JavaScript is disabled in your browser. Please enable JavaScript to view this website.
AB322894

Anti-ARID3A antibody [EPR26964-29]

  • Recombinant
  • RabMAb
  • 20ul selling size
  • Advanced Validation
  • What is this?

Be the first to review this product! Submit a review

|

(0 Publication)

Rabbit Recombinant Monoclonal ARID3A antibody. Suitable for WB, IP, ChIP-seq and reacts with Recombinant fragment - Human, Human samples.

View Alternative Names

DRIL1, DRIL3, DRX, E2FBP1, ARID3A, AT-rich interactive domain-containing protein 3A, ARID domain-containing protein 3A, B-cell regulator of IgH transcription, Dead ringer-like protein 1, E2F-binding protein 1, Bright

6 Images
ChIP-sequencing - Anti-ARID3A antibody [EPR26964-29] (AB322894)
  • ChIP-seq

Supplier Data

ChIP-sequencing - Anti-ARID3A antibody [EPR26964-29] (AB322894)

Chromatin was prepared from K-562 cells. Cells were fixed with 1% formaldehyde for 10 minutes. ChIP was performed with 107 cells and 8 µg of ab322894 [EPR26964-29]. ChIP DNA was sequenced on the Illumina NovaSeq 6000 to a depth of 30 million reads. The Input control is also shown.

ChIP-sequencing - Anti-ARID3A antibody [EPR26964-29] (AB322894)
  • ChIP-seq

Supplier Data

ChIP-sequencing - Anti-ARID3A antibody [EPR26964-29] (AB322894)

Chromatin was prepared from K-562 cells. Cells were fixed with 1% formaldehyde for 10 minutes. ChIP was performed with 107 cells and 8 µg of ab322894 [EPR26964-29]. ChIP DNA was sequenced on the Illumina NovaSeq 6000 to a depth of 30 million reads. The Input control is also shown.

ChIP-sequencing - Anti-ARID3A antibody [EPR26964-29] (AB322894)
  • ChIP-seq

Supplier Data

ChIP-sequencing - Anti-ARID3A antibody [EPR26964-29] (AB322894)

Chromatin was prepared from K-562 cells. Cells were fixed with 1% formaldehyde for 10 minutes. ChIP was performed with 107 cells and 8 µg of ab322894 [EPR26964-29]. ChIP DNA was sequenced on the Illumina NovaSeq 6000 to a depth of 30 million reads. The Input control is also shown.

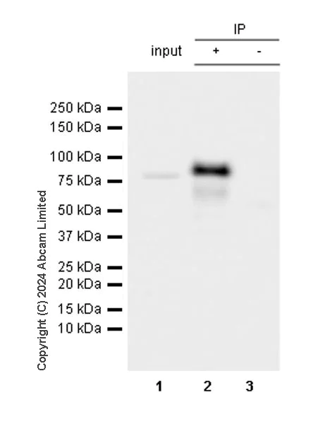
Immunoprecipitation - Anti-ARID3A antibody [EPR26964-29] (AB322894)
  • IP

Supplier Data

Immunoprecipitation - Anti-ARID3A antibody [EPR26964-29] (AB322894)

ARID3A was immunoprecipitated from 0.35 mg K-562 (human chronic myelogenous leukemia lymphoblast) whole cell lysate with ab322894 at 1/30 dilution (2ug in 0.35mg lysates). Western blot was performed on the immunoprecipitate using ab322894 at 1000 dilution. VeriBlot for IP secondary antibody(HRP)(ab131366) was used at 1/5000 dilution.

Lane 1 : K-562 (human chronic myelogenous leukemia lymphoblast) whole cell lysate
Lane 2 : ab322894 IP in K-562 (human chronic myelogenous leukemia lymphoblast) whole cell lysate
Lane 3 : Rabbit monoclonal IgG (ab172730) instead of ab322894 in K-562 whole cell lysate

Blocking and dilution buffer and concentration : 5% NFDM/TBST

The band below 75 kDa is likely to represent truncated forms of ARID3A (PMID : 36008383). This has not been confirmed with additional tests.

All lanes:

Immunoprecipitation - Anti-ARID3A antibody [EPR26964-29] (ab322894) at 1/30 dilution

All lanes:

K-562 (human chronic myelogenous leukemia lymphoblast) whole cell lysate

Secondary

All lanes:

Immunoprecipitation - VeriBlot for IP Detection Reagent (HRP) (<a href='/en-us/products/reagents/veriblot-for-ip-detection-reagent-hrp-ab131366'>ab131366</a>) at 1/5000 dilution

false

Exposure time: 3s

Western blot - Anti-ARID3A antibody [EPR26964-29] (AB322894)
  • WB

Supplier Data

Western blot - Anti-ARID3A antibody [EPR26964-29] (AB322894)

Blocking and diluting buffer and concentration : 5% NFDM/TBST.

The band below 75 kDa is likely to represent truncated forms of ARID3A (PMID : 36008383). This has not been confirmed with additional tests.

In Western blot, Anti-GAPDH antibody [EPR16891] - Loading Control (ab181602) staining at 1/200000 dilution.

All lanes:

Western blot - Anti-ARID3A antibody [EPR26964-29] (ab322894) at 1/1000 dilution

Lane 1:

Huh7 (human hepatocellular carcinoma epithelial cell) transfected with scrambled siRNA control whole cell lysate at 20 µg

Lane 2:

Huh7 transfected with siRNA specifically targeting ARID3A whole cell lysate at 20 µg

Lane 3:

K-562 (human chronic myelogenous leukemia lymphoblast) whole cell lysate at 20 µg

Secondary

All lanes:

Western blot - Goat Anti-Rabbit IgG H&L (HRP) (<a href='/en-us/products/secondary-antibodies/goat-rabbit-igg-h-l-hrp-ab97051'>ab97051</a>) at 1/100000 dilution

Observed band size: 75 kDa,36 kDa

true

Exposure time: 15s

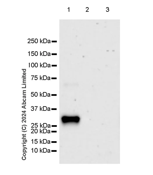
Western blot - Anti-ARID3A antibody [EPR26964-29] (AB322894)
  • WB

Supplier Data

Western blot - Anti-ARID3A antibody [EPR26964-29] (AB322894)

Blocking and diluting buffer and concentration : 5% NFDM/TBST.

This antibody does not cross-react with human ARID3B and ARID3C.

All lanes:

Western blot - Anti-ARID3A antibody [EPR26964-29] (ab322894) at 1/1000 dilution

Lane 1:

Human ARID3A fragment at 10 ng

Lane 2:

Human ARID3B recombinant protein at 10 ng

Lane 3:

Human ARID3C recombinant protein at 10 ng

Secondary

All lanes:

Western blot - Goat Anti-Rabbit IgG H&L (HRP) (<a href='/en-us/products/secondary-antibodies/goat-rabbit-igg-h-l-hrp-ab97051'>ab97051</a>) at 1/100000 dilution

Observed band size: 75 kDa

true

Exposure time: 180s

  • Carrier free

    Anti-ARID3A antibody [EPR26964-29] - BSA and Azide free

Key facts

Host species

Rabbit

Clonality

Monoclonal

Clone number

EPR26964-29

Isotype

IgG

Carrier free

No

Reacts with

Human

Applications

IP, WB, ChIP-seq

applications

Immunogen

The exact immunogen used to generate this antibody is proprietary information.

Reactivity data

{ "title": "Reactivity Data", "filters": { "stats": ["", "Species", "Dilution Info", "Notes"], "tabs": { "all-applications": {"fullname" : "All Applications", "shortname": "All Applications"}, "WB" : {"fullname" : "Western blot", "shortname":"WB"}, "IP" : {"fullname" : "Immunoprecipitation", "shortname":"IP"}, "ChIPseq" : {"fullname" : "ChIP-sequencing", "shortname":"ChIP-seq"} }, "product-promise": { "all": "all", "testedAndGuaranteed": "tested", "guaranteed": "expected", "predicted": "predicted", "notRecommended": "not-recommended" } }, "values": { "Human": { "WB-species-checked": "testedAndGuaranteed", "WB-species-dilution-info": "1/1000", "WB-species-notes": "<p></p>", "IP-species-checked": "testedAndGuaranteed", "IP-species-dilution-info": "1/30", "IP-species-notes": "<p></p>", "ChIPseq-species-checked": "testedAndGuaranteed", "ChIPseq-species-dilution-info": "8 µg for 10^7 Cells", "ChIPseq-species-notes": "<p></p>" }, "Recombinant fragment - Human": { "WB-species-checked": "testedAndGuaranteed", "WB-species-dilution-info": "1/1000", "WB-species-notes": "<p></p>", "IP-species-checked": "notRecommended", "IP-species-dilution-info": "", "IP-species-notes": "", "ChIPseq-species-checked": "notRecommended", "ChIPseq-species-dilution-info": "", "ChIPseq-species-notes": "" } } }

Product details

Patented technology
Our RabMAb® technology is a patented hybridoma-based technology for making rabbit monoclonal antibodies. For details on our patents, please refer to RabMAb® patents.

What are the advantages of a recombinant monoclonal antibody?
This product is a recombinant monoclonal antibody, which offers several advantages including:

  • - High batch-to-batch consistency and reproducibility
  • - Improved sensitivity and specificity
  • - Long-term security of supply
  • - Animal-free batch production

For more information, read more on recombinant antibodies.

Properties and storage information

Form
Liquid
Purification technique
Affinity purification Protein A
Storage buffer
pH: 7.2 - 7.4 Preservative: 0.01% Sodium azide Constituents: PBS, 40% Glycerol (glycerin, glycerine), 0.05% BSA
Shipped at conditions
Blue Ice
Appropriate short-term storage duration
1-2 weeks
Appropriate short-term storage conditions
+4°C
Appropriate long-term storage conditions
-20°C
Aliquoting information
Upon delivery aliquot
Storage information
Avoid freeze / thaw cycle

Product protocols

For this product, it's our understanding that no specific protocols are required. You can visit:

Target data

Transcription factor which may be involved in the control of cell cycle progression by the RB1/E2F1 pathway and in B-cell differentiation.
See full target information ARID3A

Product promise

We are committed to supporting your work with high-quality reagents, and we're here for you every step of the way. In the unlikely event that one of our products does not perform as expected, you're protected by our Product Promise.
For full details, please see our Terms & Conditions

Please note: All products are 'FOR RESEARCH USE ONLY. NOT FOR USE IN DIAGNOSTIC OR THERAPEUTIC PROCEDURES'.

For licensing inquiries, please contact partnerships@abcam.com