JavaScript is disabled in your browser. Please enable JavaScript to view this website.
AB288378

Anti-Arp3 antibody [7E5]

Be the first to review this product! Submit a review

|

(0 Publication)

Rabbit Recombinant Monoclonal ARP3 antibody. Suitable for WB and reacts with Mouse, Rat, Human samples. Immunogen corresponding to Synthetic Peptide within Human ACTR3.

View Alternative Names

ARP3, ACTR3, Actin-related protein 3, Actin-like protein 3

1 Images
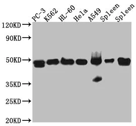
Western blot - Anti-Arp3 antibody [7E5] (AB288378)
  • WB

Supplier Data

Western blot - Anti-Arp3 antibody [7E5] (AB288378)

All lanes:

Western blot - Anti-Arp3 antibody [7E5] (ab288378) at 1/1000 dilution

Lane 1:

PC-3 (Human prostate adenocarcinoma cell line) whole cell lysate

Lane 2:

K-562 (Human chronic myelogenous leukemia lymphoblast cell line ) whole cell lysate

Lane 3:

HL-60 (Human promyelocytic leukemia cell line) whole cell lysate

Lane 4:

HeLa (Human epithelial cell line from cervix adenocarcinoma) whole cell lysate

Lane 5:

A549 (Human lung carcinoma cell line) whole cell lysate

Lane 6:

Mouse spleen whole cell lysate

Lane 7:

Rat spleen whole cell lysate

Secondary

All lanes:

Goat polyclonal to rabbit IgG at 1/50000 dilution

Predicted band size: 47 kDa

Observed band size: 48 kDa

false

Key facts

Host species

Rabbit

Clonality

Monoclonal

Clone number

7E5

Isotype

IgG

Carrier free

No

Reacts with

Human, Mouse, Rat

Applications

WB

applications

Immunogen

Synthetic Peptide within Human ACTR3. The exact immunogen used to generate this antibody is proprietary information.

P61158

Reactivity data

{ "title": "Reactivity Data", "filters": { "stats": ["", "Species", "Dilution Info", "Notes"], "tabs": { "all-applications": {"fullname" : "All Applications", "shortname": "All Applications"}, "WB" : {"fullname" : "Western blot", "shortname":"WB"} }, "product-promise": { "all": "all", "testedAndGuaranteed": "tested", "guaranteed": "expected", "predicted": "predicted", "notRecommended": "not-recommended" } }, "values": { "Human": { "WB-species-checked": "testedAndGuaranteed", "WB-species-dilution-info": "1/1000", "WB-species-notes": "<p></p>" }, "Mouse": { "WB-species-checked": "testedAndGuaranteed", "WB-species-dilution-info": "1/1000", "WB-species-notes": "<p></p>" }, "Rat": { "WB-species-checked": "testedAndGuaranteed", "WB-species-dilution-info": "1/1000", "WB-species-notes": "<p></p>" } } }

Properties and storage information

Form
Liquid
Purification technique
Affinity purification
Storage buffer
pH: 7.4 Preservative: 0.02% Sodium azide Constituents: 50% Glycerol (glycerin, glycerine), 48% PBS, 0.87% Sodium chloride
Shipped at conditions
Blue Ice
Appropriate short-term storage duration
1-2 weeks
Appropriate short-term storage conditions
+4°C
Appropriate long-term storage conditions
-20°C
Aliquoting information
Upon delivery aliquot
Storage information
Avoid freeze / thaw cycle

Supplementary information

This supplementary information is collated from multiple sources and compiled automatically.

Arp3 also known as Actin-related protein 3 is an important component of the human cellular cytoskeleton machinery. It has a molecular mass of approximately 47 kDa and is ubiquitously expressed across various tissues. Arp3 participates in the nucleation and branching of actin filaments acting mechanically to control the structural organization of the cytoskeleton. This protein is highly conserved across species which shows its important role in fundamental cellular processes.
Biological function summary

Arp3 plays a significant role in cellular motility and morphology. It is a part of the Arp2/3 complex which consists of seven subunits that assemble to promote actin nucleation. This complex is central to the formation of branched actin networks which are necessary for processes such as cell movement endocytosis and vesicle trafficking. Through its mechanical action within the Arp2/3 complex Arp3 influences the dynamic rearrangement of the cytoskeleton necessary for cellular responses to external stimuli.

Pathways

Arp3 functions within the Wiskott-Aldrich syndrome protein (WASP) pathway and the Rho family of GTPases pathway. These pathways are important for regulating the actin cytoskeleton dynamics. The WASP pathway activates Arp2/3 complex triggering branched actin filament assembly. This process interacts with proteins like Cdc42 a member of the Rho GTPase family which further modulates cytoskeletal organization. Through these interactions Arp3 assists in coordinating actin-based processes critical to cell shape and movement.

Arp3 links to immune system problems and cancer progression. Mutations or dysregulation of the Arp2/3 complex including Arp3 can lead to immune deficiencies where cellular movement is impaired such as seen in Wiskott-Aldrich Syndrome. Furthermore aberrant Arp3 activity associates with cancer metastasis where altered cell motility plays a role in tumor spread. Connected proteins such as N-WASP often display interaction within these pathological contexts reinforcing Arp3's relevance in disease mechanisms.

Product protocols

For this product, it's our understanding that no specific protocols are required. You can visit:

Target data

ATP-binding component of the Arp2/3 complex, a multiprotein complex that mediates actin polymerization upon stimulation by nucleation-promoting factor (NPF) (PubMed : 9000076). The Arp2/3 complex mediates the formation of branched actin networks in the cytoplasm, providing the force for cell motility (PubMed : 9000076). Seems to contact the pointed end of the daughter actin filament (PubMed : 9000076). In podocytes, required for the formation of lamellipodia downstream of AVIL and PLCE1 regulation (PubMed : 29058690). In addition to its role in the cytoplasmic cytoskeleton, the Arp2/3 complex also promotes actin polymerization in the nucleus, thereby regulating gene transcription and repair of damaged DNA (PubMed : 17220302, PubMed : 29925947). The Arp2/3 complex promotes homologous recombination (HR) repair in response to DNA damage by promoting nuclear actin polymerization, leading to drive motility of double-strand breaks (DSBs) (PubMed : 29925947). Plays a role in ciliogenesis (PubMed : 20393563).
See full target information ACTR3

Product promise

We are committed to supporting your work with high-quality reagents, and we're here for you every step of the way. In the unlikely event that one of our products does not perform as expected, you're protected by our Product Promise.
For full details, please see our Terms & Conditions

Please note: All products are 'FOR RESEARCH USE ONLY. NOT FOR USE IN DIAGNOSTIC OR THERAPEUTIC PROCEDURES'.

For licensing inquiries, please contact partnerships@abcam.com