JavaScript is disabled in your browser. Please enable JavaScript to view this website.
AB84461

Anti-ARID1B antibody

Be the first to review this product! Submit a review

|

(2 Publications)

Rabbit Polyclonal ARID1B antibody. Suitable for IHC-P and reacts with Human samples. Cited in 2 publications. Immunogen corresponding to Synthetic Peptide within Human ARID1B aa 1850-1900.

View Alternative Names

BAF250B, DAN15, KIAA1235, OSA2, ARID1B, AT-rich interactive domain-containing protein 1B, ARID domain-containing protein 1B, BRG1-associated factor 250b, BRG1-binding protein hELD/OSA1, Osa homolog 2, p250R, hOsa2

2 Images
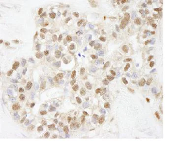
Immunohistochemistry (Formalin/PFA-fixed paraffin-embedded sections) - Anti-ARID1B antibody (AB84461)
  • IHC-P

Unknown

Immunohistochemistry (Formalin/PFA-fixed paraffin-embedded sections) - Anti-ARID1B antibody (AB84461)

Detection of Human ARID1B by ab84461 at 1 : 250 dilution using a Formalin-Fixed Paraffin-Embedded section of human breast carcinoma. Detection by means of DAB staining.

Immunohistochemistry (Formalin/PFA-fixed paraffin-embedded sections) - Anti-ARID1B antibody (AB84461)
  • IHC-P

Supplier Data

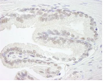
Immunohistochemistry (Formalin/PFA-fixed paraffin-embedded sections) - Anti-ARID1B antibody (AB84461)

Detection of Human ARID1B by ab84461 at 1 : 500 dilution using a Formalin-Fixed Paraffin-Embedded section of human prostate carcinoma. Detection by means of DAB staining.

Key facts

Host species

Rabbit

Clonality

Polyclonal

Isotype

IgG

Carrier free

No

Reacts with

Human

Applications

IHC-P

applications

Immunogen

Synthetic Peptide within Human ARID1B aa 1850-1900. The exact immunogen used to generate this antibody is proprietary information.

Q8NFD5

Reactivity data

{ "title": "Reactivity Data", "filters": { "stats": ["", "Species", "Dilution Info", "Notes"], "tabs": { "all-applications": {"fullname" : "All Applications", "shortname": "All Applications"}, "IHCP" : {"fullname" : "Immunohistochemistry (Formalin/PFA-fixed paraffin-embedded sections)", "shortname":"IHC-P"} }, "product-promise": { "all": "all", "testedAndGuaranteed": "tested", "guaranteed": "expected", "predicted": "predicted", "notRecommended": "not-recommended" } }, "values": { "Human": { "IHCP-species-checked": "testedAndGuaranteed", "IHCP-species-dilution-info": "1/100 - 1/500", "IHCP-species-notes": "<p>Epitope exposure is recommended. Epitope exposure with citrate buffer will enhance staining.</p> Antigen retrieval is not essential but may optimise staining." }, "Chimpanzee": { "IHCP-species-checked": "predicted", "IHCP-species-dilution-info": "", "IHCP-species-notes": "" }, "Gorilla": { "IHCP-species-checked": "predicted", "IHCP-species-dilution-info": "", "IHCP-species-notes": "" }, "Orangutan": { "IHCP-species-checked": "predicted", "IHCP-species-dilution-info": "", "IHCP-species-notes": "" }, "Rhesus monkey": { "IHCP-species-checked": "predicted", "IHCP-species-dilution-info": "", "IHCP-species-notes": "" } } }

Properties and storage information

Form
Liquid
Purification technique
Affinity purification Immunogen
Storage buffer
pH: 6.8 - 7.4 Preservative: 0.09% Sodium azide Constituents: Tris buffered saline, 0.1% BSA
Shipped at conditions
Blue Ice
Appropriate short-term storage conditions
+4°C
Appropriate long-term storage conditions
-20°C
Aliquoting information
Upon delivery aliquot
Storage information
Avoid freeze / thaw cycle

Supplementary information

This supplementary information is collated from multiple sources and compiled automatically.

ARID1B also known as BAF250b is a component of the SWI/SNF chromatin remodeling complex. This protein has a mass of approximately 250 kDa. ARID1B interacts with DNA to regulate gene expression by modifying the chromatin structure making it more accessible for transcription machinery. It is expressed in various tissues including the brain heart and skeletal muscle suggesting a role in diverse physiological processes.
Biological function summary

The protein participates in the regulation of transcription by altering the chromatin architecture. As part of the SWI/SNF complex ARID1B works alongside other proteins to control which parts of the genome are accessible for transcription. Its activity influences numerous cellular events like cell differentiation and proliferation. The SWI/SNF complex plays a significant role in embryonic development and tumor suppression.

Pathways

ARID1B affects several critical biological processes such as Wnt signaling and cell cycle regulation. The protein interacts with beta-catenin in the Wnt pathway affecting gene expression and cell fate decisions. Additionally ARID1B modulates the cell cycle directly by influencing the expression of cyclins and cyclin-dependent kinases proteins essential for cell cycle progression.

Mutations in the ARID1B gene have associations with neurodevelopmental conditions like Coffin-Siris syndrome and intellectual disabilities. The protein's malfunction can disrupt normal brain development through pathways involving CREBBP a known coactivator in transcription. Additionally ARID1B alterations appear in certain cancers often resulting in abnormal proliferation and differentiation in affected cells highlighting the importance of its regulatory functions in maintaining cellular health.

Product protocols

For this product, it's our understanding that no specific protocols are required. You can visit:

Target data

Involved in transcriptional activation and repression of select genes by chromatin remodeling (alteration of DNA-nucleosome topology). Component of SWI/SNF chromatin remodeling complexes that carry out key enzymatic activities, changing chromatin structure by altering DNA-histone contacts within a nucleosome in an ATP-dependent manner. Belongs to the neural progenitors-specific chromatin remodeling complex (npBAF complex) and the neuron-specific chromatin remodeling complex (nBAF complex). During neural development a switch from a stem/progenitor to a postmitotic chromatin remodeling mechanism occurs as neurons exit the cell cycle and become committed to their adult state. The transition from proliferating neural stem/progenitor cells to postmitotic neurons requires a switch in subunit composition of the npBAF and nBAF complexes. As neural progenitors exit mitosis and differentiate into neurons, npBAF complexes which contain ACTL6A/BAF53A and PHF10/BAF45A, are exchanged for homologous alternative ACTL6B/BAF53B and DPF1/BAF45B or DPF3/BAF45C subunits in neuron-specific complexes (nBAF). The npBAF complex is essential for the self-renewal/proliferative capacity of the multipotent neural stem cells. The nBAF complex along with CREST plays a role regulating the activity of genes essential for dendrite growth (By similarity). Binds DNA non-specifically (PubMed : 14982958, PubMed : 15170388).
See full target information ARID1B

Publications (2)

Recent publications for all applications. Explore the full list and refine your search

STAR protocols 2:100633 PubMed34258594

2021

Protocol for BCR-mediated plasma cell differentiation and purification of chromatin-associated proteins.

Applications

Unspecified application

Species

Unspecified reactive species

Kyoko Ochiai,Hiroki Shima,Tsuyoshi Ikura,Marissa C Franke,Evelyn P Sievert,Roger Sciammas,Kazuhiko Igarashi

Cell 175:1272-1288.e20 PubMed30343899

2018

Modular Organization and Assembly of SWI/SNF Family Chromatin Remodeling Complexes.

Applications

Unspecified application

Species

Unspecified reactive species

Nazar Mashtalir,Andrew R D'Avino,Brittany C Michel,Jie Luo,Joshua Pan,Jordan E Otto,Hayley J Zullow,Zachary M McKenzie,Rachel L Kubiak,Roodolph St Pierre,Alfredo M Valencia,Steven J Poynter,Seth H Cassel,Jeffrey A Ranish,Cigall Kadoch
View all publications

Product promise

We are committed to supporting your work with high-quality reagents, and we're here for you every step of the way. In the unlikely event that one of our products does not perform as expected, you're protected by our Product Promise.
For full details, please see our Terms & Conditions

Please note: All products are 'FOR RESEARCH USE ONLY. NOT FOR USE IN DIAGNOSTIC OR THERAPEUTIC PROCEDURES'.

For licensing inquiries, please contact partnerships@abcam.com