JavaScript is disabled in your browser. Please enable JavaScript to view this website.
AB151289

Anti-Arp3 antibody

Be the first to review this product! Submit a review

|

(3 Publications)

Rabbit Polyclonal ARP3 antibody. Suitable for IHC-P, WB and reacts with Human samples. Cited in 3 publications. Immunogen corresponding to Recombinant Fragment Protein within Human ACTR3 aa 1-250.

View Alternative Names

ARP3, ACTR3, Actin-related protein 3, Actin-like protein 3

2 Images
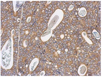
Immunohistochemistry (Formalin/PFA-fixed paraffin-embedded sections) - Anti-Arp3 antibody (AB151289)
  • IHC-P

Unknown

Immunohistochemistry (Formalin/PFA-fixed paraffin-embedded sections) - Anti-Arp3 antibody (AB151289)

Immunohistochemical analysis of paraffin-embedded Human gastric carcinoma tissue labeling Arp3 with ab151289 at 1/500 dilution.

Western blot - Anti-Arp3 antibody (AB151289)
  • WB

Unknown

Western blot - Anti-Arp3 antibody (AB151289)

10% SDS PAGE

All lanes:

Western blot - Anti-Arp3 antibody (ab151289) at 1/1000 dilution

All lanes:

Jurkat whole cell lysate at 30 µg

Predicted band size: 47 kDa

false

Key facts

Host species

Rabbit

Clonality

Polyclonal

Isotype

IgG

Carrier free

No

Reacts with

Human

Applications

WB, IHC-P

applications

Immunogen

Recombinant Fragment Protein within Human ACTR3 aa 1-250. The exact immunogen used to generate this antibody is proprietary information.

P61158

Reactivity data

{ "title": "Reactivity Data", "filters": { "stats": ["", "Species", "Dilution Info", "Notes"], "tabs": { "all-applications": {"fullname" : "All Applications", "shortname": "All Applications"}, "IHCP" : {"fullname" : "Immunohistochemistry (Formalin/PFA-fixed paraffin-embedded sections)", "shortname":"IHC-P"}, "WB" : {"fullname" : "Western blot", "shortname":"WB"} }, "product-promise": { "all": "all", "testedAndGuaranteed": "tested", "guaranteed": "expected", "predicted": "predicted", "notRecommended": "not-recommended" } }, "values": { "Human": { "IHCP-species-checked": "testedAndGuaranteed", "IHCP-species-dilution-info": "1/100 - 1/1000", "IHCP-species-notes": "<p></p> Perform heat-mediated antigen retrieval with citrate buffer pH 6 before commencing with IHC staining protocol.", "WB-species-checked": "testedAndGuaranteed", "WB-species-dilution-info": "1/500 - 1/3000", "WB-species-notes": "<p></p>" }, "Mouse": { "IHCP-species-checked": "predicted", "IHCP-species-dilution-info": "", "IHCP-species-notes": "", "WB-species-checked": "predicted", "WB-species-dilution-info": "", "WB-species-notes": "" }, "Rat": { "IHCP-species-checked": "predicted", "IHCP-species-dilution-info": "", "IHCP-species-notes": "", "WB-species-checked": "predicted", "WB-species-dilution-info": "", "WB-species-notes": "" }, "Chicken": { "IHCP-species-checked": "predicted", "IHCP-species-dilution-info": "", "IHCP-species-notes": "", "WB-species-checked": "predicted", "WB-species-dilution-info": "", "WB-species-notes": "" }, "Cow": { "IHCP-species-checked": "predicted", "IHCP-species-dilution-info": "", "IHCP-species-notes": "", "WB-species-checked": "predicted", "WB-species-dilution-info": "", "WB-species-notes": "" }, "Pig": { "IHCP-species-checked": "predicted", "IHCP-species-dilution-info": "", "IHCP-species-notes": "", "WB-species-checked": "predicted", "WB-species-dilution-info": "", "WB-species-notes": "" }, "Xenopus laevis": { "IHCP-species-checked": "predicted", "IHCP-species-dilution-info": "", "IHCP-species-notes": "", "WB-species-checked": "predicted", "WB-species-dilution-info": "", "WB-species-notes": "" }, "Xenopus tropicalis": { "IHCP-species-checked": "predicted", "IHCP-species-dilution-info": "", "IHCP-species-notes": "", "WB-species-checked": "predicted", "WB-species-dilution-info": "", "WB-species-notes": "" }, "Zebrafish": { "IHCP-species-checked": "predicted", "IHCP-species-dilution-info": "", "IHCP-species-notes": "", "WB-species-checked": "predicted", "WB-species-dilution-info": "", "WB-species-notes": "" } } }

Properties and storage information

Form
Liquid
Purification technique
Affinity purification Immunogen
Storage buffer
pH: 7 Preservative: 0.01% Thimerosal (merthiolate) Constituents: PBS, 20% Glycerol (glycerin, glycerine), 1% BSA
Shipped at conditions
Blue Ice
Appropriate short-term storage conditions
+4°C
Appropriate long-term storage conditions
-20°C
Aliquoting information
Upon delivery aliquot
Storage information
Avoid freeze / thaw cycle

Supplementary information

This supplementary information is collated from multiple sources and compiled automatically.

Arp3 also known as Actin-related protein 3 is an important component of the human cellular cytoskeleton machinery. It has a molecular mass of approximately 47 kDa and is ubiquitously expressed across various tissues. Arp3 participates in the nucleation and branching of actin filaments acting mechanically to control the structural organization of the cytoskeleton. This protein is highly conserved across species which shows its important role in fundamental cellular processes.
Biological function summary

Arp3 plays a significant role in cellular motility and morphology. It is a part of the Arp2/3 complex which consists of seven subunits that assemble to promote actin nucleation. This complex is central to the formation of branched actin networks which are necessary for processes such as cell movement endocytosis and vesicle trafficking. Through its mechanical action within the Arp2/3 complex Arp3 influences the dynamic rearrangement of the cytoskeleton necessary for cellular responses to external stimuli.

Pathways

Arp3 functions within the Wiskott-Aldrich syndrome protein (WASP) pathway and the Rho family of GTPases pathway. These pathways are important for regulating the actin cytoskeleton dynamics. The WASP pathway activates Arp2/3 complex triggering branched actin filament assembly. This process interacts with proteins like Cdc42 a member of the Rho GTPase family which further modulates cytoskeletal organization. Through these interactions Arp3 assists in coordinating actin-based processes critical to cell shape and movement.

Arp3 links to immune system problems and cancer progression. Mutations or dysregulation of the Arp2/3 complex including Arp3 can lead to immune deficiencies where cellular movement is impaired such as seen in Wiskott-Aldrich Syndrome. Furthermore aberrant Arp3 activity associates with cancer metastasis where altered cell motility plays a role in tumor spread. Connected proteins such as N-WASP often display interaction within these pathological contexts reinforcing Arp3's relevance in disease mechanisms.

Product protocols

For this product, it's our understanding that no specific protocols are required. You can visit:

Target data

ATP-binding component of the Arp2/3 complex, a multiprotein complex that mediates actin polymerization upon stimulation by nucleation-promoting factor (NPF) (PubMed : 9000076). The Arp2/3 complex mediates the formation of branched actin networks in the cytoplasm, providing the force for cell motility (PubMed : 9000076). Seems to contact the pointed end of the daughter actin filament (PubMed : 9000076). In podocytes, required for the formation of lamellipodia downstream of AVIL and PLCE1 regulation (PubMed : 29058690). In addition to its role in the cytoplasmic cytoskeleton, the Arp2/3 complex also promotes actin polymerization in the nucleus, thereby regulating gene transcription and repair of damaged DNA (PubMed : 17220302, PubMed : 29925947). The Arp2/3 complex promotes homologous recombination (HR) repair in response to DNA damage by promoting nuclear actin polymerization, leading to drive motility of double-strand breaks (DSBs) (PubMed : 29925947). Plays a role in ciliogenesis (PubMed : 20393563).
See full target information ACTR3

Publications (3)

Recent publications for all applications. Explore the full list and refine your search

The FEBS journal 292:4516-4539 PubMed39948040

2025

Quantitative proteomics identifies possible flow of metastatic cues between progressive stages of colorectal cancer via transfer of ceramide-dependent exosomal cargoes.

Applications

Unspecified application

Species

Unspecified reactive species

Dipanjana Ghosh,Teck Kwang Lim,Anindya Basu,Julia Christina Gross,Qingsong Lin

Molecular cell 82:2132-2147.e6 PubMed35447083

2022

Heterochromatic repeat clustering imposes a physical barrier on homologous recombination to prevent chromosomal translocations.

Applications

Unspecified application

Species

Unspecified reactive species

Ioanna Mitrentsi,Jieqiong Lou,Adèle Kerjouan,John Verigos,Bernardo Reina-San-Martin,Elizabeth Hinde,Evi Soutoglou

Circulation journal : official journal of the Japanese Circulation Society 85:2102-2108 PubMed34176868

2021

Visualization of Dynamic Expression of Myocardial Sigma-1 Receptor After Myocardial Ischemia and Reperfusion Using Radioiodine-Labeled 2-[4-(2-iodophenyl)piperidino]cyclopentanol (OI5V) Imaging.

Applications

Unspecified application

Species

Unspecified reactive species

Hiroshi Wakabayashi,Junichi Taki,Hiroshi Mori,Tomo Hiromasa,Norihito Akatani,Anri Inaki,Takashi Kozaka,Kazuhiro Shiba,Kazuma Ogawa,Seigo Kinuya
View all publications

Product promise

We are committed to supporting your work with high-quality reagents, and we're here for you every step of the way. In the unlikely event that one of our products does not perform as expected, you're protected by our Product Promise.
For full details, please see our Terms & Conditions

Please note: All products are 'FOR RESEARCH USE ONLY. NOT FOR USE IN DIAGNOSTIC OR THERAPEUTIC PROCEDURES'.

For licensing inquiries, please contact partnerships@abcam.com