JavaScript is disabled in your browser. Please enable JavaScript to view this website.
AB67271

Anti-ARMET/ARP antibody

Be the first to review this product! Submit a review

|

(35 Publications)

Rabbit Polyclonal ARMET/ARP antibody. Suitable for WB, IHC-P, ICC/IF and reacts with Mouse, Rat, Human samples. Cited in 35 publications. Immunogen corresponding to Synthetic Peptide within Human MANF.

View Alternative Names

ARMET, ARP, MANF, Mesencephalic astrocyte-derived neurotrophic factor, Arginine-rich protein, Protein ARMET

5 Images
Immunocytochemistry/ Immunofluorescence - Anti-ARMET/ARP antibody (AB67271)
  • ICC/IF

Unknown

Immunocytochemistry/ Immunofluorescence - Anti-ARMET/ARP antibody (AB67271)

Immunofluorescent analysis of 4% paraformaldehydefixed human brain cells labeling ARMET/ARP in Human Brain cells using ab67271 at 20 ug/mL, followed by goat anti-rabbit IgG secondary antibody at 1/500 dilution (red).

Immunohistochemistry (Formalin/PFA-fixed paraffin-embedded sections) - Anti-ARMET/ARP antibody (AB67271)
  • IHC-P

Supplier Data

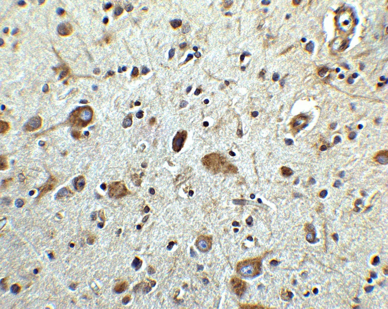
Immunohistochemistry (Formalin/PFA-fixed paraffin-embedded sections) - Anti-ARMET/ARP antibody (AB67271)

ab67271 at 2.5 μg/ml staining of ARMET/ARP in human brain tissue using IHC-P. Tissue was fixed with formaldehyde and blocked with 10% serum for 1 h at RT; antigen retrieval was by heat mediation with a citrate buffer (pH6). Samples were incubated with primary antibody overnight at 4˚C. A goat anti-rabbit IgG H&L (HRP) at 1/250 was used as secondary. Counter stained with Hematoxylin.

Immunohistochemistry (Formalin/PFA-fixed paraffin-embedded sections) - Anti-ARMET/ARP antibody (AB67271)
  • IHC-P

Unknown

Immunohistochemistry (Formalin/PFA-fixed paraffin-embedded sections) - Anti-ARMET/ARP antibody (AB67271)

ab67271 at 2.5 μg/ml staining of ARMET/ARP in human brain tissue using IHC-P. Tissue was fixed with formaldehyde and blocked with 10% serum for 1 h at RT; antigen retrieval was by heat mediation with a citrate buffer (pH6). Samples were incubated with primary antibody overnight at 4˚C. A goat anti-rabbit IgG H&L (HRP) at 1/250 was used as secondary. Counter stained with Hematoxylin.

Western blot - Anti-ARMET/ARP antibody (AB67271)
  • WB

Supplier Data

Western blot - Anti-ARMET/ARP antibody (AB67271)

Diluting buffer : 5% NFDM/TBST.

All lanes:

Western blot - Anti-ARMET/ARP antibody (ab67271) at 1 µg/mL

Lane 1:

Wild-type HEK293T cell lysate at 10 µg

Lane 2:

ARMET/ARP knock-out HEK293T cell lysate at 10 µg

Secondary

All lanes:

Goat Anti-Rabbit IgG (HRP) at 1/10000 dilution

Predicted band size: 20 kDa

Observed band size: 17 kDa

false

Western blot - Anti-ARMET/ARP antibody (AB67271)
  • WB

Supplier Data

Western blot - Anti-ARMET/ARP antibody (AB67271)

Blocking conditions : 5% non-fat milk in TBS at 4 overnight.

Primary antibody : Room temperature for 1 hour

Diluting buffer : 5% NFDM/TBST.

All lanes:

Western blot - Anti-ARMET/ARP antibody (ab67271) at 2 µg/mL

Lane 1:

HEK-293 (human epithelial cell line from embryonic kidney) cell lysate at 15 µg

Lane 2:

A431 (human epidermoid carcinoma cell line) cell lysate at 15 µg

Lane 3:

A549 (human lung carcinoma cell line) cell lysate at 15 µg

Lane 4:

CaCo-2 (human colorectal adenocarcinoma cell line) cell lysate at 15 µg

Lane 5:

Daudi (human Burkitt's lymphoma cell line) cell lysate at 15 µg

Lane 6:

HeLa (human epithelial cell line from cervix adenocarcinoma) cell lysate at 15 µg

Lane 7:

Jurkat (human T cell leukemia cell line from peripheral blood) cell lysate at 15 µg

Lane 8:

SK-N-SH (human neuroblastoma cell line) cell lysate at 15 µg

Lane 9:

THP-1 (human monocytic leukemia cell line) cell lysate at 15 µg

Lane 10:

NIH/3T3 (mouse embryo fibroblast cell line) cell lysate at 15 µg

Lane 11:

YB2/0 (rat B cell lymphoblast cell line) cell lysate at 15 µg

Secondary

All lanes:

Goat anti-rabbit IgG (HRP) at 1/10000 dilution

Predicted band size: 20 kDa

Observed band size: 17 kDa

false

Key facts

Host species

Rabbit

Clonality

Polyclonal

Isotype

IgG

Carrier free

No

Reacts with

Mouse, Rat, Human

Applications

IHC-P, ICC/IF, WB

applications

Immunogen

Synthetic Peptide within Human MANF. The exact immunogen used to generate this antibody is proprietary information.

P55145

Specificity

ab67271 does not crossreact with CDNF.

Reactivity data

{ "title": "Reactivity Data", "filters": { "stats": ["", "Species", "Dilution Info", "Notes"], "tabs": { "all-applications": {"fullname" : "All Applications", "shortname": "All Applications"}, "WB" : {"fullname" : "Western blot", "shortname":"WB"}, "IHCP" : {"fullname" : "Immunohistochemistry (Formalin/PFA-fixed paraffin-embedded sections)", "shortname":"IHC-P"}, "ICCIF" : {"fullname" : "Immunocytochemistry/ Immunofluorescence", "shortname":"ICC/IF"} }, "product-promise": { "all": "all", "testedAndGuaranteed": "tested", "guaranteed": "expected", "predicted": "predicted", "notRecommended": "not-recommended" } }, "values": { "Human": { "WB-species-checked": "testedAndGuaranteed", "WB-species-dilution-info": "0.125-2 µg/mL", "WB-species-notes": "<p>Blocking conditions: 5% non-fat milk in TBS at 4 overnight.</p>", "IHCP-species-checked": "testedAndGuaranteed", "IHCP-species-dilution-info": "2.5 µg/mL", "IHCP-species-notes": "<p>Not validated in mouse and rat samples</p>", "ICCIF-species-checked": "testedAndGuaranteed", "ICCIF-species-dilution-info": "20 µg/mL", "ICCIF-species-notes": "<p>Not validated in mouse and rat samples</p>" }, "Mouse": { "WB-species-checked": "testedAndGuaranteed", "WB-species-dilution-info": "0.125-2 µg/mL", "WB-species-notes": "<p>Blocking conditions: 5% non-fat milk in TBS at 4 overnight.</p>", "IHCP-species-checked": "guaranteed", "IHCP-species-dilution-info": "", "IHCP-species-notes": "", "ICCIF-species-checked": "guaranteed", "ICCIF-species-dilution-info": "", "ICCIF-species-notes": "" }, "Rat": { "WB-species-checked": "testedAndGuaranteed", "WB-species-dilution-info": "0.125-2 µg/mL", "WB-species-notes": "<p>Blocking conditions: 5% non-fat milk in TBS at 4 overnight.</p>", "IHCP-species-checked": "guaranteed", "IHCP-species-dilution-info": "", "IHCP-species-notes": "", "ICCIF-species-checked": "guaranteed", "ICCIF-species-dilution-info": "", "ICCIF-species-notes": "" } } }

Product details

Please see ab253243 as alternative product for testing human samples in WB and ICC/IF.

Properties and storage information

Form
Liquid
Purification technique
Affinity purification Protein A
Storage buffer
pH: 7.2 Preservative: 0.02% Sodium azide Constituents: PBS
Shipped at conditions
Blue Ice
Appropriate short-term storage duration
1-2 weeks
Appropriate short-term storage conditions
+4°C
Appropriate long-term storage conditions
-20°C
Storage information
Avoid freeze / thaw cycle

Supplementary information

This supplementary information is collated from multiple sources and compiled automatically.

ARMET also known as Arp is a 19 kDa protein known for its role in cellular stress responses. It is alternatively named MANF (Mesencephalic Astrocyte-derived Neurotrophic Factor) in some studies. This protein is widely expressed including in the brain liver and pancreas reflecting its involvement across different cellular environments. ARMET/ARP interacts with the endoplasmic reticulum to address misfolded protein loads and support cell survival under stress.
Biological function summary

ARMET plays a significant role in maintaining cellular homeostasis especially under stress conditions. It does not form a larger complex but functions as a standalone factor that aids in the proper folding of proteins within the endoplasmic reticulum. Additionally ARMET has protective effects on dopaminergic neurons which are critical for neuromolecular processes. This protein has connections to cellular survival pathways acting as a neurotrophic factor to support neuron maintenance and health.

Pathways

ARMET is an important player in the unfolded protein response (UPR) and the neuroprotective pathways. In these pathways ARMET interacts with other proteins involved in protein folding and stress responses such as BiP/GRP78. These interactions help prevent apoptosis and promote cell survival by ensuring that cells can cope with endoplasmic reticulum stress. The ability of ARMET to enhance neuronal survival links it to pathways important for neuroprotection.

ARMET has been associated with neurodegenerative diseases such as Parkinson's disease and diabetes. In Parkinson's disease the survival-promoting effects of ARMET on dopaminergic neurons become vital potentially offering therapeutic targets. Connections between ARMET and diabetes surface through its regulation of beta-cell survival in the pancreas suggesting a role in maintaining insulin production and glucose homeostasis. In these diseases ARMET may interact with other proteins like proinsulin which holds significance for maintaining endocrine functions.

Product protocols

For this product, it's our understanding that no specific protocols are required. You can visit:

Target data

Selectively promotes the survival of dopaminergic neurons of the ventral mid-brain (PubMed : 12794311). Modulates GABAergic transmission to the dopaminergic neurons of the substantia nigra (By similarity). Enhances spontaneous, as well as evoked, GABAergic inhibitory postsynaptic currents in dopaminergic neurons (By similarity). Inhibits cell proliferation and endoplasmic reticulum (ER) stress-induced cell death (PubMed : 18561914, PubMed : 22637475, PubMed : 29497057). Retained in the ER/sarcoplasmic reticulum (SR) through association with the endoplasmic reticulum chaperone protein HSPA5 under normal conditions (PubMed : 22637475). Up-regulated and secreted by the ER/SR in response to ER stress and hypoxia (PubMed : 22637475). Following secretion by the ER/SR, directly binds to 3-O-sulfogalactosylceramide, a lipid sulfatide in the outer cell membrane of target cells (PubMed : 29497057). Sulfatide binding promotes its cellular uptake by endocytosis, and is required for its role in alleviating ER stress and cell toxicity under hypoxic and ER stress conditions (PubMed : 29497057).
See full target information MANF

Publications (35)

Recent publications for all applications. Explore the full list and refine your search

Biochemistry and biophysics reports 43:102106 PubMed40688493

2025

Identification and validation of the pivotal role of MANF gene in pancreatic β-cell aging using bioinformatics.

Applications

Unspecified application

Species

Unspecified reactive species

Jiang Liu,Yaodong Wang,Junqi Yang,Xiaowu Dong,Qingtian Zhu,Chenchen Yuan,Bailai Jiang,Guotao Lu,Weixuan Yang,Yumin Ma

Cell biology international 49:472-483 PubMed39921278

2025

Regulation of N-Glycosylation of CDNF on Its Protein Stability and Function in Hypoxia/Reoxygenation Model of H9C2 Cells.

Applications

Unspecified application

Species

Unspecified reactive species

Qingwen Huang,Haibin Dong,Wenjuan Jia,Yanxin Ren,Wei Li,Lin Zhong,Lei Gong,Jun Yang

Drug design, development and therapy 19:39-50 PubMed39816847

2025

Protective Effect of Rosmarinic Acid on Endotoxin-Induced Neuronal Damage Through Modulating GRP78/PERK/MANF Pathway.

Applications

Unspecified application

Species

Unspecified reactive species

Qian Li,Jing-Wen Zheng,Zi-Yao Wang,Shi-Ping Liao,Ling Zhu,Xia Wang,Li-Hong Wan

Molecular neurodegeneration 19:75 PubMed39425207

2024

Increased expression of mesencephalic astrocyte-derived neurotrophic factor (MANF) contributes to synapse loss in Alzheimer's disease.

Applications

Unspecified application

Species

Unspecified reactive species

Yiran Zhang,Xiusheng Chen,Laiqiang Chen,Mingting Shao,Wenzhen Zhu,Tingting Xing,Tingting Guo,Qingqing Jia,Huiming Yang,Peng Yin,Xiao-Xin Yan,Jiandong Yu,Shihua Li,Xiao-Jiang Li,Su Yang

Molecular medicine (Cambridge, Mass.) 30:139 PubMed39242993

2024

Key subdomains of mesencephalic astrocyte-derived neurotrophic factor attenuate myocardial ischemia/reperfusion injury by JAK1/STAT1/NF-κB signaling pathway.

Applications

Unspecified application

Species

Unspecified reactive species

Haibin Dong,Wenjuan Jia,Chunxiao Wang,Da Teng,Bowen Xu,Xiaoning Ding,Jun Yang,Lin Zhong,Lei Gong

Acta pharmaceutica Sinica. B 13:4234-4252 PubMed37799387

2023

MANF brakes TLR4 signaling by competitively binding S100A8 with S100A9 to regulate macrophage phenotypes in hepatic fibrosis.

Applications

Unspecified application

Species

Unspecified reactive species

Chao Hou,Dong Wang,Mingxia Zhao,Petek Ballar,Xinru Zhang,Qiong Mei,Wei Wang,Xiang Li,Qiang Sheng,Jun Liu,Chuansheng Wei,Yujun Shen,Yi Yang,Peng Wang,Juntang Shao,Sa Xu,Fuyan Wang,Yang Sun,Yuxian Shen

Journal of neurochemistry 166:943-959 PubMed37507360

2023

Upregulation of mesencephalic astrocyte-derived neurotrophic factor (MANF) expression offers protection against alcohol neurotoxicity.

Applications

Unspecified application

Species

Unspecified reactive species

Wen Wen,Yongchao Wang,Hui Li,Di Hu,Zuohui Zhang,Hong Lin,Jia Luo

Frontiers in immunology 13:941219 PubMed35911675

2022

Cold Plasma Irradiation Attenuates Atopic Dermatitis Enhancing HIF-1α-Induced MANF Transcription Expression.

Applications

Unspecified application

Species

Unspecified reactive species

Tao Sun,Xinru Zhang,Chao Hou,Shujun Yu,Yujing Zhang,Zhuo Yu,Ling Kong,Changqing Liu,Lijie Feng,Dong Wang,Guohua Ni

Acta pharmacologica Sinica 44:157-168 PubMed35655095

2022

Hepatocyte-derived MANF mitigates ethanol-induced liver steatosis in mice via enhancing ASS1 activity and activating AMPK pathway.

Applications

Unspecified application

Species

Unspecified reactive species

Han-Yang Xu,Yan-Hong Jiao,Shi-Yu Li,Xu Zhu,Sheng Wang,Yu-Yang Zhang,Yi-Jun Wei,Yu-Jun Shen,Wei Wang,Yu-Xian Shen,Jun-Tang Shao

Cell death & disease 13:100 PubMed35110525

2022

Mesencephalic astrocyte-derived neurotrophic factor reprograms macrophages to ameliorate acetaminophen-induced acute liver injury via p38 MAPK pathway.

Applications

Unspecified application

Species

Unspecified reactive species

Xin Hou,Qi Liu,Yimin Gao,Liang Yong,Huiyuan Xie,Wenting Li,Yuping Zhou,Jun Liu,Lijie Feng,Long Xu,Yuxian Shen,Hua Wang
View all publications

Product promise

We are committed to supporting your work with high-quality reagents, and we're here for you every step of the way. In the unlikely event that one of our products does not perform as expected, you're protected by our Product Promise.
For full details, please see our Terms & Conditions

Please note: All products are 'FOR RESEARCH USE ONLY. NOT FOR USE IN DIAGNOSTIC OR THERAPEUTIC PROCEDURES'.

For licensing inquiries, please contact partnerships@abcam.com