JavaScript is disabled in your browser. Please enable JavaScript to view this website.
AB317200

Anti-Aromatase antibody [HL2339]

Be the first to review this product! Submit a review

|

(0 Publication)

Rabbit Monoclonal Aromatase antibody. Suitable for IHC-P, WB and reacts with Human, Dog samples. Immunogen corresponding to Recombinant Fragment Protein within Human CYP19A1.

View Alternative Names

ARO1, CYAR, CYP19, CYP19A1, Aromatase, CYPXIX, Cytochrome P-450AROM, Cytochrome P450 19A1, Estrogen synthase

3 Images
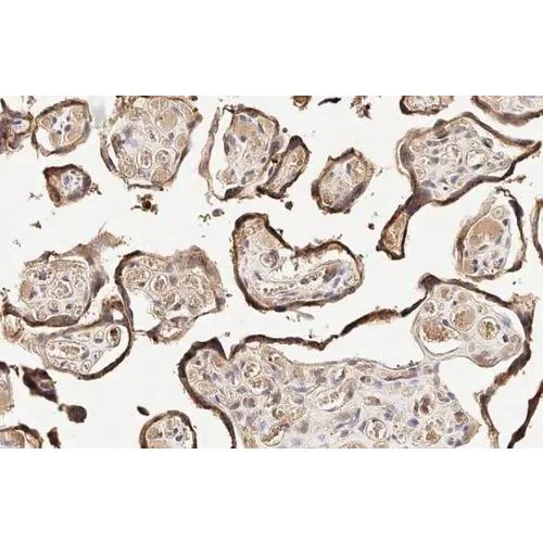
Immunohistochemistry (Formalin/PFA-fixed paraffin-embedded sections) - Anti-Aromatase antibody [HL2339] (AB317200)
  • IHC-P

Supplier Data

Immunohistochemistry (Formalin/PFA-fixed paraffin-embedded sections) - Anti-Aromatase antibody [HL2339] (AB317200)

ab317200 detects Aromatase protein at cell membrane by immunohistochemical analysis. Sample : Paraffin-embedded human placenta. Aromatase stained by ab317200 diluted at 1 : 100. Antigen Retrieval : Citrate buffer pH 6.0 15 min.

Western blot - Anti-Aromatase antibody [HL2339] (AB317200)
  • WB

Supplier Data

Western blot - Anti-Aromatase antibody [HL2339] (AB317200)

Human tissue extract (30 ug) was separated by 10% SDS-PAGE and the membrane was blotted with ab317200 diluted at 1 : 5000. The HRP-conjugated anti-rabbit IgG antibody was used to detect the primary antibody.

All lanes:

Western blot - Anti-Aromatase antibody [HL2339] (ab317200) at 1/5000 dilution

All lanes:

Human placenta tissue extract at 30 µg

Secondary

All lanes:

HRP-conjugated anti-rabbit IgG antibody

false

Immunohistochemistry (Formalin/PFA-fixed paraffin-embedded sections) - Anti-Aromatase antibody [HL2339] (AB317200)
  • IHC-P

Supplier Data

Immunohistochemistry (Formalin/PFA-fixed paraffin-embedded sections) - Anti-Aromatase antibody [HL2339] (AB317200)

ab317200 detects Aromatase protein at nucleus by immunohistochemical analysis. Sample : Paraffin-embedded dog brain. Aromatase stained by ab317200 diluted at 1 : 100. Antigen Retrieval : Citrate buffer pH 6.0 15 min.

Key facts

Host species

Rabbit

Clonality

Monoclonal

Clone number

HL2339

Isotype

IgG

Carrier free

No

Reacts with

Human, Dog

Applications

IHC-P, WB

applications

Immunogen

Recombinant Fragment Protein within Human CYP19A1.

P11511

Reactivity data

{ "title": "Reactivity Data", "filters": { "stats": ["", "Species", "Dilution Info", "Notes"], "tabs": { "all-applications": {"fullname" : "All Applications", "shortname": "All Applications"}, "IHCP" : {"fullname" : "Immunohistochemistry (Formalin/PFA-fixed paraffin-embedded sections)", "shortname":"IHC-P"}, "WB" : {"fullname" : "Western blot", "shortname":"WB"} }, "product-promise": { "all": "all", "testedAndGuaranteed": "tested", "guaranteed": "expected", "predicted": "predicted", "notRecommended": "not-recommended" } }, "values": { "Human": { "IHCP-species-checked": "testedAndGuaranteed", "IHCP-species-dilution-info": "1/100", "IHCP-species-notes": "<p></p> Perform heat-mediated antigen retrieval with citrate buffer pH 6 before commencing with IHC staining protocol.", "WB-species-checked": "testedAndGuaranteed", "WB-species-dilution-info": "1/1000 - 1/10000", "WB-species-notes": "<p></p>" }, "Dog": { "IHCP-species-checked": "testedAndGuaranteed", "IHCP-species-dilution-info": "1/100", "IHCP-species-notes": "<p></p> Perform heat-mediated antigen retrieval with citrate buffer pH 6 before commencing with IHC staining protocol.", "WB-species-checked": "guaranteed", "WB-species-dilution-info": "", "WB-species-notes": "" } } }

Properties and storage information

Form
Liquid
Storage buffer
pH: 7.4 Constituents: PBS
Shipped at conditions
Blue Ice
Appropriate short-term storage duration
1-2 weeks
Appropriate short-term storage conditions
+4°C
Appropriate long-term storage conditions
-20°C
Aliquoting information
Upon delivery aliquot
Storage information
Avoid freeze / thaw cycle

Supplementary information

This supplementary information is collated from multiple sources and compiled automatically.

Aromatase also known as CYP19A is an enzyme responsible for the conversion of androgens into estrogens. It is a member of the cytochrome P450 superfamily and has a molecular mass of approximately 58 kDa. Aromatase is mainly expressed in the gonads brain adipose tissue and placenta. The activity of this enzyme is important for estrogen biosynthesis which is especially important in postmenopausal women where adipose tissue becomes an important estrogen source.
Biological function summary

The enzyme catalyzes the aromatization of androgens aiding in the production of estrogens like estradiol. This process is essential for maintaining estrogen levels in the human body. Aromatase operates as a monomer and does not form part of any larger complex. The balance of androgens and estrogens maintained by aromatase activity plays a significant role in reproductive functions and other physiological processes.

Pathways

Aromatase enzyme activity plays a pivotal role in the steroidogenesis pathway which involves the biosynthesis of steroid hormones. It is also a part of the estrogen signaling pathway interacting with other proteins like estrogen receptors. These pathways help regulate gene expression and are important in processes such as cell proliferation and differentiation linking aromatase function to broader metabolic and developmental effects.

Aromatase has a significant role in conditions such as hormone receptor-positive breast cancer and endometriosis. In breast cancer increased aromatase activity elevates estrogen levels promoting cancer cell growth. Anti-aromatase drugs like aromatase inhibitors target this enzyme to lower estrogen production. Additionally defects in aromatase activity can lead to disorders like aromatase deficiency resulting in an imbalance in sex hormone levels. Understanding its function aids in the development of therapies targeting proteins like the estrogen receptor which interacts with products of aromatase activity.

Product protocols

For this product, it's our understanding that no specific protocols are required. You can visit:

Target data

A cytochrome P450 monooxygenase that catalyzes the conversion of C19 androgens, androst-4-ene-3,17-dione (androstenedione) and testosterone to the C18 estrogens, estrone and estradiol, respectively (PubMed : 27702664, PubMed : 2848247). Catalyzes three successive oxidations of C19 androgens : two conventional oxidations at C19 yielding 19-hydroxy and 19-oxo/19-aldehyde derivatives, followed by a third oxidative aromatization step that involves C1-beta hydrogen abstraction combined with cleavage of the C10-C19 bond to yield a phenolic A ring and formic acid (PubMed : 20385561). Alternatively, the third oxidative reaction yields a 19-norsteroid and formic acid. Converts dihydrotestosterone to delta1,10-dehydro 19-nordihydrotestosterone and may play a role in homeostasis of this potent androgen (PubMed : 22773874). Also displays 2-hydroxylase activity toward estrone (PubMed : 22773874). Mechanistically, uses molecular oxygen inserting one oxygen atom into a substrate, and reducing the second into a water molecule, with two electrons provided by NADPH via cytochrome P450 reductase (CPR; NADPH-ferrihemoprotein reductase) (PubMed : 20385561, PubMed : 22773874).
See full target information CYP19A1

Product promise

We are committed to supporting your work with high-quality reagents, and we're here for you every step of the way. In the unlikely event that one of our products does not perform as expected, you're protected by our Product Promise.
For full details, please see our Terms & Conditions

Please note: All products are 'FOR RESEARCH USE ONLY. NOT FOR USE IN DIAGNOSTIC OR THERAPEUTIC PROCEDURES'.

For licensing inquiries, please contact partnerships@abcam.com