JavaScript is disabled in your browser. Please enable JavaScript to view this website.
AB86063

Anti-ARIP4 antibody

Be the first to review this product! Submit a review

|

(3 Publications)

Rabbit Polyclonal ARIP4 antibody. Suitable for IHC-P, IP, WB and reacts with Human samples. Cited in 3 publications. Immunogen corresponding to Synthetic Peptide within Human RAD54L2 aa 50-150.

View Alternative Names

ARIP4, KIAA0809, RAD54L2, Helicase ARIP4, Androgen receptor-interacting protein 4, RAD54-like protein 2

3 Images
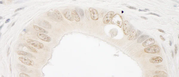
Immunohistochemistry (Formalin/PFA-fixed paraffin-embedded sections) - Anti-ARIP4 antibody (AB86063)
  • IHC-P

Unknown

Immunohistochemistry (Formalin/PFA-fixed paraffin-embedded sections) - Anti-ARIP4 antibody (AB86063)

Immunohistochemistry (Formalin/PFA-fixed paraffin-embedded sections) analysis of human colon carcinoma tissue labelling RAD54L2 with ab86063 at 1/1200 (1µg/ml). Detection : DAB.

Immunoprecipitation - Anti-ARIP4 antibody (AB86063)
  • IP

Unknown

Immunoprecipitation - Anti-ARIP4 antibody (AB86063)

Detection of ARIP4 by Western Blot of Immunprecipitate.
ab86063 at 1μg/ml staining ARIP4 in HeLa whole cell lysate immunoprecipitated using ab86063 at 3μg/mg lysate (1 mg/IP; 20% of IP loaded/lane).
Detection : Chemiluminescence with exposure time of 3 seconds.

All lanes:

Immunoprecipitation - Anti-ARIP4 antibody (ab86063)

Predicted band size: 163 kDa

false

Western blot - Anti-ARIP4 antibody (AB86063)
  • WB

Unknown

Western blot - Anti-ARIP4 antibody (AB86063)

All lanes:

Western blot - Anti-ARIP4 antibody (ab86063) at 0.04 µg/mL

Lane 1:

HeLa whole cell lysate at 50 µg

Lane 2:

HeLa whole cell lysate at 15 µg

Lane 3:

HeLa whole cell lysate at 5 µg

Predicted band size: 163 kDa

Observed band size: 100 kDa,190 kDa

false

Exposure time: 30s

Key facts

Host species

Rabbit

Clonality

Polyclonal

Isotype

IgG

Carrier free

No

Reacts with

Human

Applications

IHC-P, WB, IP

applications

Immunogen

Synthetic Peptide within Human RAD54L2 aa 50-150. The exact immunogen used to generate this antibody is proprietary information.

Q9Y4B4

Reactivity data

{ "title": "Reactivity Data", "filters": { "stats": ["", "Species", "Dilution Info", "Notes"], "tabs": { "all-applications": {"fullname" : "All Applications", "shortname": "All Applications"}, "IHCP" : {"fullname" : "Immunohistochemistry (Formalin/PFA-fixed paraffin-embedded sections)", "shortname":"IHC-P"}, "IP" : {"fullname" : "Immunoprecipitation", "shortname":"IP"}, "WB" : {"fullname" : "Western blot", "shortname":"WB"} }, "product-promise": { "all": "all", "testedAndGuaranteed": "tested", "guaranteed": "expected", "predicted": "predicted", "notRecommended": "not-recommended" } }, "values": { "Human": { "IHCP-species-checked": "testedAndGuaranteed", "IHCP-species-dilution-info": "1/100 - 1/500", "IHCP-species-notes": "<p></p> Perform heat-mediated antigen retrieval with citrate buffer pH 6 before commencing with IHC staining protocol.", "IP-species-checked": "testedAndGuaranteed", "IP-species-dilution-info": "2-5 µg/mg of lysate", "IP-species-notes": "<p></p>", "WB-species-checked": "testedAndGuaranteed", "WB-species-dilution-info": "1/2000 - 1/10000", "WB-species-notes": "<p></p>" }, "Mouse": { "IHCP-species-checked": "predicted", "IHCP-species-dilution-info": "", "IHCP-species-notes": "", "IP-species-checked": "predicted", "IP-species-dilution-info": "", "IP-species-notes": "", "WB-species-checked": "predicted", "WB-species-dilution-info": "", "WB-species-notes": "" }, "Rat": { "IHCP-species-checked": "predicted", "IHCP-species-dilution-info": "", "IHCP-species-notes": "", "IP-species-checked": "predicted", "IP-species-dilution-info": "", "IP-species-notes": "", "WB-species-checked": "predicted", "WB-species-dilution-info": "", "WB-species-notes": "" }, "Chimpanzee": { "IHCP-species-checked": "predicted", "IHCP-species-dilution-info": "", "IHCP-species-notes": "", "IP-species-checked": "predicted", "IP-species-dilution-info": "", "IP-species-notes": "", "WB-species-checked": "predicted", "WB-species-dilution-info": "", "WB-species-notes": "" }, "Chinese hamster": { "IHCP-species-checked": "predicted", "IHCP-species-dilution-info": "", "IHCP-species-notes": "", "IP-species-checked": "predicted", "IP-species-dilution-info": "", "IP-species-notes": "", "WB-species-checked": "predicted", "WB-species-dilution-info": "", "WB-species-notes": "" }, "Cow": { "IHCP-species-checked": "predicted", "IHCP-species-dilution-info": "", "IHCP-species-notes": "", "IP-species-checked": "predicted", "IP-species-dilution-info": "", "IP-species-notes": "", "WB-species-checked": "predicted", "WB-species-dilution-info": "", "WB-species-notes": "" }, "Dog": { "IHCP-species-checked": "predicted", "IHCP-species-dilution-info": "", "IHCP-species-notes": "", "IP-species-checked": "predicted", "IP-species-dilution-info": "", "IP-species-notes": "", "WB-species-checked": "predicted", "WB-species-dilution-info": "", "WB-species-notes": "" }, "Elephant": { "IHCP-species-checked": "predicted", "IHCP-species-dilution-info": "", "IHCP-species-notes": "", "IP-species-checked": "predicted", "IP-species-dilution-info": "", "IP-species-notes": "", "WB-species-checked": "predicted", "WB-species-dilution-info": "", "WB-species-notes": "" }, "Ferret": { "IHCP-species-checked": "predicted", "IHCP-species-dilution-info": "", "IHCP-species-notes": "", "IP-species-checked": "predicted", "IP-species-dilution-info": "", "IP-species-notes": "", "WB-species-checked": "predicted", "WB-species-dilution-info": "", "WB-species-notes": "" }, "Gorilla": { "IHCP-species-checked": "predicted", "IHCP-species-dilution-info": "", "IHCP-species-notes": "", "IP-species-checked": "predicted", "IP-species-dilution-info": "", "IP-species-notes": "", "WB-species-checked": "predicted", "WB-species-dilution-info": "", "WB-species-notes": "" }, "Guinea pig": { "IHCP-species-checked": "predicted", "IHCP-species-dilution-info": "", "IHCP-species-notes": "", "IP-species-checked": "predicted", "IP-species-dilution-info": "", "IP-species-notes": "", "WB-species-checked": "predicted", "WB-species-dilution-info": "", "WB-species-notes": "" }, "Horse": { "IHCP-species-checked": "predicted", "IHCP-species-dilution-info": "", "IHCP-species-notes": "", "IP-species-checked": "predicted", "IP-species-dilution-info": "", "IP-species-notes": "", "WB-species-checked": "predicted", "WB-species-dilution-info": "", "WB-species-notes": "" }, "Pig": { "IHCP-species-checked": "predicted", "IHCP-species-dilution-info": "", "IHCP-species-notes": "", "IP-species-checked": "predicted", "IP-species-dilution-info": "", "IP-species-notes": "", "WB-species-checked": "predicted", "WB-species-dilution-info": "", "WB-species-notes": "" }, "Rabbit": { "IHCP-species-checked": "predicted", "IHCP-species-dilution-info": "", "IHCP-species-notes": "", "IP-species-checked": "predicted", "IP-species-dilution-info": "", "IP-species-notes": "", "WB-species-checked": "predicted", "WB-species-dilution-info": "", "WB-species-notes": "" } } }

Properties and storage information

Form
Liquid
Purification technique
Affinity purification Immunogen
Purification notes
ab86063 was affinity purified using an epitope specific to ARIP4 immobilized on solid support.
Storage buffer
pH: 6.8 - 7.4 Preservative: 0.09% Sodium azide Constituents: Tris buffered saline, 0.1% BSA
Shipped at conditions
Blue Ice
Appropriate short-term storage conditions
+4°C
Appropriate long-term storage conditions
+4°C
Aliquoting information
Upon delivery aliquot
Storage information
Avoid freeze / thaw cycle

Supplementary information

This supplementary information is collated from multiple sources and compiled automatically.

ARIP4 also known as androgen receptor-interacting protein 4 or RAD54-like homolog 1 functions as an ATP-dependent chromatin-remodeling enzyme. Its molecular mass is approximately 150 kDa. ARIP4 tightly associates with chromatin structures and resides in the nucleus. This protein expresses mainly in tissues like the prostate and testis suggesting a specialized role in these locations.
Biological function summary

ARIP4 participates in the modulation of androgen receptor (AR) activity. It serves as an important part of the chromatin remodeling complex altering chromatin architecture to regulate transcription. This interaction significantly impacts gene expression linked to androgen response elements (AREs). ARIP4 helps unwind DNA allowing access to transcriptional machinery and influencing steroid hormone responses.

Pathways

ARIP4 plays a role in androgen signaling and DNA repair pathways. It interacts with androgen receptors facilitating gene transcription in response to androgen hormones. Additionally ARIP4 associates with components like RAD54L involved in homologous recombination repair contributing to DNA integrity maintenance. These pathways emphasize its roles in managing cellular response to hormones and genetic stability.

ARIP4's function impacts prostate cancer and androgen insensitivity syndrome. In prostate cancer its ability to modulate AR activity influences tumor progression and resistance to therapy. Dysregulation of ARIP4 contributes to maladaptive gene expression driving cancerous growth. In androgen insensitivity syndrome impaired ARIP4 function leads to inadequate androgen receptor activation disrupting normal male sexual development. ARIP4's interaction with AR is relevant in the pathogenesis of these conditions highlighting its potential as a therapeutic target.

Product protocols

For this product, it's our understanding that no specific protocols are required. You can visit:

Target data

DNA helicase that modulates androgen receptor (AR)-dependent transactivation in a promoter-dependent manner. Not able to remodel mononucleosomes in vitro (By similarity).
See full target information RAD54L2

Publications (3)

Recent publications for all applications. Explore the full list and refine your search

Science advances 9:eadl2108 PubMed38055822

2023

RAD54L2 counters TOP2-DNA adducts to promote genome stability.

Applications

Unspecified application

Species

Unspecified reactive species

Giuseppina D'Alessandro,David A Morales-Juarez,Sean L Richards,Karin C Nitiss,Almudena Serrano-Benitez,Juanjuan Wang,John C Thomas,Vipul Gupta,Andrea Voigt,Rimma Belotserkovskaya,Chen Gang Goh,Anne Ramsay Bowden,Yaron Galanty,Petra Beli,John L Nitiss,Guido Zagnoli-Vieira,Stephen P Jackson

Science advances 9:eadi6681 PubMed38055811

2023

RAD54L2-mediated DNA damage avoidance pathway specifically preserves genome integrity in response to topoisomerase 2 poisons.

Applications

Unspecified application

Species

Unspecified reactive species

Huimin Zhang,Yun Xiong,Yilun Sun,Jeong-Min Park,Dan Su,Xu Feng,Sarah Keast,Mengfan Tang,Min Huang,Chao Wang,Mrinal Srivastava,Chang Yang,Dandan Zhu,Zhen Chen,Siting Li,Ling Yin,Yves Pommier,Junjie Chen

Proceedings of the National Academy of Sciences of 113:9509-14 PubMed27503893

2016

Xkr8 phospholipid scrambling complex in apoptotic phosphatidylserine exposure.

Applications

WB

Species

Unspecified reactive species

Jun Suzuki,Eiichi Imanishi,Shigekazu Nagata
View all publications

Product promise

We are committed to supporting your work with high-quality reagents, and we're here for you every step of the way. In the unlikely event that one of our products does not perform as expected, you're protected by our Product Promise.
For full details, please see our Terms & Conditions

Please note: All products are 'FOR RESEARCH USE ONLY. NOT FOR USE IN DIAGNOSTIC OR THERAPEUTIC PROCEDURES'.

For licensing inquiries, please contact partnerships@abcam.com