JavaScript is disabled in your browser. Please enable JavaScript to view this website.
AB282020

Anti-ARL8A antibody [EPR24376-2] - BSA and Azide free

Be the first to review this product! Submit a review

|

(0 Publication)

Rabbit Recombinant Monoclonal ARL8A antibody. Carrier free. Suitable for ICC/IF, IP, WB, IHC-P and reacts with Mouse, Human, Rat samples.

View Alternative Names

ARL10B, GIE2, ARL8A, ADP-ribosylation factor-like protein 8A, ADP-ribosylation factor-like protein 10B, Novel small G protein indispensable for equal chromosome segregation 2

9 Images
Immunoprecipitation - Anti-ARL8A antibody [EPR24376-2] - BSA and Azide free (AB282020)
  • IP

Supplier Data

Immunoprecipitation - Anti-ARL8A antibody [EPR24376-2] - BSA and Azide free (AB282020)

This data was developed using ab270979, the same antibody clone in a different buffer formulation.

ARL8A was immunoprecipitated from 0.35 mg Neuro-2a (mouse neuroblastoma neuroblast) whole cell lysate 10 μg with ab270979 at 1/30 dilution (2μg in 0.35mg lysates). Western blot was performed on the immunoprecipitate using ab270979 at 1/1000 dilution. VeriBlot for IP secondary antibody(HRP)(ab131366) was used at 1/5000 dilution.

Lane 1 : Neuro-2a whole cell lysate 10 μg

Lane 2 : ab270979 IP in Neuro-2a whole cell lysate

Lane 3 : Rabbit monoclonal IgG (ab172730) instead of ab270979 in Neuro-2a whole cell lysate

Blocking and dilution buffer and concentration : 5% NFDM/TBST.

Exposure time : 58 seconds

This blot was developed using a higher sensitivity ECL substrate.

All lanes:

Immunoprecipitation - Anti-ARL8A antibody [EPR24376-2] (<a href='/en-us/products/primary-antibodies/arl8a-antibody-epr24376-2-ab270979'>ab270979</a>)

Predicted band size: 21 kDa

false

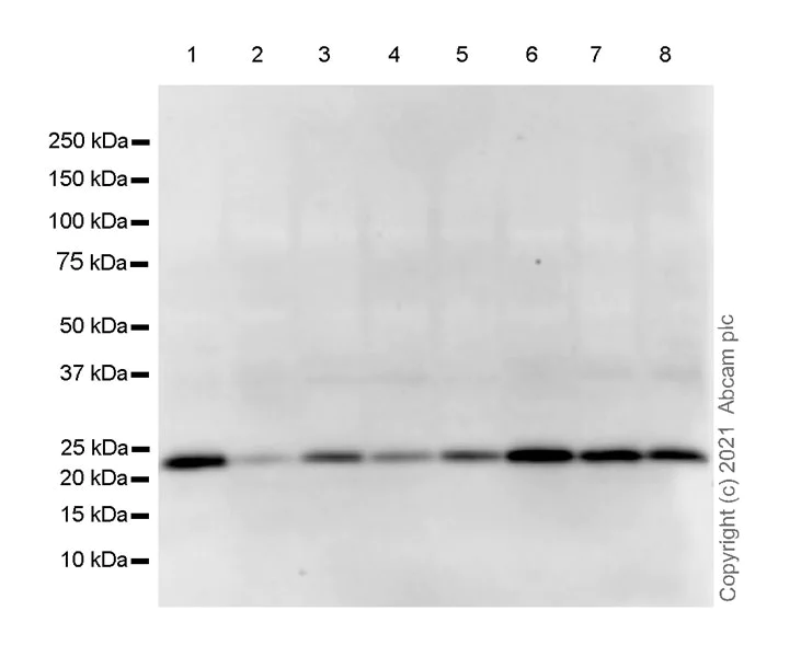
Western blot - Anti-ARL8A antibody [EPR24376-2] - BSA and Azide free (AB282020)
  • WB

Lab

Western blot - Anti-ARL8A antibody [EPR24376-2] - BSA and Azide free (AB282020)

This data was developed using ab270979, the same antibody clone in a different buffer formulation.

Blocking and diluting buffer and concentration : 5% NFDM/TBST.

Exposure time : 3 minutes.

All lanes:

Western blot - Anti-ARL8A antibody [EPR24376-2] (<a href='/en-us/products/primary-antibodies/arl8a-antibody-epr24376-2-ab270979'>ab270979</a>) at 1/1000 dilution

Lane 1:

SH-SY5Y (human neuroblastoma epithelial cell) whole cell lysate at 40 µg

Lane 2:

K-562 (human chronic myelogenous leukemia lymphoblast) whole cell lysate at 40 µg

Lane 3:

SK-BR-3 (human breast adenocarcinoma epithelial cell) whole cell lysate at 40 µg

Lane 4:

HeLa (human cervix adenocarcinoma epithelial cell) whole cell lysate at 40 µg

Lane 5:

NIH/3T3 (mouse embryonic fibroblast) whole cell lysate at 40 µg

Lane 6:

Neuro-2a (mouse neuroblastoma neuroblast) whole cell lysate at 40 µg

Lane 7:

PC-12 (rat adrenal gland pheochromocytoma) whole cell lysate at 40 µg

Lane 8:

C6 (rat glial tumor glial cell) whole cell lysate at 40 µg

Secondary

All lanes:

Western blot - Goat Anti-Rabbit IgG H&L (HRP) (<a href='/en-us/products/secondary-antibodies/goat-rabbit-igg-h-l-hrp-ab97051'>ab97051</a>) at 1/50000 dilution

Predicted band size: 21 kDa

Observed band size: 21 kDa

false

Western blot - Anti-ARL8A antibody [EPR24376-2] - BSA and Azide free (AB282020)
  • WB

Lab

Western blot - Anti-ARL8A antibody [EPR24376-2] - BSA and Azide free (AB282020)

This data was developed using ab270979, the same antibody clone in a different buffer formulation.

Blocking and diluting buffer and concentration : 5% NFDM/TBST.

Lanes 1-2 : This blot was developed using a higher sensitivity ECL substrate.

Exposure time : 3 minutes.

All lanes:

Western blot - Anti-ARL8A antibody [EPR24376-2] (<a href='/en-us/products/primary-antibodies/arl8a-antibody-epr24376-2-ab270979'>ab270979</a>) at 1/1000 dilution

Lane 1:

Human cerebellum tissue lysate at 40 µg

Lane 2:

Human placenta tissue lysate at 40 µg

Lane 3:

Mouse brain tissue lysate at 40 µg

Lane 4:

Mouse placenta tissue lysate at 40 µg

Lane 5:

Rat brain tissue lysate at 40 µg

Lane 6:

Rat placenta tissue lysate at 40 µg

Secondary

Lanes 1 - 2:

Western blot - VeriBlot for IP Detection Reagent (HRP) (<a href='/en-us/products/reagents/veriblot-for-ip-detection-reagent-hrp-ab131366'>ab131366</a>) at 1/1000 dilution

Lanes 3 - 6:

Western blot - Goat Anti-Rabbit IgG H&L (HRP) (<a href='/en-us/products/secondary-antibodies/goat-rabbit-igg-h-l-hrp-ab97051'>ab97051</a>) at 1/50000 dilution

Predicted band size: 21 kDa

false

Western blot - Anti-ARL8A antibody [EPR24376-2] - BSA and Azide free (AB282020)
  • WB

Lab

Western blot - Anti-ARL8A antibody [EPR24376-2] - BSA and Azide free (AB282020)

This data was developed using ab270979, the same antibody clone in a different buffer formulation.

Blocking and diluting buffer and concentration : 5% NFDM/TBST.

This antibody reacts with ARL8A, but not ARL8B.

Exposure time : 3 seconds.

All lanes:

Western blot - Anti-ARL8A antibody [EPR24376-2] (<a href='/en-us/products/primary-antibodies/arl8a-antibody-epr24376-2-ab270979'>ab270979</a>) at 1/1000 dilution

Lane 1:

His-tagged human ARL8A recombinant protein at 0.02 µg

Lane 2:

His-tagged human ARL8B recombinant protein at 0.02 µg

Secondary

All lanes:

Western blot - Goat Anti-Rabbit IgG H&L (HRP) (<a href='/en-us/products/secondary-antibodies/goat-rabbit-igg-h-l-hrp-ab97051'>ab97051</a>) at 1/100000 dilution

Predicted band size: 21 kDa

false

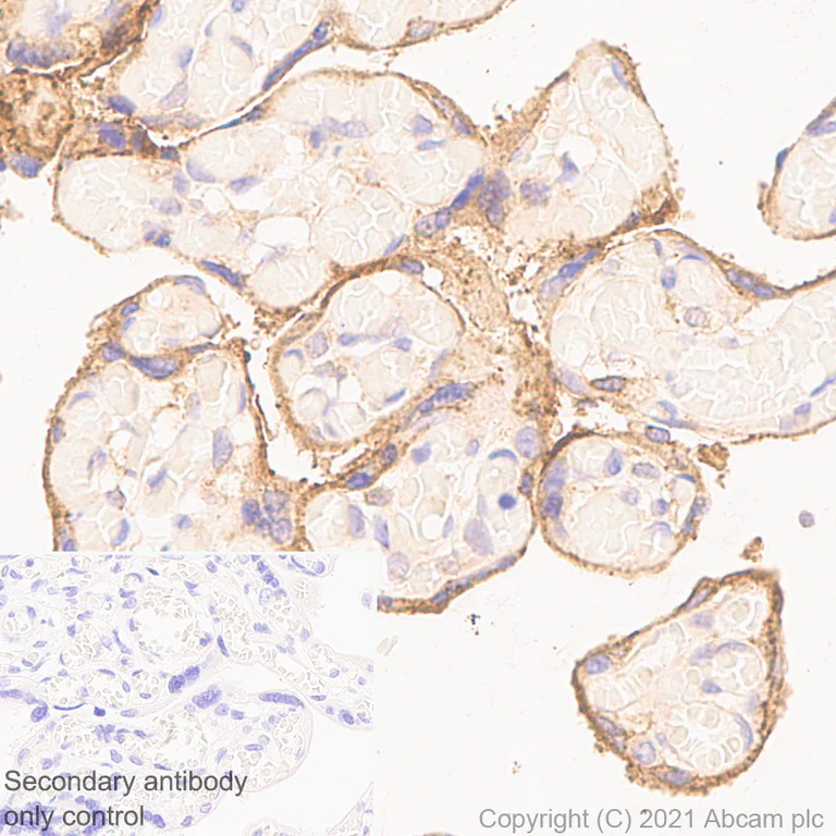
Immunohistochemistry (Formalin/PFA-fixed paraffin-embedded sections) - Anti-ARL8A antibody [EPR24376-2] - BSA and Azide free (AB282020)
  • IHC-P

Supplier Data

Immunohistochemistry (Formalin/PFA-fixed paraffin-embedded sections) - Anti-ARL8A antibody [EPR24376-2] - BSA and Azide free (AB282020)

This data was developed using ab270979, the same antibody clone in a different buffer formulation.

Immunohistochemical analysis of paraffin-embedded human placenta tissue labelling ARL8A with ab270979 at 1/50 (10.02 μg/ml) dilution followed by a ready to use LeicaDS9800 (Bond™ Polymer Refine Detection). The section was incubated with ab270979 for 30 mins at room temperature. The immunostaining was performed on a Leica Biosystems BOND® RX instrument. Counterstained with Hematoxylin.

Cytoplasmic staining on human placenta (PMID : 15331635).

Secondary antibody only control : Secondary antibody is a ready to use LeicaDS9800 (Bond™ Polymer Refine Detection).

Heat mediated antigen retrieval with Tris-EDTA buffer (pH 9.0, epitope retrieval solution2) for 20 mins.

Immunocytochemistry/ Immunofluorescence - Anti-ARL8A antibody [EPR24376-2] - BSA and Azide free (AB282020)
  • ICC/IF

Supplier Data

Immunocytochemistry/ Immunofluorescence - Anti-ARL8A antibody [EPR24376-2] - BSA and Azide free (AB282020)

This data was developed using ab270979, the same antibody clone in a different buffer formulation.

Immunofluorescent analysis of 4% Paraformaldehyde-fixed, 0.1% Triton X-100 permeabilized Neuro-2a cells labelling ARL8A with ab270979 at 1/50 (10.02 μg/ml) dilution, followed by ab150077 Goat Anti-Rabbit IgG H&L (Alexa Fluor® 488) antibody at 1/1000 dilution (Green).

Confocal image showing cytoplasmic staining in Neuro-2a cell line.

ab195889 Anti-alpha Tubulin mouse monoclonal antibody - Microtubule Marker (Alexa Fluor® 594) was used to counterstain tubulin at 1/200 dilution (Red). The nuclear counterstain was DAPI (Blue).

Secondary antibody only control : Secondary antibody is ab150077 Goat Anti-Rabbit IgG H&L (Alexa Fluor® 488) at 1/1000 dilution.

Immunoprecipitation - Anti-ARL8A antibody [EPR24376-2] - BSA and Azide free (AB282020)
  • IP

Supplier Data

Immunoprecipitation - Anti-ARL8A antibody [EPR24376-2] - BSA and Azide free (AB282020)

This data was developed using ab270979, the same antibody clone in a different buffer formulation.

ARL8A was immunoprecipitated from 0.35 mg SH-SY5Y (human neuroblastoma epithelial cell) whole cell lysate 10 μg with ab270979 at 1/30 dilution (2μg in 0.35mg lysates). Western blot was performed on the immunoprecipitate using ab270979 at 1/1000 dilution. VeriBlot for IP secondary antibody(HRP)(ab131366) was used at 1/5000 dilution.

Lane 1 : SH-SY5Y whole cell lysate 10 μg

Lane 2 : ab270979 IP in SH-SY5Y whole cell lysate

Lane 3 : Rabbit monoclonal IgG (ab172730) instead of ab270979 in SH-SY5Y whole cell lysate

Blocking and dilution buffer and concentration : 5% NFDM/TBST.

Exposure time : 76 seconds

This blot was developed using a higher sensitivity ECL substrate.

All lanes:

Immunoprecipitation - Anti-ARL8A antibody [EPR24376-2] (<a href='/en-us/products/primary-antibodies/arl8a-antibody-epr24376-2-ab270979'>ab270979</a>)

Predicted band size: 21 kDa

false

Immunohistochemistry (Formalin/PFA-fixed paraffin-embedded sections) - Anti-ARL8A antibody [EPR24376-2] - BSA and Azide free (AB282020)
  • IHC-P

Supplier Data

Immunohistochemistry (Formalin/PFA-fixed paraffin-embedded sections) - Anti-ARL8A antibody [EPR24376-2] - BSA and Azide free (AB282020)

This data was developed using ab270979, the same antibody clone in a different buffer formulation.

Immunohistochemical analysis of paraffin-embedded mouse cerebrum tissue labelling ARL8A with ab270979 at 1/50 (10.02 μg/ml) dilution followed by a ready to use LeicaDS9800 (Bond™ Polymer Refine Detection). The section was incubated with ab270979 for 30 mins at room temperature. The immunostaining was performed on a Leica Biosystems BOND® RX instrument. Counterstained with Hematoxylin.

Cytoplasmic staining on mouse cerebrum.

Secondary antibody only control : Secondary antibody is a ready to use LeicaDS9800 (Bond™ Polymer Refine Detection).

Heat mediated antigen retrieval with Tris-EDTA buffer (pH 9.0, epitope retrieval solution2) for 20 mins.

Immunohistochemistry (Formalin/PFA-fixed paraffin-embedded sections) - Anti-ARL8A antibody [EPR24376-2] - BSA and Azide free (AB282020)
  • IHC-P

Supplier Data

Immunohistochemistry (Formalin/PFA-fixed paraffin-embedded sections) - Anti-ARL8A antibody [EPR24376-2] - BSA and Azide free (AB282020)

This data was developed using ab270979, the same antibody clone in a different buffer formulation.

Immunohistochemical analysis of paraffin-embedded rat cerebrum tissue labelling ARL8A with ab270979 at 1/50 (10.02 μg/ml) dilution followed by a ready to use LeicaDS9800 (Bond™ Polymer Refine Detection). The section was incubated with ab270979 for 30 mins at room temperature. The immunostaining was performed on a Leica Biosystems BOND® RX instrument. Counterstained with Hematoxylin.

Cytoplasmic staining on rat cerebrum.

Secondary antibody only control : Secondary antibody is a ready to use LeicaDS9800 (Bond™ Polymer Refine Detection).

Heat mediated antigen retrieval with Tris-EDTA buffer (pH 9.0, epitope retrieval solution2) for 20 mins.

Key facts

Host species

Rabbit

Clonality

Monoclonal

Clone number

EPR24376-2

Isotype

IgG

Carrier free

Yes

Reacts with

Mouse, Rat, Human

Applications

WB, ICC/IF, IHC-P, IP

applications

Immunogen

The exact immunogen used to generate this antibody is proprietary information.

Reactivity data

{ "title": "Reactivity Data", "filters": { "stats": ["", "Species", "Dilution Info", "Notes"], "tabs": { "all-applications": {"fullname" : "All Applications", "shortname": "All Applications"}, "ICCIF" : {"fullname" : "Immunocytochemistry/ Immunofluorescence", "shortname":"ICC/IF"}, "IP" : {"fullname" : "Immunoprecipitation", "shortname":"IP"}, "WB" : {"fullname" : "Western blot", "shortname":"WB"}, "IHCFr" : {"fullname" : "Immunohistochemistry (Frozen sections)", "shortname":"IHC-Fr"}, "FlowCytIntra" : {"fullname" : "Flow Cytometry (Intracellular)", "shortname":"Flow Cyt (Intra)"}, "IHCP" : {"fullname" : "Immunohistochemistry (Formalin/PFA-fixed paraffin-embedded sections)", "shortname":"IHC-P"} }, "product-promise": { "all": "all", "testedAndGuaranteed": "tested", "guaranteed": "expected", "predicted": "predicted", "notRecommended": "not-recommended" } }, "values": { "Human": { "ICCIF-species-checked": "notRecommended", "ICCIF-species-dilution-info": "", "ICCIF-species-notes": "<p></p> Perform heat-mediated antigen retrieval with Tris/EDTA buffer pH 9.0 before commencing with IHC staining protocol.", "IP-species-checked": "testedAndGuaranteed", "IP-species-dilution-info": "", "IP-species-notes": "<p></p>", "WB-species-checked": "testedAndGuaranteed", "WB-species-dilution-info": "", "WB-species-notes": "<p></p>", "IHCFr-species-checked": "notRecommended", "IHCFr-species-dilution-info": "", "IHCFr-species-notes": "", "FlowCytIntra-species-checked": "notRecommended", "FlowCytIntra-species-dilution-info": "", "FlowCytIntra-species-notes": "<p></p>", "IHCP-species-checked": "testedAndGuaranteed", "IHCP-species-dilution-info": "", "IHCP-species-notes": "<p></p> Perform heat-mediated antigen retrieval with Tris/EDTA buffer pH 9.0 before commencing with IHC staining protocol." }, "Mouse": { "ICCIF-species-checked": "testedAndGuaranteed", "ICCIF-species-dilution-info": "", "ICCIF-species-notes": "<p></p> Perform heat-mediated antigen retrieval with Tris/EDTA buffer pH 9.0 before commencing with IHC staining protocol.", "IP-species-checked": "testedAndGuaranteed", "IP-species-dilution-info": "", "IP-species-notes": "<p></p>", "WB-species-checked": "testedAndGuaranteed", "WB-species-dilution-info": "", "WB-species-notes": "<p></p>", "IHCFr-species-checked": "notRecommended", "IHCFr-species-dilution-info": "", "IHCFr-species-notes": "<p></p>", "FlowCytIntra-species-checked": "notRecommended", "FlowCytIntra-species-dilution-info": "", "FlowCytIntra-species-notes": "<p></p>", "IHCP-species-checked": "testedAndGuaranteed", "IHCP-species-dilution-info": "", "IHCP-species-notes": "<p></p> Perform heat-mediated antigen retrieval with Tris/EDTA buffer pH 9.0 before commencing with IHC staining protocol." }, "Rat": { "ICCIF-species-checked": "notRecommended", "ICCIF-species-dilution-info": "", "ICCIF-species-notes": "<p></p> Perform heat-mediated antigen retrieval with Tris/EDTA buffer pH 9.0 before commencing with IHC staining protocol.", "IP-species-checked": "guaranteed", "IP-species-dilution-info": "", "IP-species-notes": "", "WB-species-checked": "testedAndGuaranteed", "WB-species-dilution-info": "", "WB-species-notes": "<p></p>", "IHCFr-species-checked": "notRecommended", "IHCFr-species-dilution-info": "", "IHCFr-species-notes": "<p></p>", "FlowCytIntra-species-checked": "notRecommended", "FlowCytIntra-species-dilution-info": "", "FlowCytIntra-species-notes": "<p></p>", "IHCP-species-checked": "testedAndGuaranteed", "IHCP-species-dilution-info": "", "IHCP-species-notes": "<p></p> Perform heat-mediated antigen retrieval with Tris/EDTA buffer pH 9.0 before commencing with IHC staining protocol." } } }

Product details

ab282020 is the carrier-free version of ab270979.

Patented technology
Our RabMAb® technology is a patented hybridoma-based technology for making rabbit monoclonal antibodies. For details on our patents, please refer to RabMAb® patents.

What are the advantages of a recombinant monoclonal antibody?
This product is a recombinant monoclonal antibody, which offers several advantages including:

  • - High batch-to-batch consistency and reproducibility
  • - Improved sensitivity and specificity
  • - Long-term security of supply
  • - Animal-free batch production

For more information, read more on recombinant antibodies.

Conjugation ready
Our carrier-free antibodies are typically supplied in a PBS-only formulation, purified and free of BSA, sodium azide and glycerol. This conjugation-ready format is designed for use with fluorochromes, metal isotopes, oligonucleotides, and enzymes, which makes them ideal for antibody labelling, functional and cell-based assays, flow-based assays (e.g. mass cytometry) and Multiplex Imaging applications.

Use our conjugation kits for antibody conjugates that are ready-to-use in as little as 20 minutes with 1 minute hands-on-time and 100% antibody recovery: available for fluorescent dyes, HRP, biotin and gold.

Compatibility
This product is compatible with the Maxpar® Antibody Labeling Kit from Fluidigm, without the need for antibody preparation. Maxpar® is a trademark of Fluidigm Canada Inc.

Properties and storage information

Form
Liquid
Purification technique
Affinity purification Protein A
Storage buffer
pH: 7.2 - 7.4 Constituents: 100% PBS
Shipped at conditions
Blue Ice
Appropriate short-term storage conditions
+4°C
Appropriate long-term storage conditions
+4°C

Supplementary information

This supplementary information is collated from multiple sources and compiled automatically.

ARL8A also known as Arl8 or ADP-ribosylation factor-like protein 8A is a small GTPase with a molecular mass of approximately 20 kDa. This protein is involved in the regulation of lysosomal positioning and trafficking in the cell. It is expressed in various tissues including the brain liver and lung playing a role in cellular transport mechanisms. ARL8A localizes primarily to the lysosomal membrane contributing to the dynamic behavior of these organelles.
Biological function summary

ARL8A facilitates the proper positioning and movement of lysosomes within the cellular cytoplasm by interacting with the scaffold protein PLEKHM2 and the HOPS complex. These interactions enable the lysosomes to fuse with other vesicles important for maintaining cellular homeostasis and facilitating autophagy. ARL8A's function is particularly important in immune cells where it aids in the degradation of internalized pathogens by enhancing lysosomal fusion capabilities.

Pathways

ARL8A participates in the lysosomal transport and autophagy pathways. This protein functions with other lysosomal proteins like LAMP1 and LAMP2 to ensure the fusion and degradation processes work efficiently. ARL8A also interacts with proteins in the kinesin transport system linking it to the coordination of movement along microtubules impacting intracellular vesicle trafficking significantly.

Research links ARL8A to neurodegenerative diseases such as Parkinson's disease where lysosomal dysfunction is a contributing factor. Mutations or misregulation of ARL8A and associated proteins like LRRK2 can lead to impaired autophagy resulting in the accumulation of toxic proteins. Furthermore ARL8A has been connected to immune disorders as its role in lysosomal function can affect the immune response potentially leading to inflammatory diseases if dysregulated.

Product protocols

For this product, it's our understanding that no specific protocols are required. You can visit:

Target data

Plays a role in lysosome motility (By similarity). In neurons, mediates the anterograde axonal long-range transport of presynaptic lysosome-related vesicles required for presynaptic biogenesis and synaptic function (By similarity). May play a role in chromosome segregation (By similarity).
See full target information ARL8A

Product promise

We are committed to supporting your work with high-quality reagents, and we're here for you every step of the way. In the unlikely event that one of our products does not perform as expected, you're protected by our Product Promise.
For full details, please see our Terms & Conditions

Please note: All products are 'FOR RESEARCH USE ONLY. NOT FOR USE IN DIAGNOSTIC OR THERAPEUTIC PROCEDURES'.

For licensing inquiries, please contact partnerships@abcam.com