JavaScript is disabled in your browser. Please enable JavaScript to view this website.
AB316935

Anti-ARMET/ARP antibody [EPR29115-74]

  • BOND RX™ Validated
  • 20ul selling size
  • Recombinant
  • Advanced Validation
  • RabMAb
  • What is this?

Be the first to review this product! Submit a review

|

(1 Publication)

Rabbit Recombinant Monoclonal ARMET/ARP antibody. Suitable for WB, Flow Cyt (Intra), IP, IHC-P, ICC/IF, mIHC and reacts with Recombinant fragment - Mouse, Human, Mouse, Rat samples. Cited in 1 publication.

View Alternative Names

Armet, Manf, Mesencephalic astrocyte-derived neurotrophic factor, Arginine-rich protein, Protein ARMET

19 Images
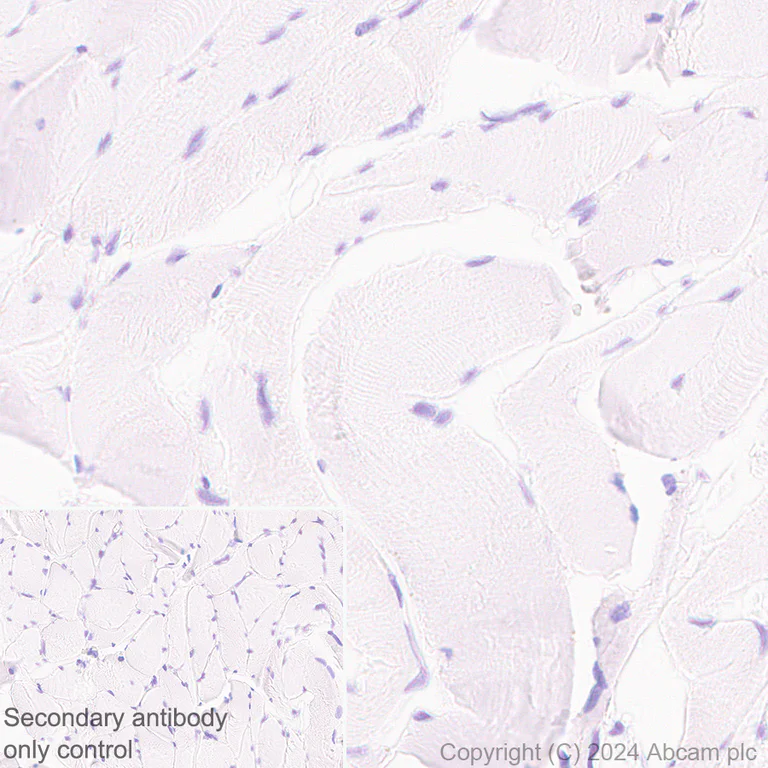
Immunohistochemistry (Formalin/PFA-fixed paraffin-embedded sections) - Anti-ARMET/ARP antibody [EPR29115-74] (AB316935)
  • IHC-P

Supplier Data

Immunohistochemistry (Formalin/PFA-fixed paraffin-embedded sections) - Anti-ARMET/ARP antibody [EPR29115-74] (AB316935)

Immunohistochemical analysis of paraffin-embedded Human skeletal muscle tissue labeling ARMET/ARP with ab316935 at 1/2000 (0.253 ug/ml) dilution, followed by a ready to use LeicaDS9800 (Bond™ Polymer Refine Detection).

Low expression : no staining on human skeletal muscle. The section was incubated with ab316935 for 30 mins at room temperature.
The immunostaining was performed on a Leica Biosystems BOND® RX instrument.

Counterstained with Hematoxylin.

Secondary antibody only control : Secondary antibody is a ready to use LeicaDS9800 (Bond™ Polymer Refine Detection).

Heat mediated antigen retrieval was performed with Tris-EDTA buffer (pH 9.0, Epitope Retrieval Solution2) for 20 mins.

Multiplex immunohistochemistry - Anti-ARMET/ARP antibody [EPR29115-74] (AB316935)
  • mIHC

Supplier Data

Multiplex immunohistochemistry - Anti-ARMET/ARP antibody [EPR29115-74] (AB316935)

Multiplex immunohistochemical analysis of formalin/PFA-fixed paraffin-embedded human cerebrum tissue section labelling Noradrenaline transporter with ab254361 at a 1/100 dilution (B), GPCR GPR17 with ab314307 at a 1/500 dilution (C), and ARMET/ARP with ab316935 at a 1/1000 dilution (D). Nuclear DNA was labeled with DAPI (shown in blue).

Panel A : merged staining of anti-Noradrenaline transporter (magenta; Opal™ 690), anti-GPCR GPR17 (green; Opal™ 520) and anti-ARMET/ARP (gray; Opal™ 570) on human cerebrum.
Panel B : anti-Noradrenaline transporter staining nerves in human cerebrum.
Panel C : anti-GPCR GPR17 staining oligodendrocytes in human cerebrum.
Panel D : anti-ARMET/ARP staining neurons in human cerebrum.

Heat mediated antigen retrieval with Tris-EDTA buffer (pH 9.0, epitope retrieval solution2) for 20 mins.

The section was incubated in three rounds of staining : in the order of ab254361, ab314307 and ab316935 for 30 mins at room temperature. Each round was followed by a separate fluorescent tyramide signal amplification system.

The immunostaining was performed on a Leica Biosystems BOND® RX instrument with an Opal™ 4-color kit. Image acquisition was performed with Leica SP8 confocal microscope.

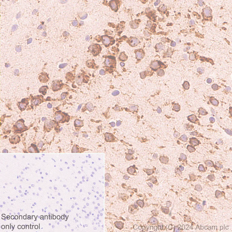
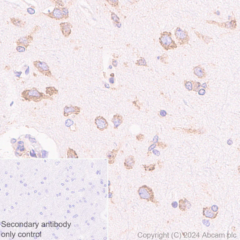
Immunohistochemistry (Formalin/PFA-fixed paraffin-embedded sections) - Anti-ARMET/ARP antibody [EPR29115-74] (AB316935)
  • IHC-P

Supplier Data

Immunohistochemistry (Formalin/PFA-fixed paraffin-embedded sections) - Anti-ARMET/ARP antibody [EPR29115-74] (AB316935)

Immunohistochemical analysis of paraffin-embedded Human cerebrum tissue labeling ARMET/ARP with ab316935 at 1/2000 (0.253 ug/ml) dilution, followed by a ready to use LeicaDS9800 (Bond™ Polymer Refine Detection).

Positive staining on neurons of human cerebrum. The section was incubated with ab316935 for 30 mins at room temperature.
The immunostaining was performed on a Leica Biosystems BOND® RX instrument.

Counterstained with Hematoxylin.

Secondary antibody only control : Secondary antibody is a ready to use LeicaDS9800 (Bond™ Polymer Refine Detection).

Heat mediated antigen retrieval was performed with Tris-EDTA buffer (pH 9.0, Epitope Retrieval Solution2) for 20 mins.

Immunohistochemistry (Formalin/PFA-fixed paraffin-embedded sections) - Anti-ARMET/ARP antibody [EPR29115-74] (AB316935)
  • IHC-P

Supplier Data

Immunohistochemistry (Formalin/PFA-fixed paraffin-embedded sections) - Anti-ARMET/ARP antibody [EPR29115-74] (AB316935)

Immunohistochemical analysis of paraffin-embedded Rat P5 cerebrum tissue labeling ARMET/ARP with ab316935 at 1/10000 (0.051 ug/ml) dilution, followed by a ready to use LeicaDS9800 (Bond™ Polymer Refine Detection).

Positive staining on neurons of rat P5 cerebrum. The section was incubated with ab316935 for 30 mins at room temperature.
The immunostaining was performed on a Leica Biosystems BOND® RX instrument.

Counterstained with Hematoxylin.

Secondary antibody only control : Secondary antibody is a ready to use LeicaDS9800 (Bond™ Polymer Refine Detection).

Heat mediated antigen retrieval was performed with Tris-EDTA buffer (pH 9.0, Epitope Retrieval Solution2) for 20 mins.

Immunocytochemistry/ Immunofluorescence - Anti-ARMET/ARP antibody [EPR29115-74] (AB316935)
  • ICC/IF

Supplier Data

Immunocytochemistry/ Immunofluorescence - Anti-ARMET/ARP antibody [EPR29115-74] (AB316935)

Immunofluorescent analysis of 4% Paraformaldehyde-fixed, 0.1% TritonX-100 permeabilized NIH/3T3 (mouse embryonic fibroblast) cells labellingARMET/ARP with ab316935 at 1/50 (10.1 ug/ml) dilution, followed by ab150081 Goat Anti-Rabbit IgG H&L (Alexa Fluor® 488) preadsorbed antibody at 1/1000 (2 ug/ml) dilution.

Confocal image showing cytoplasmic staining in NIH/3T3 cell line (shown in green). The counterstain was observed in magenta. Nuclear DNA was labeled with DAPI (shown in blue). Image was taken with a confocal microscope (Leica-Microsystems, TCS SP8).

ab195889 Anti-alpha Tubulin mouse monoclonal antibody - Microtubule Marker (Alexa Fluor® 594) was used to counterstain tubulin at 1/200 (2.5 ug/ml) dilution. The Nuclear counterstain was DAPI.

Secondary antibody only control : Secondary antibody is ab150081 Goat Anti-Rabbit IgG H&L (Alexa Fluor® 488) preadsorbed at 1/1000 (2 ug/ml) dilution.

Flow Cytometry (Intracellular) - Anti-ARMET/ARP antibody [EPR29115-74] (AB316935)
  • Flow Cyt (Intra)

Supplier Data

Flow Cytometry (Intracellular) - Anti-ARMET/ARP antibody [EPR29115-74] (AB316935)

Flow cytometric analysis of 4% paraformaldehyde fixed 90% methanol permeabilized NIH/3T3 (mouse embryonic fibroblast) cells labelling ARMET/ARP with ab316935 at 1/500 dilution (0.1 ug)/Red (Red) compared with a Rabbit monoclonal IgG (ab172730) (Black) isotype control and an unlabelled control (cells without incubation with primary antibody and secondary antibody) (Blue).

Goat Anti-Rabbit IgG (Alexa Fluor® 488, ab150081) at 1/5000 dilution was used as the secondary antibody.

Multiplex immunohistochemistry - Anti-ARMET/ARP antibody [EPR29115-74] (AB316935)
  • mIHC

Supplier Data

Multiplex immunohistochemistry - Anti-ARMET/ARP antibody [EPR29115-74] (AB316935)

Multiplex immunohistochemical analysis of formalin/PFA-fixed paraffin-embedded mouse cerebellum tissue section labelling Noradrenaline transporter with ab254361 at a 1/100 dilution (B), GPCR GPR17 with ab314307 at a 1/2000 dilution (C), and ARMET/ARP with ab316935 at a 1/20000 dilution (D). Nuclear DNA was labeled with DAPI (shown in blue).

Panel A : merged staining of anti-Noradrenaline transporter (magenta; Opal™ 690), anti-GPCR GPR17 (green; Opal™ 520) and anti-ARMET/ARP (gray; Opal™ 570) on mouse cerebellum.
Panel B : anti-Noradrenaline transporter staining nerves in mouse cerebellum.
Panel C : anti-GPCR GPR17 staining oligodendrocytes in mouse cerebellum.
Panel D : anti-ARMET/ARP staining neurons in mouse cerebellum.

Heat mediated antigen retrieval with Tris-EDTA buffer (pH 9.0, epitope retrieval solution2) for 20 mins.

The section was incubated in three rounds of staining : in the order of ab254361, ab314307 and ab316935 for 30 mins at room temperature. Each round was followed by a separate fluorescent tyramide signal amplification system.

The immunostaining was performed on a Leica Biosystems BOND® RX instrument with an Opal™ 4-color kit. Image acquisition was performed with Leica SP8 confocal microscope.

Immunohistochemistry (Formalin/PFA-fixed paraffin-embedded sections) - Anti-ARMET/ARP antibody [EPR29115-74] (AB316935)
  • IHC-P

Supplier Data

Immunohistochemistry (Formalin/PFA-fixed paraffin-embedded sections) - Anti-ARMET/ARP antibody [EPR29115-74] (AB316935)

Immunohistochemical analysis of paraffin-embedded Mouse skeletal muscle tissue labeling ARMET/ARP with ab316935 at 1/10000 (0.051 ug/ml) dilution, followed by a ready to use LeicaDS9800 (Bond™ Polymer Refine Detection).

Low expression : no staining on mouse skeletal muscle. The section was incubated with ab316935 for 30 mins at room temperature.
The immunostaining was performed on a Leica Biosystems BOND® RX instrument.

Counterstained with Hematoxylin.

Secondary antibody only control : Secondary antibody is a ready to use LeicaDS9800 (Bond™ Polymer Refine Detection).

Heat mediated antigen retrieval was performed with Tris-EDTA buffer (pH 9.0, Epitope Retrieval Solution2) for 20 mins.

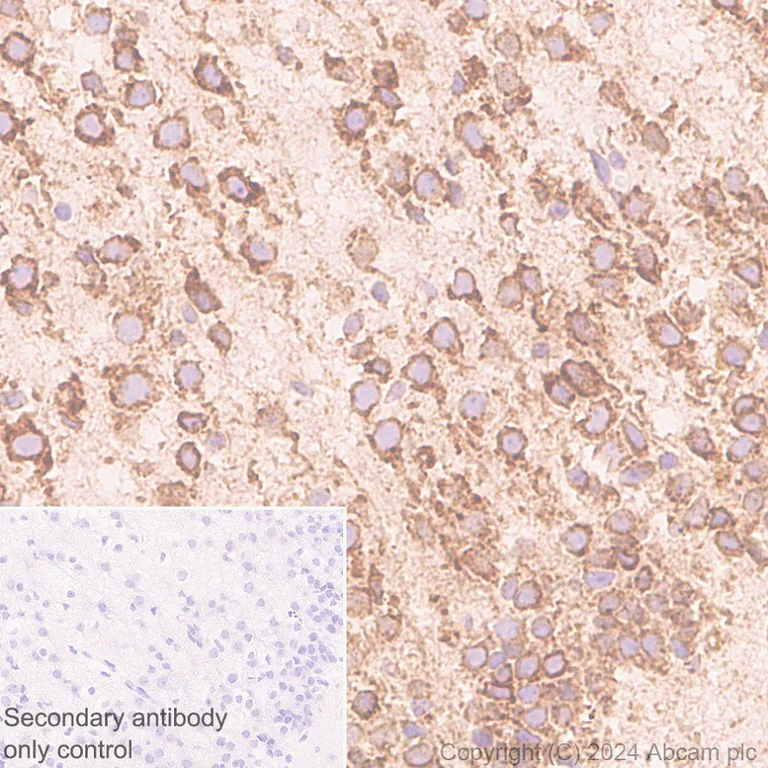
Immunohistochemistry (Formalin/PFA-fixed paraffin-embedded sections) - Anti-ARMET/ARP antibody [EPR29115-74] (AB316935)
  • IHC-P

Supplier Data

Immunohistochemistry (Formalin/PFA-fixed paraffin-embedded sections) - Anti-ARMET/ARP antibody [EPR29115-74] (AB316935)

Immunohistochemical analysis of paraffin-embedded Mouse P5 cerebrum tissue labeling ARMET/ARP with ab316935 at 1/10000 (0.051 ug/ml) dilution, followed by a ready to use LeicaDS9800 (Bond™ Polymer Refine Detection).

Positive staining on neurons of mouse cerebrum (PMID : 18718866). The section was incubated with ab316935 for 30 mins at room temperature.
The immunostaining was performed on a Leica Biosystems BOND® RX instrument.

Counterstained with Hematoxylin.

Secondary antibody only control : Secondary antibody is a ready to use LeicaDS9800 (Bond™ Polymer Refine Detection).

Heat mediated antigen retrieval was performed with Tris-EDTA buffer (pH 9.0, Epitope Retrieval Solution2) for 20 mins.

Multiplex immunohistochemistry - Anti-ARMET/ARP antibody [EPR29115-74] (AB316935)
  • mIHC

Supplier Data

Multiplex immunohistochemistry - Anti-ARMET/ARP antibody [EPR29115-74] (AB316935)

Multiplex immunohistochemistry analysis of formalin/PFA-fixed paraffin-embedded rat spinal cord tissue section labelling GPCR GPR17 with ab314307 at 1/2000 dilution (B), TAC1 with ab307138 at 1/500 dilution (C), and ARMET/ARP with ab316935 at 1/20000 dilution (D). Nuclear DNA was labeled with DAPI (shown in blue). Heat mediated antigen retrieval with Tris-EDTA buffer (pH 9.0, epitope retrieval solution2) for 20 mins.

Panel A : merged staining of anti-GPCR GPR17 (magenta; Opal™ 690), anti-TAC1 (green; Opal™ 520) and anti-ARMET/ARP (yellow; Opal™ 570) on rat spinal cord.
Panel B : anti-GPCR GPR17 staining oligodendrocytes in rat spinal cord.
Panel C : anti-TAC1 staining posterior horns (sensory) in rat spinal cord.
Panel D : anti-ARMET/ARP staining neurons in rat spinal cord.

The section was incubated in three rounds of staining : in the order of ab314307, ab307138 and ab316935 for 30 mins at room temperature. Each round was followed by a separate fluorescent tyramide signal amplification system.

The immunostaining was performed on a Leica Biosystems BOND® RX instrument with an Opal™ 4-color kit. Image acquisition was performed with Leica SP8 confocal microscope.

Multiplex immunohistochemistry - Anti-ARMET/ARP antibody [EPR29115-74] (AB316935)
  • mIHC

Supplier Data

Multiplex immunohistochemistry - Anti-ARMET/ARP antibody [EPR29115-74] (AB316935)

Multiplex immunohistochemistry analysis of formalin/PFA-fixed paraffin-embedded mouse spinal cord tissue section labelling GPCR GPR17 with ab314307 at 1/2000 dilution (B), TAC1 with ab307138 at 1/500 dilution (C), and ARMET/ARP with ab316935 at 1/20000 (D). Nuclear DNA was labeled with DAPI (shown in blue). Heat mediated antigen retrieval with Tris-EDTA buffer (pH 9.0, epitope retrieval solution2) for 20 mins.

Panel A : merged staining of anti-GPCR GPR17 (magenta; Opal™ 690), anti-TAC1 (green; Opal™ 520) and anti-ARMET/ARP (yellow; Opal™ 570) on mouse spinal cord.
Panel B : anti-GPCR GPR17 staining oligodendrocytes in mouse spinal cord.
Panel C : anti-TAC1 staining posterior horns (sensory) in mouse spinal cord.
Panel D : anti-ARMET/ARP staining neurons in mouse spinal cord.

The section was incubated in three rounds of staining : in the order of ab314307, ab307138 and ab316935 for 30 mins at room temperature. Each round was followed by a separate fluorescent tyramide signal amplification system.

The immunostaining was performed on a Leica Biosystems BOND® RX instrument with an Opal™ 4-color kit. Image acquisition was performed with Leica SP8 confocal microscope.

Multiplex immunohistochemistry - Anti-ARMET/ARP antibody [EPR29115-74] (AB316935)
  • mIHC

Supplier Data

Multiplex immunohistochemistry - Anti-ARMET/ARP antibody [EPR29115-74] (AB316935)

Multiplex immunohistochemical analysis of formalin/PFA-fixed paraffin-embedded mouse cerebrum tissue section labelling Noradrenaline transporter with ab254361 at a 1/100 dilution (B), GPCR GPR17 with ab314307 at a 1/2000 dilution (C), and ARMET/ARP with ab316935 at a 1/20000 dilution (D). Nuclear DNA was labeled with DAPI (shown in blue).

Panel A : merged staining of anti-Noradrenaline transporter (magenta; Opal™ 690), anti-GPCR GPR17 (green; Opal™ 520) and anti-ARMET/ARP (gray; Opal™ 570) on mouse cerebrum.
Panel B : anti-Noradrenaline transporter staining nerves in mouse cerebrum.
Panel C : anti-GPCR GPR17 staining oligodendrocytes in mouse cerebrum.
Panel D : anti-ARMET/ARP staining neurons in mouse cerebrum.

Heat mediated antigen retrieval with Tris-EDTA buffer (pH 9.0, epitope retrieval solution2) for 20 mins.

The section was incubated in three rounds of staining : in the order of ab254361, ab314307 and ab316935 for 30 mins at room temperature. Each round was followed by a separate fluorescent tyramide signal amplification system.

The immunostaining was performed on a Leica Biosystems BOND® RX instrument with an Opal™ 4-color kit. Image acquisition was performed with Leica SP8 confocal microscope.

Multiplex immunohistochemistry - Anti-ARMET/ARP antibody [EPR29115-74] (AB316935)
  • mIHC

Supplier Data

Multiplex immunohistochemistry - Anti-ARMET/ARP antibody [EPR29115-74] (AB316935)

Multiplex immunohistochemical analysis of formalin/PFA-fixed paraffin-embedded rat cerebellum tissue section labelling Noradrenaline transporter with ab254361 at a 1/100 dilution (B), GPCR GPR17 with ab314307 at a 1/2000 dilution (C), and ARMET/ARP with ab316935 at a 1/20000 dilution (D). Nuclear DNA was labeled with DAPI (shown in blue).

Panel A : merged staining of anti-Noradrenaline transporter (magenta; Opal™ 690), anti-GPCR GPR17 (green; Opal™ 520) and anti-ARMET/ARP (gray; Opal™ 570) on rat cerebellum.
Panel B : anti-Noradrenaline transporter staining nerves in rat cerebellum.
Panel C : anti-GPCR GPR17 staining oligodendrocytes in rat cerebellum.
Panel D : anti-ARMET/ARP staining neurons in rat cerebellum.

Heat mediated antigen retrieval with Tris-EDTA buffer (pH 9.0, epitope retrieval solution2) for 20 mins.

The section was incubated in three rounds of staining : in the order of ab254361, ab314307 and ab316935 for 30 mins at room temperature. Each round was followed by a separate fluorescent tyramide signal amplification system.

The immunostaining was performed on a Leica Biosystems BOND® RX instrument with an Opal™ 4-color kit. Image acquisition was performed with Leica SP8 confocal microscope.

Multiplex immunohistochemistry - Anti-ARMET/ARP antibody [EPR29115-74] (AB316935)
  • mIHC

Supplier Data

Multiplex immunohistochemistry - Anti-ARMET/ARP antibody [EPR29115-74] (AB316935)

Multiplex immunohistochemical analysis of formalin/PFA-fixed paraffin-embedded rat cerebrum tissue section labelling Noradrenaline transporter with ab254361 at a 1/100 dilution (B), GPCR GPR17 with ab314307 at a 1/2000 dilution (C), and ARMET/ARP with ab316935 at a 1/20000 dilution (D). Nuclear DNA was labeled with DAPI (shown in blue).

Panel A : merged staining of anti-Noradrenaline transporter (magenta; Opal™ 690), anti-GPCR GPR17 (green; Opal™ 520) and anti-ARMET/ARP (gray; Opal™ 570) on rat cerebrum.
Panel B : anti-Noradrenaline transporter staining nerves in rat cerebrum.
Panel C : anti-GPCR GPR17 staining oligodendrocytes in rat cerebrum.
Panel D : anti-ARMET/ARP staining neurons in rat cerebrum.

Heat mediated antigen retrieval with Tris-EDTA buffer (pH 9.0, epitope retrieval solution2) for 20 mins.

The section was incubated in three rounds of staining : in the order of ab254361, ab314307 and ab316935 for 30 mins at room temperature. Each round was followed by a separate fluorescent tyramide signal amplification system.

The immunostaining was performed on a Leica Biosystems BOND® RX instrument with an Opal™ 4-color kit. Image acquisition was performed with Leica SP8 confocal microscope.

Immunoprecipitation - Anti-ARMET/ARP antibody [EPR29115-74] (AB316935)
  • IP

Supplier Data

Immunoprecipitation - Anti-ARMET/ARP antibody [EPR29115-74] (AB316935)

ARMET/ARP was immunoprecipitated from 0.35 mg NIH/3T3 (mouse embryonic fibroblast) whole cell lysate with ab316935 at 1/30 dilution (2ug in 0.35mg lysates). Western blot was performed on the immunoprecipitate using ab316935 at 1/1000 dilution. VeriBlot for IP secondary antibody(HRP)(ab131366) was used at 1/5000 dilution.

Lane 1 : NIH/3T3 (mouse embryonic fibroblast) whole cell lysate
Lane 2 : ab316935 IP in NIH/3T3 (mouse embryonic fibroblast) whole cell lysate
Lane 3 : Rabbit monoclonal IgG (ab172730) instead of ab316935 in NIH/3T3 whole cell lysate

All lanes:

Immunoprecipitation - Anti-ARMET/ARP antibody [EPR29115-74] (ab316935) at 1/30 dilution

All lanes:

NIH/3T3 (mouse embryonic fibroblast) whole cell lysate with 5% NFDM/TBST

Secondary

All lanes:

Immunoprecipitation - VeriBlot for IP Detection Reagent (HRP) (<a href='/en-us/products/reagents/veriblot-for-ip-detection-reagent-hrp-ab131366'>ab131366</a>) at 1/5000 dilution

false

Exposure time: 180s

Western blot - Anti-ARMET/ARP antibody [EPR29115-74] (AB316935)
  • WB

Supplier Data

Western blot - Anti-ARMET/ARP antibody [EPR29115-74] (AB316935)

Low expression : skeletal muscle (PMID : 31781038).

In Western blot, Anti-GAPDH antibody [EPR16891] - Loading Control (ab181602) staining at 1/200000 dilution.

All lanes:

Western blot - Anti-ARMET/ARP antibody [EPR29115-74] (ab316935) at 1/1000 dilution

Lane 1:

Human tonsil tissue lysate at 20 µg with 5% NFDM/TBST

Lane 2:

Human skeletal muscle tissue lysate at 20 µg with 5% NFDM/TBST

Secondary

All lanes:

Goat Anti-Rabbit IgG (HRP) with minimal cross-reactivity with human IgG at 1/2000 dilution

Observed band size: 18 kDa,36 kDa

false

Exposure time: 180s

Western blot - Anti-ARMET/ARP antibody [EPR29115-74] (AB316935)
  • WB

Supplier Data

Western blot - Anti-ARMET/ARP antibody [EPR29115-74] (AB316935)

Exposure time : Lanes 1-3 : 180 seconds; Lanes 4-6 : 26 seconds.

All lanes:

Western blot - Anti-ARMET/ARP antibody [EPR29115-74] (ab316935) at 1/1000 dilution

Lane 1:

HeLa (human cervical adenocarcinoma epithelial cell) whole cell lysate at 20 µg with 5% NFDM/TBST

Lane 2:

SH-SY5Y (human neuroblastoma epithelial cell) whole cell lysate at 20 µg with 5% NFDM/TBST

Lane 3:

U-87 MG (human glioblastoma-astrocytoma epithelial cell) whole cell lysate at 20 µg with 5% NFDM/TBST

Lane 4:

NIH/3T3 (mouse embryonic fibroblast) whole cell lysate at 20 µg with 5% NFDM/TBST

Lane 5:

Neuro-2a (mouse neuroblastoma neuroblast) whole cell lysate at 20 µg with 5% NFDM/TBST

Lane 6:

C6 (rat glial tumor glial cell) whole cell lysate at 20 µg with 5% NFDM/TBST

Secondary

All lanes:

Western blot - Goat Anti-Rabbit IgG H&L (HRP) (<a href='/en-us/products/secondary-antibodies/goat-rabbit-igg-h-l-hrp-ab97051'>ab97051</a>) at 1/100000 dilution

Observed band size: 18 kDa

false

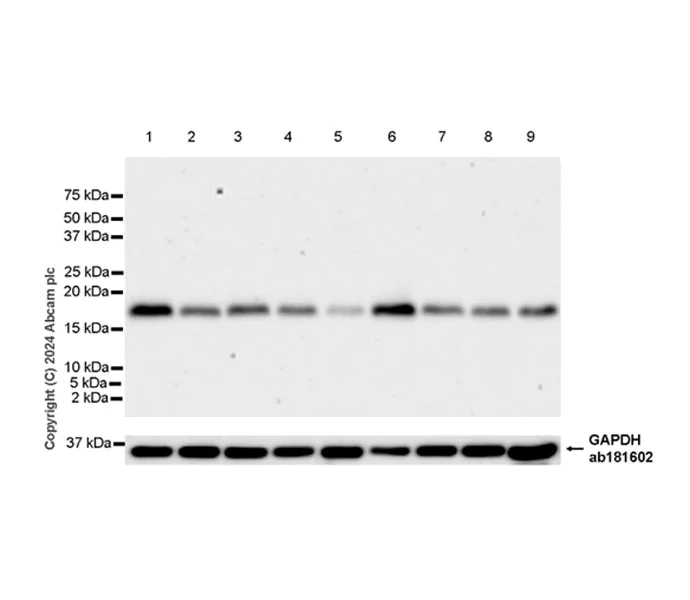
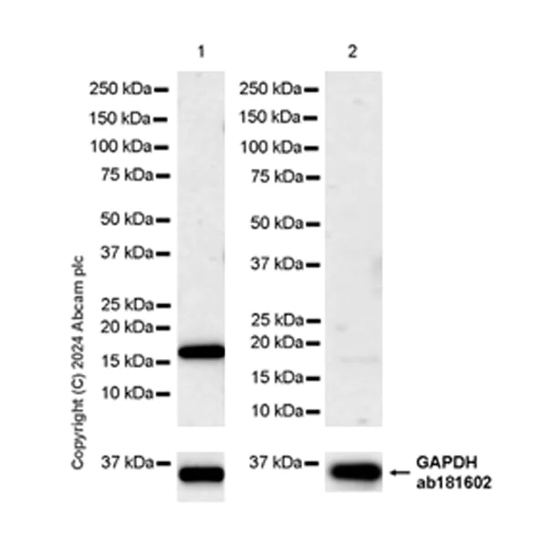
Western blot - Anti-ARMET/ARP antibody [EPR29115-74] (AB316935)
  • WB

Supplier Data

Western blot - Anti-ARMET/ARP antibody [EPR29115-74] (AB316935)

Low expression : brain, cerebral cortex, heart, skeletal muscle (PMID : 24587361; PMID : 31781038).

In Western blot, Anti-GAPDH antibody [EPR16891] - Loading Control (ab181602) staining at 1/200000 dilution.

All lanes:

Western blot - Anti-ARMET/ARP antibody [EPR29115-74] (ab316935) at 1/1000 dilution

Lane 1:

Mouse P5 brain tissue lysate at 20 µg with 5% NFDM/TBST

Lane 2:

Mouse brain tissue lysate at 20 µg with 5% NFDM/TBST

Lane 3:

Mouse cerebral cortex tissue lysate at 20 µg with 5% NFDM/TBST

Lane 4:

Mouse heart tissue lysate at 20 µg with 5% NFDM/TBST

Lane 5:

Mouse skeletal muscle tissue lysate at 20 µg with 5% NFDM/TBST

Lane 6:

Rat P5 brain tissue lysate at 20 µg with 5% NFDM/TBST

Lane 7:

Rat brain tissue lysate at 20 µg with 5% NFDM/TBST

Lane 8:

Rat heart tissue lysate at 20 µg with 5% NFDM/TBST

Lane 9:

Rat skeletal muscle tissue lysate at 20 µg with 5% NFDM/TBST

Secondary

All lanes:

Western blot - Goat Anti-Rabbit IgG H&L (HRP) (<a href='/en-us/products/secondary-antibodies/goat-rabbit-igg-h-l-hrp-ab97051'>ab97051</a>) at 1/100000 dilution

Observed band size: 18 kDa,36 kDa

false

Exposure time: 102s

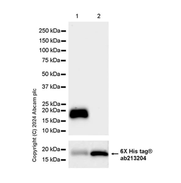
Western blot - Anti-ARMET/ARP antibody [EPR29115-74] (AB316935)
  • WB

Supplier Data

Western blot - Anti-ARMET/ARP antibody [EPR29115-74] (AB316935)

This antibody does not cross-react with mouse CDNF.

In Western blot, Anti-6X His tag® antibody [EPR20547] - ChIP Grade (ab213204) staining at 1/5000 dilution.

All lanes:

Western blot - Anti-ARMET/ARP antibody [EPR29115-74] (ab316935) at 1/1000 dilution

Lane 1:

His-tagged mouse MANF recombinant protein at 10 ng with 5% NFDM/TBST

Lane 2:

His-tagged mouse CDNF recombinant protein at 10 ng with 5% NFDM/TBST

Secondary

All lanes:

Western blot - Goat Anti-Rabbit IgG H&L (HRP) (<a href='/en-us/products/secondary-antibodies/goat-rabbit-igg-h-l-hrp-ab97051'>ab97051</a>) at 1/100000 dilution

Observed band size: 18 kDa

false

Exposure time: 26s

  • Carrier free

    Anti-ARMET/ARP antibody [EPR29115-74] - BSA and Azide free

Key facts

Host species

Rabbit

Clonality

Monoclonal

Clone number

EPR29115-74

Isotype

IgG

Carrier free

No

Reacts with

Mouse, Human, Rat

Applications

mIHC, WB, IP, Flow Cyt (Intra), ICC/IF, IHC-P

applications

Immunogen

The exact immunogen used to generate this antibody is proprietary information.

Reactivity data

{ "title": "Reactivity Data", "filters": { "stats": ["", "Species", "Dilution Info", "Notes"], "tabs": { "all-applications": {"fullname" : "All Applications", "shortname": "All Applications"}, "WB" : {"fullname" : "Western blot", "shortname":"WB"}, "FlowCytIntra" : {"fullname" : "Flow Cytometry (Intracellular)", "shortname":"Flow Cyt (Intra)"}, "IP" : {"fullname" : "Immunoprecipitation", "shortname":"IP"}, "IHCP" : {"fullname" : "Immunohistochemistry (Formalin/PFA-fixed paraffin-embedded sections)", "shortname":"IHC-P"}, "ICCIF" : {"fullname" : "Immunocytochemistry/ Immunofluorescence", "shortname":"ICC/IF"}, "IHCFr" : {"fullname" : "Immunohistochemistry (Frozen sections)", "shortname":"IHC-Fr"}, "mIHC" : {"fullname" : "Multiplex immunohistochemistry", "shortname":"mIHC"} }, "product-promise": { "all": "all", "testedAndGuaranteed": "tested", "guaranteed": "expected", "predicted": "predicted", "notRecommended": "not-recommended" } }, "values": { "Human": { "WB-species-checked": "testedAndGuaranteed", "WB-species-dilution-info": "1/1000", "WB-species-notes": "<p></p>", "FlowCytIntra-species-checked": "guaranteed", "FlowCytIntra-species-dilution-info": "", "FlowCytIntra-species-notes": "", "IP-species-checked": "guaranteed", "IP-species-dilution-info": "", "IP-species-notes": "", "IHCP-species-checked": "testedAndGuaranteed", "IHCP-species-dilution-info": "1/2000", "IHCP-species-notes": "<p></p> Perform heat-mediated antigen retrieval with Tris/EDTA buffer pH 9.0 before commencing with IHC staining protocol.", "ICCIF-species-checked": "guaranteed", "ICCIF-species-dilution-info": "", "ICCIF-species-notes": "", "IHCFr-species-checked": "notRecommended", "IHCFr-species-dilution-info": "", "IHCFr-species-notes": "", "mIHC-species-checked": "testedAndGuaranteed", "mIHC-species-dilution-info": "1/500 - 1/20000", "mIHC-species-notes": "<p></p>" }, "Mouse": { "WB-species-checked": "testedAndGuaranteed", "WB-species-dilution-info": "1/1000", "WB-species-notes": "<p></p>", "FlowCytIntra-species-checked": "testedAndGuaranteed", "FlowCytIntra-species-dilution-info": "1/500", "FlowCytIntra-species-notes": "<p></p>", "IP-species-checked": "testedAndGuaranteed", "IP-species-dilution-info": "1/30", "IP-species-notes": "<p></p>", "IHCP-species-checked": "testedAndGuaranteed", "IHCP-species-dilution-info": "1/10000", "IHCP-species-notes": "<p></p> Perform heat-mediated antigen retrieval with Tris/EDTA buffer pH 9.0 before commencing with IHC staining protocol.", "ICCIF-species-checked": "testedAndGuaranteed", "ICCIF-species-dilution-info": "1/50", "ICCIF-species-notes": "<p></p>", "IHCFr-species-checked": "notRecommended", "IHCFr-species-dilution-info": "", "IHCFr-species-notes": "<p></p>", "mIHC-species-checked": "testedAndGuaranteed", "mIHC-species-dilution-info": "1/500 - 1/20000", "mIHC-species-notes": "<p></p>" }, "Rat": { "WB-species-checked": "testedAndGuaranteed", "WB-species-dilution-info": "1/1000", "WB-species-notes": "<p></p>", "FlowCytIntra-species-checked": "guaranteed", "FlowCytIntra-species-dilution-info": "", "FlowCytIntra-species-notes": "", "IP-species-checked": "guaranteed", "IP-species-dilution-info": "", "IP-species-notes": "", "IHCP-species-checked": "testedAndGuaranteed", "IHCP-species-dilution-info": "1/10000", "IHCP-species-notes": "<p></p> Perform heat-mediated antigen retrieval with Tris/EDTA buffer pH 9.0 before commencing with IHC staining protocol.", "ICCIF-species-checked": "guaranteed", "ICCIF-species-dilution-info": "", "ICCIF-species-notes": "", "IHCFr-species-checked": "notRecommended", "IHCFr-species-dilution-info": "", "IHCFr-species-notes": "", "mIHC-species-checked": "testedAndGuaranteed", "mIHC-species-dilution-info": "1/500 - 1/20000", "mIHC-species-notes": "<p></p>" }, "Recombinant fragment - Mouse": { "WB-species-checked": "testedAndGuaranteed", "WB-species-dilution-info": "1/1000", "WB-species-notes": "<p></p>", "FlowCytIntra-species-checked": "notRecommended", "FlowCytIntra-species-dilution-info": "", "FlowCytIntra-species-notes": "", "IP-species-checked": "notRecommended", "IP-species-dilution-info": "", "IP-species-notes": "", "IHCP-species-checked": "notRecommended", "IHCP-species-dilution-info": "", "IHCP-species-notes": "", "ICCIF-species-checked": "notRecommended", "ICCIF-species-dilution-info": "", "ICCIF-species-notes": "", "IHCFr-species-checked": "notRecommended", "IHCFr-species-dilution-info": "", "IHCFr-species-notes": "", "mIHC-species-checked": "notRecommended", "mIHC-species-dilution-info": "", "mIHC-species-notes": "" } } }

Product details

Patented technology
Our RabMAb® technology is a patented hybridoma-based technology for making rabbit monoclonal antibodies. For details on our patents, please refer to RabMAb® patents.

What are the advantages of a recombinant monoclonal antibody?
This product is a recombinant monoclonal antibody, which offers several advantages including:

  • - High batch-to-batch consistency and reproducibility
  • - Improved sensitivity and specificity
  • - Long-term security of supply
  • - Animal-free batch production

For more information, read more on recombinant antibodies.

Properties and storage information

Form
Liquid
Purification technique
Affinity purification Protein A
Storage buffer
pH: 7.2 - 7.4 Preservative: 0.01% Sodium azide Constituents: PBS, 40% Glycerol (glycerin, glycerine), 0.05% BSA
Shipped at conditions
Blue Ice
Appropriate short-term storage duration
1-2 weeks
Appropriate short-term storage conditions
+4°C
Appropriate long-term storage conditions
-20°C
Aliquoting information
Upon delivery aliquot
Storage information
Avoid freeze / thaw cycle

Supplementary information

This supplementary information is collated from multiple sources and compiled automatically.

ARMET also known as Arp is a 19 kDa protein known for its role in cellular stress responses. It is alternatively named MANF (Mesencephalic Astrocyte-derived Neurotrophic Factor) in some studies. This protein is widely expressed including in the brain liver and pancreas reflecting its involvement across different cellular environments. ARMET/ARP interacts with the endoplasmic reticulum to address misfolded protein loads and support cell survival under stress.
Biological function summary

ARMET plays a significant role in maintaining cellular homeostasis especially under stress conditions. It does not form a larger complex but functions as a standalone factor that aids in the proper folding of proteins within the endoplasmic reticulum. Additionally ARMET has protective effects on dopaminergic neurons which are critical for neuromolecular processes. This protein has connections to cellular survival pathways acting as a neurotrophic factor to support neuron maintenance and health.

Pathways

ARMET is an important player in the unfolded protein response (UPR) and the neuroprotective pathways. In these pathways ARMET interacts with other proteins involved in protein folding and stress responses such as BiP/GRP78. These interactions help prevent apoptosis and promote cell survival by ensuring that cells can cope with endoplasmic reticulum stress. The ability of ARMET to enhance neuronal survival links it to pathways important for neuroprotection.

ARMET has been associated with neurodegenerative diseases such as Parkinson's disease and diabetes. In Parkinson's disease the survival-promoting effects of ARMET on dopaminergic neurons become vital potentially offering therapeutic targets. Connections between ARMET and diabetes surface through its regulation of beta-cell survival in the pancreas suggesting a role in maintaining insulin production and glucose homeostasis. In these diseases ARMET may interact with other proteins like proinsulin which holds significance for maintaining endocrine functions.

Product protocols

For this product, it's our understanding that no specific protocols are required. You can visit:

Target data

Selectively promotes the survival of dopaminergic neurons of the ventral mid-brain. Modulates GABAergic transmission to the dopaminergic neurons of the substantia nigra. Enhances spontaneous, as well as evoked, GABAergic inhibitory postsynaptic currents in dopaminergic neurons. Inhibits cell proliferation and endoplasmic reticulum (ER) stress-induced cell death. Retained in the ER/sarcoplasmic reticulum (SR) through association with the endoplasmic reticulum chaperone protein HSPA5 under normal conditions. Up-regulated and secreted by the ER/SR in response to ER stress and hypoxia. Following secretion by the ER/SR, directly binds to 3-O-sulfogalactosylceramide, a lipid sulfatide in the outer cell membrane of target cells. Sulfatide binding promotes its cellular uptake by endocytosis, and is required for its role in alleviating ER stress and cell toxicity under hypoxic and ER stress conditions.
See full target information Manf

Publications (1)

Recent publications for all applications. Explore the full list and refine your search

Scientific reports 15:476 PubMed39747250

2025

MANF overexpression ameliorates oxidative stress-induced apoptosis of human nucleus pulposus cells by facilitating mitophagy through promoting MFN2 expression.

Applications

Unspecified application

Species

Unspecified reactive species

Liang Ma,Xiangyu Meng,Tuerhongjiang Abudurexiti,Yuntao Liu,Jiang Gao,Weibin Sheng
View all publications

Product promise

We are committed to supporting your work with high-quality reagents, and we're here for you every step of the way. In the unlikely event that one of our products does not perform as expected, you're protected by our Product Promise.
For full details, please see our Terms & Conditions

Please note: All products are 'FOR RESEARCH USE ONLY. NOT FOR USE IN DIAGNOSTIC OR THERAPEUTIC PROCEDURES'.

For licensing inquiries, please contact partnerships@abcam.com