "All Applications"}, "IHCP" : {"fullname" : "Immunohistochemistry (Formalin/PFA-fixed paraffin-embedded sections)", "shortname":"IHC-P"}, "IP" : {"fullname" : "Immunoprecipitation", "shortname":"IP"} }, "product-promise": { "all": "all", "testedAndGuaranteed": "tested", "guaranteed": "expected", "predicted": "predicted", "notRecommended": "not-recommended" } }, "values": { "Human": { "IHCP-species-checked": "testedAndGuaranteed", "IHCP-species-dilution-info": "1/500 - 1/2000", "IHCP-species-notes": "<p></p> Perform heat-mediated antigen retrieval with citrate buffer pH 6 before commencing with IHC staining protocol.", "IP-species-checked": "testedAndGuaranteed", "IP-species-dilution-info": "2-10 µg/mg of lysate", "IP-species-notes": "<p></p>" } } }

Properties and storage information

Form
Liquid
Purification technique
Affinity purification Immunogen
Purification notes
ab245537 was affinity purified using an epitope specific to ARID1B immobilized on solid support.
Storage buffer
pH: 7 - 8 Preservative: 0.09% Sodium azide Constituents: Tris citrate/phosphate
Shipped at conditions
Blue Ice
Appropriate short-term storage duration
1-2 weeks
Appropriate short-term storage conditions
+4°C
Appropriate long-term storage conditions
+4°C
Aliquoting information
Upon delivery aliquot
Storage information
Avoid freeze / thaw cycle

Supplementary information

This supplementary information is collated from multiple sources and compiled automatically.

ARID1B also known as BAF250b is a component of the SWI/SNF chromatin remodeling complex. This protein has a mass of approximately 250 kDa. ARID1B interacts with DNA to regulate gene expression by modifying the chromatin structure making it more accessible for transcription machinery. It is expressed in various tissues including the brain heart and skeletal muscle suggesting a role in diverse physiological processes.
Biological function summary

The protein participates in the regulation of transcription by altering the chromatin architecture. As part of the SWI/SNF complex ARID1B works alongside other proteins to control which parts of the genome are accessible for transcription. Its activity influences numerous cellular events like cell differentiation and proliferation. The SWI/SNF complex plays a significant role in embryonic development and tumor suppression.

Pathways

ARID1B affects several critical biological processes such as Wnt signaling and cell cycle regulation. The protein interacts with beta-catenin in the Wnt pathway affecting gene expression and cell fate decisions. Additionally ARID1B modulates the cell cycle directly by influencing the expression of cyclins and cyclin-dependent kinases proteins essential for cell cycle progression.

Mutations in the ARID1B gene have associations with neurodevelopmental conditions like Coffin-Siris syndrome and intellectual disabilities. The protein's malfunction can disrupt normal brain development through pathways involving CREBBP a known coactivator in transcription. Additionally ARID1B alterations appear in certain cancers often resulting in abnormal proliferation and differentiation in affected cells highlighting the importance of its regulatory functions in maintaining cellular health.

Product protocols

For this product, it's our understanding that no specific protocols are required. You can visit:

Target data

Involved in transcriptional activation and repression of select genes by chromatin remodeling (alteration of DNA-nucleosome topology). Component of SWI/SNF chromatin remodeling complexes that carry out key enzymatic activities, changing chromatin structure by altering DNA-histone contacts within a nucleosome in an ATP-dependent manner. Belongs to the neural progenitors-specific chromatin remodeling complex (npBAF complex) and the neuron-specific chromatin remodeling complex (nBAF complex). During neural development a switch from a stem/progenitor to a postmitotic chromatin remodeling mechanism occurs as neurons exit the cell cycle and become committed to their adult state. The transition from proliferating neural stem/progenitor cells to postmitotic neurons requires a switch in subunit composition of the npBAF and nBAF complexes. As neural progenitors exit mitosis and differentiate into neurons, npBAF complexes which contain ACTL6A/BAF53A and PHF10/BAF45A, are exchanged for homologous alternative ACTL6B/BAF53B and DPF1/BAF45B or DPF3/BAF45C subunits in neuron-specific complexes (nBAF). The npBAF complex is essential for the self-renewal/proliferative capacity of the multipotent neural stem cells. The nBAF complex along with CREST plays a role regulating the activity of genes essential for dendrite growth (By similarity). Binds DNA non-specifically (PubMed : 14982958, PubMed : 15170388).
See full target information ARID1B

Product promise

We are committed to supporting your work with high-quality reagents, and we're here for you every step of the way. In the unlikely event that one of our products does not perform as expected, you're protected by our Product Promise.
For full details, please see our Terms & Conditions

Please note: All products are 'FOR RESEARCH USE ONLY. NOT FOR USE IN DIAGNOSTIC OR THERAPEUTIC PROCEDURES'.

For licensing inquiries, please contact partnerships@abcam.com