JavaScript is disabled in your browser. Please enable JavaScript to view this website.
AB249227

Anti-ARL 1 antibody [EPR10595] - BSA and Azide free

Be the first to review this product! Submit a review

|

(1 Publication)

Rabbit Recombinant Monoclonal ARL 1 antibody. Carrier free. Suitable for IHC-P, WB, ICC/IF and reacts with Human samples. Cited in 1 publication.

View Alternative Names

ADP-ribosylation factor-like protein 1, ARL1

8 Images
Immunohistochemistry (Formalin/PFA-fixed paraffin-embedded sections) - Anti-ARL 1 antibody [EPR10595] - BSA and Azide free (AB249227)
  • IHC-P

Unknown

Immunohistochemistry (Formalin/PFA-fixed paraffin-embedded sections) - Anti-ARL 1 antibody [EPR10595] - BSA and Azide free (AB249227)

This data was developed using ab155982, the same antibody clone in a different buffer formulation.

ab155982 showing +ve staining in Human endometrial carcinoma.

Perform heat mediated antigen retrieval before commencing with IHC staining protocol.

Immunocytochemistry/ Immunofluorescence - Anti-ARL 1 antibody [EPR10595] - BSA and Azide free (AB249227)
  • ICC/IF

Unknown

Immunocytochemistry/ Immunofluorescence - Anti-ARL 1 antibody [EPR10595] - BSA and Azide free (AB249227)

This data was developed using ab155982, the same antibody clone in a different buffer formulation.

ICC/IF image of ab155982 stained CaCo2 cells. The cells were 4% formaldehyde fixed (10 min) and then incubated in 1%BSA / 10% normal goat serum / 0.3M glycine in 0.1% PBS-Tween for 1h to permeabilise the cells and block non-specific protein-protein interactions. The cells were then incubated with the antibody ab155982 at 10μg/ml overnight at +4°C. The secondary antibody (green) was DyLight® 488 goat anti- rabbit (ab96899) IgG (H+L) used at a 1/250 dilution for 1h. Alexa Fluor® 594 WGA was used to label plasma membranes (red) at a 1/200 dilution for 1h. DAPI was used to stain the cell nuclei (blue) at a concentration of 1.43μM.

Immunohistochemistry (Formalin/PFA-fixed paraffin-embedded sections) - Anti-ARL 1 antibody [EPR10595] - BSA and Azide free (AB249227)
  • IHC-P

Unknown

Immunohistochemistry (Formalin/PFA-fixed paraffin-embedded sections) - Anti-ARL 1 antibody [EPR10595] - BSA and Azide free (AB249227)

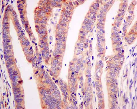
This data was developed using ab155982, the same antibody clone in a different buffer formulation.

Immunohistochemical analysis of paraffin-embedded Human liver tissue labeling ARL 1 with ab155982 at 1/50 dilution.

Perform heat mediated antigen retrieval before commencing with IHC staining protocol.

Immunohistochemistry (Formalin/PFA-fixed paraffin-embedded sections) - Anti-ARL 1 antibody [EPR10595] - BSA and Azide free (AB249227)
  • IHC-P

Unknown

Immunohistochemistry (Formalin/PFA-fixed paraffin-embedded sections) - Anti-ARL 1 antibody [EPR10595] - BSA and Azide free (AB249227)

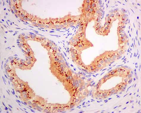
This data was developed using ab155982, the same antibody clone in a different buffer formulation.

ab155982 showing +ve staining in Human normal prostate.

Perform heat mediated antigen retrieval before commencing with IHC staining protocol.

Immunohistochemistry (Formalin/PFA-fixed paraffin-embedded sections) - Anti-ARL 1 antibody [EPR10595] - BSA and Azide free (AB249227)
  • IHC-P

Unknown

Immunohistochemistry (Formalin/PFA-fixed paraffin-embedded sections) - Anti-ARL 1 antibody [EPR10595] - BSA and Azide free (AB249227)

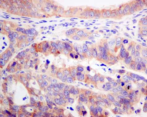
This data was developed using ab155982, the same antibody clone in a different buffer formulation.

ab155982 showing +ve staining in Human gastric adenocarcinoma.

Perform heat mediated antigen retrieval before commencing with IHC staining protocol.

Immunohistochemistry (Formalin/PFA-fixed paraffin-embedded sections) - Anti-ARL 1 antibody [EPR10595] - BSA and Azide free (AB249227)
  • IHC-P

Unknown

Immunohistochemistry (Formalin/PFA-fixed paraffin-embedded sections) - Anti-ARL 1 antibody [EPR10595] - BSA and Azide free (AB249227)

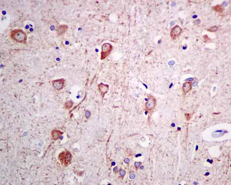
This data was developed using ab155982, the same antibody clone in a different buffer formulation.

ab155982 showing +ve staining in Human normal brain.

Perform heat mediated antigen retrieval before commencing with IHC staining protocol.

Immunohistochemistry (Formalin/PFA-fixed paraffin-embedded sections) - Anti-ARL 1 antibody [EPR10595] - BSA and Azide free (AB249227)
  • IHC-P

Unknown

Immunohistochemistry (Formalin/PFA-fixed paraffin-embedded sections) - Anti-ARL 1 antibody [EPR10595] - BSA and Azide free (AB249227)

This data was developed using ab155982, the same antibody clone in a different buffer formulation.

Immunohistochemical analysis of formalin-fixed, paraffin-embedded Human pancreas tissue labeling ARL 1 with ab155982 at 1/50 dilution

Perform heat mediated antigen retrieval before commencing with IHC staining protocol.

Western blot - Anti-ARL 1 antibody [EPR10595] - BSA and Azide free (AB249227)
  • WB

Unknown

Western blot - Anti-ARL 1 antibody [EPR10595] - BSA and Azide free (AB249227)

This data was developed using ab155982, the same antibody clone in a different buffer formulation.

All lanes:

Western blot - Anti-ARL 1 antibody [EPR10595] - BSA and Azide free (ab249227) at 1/1000 dilution

Lane 1:

HepG2 cell lysate at 10 µg

Lane 2:

MCF7 cell lysate at 10 µg

Lane 3:

HeLa cell lysate at 10 µg

Lane 4:

K562 cell lysate at 10 µg

Secondary

All lanes:

HRP labeled goat anti-rabbit IgG at 1/2000 dilution

Predicted band size: 20 kDa

false

Key facts

Host species

Rabbit

Clonality

Monoclonal

Clone number

EPR10595

Isotype

IgG

Carrier free

Yes

Reacts with

Human

Applications

ICC/IF, WB, IHC-P

applications

Immunogen

The exact immunogen used to generate this antibody is proprietary information.

Reactivity data

{ "title": "Reactivity Data", "filters": { "stats": ["", "Species", "Dilution Info", "Notes"], "tabs": { "all-applications": {"fullname" : "All Applications", "shortname": "All Applications"}, "IHCP" : {"fullname" : "Immunohistochemistry (Formalin/PFA-fixed paraffin-embedded sections)", "shortname":"IHC-P"}, "FlowCyt" : {"fullname" : "Flow Cytometry", "shortname":"Flow Cyt"}, "WB" : {"fullname" : "Western blot", "shortname":"WB"}, "ICCIF" : {"fullname" : "Immunocytochemistry/ Immunofluorescence", "shortname":"ICC/IF"} }, "product-promise": { "all": "all", "testedAndGuaranteed": "tested", "guaranteed": "expected", "predicted": "predicted", "notRecommended": "not-recommended" } }, "values": { "Human": { "IHCP-species-checked": "testedAndGuaranteed", "IHCP-species-dilution-info": "", "IHCP-species-notes": "<p></p>", "FlowCyt-species-checked": "notRecommended", "FlowCyt-species-dilution-info": "", "FlowCyt-species-notes": "<p></p>", "WB-species-checked": "testedAndGuaranteed", "WB-species-dilution-info": "", "WB-species-notes": "<p></p>", "ICCIF-species-checked": "testedAndGuaranteed", "ICCIF-species-dilution-info": "", "ICCIF-species-notes": "<p></p>" }, "Mouse": { "IHCP-species-checked": "predicted", "IHCP-species-dilution-info": "", "IHCP-species-notes": "", "FlowCyt-species-checked": "notRecommended", "FlowCyt-species-dilution-info": "", "FlowCyt-species-notes": "", "WB-species-checked": "predicted", "WB-species-dilution-info": "", "WB-species-notes": "", "ICCIF-species-checked": "predicted", "ICCIF-species-dilution-info": "", "ICCIF-species-notes": "" }, "Rat": { "IHCP-species-checked": "predicted", "IHCP-species-dilution-info": "", "IHCP-species-notes": "", "FlowCyt-species-checked": "notRecommended", "FlowCyt-species-dilution-info": "", "FlowCyt-species-notes": "", "WB-species-checked": "predicted", "WB-species-dilution-info": "", "WB-species-notes": "", "ICCIF-species-checked": "predicted", "ICCIF-species-dilution-info": "", "ICCIF-species-notes": "" } } }

Product details

ab249227 is the carrier-free version of ab155982.

Patented technology
Our RabMAb® technology is a patented hybridoma-based technology for making rabbit monoclonal antibodies. For details on our patents, please refer to RabMAb® patents.

What are the advantages of a recombinant monoclonal antibody?
This product is a recombinant monoclonal antibody, which offers several advantages including:

  • - High batch-to-batch consistency and reproducibility
  • - Improved sensitivity and specificity
  • - Long-term security of supply
  • - Animal-free batch production

For more information, read more on recombinant antibodies.

Conjugation ready
Our carrier-free antibodies are typically supplied in a PBS-only formulation, purified and free of BSA, sodium azide and glycerol. This conjugation-ready format is designed for use with fluorochromes, metal isotopes, oligonucleotides, and enzymes, which makes them ideal for antibody labelling, functional and cell-based assays, flow-based assays (e.g. mass cytometry) and Multiplex Imaging applications.

Use our conjugation kits for antibody conjugates that are ready-to-use in as little as 20 minutes with 1 minute hands-on-time and 100% antibody recovery: available for fluorescent dyes, HRP, biotin and gold.

Compatibility
This product is compatible with the Maxpar® Antibody Labeling Kit from Fluidigm, without the need for antibody preparation. Maxpar® is a trademark of Fluidigm Canada Inc.

Properties and storage information

Form
Liquid
Purification technique
Affinity purification
Storage buffer
pH: 7.2 - 7.4 Constituents: PBS
Shipped at conditions
Blue Ice
Appropriate short-term storage conditions
+4°C
Appropriate long-term storage conditions
+4°C
Storage information
Do Not Freeze

Supplementary information

This supplementary information is collated from multiple sources and compiled automatically.

ARL 1 also known as ADP-ribosylation factor-like protein 1 is a small GTPase of the Arf family. It has a molecular mass of about 20 kDa. This protein is ubiquitously expressed in human tissues with significant expression observed in the Golgi apparatus. ARL 1 regulates intracellular vesicular trafficking and plays a role in the structural integrity of the Golgi complex.
Biological function summary

ARL 1 interacts with multiple effectors to perform its roles in the cell. It becomes part of a complex with Golgi-associated proteins and participates in the regulation of membrane traffic between the Golgi and endosome. This protein associates with other small GTPases to control the localization and function of Golgi resident proteins impacting processes like glycosylation and secretion.

Pathways

ARL 1 is involved in important intracellular traffic pathways such as the Golgi to plasma membrane transport. It works within a network with proteins such as ARL2 and ARF1 influencing the COPI-coated vesicle cycle. ARL 1 interacts with pathways responsible for maintaining the Golgi structure and managing the trafficking of proteins and lipids.

ARL 1 has connections to diseases affecting the Golgi apparatus and vesicular transport like neurodegenerative disorders and cancer. It is associated with proteins like Golgin-97 and Rab6 in these contexts. Deregulation of ARL 1 function can result in altered cellular trafficking contributing to the pathogenesis of these conditions by impacting protein and lipid mislocalization.

Product protocols

For this product, it's our understanding that no specific protocols are required. You can visit:

Target data

GTP-binding protein that recruits several effectors, such as golgins, arfaptins and Arf-GEFs to the trans-Golgi network, and modulates their functions at the Golgi complex (PubMed : 21239483, PubMed : 22679020, PubMed : 27373159, PubMed : 27436755, PubMed : 9624189). Plays thereby a role in a wide range of fundamental cellular processes, including cell polarity, innate immunity, or protein secretion mediated by arfaptins, which were shown to play a role in maintaining insulin secretion from pancreatic beta cells (PubMed : 22981988).
See full target information ARL1

Publications (1)

Recent publications for all applications. Explore the full list and refine your search

International journal of clinical and experimental 13:2973-2983 PubMed33425098

2020

Adsorption of miR-218 by lncRNA HOTAIR regulates PDE7A and affects glioma cell proliferation, invasion, and apoptosis.

Applications

Unspecified application

Species

Unspecified reactive species

Yigong Wei,Kun Zhou,Cheng Wang,Xiaolin Du,Qing Xiao,Changyi Chen
View all publications

Product promise

We are committed to supporting your work with high-quality reagents, and we're here for you every step of the way. In the unlikely event that one of our products does not perform as expected, you're protected by our Product Promise.
For full details, please see our Terms & Conditions

Please note: All products are 'FOR RESEARCH USE ONLY. NOT FOR USE IN DIAGNOSTIC OR THERAPEUTIC PROCEDURES'.

For licensing inquiries, please contact partnerships@abcam.com