JavaScript is disabled in your browser. Please enable JavaScript to view this website.
AB11798

Anti-ARPC2 antibody

Be the first to review this product! Submit a review

|

(5 Publications)

Goat Polyclonal ARPC2 antibody. Suitable for IHC-P, WB, ICC/IF and reacts with Human samples. Cited in 5 publications. Immunogen corresponding to Synthetic Peptide within Human ARPC2 aa 250 to C-terminus.

View Alternative Names

ARC34, PRO2446, ARPC2, Actin-related protein 2/3 complex subunit 2, Arp2/3 complex 34 kDa subunit, p34-ARC

4 Images
Immunocytochemistry/ Immunofluorescence - Anti-ARPC2 antibody (AB11798)
  • ICC/IF

Supplier Data

Immunocytochemistry/ Immunofluorescence - Anti-ARPC2 antibody (AB11798)

Immunocytochemistry/ Immunofluorescence analysis of HeLa cells labeling ARPC2 with ab11798 at 10 μg/mL (1 hour) showing cytoplasmic statining. Cells were fixed with paraformaldehyde and permeabilized with 0.15% Triton. An Alexa Fluor 488 at 2 μg/mL was used as the secondary antibody. The nuclear stain is DAPI (blue). Negative control : Unimmunized goat IgG (10 μg/mL) followed by Alexa Fluor 488 secondary antibody (2 μg/mL).

Immunocytochemistry/ Immunofluorescence - Anti-ARPC2 antibody (AB11798)
  • ICC/IF

Supplier Data

Immunocytochemistry/ Immunofluorescence - Anti-ARPC2 antibody (AB11798)

Immunocytochemistry/ Immunofluorescence analysis of A431 cells labeling ARPC2 with ab11798 at 10 μg/mL (1 hour) showing cytoplasmic statining. Cells were fixed with paraformaldehyde and permeabilized with 0.15% Triton. An Alexa Fluor 488 at 2 μg/mL was used as the secondary antibody. The nuclear stain is DAPI (blue). Negative control : Unimmunized goat IgG (10 μg/mL) followed by Alexa Fluor 488 secondary antibody (2 μg/mL).

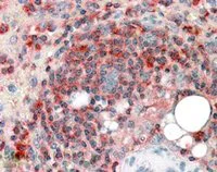
Immunohistochemistry (Formalin/PFA-fixed paraffin-embedded sections) - Anti-ARPC2 antibody (AB11798)
  • IHC-P

Unknown

Immunohistochemistry (Formalin/PFA-fixed paraffin-embedded sections) - Anti-ARPC2 antibody (AB11798)

ab11798 (3.8 µg/ml) staining ARPC2 in paraffin-embedded Human spleen tissue following steamed antigen retrieval with citrate buffer (pH6).

Western blot - Anti-ARPC2 antibody (AB11798)
  • WB

Supplier Data

Western blot - Anti-ARPC2 antibody (AB11798)

Detected by chemiluminescence.

Lane 1:

Western blot - Anti-ARPC2 antibody (ab11798) at 0.5 µg/mL

Lanes 2 - 3:

Western blot - Anti-ARPC2 antibody (ab11798) at 0.1 µg/mL

Lane 1:

CACO-2 cell lysate at 35 µg

Lane 2:

HeLa cell lysate at 35 µg

Lane 3:

Jurkat cell lysate at 35 µg

Predicted band size: 34 kDa

Observed band size: 34-35 kDa

false

Key facts

Host species

Goat

Clonality

Polyclonal

Isotype

IgG

Carrier free

No

Reacts with

Human

Applications

ICC/IF, WB, IHC-P

applications

Immunogen

Synthetic Peptide within Human ARPC2 aa 250 to C-terminus. The exact immunogen used to generate this antibody is proprietary information.

O15144

Specificity

This antibody is expected to recognise both reported isoforms as represented by NP_005722 and NP_690601.

Reactivity data

{ "title": "Reactivity Data", "filters": { "stats": ["", "Species", "Dilution Info", "Notes"], "tabs": { "all-applications": {"fullname" : "All Applications", "shortname": "All Applications"}, "IHCP" : {"fullname" : "Immunohistochemistry (Formalin/PFA-fixed paraffin-embedded sections)", "shortname":"IHC-P"}, "WB" : {"fullname" : "Western blot", "shortname":"WB"}, "ICCIF" : {"fullname" : "Immunocytochemistry/ Immunofluorescence", "shortname":"ICC/IF"} }, "product-promise": { "all": "all", "testedAndGuaranteed": "tested", "guaranteed": "expected", "predicted": "predicted", "notRecommended": "not-recommended" } }, "values": { "Human": { "IHCP-species-checked": "testedAndGuaranteed", "IHCP-species-dilution-info": "3-5 µg/mL", "IHCP-species-notes": "<p></p> Perform heat-mediated antigen retrieval before commencing with IHC staining protocol.", "WB-species-checked": "testedAndGuaranteed", "WB-species-dilution-info": "0.1-0.5 µg/mL", "WB-species-notes": "<p>A 1 hour primary incubation at room temperature is recommended for this product.</p>", "ICCIF-species-checked": "testedAndGuaranteed", "ICCIF-species-dilution-info": "10 µg/mL", "ICCIF-species-notes": "<p>PubMed ID: 22021442</p>" }, "Rat": { "IHCP-species-checked": "predicted", "IHCP-species-dilution-info": "", "IHCP-species-notes": "", "WB-species-checked": "predicted", "WB-species-dilution-info": "", "WB-species-notes": "", "ICCIF-species-checked": "predicted", "ICCIF-species-dilution-info": "", "ICCIF-species-notes": "" }, "Zebrafish": { "IHCP-species-checked": "predicted", "IHCP-species-dilution-info": "", "IHCP-species-notes": "", "WB-species-checked": "predicted", "WB-species-dilution-info": "", "WB-species-notes": "", "ICCIF-species-checked": "predicted", "ICCIF-species-dilution-info": "", "ICCIF-species-notes": "" } } }

Properties and storage information

Form
Liquid
Purification technique
Affinity purification Immunogen
Purification notes
Purified from goat serum by ammonium sulphate precipitation followed by antigen affinity chromatography using the immunizing peptide.
Storage buffer
pH: 7.3 Preservative: 0.02% Sodium azide Constituents: Tris buffered saline, 0.5% BSA
Shipped at conditions
Blue Ice
Appropriate short-term storage conditions
+4°C
Appropriate long-term storage conditions
-20°C
Aliquoting information
Upon delivery aliquot
Storage information
Avoid freeze / thaw cycle

Supplementary information

This supplementary information is collated from multiple sources and compiled automatically.

ARPC2 also known as p34-Arc is a critical component of the actin-related protein 2/3 complex (Arp2/3 complex) a protein complex that plays a major role in the regulation of the actin cytoskeleton. The molecular mass of ARPC2 is approximately 34 kDa. ARPC2 is highly expressed in several tissues including the brain lungs and the immune system. Its presence in diverse tissues suggests its fundamental role in various cellular processes.
Biological function summary

ARPC2 contributes to cell movement by promoting the nucleation of new actin filaments. It operates as part of the Arp2/3 complex which nucleates branches on pre-existing actin filaments a process necessary for the formation of a dynamic actin network within cells. The Arp2/3 complex where ARPC2 serves a structural and functional role is pivotal in cellular motility phagocytosis and endocytosis.

Pathways

ARPC2's involvement in cell shape and motility links it to signaling pathways such as the Rho GTPase pathway and the Wiskott-Aldrich syndrome protein (WASP) family member pathway. These pathways help modulate actin polymerization and cell movement. In these pathways ARPC2 works closely with proteins such as the Arp2/3 complex components and other regulatory elements like WASP which activates the complex to facilitate actin branching.

ARPC2's role in regulating actin dynamics connects it to conditions such as cancer and autoimmune diseases. Abnormal ARPC2 expression or function can lead to dysregulated cell movement and immune responses contributing to cancer metastasis and autoimmune diseases like systemic lupus erythematosus. In these disorders ARPC2 interacts with proteins that control immune function and cell migration highlighting its importance in maintaining normal physiological processes.

Product protocols

For this product, it's our understanding that no specific protocols are required. You can visit:

Target data

Actin-binding component of the Arp2/3 complex, a multiprotein complex that mediates actin polymerization upon stimulation by nucleation-promoting factor (NPF) (PubMed : 9230079). The Arp2/3 complex mediates the formation of branched actin networks in the cytoplasm, providing the force for cell motility (PubMed : 9230079). Seems to contact the mother actin filament (PubMed : 9230079). In addition to its role in the cytoplasmic cytoskeleton, the Arp2/3 complex also promotes actin polymerization in the nucleus, thereby regulating gene transcription and repair of damaged DNA (PubMed : 29925947). The Arp2/3 complex promotes homologous recombination (HR) repair in response to DNA damage by promoting nuclear actin polymerization, leading to drive motility of double-strand breaks (DSBs) (PubMed : 29925947).
See full target information ARPC2

Publications (5)

Recent publications for all applications. Explore the full list and refine your search

Scientific reports 12:22474 PubMed36577792

2022

Dysregulation of TSP2-Rac1-WAVE2 axis in diabetic cells leads to cytoskeletal disorganization, increased cell stiffness, and dysfunction.

Applications

Unspecified application

Species

Unspecified reactive species

Hao Xing,Yaqing Huang,Britta H Kunkemoeller,Peter J Dahl,Ohvia Muraleetharan,Nikhil S Malvankar,Michael P Murrell,Themis R Kyriakides

Oncology reports 41:3189-3200 PubMed31002363

2019

ARPC2 promotes breast cancer proliferation and metastasis.

Applications

Unspecified application

Species

Unspecified reactive species

Zhongle Cheng,Wei Wei,Zhengshen Wu,Jing Wang,Xiaojuan Ding,Youjing Sheng,Yinli Han,Qiang Wu

The Journal of experimental medicine 211:2119-34 PubMed25225459

2014

WASH is required for the differentiation commitment of hematopoietic stem cells in a c-Myc-dependent manner.

Applications

Unspecified application

Species

Unspecified reactive species

Pengyan Xia,Shuo Wang,Guanling Huang,Pingping Zhu,Man Li,Buqing Ye,Ying Du,Zusen Fan

Proceedings of the National Academy of Sciences of 108:18289-94 PubMed22021442

2011

Balanced Rac1 and RhoA activities regulate cell shape and drive invagination morphogenesis in epithelia.

Applications

ICC/IF

Species

Mouse

Bharesh K Chauhan,Ming Lou,Yi Zheng,Richard A Lang

European journal of cell biology 87:893-904 PubMed18707793

2008

The profilin:actin complex localizes to sites of dynamic actin polymerization at the leading edge of migrating cells and pathogen-induced actin tails.

Applications

Unspecified application

Species

Unspecified reactive species

Yu Li,Staffan Grenklo,Theresa Higgins,Roger Karlsson
View all publications

Product promise

We are committed to supporting your work with high-quality reagents, and we're here for you every step of the way. In the unlikely event that one of our products does not perform as expected, you're protected by our Product Promise.
For full details, please see our Terms & Conditions

Please note: All products are 'FOR RESEARCH USE ONLY. NOT FOR USE IN DIAGNOSTIC OR THERAPEUTIC PROCEDURES'.

For licensing inquiries, please contact partnerships@abcam.com