JavaScript is disabled in your browser. Please enable JavaScript to view this website.
AB240249

Anti-Arp3 antibody [EPR10429] - BSA and Azide free

Be the first to review this product! Submit a review

|

(1 Publication)

Rabbit Recombinant Monoclonal ARP3 antibody. Carrier free. Suitable for WB, ICC/IF, Flow Cyt (Intra), IHC-P and reacts with Mouse, Rat, Human samples. Cited in 1 publication.

View Alternative Names

ARP3, ACTR3, Actin-related protein 3, Actin-like protein 3

6 Images
Flow Cytometry (Intracellular) - Anti-Arp3 antibody [EPR10429] - BSA and Azide free (AB240249)
  • Flow Cyt (Intra)

Unknown

Flow Cytometry (Intracellular) - Anti-Arp3 antibody [EPR10429] - BSA and Azide free (AB240249)

Intracellular Flow Cytometry analysis of HeLa (Human cervix adenocarcinoma epithelial cell) cells labeling Arp3 with purified ab181164 at 1/30 dilution (10 μg/ml) (Red). Cells were fixed with 4% Paraformaldehyde and permeabilised with 90% Methanol. A Goat anti rabbit IgG (Alexa Fluor® 488, ab150077) secondary antibody was used at 1/2000. Isotype control - Rabbit monoclonal IgG (Black). Unlabeled control - Cell without incubation with primary antibody and secondary antibody (Blue). This data was developed using the same antibody clone in a different buffer formulation containing PBS, BSA, glycerol, and sodium azide (ab181164)

Immunocytochemistry/ Immunofluorescence - Anti-Arp3 antibody [EPR10429] - BSA and Azide free (AB240249)
  • ICC/IF

Unknown

Immunocytochemistry/ Immunofluorescence - Anti-Arp3 antibody [EPR10429] - BSA and Azide free (AB240249)

Immunocytochemistry/ Immunofluorescence analysis of HeLa (Human cervix adenocarcinoma epithelial cell) cells labeling Arp3 with purified ab181164 at 1 : 50 dilution (5.06 µg/ml). Cells were fixed in 4% Paraformaldehyde and permeabilized with 0.1% tritonX-100. Cells were counterstained with ab195889 Anti-alpha Tubulin antibody [DM1A] - Microtubule Marker (Alexa Fluor® 594) 1 : 200 (2.5 µg/ml). Goat anti rabbit IgG (Alexa Fluor® 488, ab150077) was used as the secondary antibody at 1 : 1000 (2 µg/ml) dilution. DAPI (blue) was used as nuclear counterstain. PBS instead of the primary antibody was used as the secondary antibody only control.
This data was developed using the same antibody clone in a different buffer formulation containing PBS, BSA, glycerol, and sodium azide (ab181164)

Immunohistochemistry (Formalin/PFA-fixed paraffin-embedded sections) - Anti-Arp3 antibody [EPR10429] - BSA and Azide free (AB240249)
  • IHC-P

Supplier Data

Immunohistochemistry (Formalin/PFA-fixed paraffin-embedded sections) - Anti-Arp3 antibody [EPR10429] - BSA and Azide free (AB240249)

Immunohistochemical analysis of paraffin embedded human kidney tissue labeling Arp3 with unpurified ab181164 at a 1/250 dilution. Prediluted HRP Rabbit IgG secondary was used. Counterstained with Hematoxylin.

This data was developed using the same antibody clone in a different buffer formulation containing PBS, BSA, glycerol, and sodium azide (ab181164).

Perform heat mediated antigen retrieval with EDTA buffer pH 9 before commencing with IHC staining protocol.

Immunocytochemistry/ Immunofluorescence - Anti-Arp3 antibody [EPR10429] - BSA and Azide free (AB240249)
  • ICC/IF

Supplier Data

Immunocytochemistry/ Immunofluorescence - Anti-Arp3 antibody [EPR10429] - BSA and Azide free (AB240249)

Immunofluorescence analysis of -20°C Acetone fixed HeLa cells labeling Arp3 with unpurified ab181164 at a 1/100 dilution. Goat anti rabbit IgG (Alexa Fluor® 488) secondary used at a 1/200 diution.

This data was developed using the same antibody clone in a different buffer formulation containing PBS, BSA, glycerol, and sodium azide (ab181164).

Immunohistochemistry (Formalin/PFA-fixed paraffin-embedded sections) - Anti-Arp3 antibody [EPR10429] - BSA and Azide free (AB240249)
  • IHC-P

Unknown

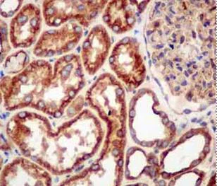
Immunohistochemistry (Formalin/PFA-fixed paraffin-embedded sections) - Anti-Arp3 antibody [EPR10429] - BSA and Azide free (AB240249)

Immunohistochemistry (Formalin/PFA-fixed paraffin-embedded sections) analysis of human kidney tissue sections labeling Arp3 with purified ab181164 at 1 : 250 dilution (1.01 µg/ml). Heat mediated antigen retrieval was performed using Bond ™ Epitope Retrieval Solution 2 (pH 9.0). Rabbit specific IHC polymer detection kit HRP/DAB (ab209101) was used as the secondary antibody. Negative control : PBS instead of the primary antibody. Hematoxylin was used as a counterstain.
This data was developed using the same antibody clone in a different buffer formulation containing PBS, BSA, glycerol, and sodium azide (ab181164)

Immunohistochemistry (Formalin/PFA-fixed paraffin-embedded sections) - Anti-Arp3 antibody [EPR10429] - BSA and Azide free (AB240249)
  • IHC-P

Unknown

Immunohistochemistry (Formalin/PFA-fixed paraffin-embedded sections) - Anti-Arp3 antibody [EPR10429] - BSA and Azide free (AB240249)

Immunohistochemistry (Formalin/PFA-fixed paraffin-embedded sections) analysis of mouse kidney tissue sections labeling Arp3 with purified ab181164 at 1 : 250 dilution (1.01 µg/ml). Heat mediated antigen retrieval was performed using Bond ™ Epitope Retrieval Solution 2 (pH 9.0). Rabbit specific IHC polymer detection kit HRP/DAB (ab209101) was used as the secondary antibody. Negative control : PBS instead of the primary antibody. Hematoxylin was used as a counterstain.
This data was developed using the same antibody clone in a different buffer formulation containing PBS, BSA, glycerol, and sodium azide (ab181164)

Key facts

Host species

Rabbit

Clonality

Monoclonal

Clone number

EPR10429

Isotype

IgG

Carrier free

Yes

Reacts with

Mouse, Rat, Human

Applications

WB, ICC/IF, Flow Cyt (Intra), IHC-P

applications

Immunogen

The exact immunogen used to generate this antibody is proprietary information.

Specificity

The rat recommendation is based on the WB results. We do not guarantee IHC-P for rat.

Reactivity data

{ "title": "Reactivity Data", "filters": { "stats": ["", "Species", "Dilution Info", "Notes"], "tabs": { "all-applications": {"fullname" : "All Applications", "shortname": "All Applications"}, "WB" : {"fullname" : "Western blot", "shortname":"WB"}, "ICCIF" : {"fullname" : "Immunocytochemistry/ Immunofluorescence", "shortname":"ICC/IF"}, "FlowCytIntra" : {"fullname" : "Flow Cytometry (Intracellular)", "shortname":"Flow Cyt (Intra)"}, "IHCP" : {"fullname" : "Immunohistochemistry (Formalin/PFA-fixed paraffin-embedded sections)", "shortname":"IHC-P"} }, "product-promise": { "all": "all", "testedAndGuaranteed": "tested", "guaranteed": "expected", "predicted": "predicted", "notRecommended": "not-recommended" } }, "values": { "Human": { "WB-species-checked": "guaranteed", "WB-species-dilution-info": "", "WB-species-notes": "<p></p>", "ICCIF-species-checked": "testedAndGuaranteed", "ICCIF-species-dilution-info": "", "ICCIF-species-notes": "<p></p>", "FlowCytIntra-species-checked": "testedAndGuaranteed", "FlowCytIntra-species-dilution-info": "", "FlowCytIntra-species-notes": "<p><a href='/en-us/products/primary-antibodies/rabbit-igg-monoclonal-epr25a-isotype-control-low-endotoxin-azide-free-ab199376'>ab199376</a> - Rabbit monoclonal IgG, is suitable for use as an isotype control with this antibody.</p>", "IHCP-species-checked": "guaranteed", "IHCP-species-dilution-info": "", "IHCP-species-notes": "" }, "Mouse": { "WB-species-checked": "guaranteed", "WB-species-dilution-info": "", "WB-species-notes": "<p></p>", "ICCIF-species-checked": "guaranteed", "ICCIF-species-dilution-info": "", "ICCIF-species-notes": "", "FlowCytIntra-species-checked": "guaranteed", "FlowCytIntra-species-dilution-info": "", "FlowCytIntra-species-notes": "", "IHCP-species-checked": "testedAndGuaranteed", "IHCP-species-dilution-info": "", "IHCP-species-notes": "<p>The rat recommendation is based on the WB results. We do not guarantee IHC-P for rat.</p>" }, "Rat": { "WB-species-checked": "guaranteed", "WB-species-dilution-info": "", "WB-species-notes": "<p></p>", "ICCIF-species-checked": "predicted", "ICCIF-species-dilution-info": "", "ICCIF-species-notes": "", "FlowCytIntra-species-checked": "predicted", "FlowCytIntra-species-dilution-info": "", "FlowCytIntra-species-notes": "", "IHCP-species-checked": "predicted", "IHCP-species-dilution-info": "", "IHCP-species-notes": "" } } }

Product details

ab240249 is the carrier-free version of ab181164.

Patented technology
Our RabMAb® technology is a patented hybridoma-based technology for making rabbit monoclonal antibodies. For details on our patents, please refer to RabMAb® patents.

What are the advantages of a recombinant monoclonal antibody?
This product is a recombinant monoclonal antibody, which offers several advantages including:

  • - High batch-to-batch consistency and reproducibility
  • - Improved sensitivity and specificity
  • - Long-term security of supply
  • - Animal-free batch production

For more information, read more on recombinant antibodies.

Conjugation ready
Our carrier-free antibodies are typically supplied in a PBS-only formulation, purified and free of BSA, sodium azide and glycerol. This conjugation-ready format is designed for use with fluorochromes, metal isotopes, oligonucleotides, and enzymes, which makes them ideal for antibody labelling, functional and cell-based assays, flow-based assays (e.g. mass cytometry) and Multiplex Imaging applications.

Use our conjugation kits for antibody conjugates that are ready-to-use in as little as 20 minutes with 1 minute hands-on-time and 100% antibody recovery: available for fluorescent dyes, HRP, biotin and gold.

Compatibility
This product is compatible with the Maxpar® Antibody Labeling Kit from Fluidigm, without the need for antibody preparation. Maxpar® is a trademark of Fluidigm Canada Inc.

Properties and storage information

Form
Liquid
Purification technique
Affinity purification Protein A
Storage buffer
pH: 7.2 - 7.4 Constituents: PBS
Shipped at conditions
Blue Ice
Appropriate short-term storage conditions
+4°C
Appropriate long-term storage conditions
+4°C
Storage information
Do Not Freeze

Supplementary information

This supplementary information is collated from multiple sources and compiled automatically.

Arp3 also known as Actin-related protein 3 is an important component of the human cellular cytoskeleton machinery. It has a molecular mass of approximately 47 kDa and is ubiquitously expressed across various tissues. Arp3 participates in the nucleation and branching of actin filaments acting mechanically to control the structural organization of the cytoskeleton. This protein is highly conserved across species which shows its important role in fundamental cellular processes.
Biological function summary

Arp3 plays a significant role in cellular motility and morphology. It is a part of the Arp2/3 complex which consists of seven subunits that assemble to promote actin nucleation. This complex is central to the formation of branched actin networks which are necessary for processes such as cell movement endocytosis and vesicle trafficking. Through its mechanical action within the Arp2/3 complex Arp3 influences the dynamic rearrangement of the cytoskeleton necessary for cellular responses to external stimuli.

Pathways

Arp3 functions within the Wiskott-Aldrich syndrome protein (WASP) pathway and the Rho family of GTPases pathway. These pathways are important for regulating the actin cytoskeleton dynamics. The WASP pathway activates Arp2/3 complex triggering branched actin filament assembly. This process interacts with proteins like Cdc42 a member of the Rho GTPase family which further modulates cytoskeletal organization. Through these interactions Arp3 assists in coordinating actin-based processes critical to cell shape and movement.

Arp3 links to immune system problems and cancer progression. Mutations or dysregulation of the Arp2/3 complex including Arp3 can lead to immune deficiencies where cellular movement is impaired such as seen in Wiskott-Aldrich Syndrome. Furthermore aberrant Arp3 activity associates with cancer metastasis where altered cell motility plays a role in tumor spread. Connected proteins such as N-WASP often display interaction within these pathological contexts reinforcing Arp3's relevance in disease mechanisms.

Product protocols

For this product, it's our understanding that no specific protocols are required. You can visit:

Target data

ATP-binding component of the Arp2/3 complex, a multiprotein complex that mediates actin polymerization upon stimulation by nucleation-promoting factor (NPF) (PubMed : 9000076). The Arp2/3 complex mediates the formation of branched actin networks in the cytoplasm, providing the force for cell motility (PubMed : 9000076). Seems to contact the pointed end of the daughter actin filament (PubMed : 9000076). In podocytes, required for the formation of lamellipodia downstream of AVIL and PLCE1 regulation (PubMed : 29058690). In addition to its role in the cytoplasmic cytoskeleton, the Arp2/3 complex also promotes actin polymerization in the nucleus, thereby regulating gene transcription and repair of damaged DNA (PubMed : 17220302, PubMed : 29925947). The Arp2/3 complex promotes homologous recombination (HR) repair in response to DNA damage by promoting nuclear actin polymerization, leading to drive motility of double-strand breaks (DSBs) (PubMed : 29925947). Plays a role in ciliogenesis (PubMed : 20393563).
See full target information ACTR3

Publications (1)

Recent publications for all applications. Explore the full list and refine your search

Journal of cellular and molecular medicine 26:5078-5094 PubMed36071546

2022

ISGylation of EMD promotes its interaction with PDHA to inhibit aerobic oxidation in lung adenocarcinoma.

Applications

Unspecified application

Species

Unspecified reactive species

Congcong Zhang,Jiangtao Cui,Leiqun Cao,Xiaoting Tian,Yayou Miao,Yikun Wang,Shiyu Qiu,Wanxin Guo,Lifang Ma,Jinjing Xia,Xiao Zhang
View all publications

Product promise

We are committed to supporting your work with high-quality reagents, and we're here for you every step of the way. In the unlikely event that one of our products does not perform as expected, you're protected by our Product Promise.
For full details, please see our Terms & Conditions

Please note: All products are 'FOR RESEARCH USE ONLY. NOT FOR USE IN DIAGNOSTIC OR THERAPEUTIC PROCEDURES'.

For licensing inquiries, please contact partnerships@abcam.com