JavaScript is disabled in your browser. Please enable JavaScript to view this website.
AB133315

Anti-ARPC2 antibody [EPR8533]

5

(3 Reviews)

|

(21 Publications)

Rabbit Recombinant Monoclonal ARPC2 antibody. Suitable for IHC-P, IP, WB, ICC/IF, Flow Cyt (Intra) and reacts with Human, Mouse, Rat samples. Cited in 21 publications.

View Alternative Names

ARC34, PRO2446, ARPC2, Actin-related protein 2/3 complex subunit 2, Arp2/3 complex 34 kDa subunit, p34-ARC

10 Images
Immunocytochemistry/ Immunofluorescence - Anti-ARPC2 antibody [EPR8533] (AB133315)
  • ICC/IF

Unknown

Immunocytochemistry/ Immunofluorescence - Anti-ARPC2 antibody [EPR8533] (AB133315)

Immunocytochemistry/Immunofluorescence analysis of HeLa (Human epithelial cell line from cervix adenocarcinoma) labeling ARPC2 with purified ab133315 at 1/500 dilution. Cells were fixed with 100% methanol. ab150077 Goat anti rabbit IgG (Alexa Fluor®488) at 1/1000 was used as the secondary antibody. Nuclei were counterstained with DAPI. PBS was used instead of the primary antibody as the negative control.

Immunohistochemistry (Formalin/PFA-fixed paraffin-embedded sections) - Anti-ARPC2 antibody [EPR8533] (AB133315)
  • IHC-P

Unknown

Immunohistochemistry (Formalin/PFA-fixed paraffin-embedded sections) - Anti-ARPC2 antibody [EPR8533] (AB133315)

Immunohistochemical analysis of paraffin embedded human tonsil tissue labelled with ab133315 (unpurified) at 1/250 dilution.

Perform heat mediated antigen retrieval with citrate buffer pH 6 before commencing with IHC staining protocol.

Immunohistochemistry (Formalin/PFA-fixed paraffin-embedded sections) - Anti-ARPC2 antibody [EPR8533] (AB133315)
  • IHC-P

Unknown

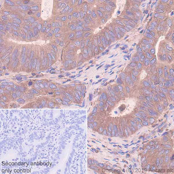
Immunohistochemistry (Formalin/PFA-fixed paraffin-embedded sections) - Anti-ARPC2 antibody [EPR8533] (AB133315)

Immunohistochemistry (Formalin/PFA-fixed paraffin-embedded sections) analysis of human gastric carcinoma tissue sections labeling ARPC2 with purified ab133315 at 1/2000 dilution (0.25 μg/ml). Heat mediated antigen retrieval was performed using ab93684 (Tris/EDTA buffer, pH 9.0). ImmunoHistoProbe one step HRP Polymer (ready to use) was used as the secondary antibody. Negative control : PBS instead of the primary antibody. Hematoxylin was used as a counterstain.

Immunocytochemistry/ Immunofluorescence - Anti-ARPC2 antibody [EPR8533] (AB133315)
  • ICC/IF

Unknown

Immunocytochemistry/ Immunofluorescence - Anti-ARPC2 antibody [EPR8533] (AB133315)

Immunocytochemistry/ Immunofluorescence analysis of HeLa (Human cervix adenocarcinoma epithelial cell) cells labeling ARPC2 with purified ab133315 at 1 : 100 dilution (5.0 µg/ml). Cells were fixed in 4% Paraformaldehyde and permeabilized with 0.1% tritonX-100. Cells were counterstained with ab195889 Anti-alpha Tubulin antibody [DM1A] - Microtubule Marker (Alexa Fluor® 594) 1 : 200 (2.5 µg/ml). Goat anti rabbit IgG (Alexa Fluor® 488, ab150077) was used as the secondary antibody at 1 : 1000 (2 µg/ml) dilution. DAPI (blue) was used as nuclear counterstain. PBS instead of the primary antibody was used as the secondary antibody only control.

Immunohistochemistry (Formalin/PFA-fixed paraffin-embedded sections) - Anti-ARPC2 antibody [EPR8533] (AB133315)
  • IHC-P

Unknown

Immunohistochemistry (Formalin/PFA-fixed paraffin-embedded sections) - Anti-ARPC2 antibody [EPR8533] (AB133315)

Immunohistochemical analysis of paraffin embedded human kidney tissue labelled with ab133315 (unpurified) at 1/250 dilution.

Perform heat mediated antigen retrieval with citrate buffer pH 6 before commencing with IHC staining protocol.

Flow Cytometry (Intracellular) - Anti-ARPC2 antibody [EPR8533] (AB133315)
  • Flow Cyt (Intra)

Unknown

Flow Cytometry (Intracellular) - Anti-ARPC2 antibody [EPR8533] (AB133315)

Intracellular Flow Cytometry analysis of HeLa (Human cervix adenocarcinoma epithelial cell) cells labeling ARPC2 with purified ab133315 at 1/50 dilution (10 μg/ml) (Red). Cells were fixed with 4% Paraformaldehyde and permeabilised with 90% Methanol. A Goat anti rabbit IgG (Alexa Fluor® 488, ab150077) secondary antibody was used at 1/2000. Isotype control - Rabbit monoclonal IgG (Black). Unlabeled control - Cell without incubation with primary antibody and secondary antibody (Blue).

Western blot - Anti-ARPC2 antibody [EPR8533] (AB133315)
  • WB

Unknown

Western blot - Anti-ARPC2 antibody [EPR8533] (AB133315)

All lanes:

Western blot - Anti-ARPC2 antibody [EPR8533] (ab133315) at 1/1000 dilution

Lane 1:

HeLa cell lysates at 10 µg

Lane 2:

293T cell lysates at 10 µg

Lane 3:

HT-1080 cell lysates at 10 µg

Lane 4:

Jurkat cell lysates at 10 µg

Secondary

All lanes:

HRP labelled goat anti-rabbit at 1/2000 dilution

Predicted band size: 34 kDa

false

Western blot - Anti-ARPC2 antibody [EPR8533] (AB133315)
  • WB

Lab

Western blot - Anti-ARPC2 antibody [EPR8533] (AB133315)

All lanes:

Western blot - Anti-ARPC2 antibody [EPR8533] (ab133315) at 1/1000 dilution

Lane 1:

HEK-293 (Human embryonic kidney epithelial cell) whole cell lysates at 20 µg

Lane 2:

Mouse heart lysates at 20 µg

Lane 3:

Neuro-2a (Mouse neuroblastoma neuroblast) whole cell lysates at 20 µg

Lane 4:

Rat heart lysates at 20 µg

Secondary

All lanes:

Western blot - Goat Anti-Rabbit IgG H&L (HRP) (<a href='/en-us/products/secondary-antibodies/goat-rabbit-igg-h-l-hrp-ab97051'>ab97051</a>) at 1/20000 dilution

Predicted band size: 34 kDa

Observed band size: 34 kDa

false

Immunoprecipitation - Anti-ARPC2 antibody [EPR8533] (AB133315)
  • IP

Unknown

Immunoprecipitation - Anti-ARPC2 antibody [EPR8533] (AB133315)

ab133315 (purified ) at 1/30 dilution (2 µg) immunoprecipitating ARPC2 in HEK-293 whole cell lysate.
Lane 1 (input) : HEK-293 (Human embryonic kidney epithelial cell) whole cell lysate 10 µg
Lane 2 (+) : ab133315 & HEK-293 whole cell lysate
Lane 3 (-) : Rabbit monoclonal IgG (ab172730) instead of ab133315 in HEK-293 whole cell lysate
For western blotting, VeriBlot for IP Detection Reagent (HRP) (ab131366) was used at 1/1000 dilution.
Blocking and diluting buffer : 5% NFDM/TBST.

All lanes:

Immunoprecipitation - Anti-ARPC2 antibody [EPR8533] (ab133315)

Predicted band size: 34 kDa

false

OI-RD Scanning - Anti-ARPC2 antibody [EPR8533] (AB133315)
  • OI-RD Scanning

Unknown

OI-RD Scanning - Anti-ARPC2 antibody [EPR8533] (AB133315)

We have systematically measured KD (the equilibrium dissociation constant between the antibody and its antigen), of more than 840 recombinant antibodies to assess not only their individual KD values but also to see the average affinity of antibody. Based on the comparison with published literature values for mouse monoclonal antibodies, Recombinant antibodies appear to be on average 1-2 order of magnitude higher affinity.

Key facts

Host species

Rabbit

Clonality

Monoclonal

Clone number

EPR8533

Isotype

IgG

Carrier free

No

Reacts with

Mouse, Rat, Human

Applications

IHC-P, ICC/IF, Flow Cyt (Intra), WB, IP

applications

Immunogen

The exact immunogen used to generate this antibody is proprietary information.

Specificity

The mouse and rat recommendation is based on the WB results. We do not guarantee IHC-P for mouse and rat.

Reactivity data

{ "title": "Reactivity Data", "filters": { "stats": ["", "Species", "Dilution Info", "Notes"], "tabs": { "all-applications": {"fullname" : "All Applications", "shortname": "All Applications"}, "IHCP" : {"fullname" : "Immunohistochemistry (Formalin/PFA-fixed paraffin-embedded sections)", "shortname":"IHC-P"}, "IP" : {"fullname" : "Immunoprecipitation", "shortname":"IP"}, "WB" : {"fullname" : "Western blot", "shortname":"WB"}, "ICCIF" : {"fullname" : "Immunocytochemistry/ Immunofluorescence", "shortname":"ICC/IF"}, "FlowCytIntra" : {"fullname" : "Flow Cytometry (Intracellular)", "shortname":"Flow Cyt (Intra)"} }, "product-promise": { "all": "all", "testedAndGuaranteed": "tested", "guaranteed": "expected", "predicted": "predicted", "notRecommended": "not-recommended" } }, "values": { "Human": { "IHCP-species-checked": "testedAndGuaranteed", "IHCP-species-dilution-info": "1/2000", "IHCP-species-notes": "<p><strong>For unpurified use at 1/250 - 1/500.</strong></p><p>The mouse and rat recommendation is based on the WB results. We do not guarantee IHC-P for mouse and rat.</p>", "IP-species-checked": "testedAndGuaranteed", "IP-species-dilution-info": "1/10 - 1/100", "IP-species-notes": "<p></p>", "WB-species-checked": "testedAndGuaranteed", "WB-species-dilution-info": "1/1000 - 1/10000", "WB-species-notes": "<p></p>", "ICCIF-species-checked": "testedAndGuaranteed", "ICCIF-species-dilution-info": "1/100 - 1/500", "ICCIF-species-notes": "<p></p>", "FlowCytIntra-species-checked": "testedAndGuaranteed", "FlowCytIntra-species-dilution-info": "1/50", "FlowCytIntra-species-notes": "<p></p>" }, "Mouse": { "IHCP-species-checked": "guaranteed", "IHCP-species-dilution-info": "1/2000", "IHCP-species-notes": "<p><strong>For unpurified use at 1/250 - 1/500.</strong></p><p>The mouse and rat recommendation is based on the WB results. We do not guarantee IHC-P for mouse and rat.</p>", "IP-species-checked": "guaranteed", "IP-species-dilution-info": "1/10 - 1/100", "IP-species-notes": "<p></p>", "WB-species-checked": "testedAndGuaranteed", "WB-species-dilution-info": "1/1000 - 1/10000", "WB-species-notes": "<p></p>", "ICCIF-species-checked": "guaranteed", "ICCIF-species-dilution-info": "1/100 - 1/500", "ICCIF-species-notes": "<p></p>", "FlowCytIntra-species-checked": "guaranteed", "FlowCytIntra-species-dilution-info": "1/50", "FlowCytIntra-species-notes": "<p></p>" }, "Rat": { "IHCP-species-checked": "guaranteed", "IHCP-species-dilution-info": "1/2000", "IHCP-species-notes": "<p><strong>For unpurified use at 1/250 - 1/500.</strong></p><p>The mouse and rat recommendation is based on the WB results. We do not guarantee IHC-P for mouse and rat.</p>", "IP-species-checked": "guaranteed", "IP-species-dilution-info": "", "IP-species-notes": "", "WB-species-checked": "testedAndGuaranteed", "WB-species-dilution-info": "1/1000 - 1/10000", "WB-species-notes": "<p></p>", "ICCIF-species-checked": "guaranteed", "ICCIF-species-dilution-info": "1/100 - 1/500", "ICCIF-species-notes": "<p></p>", "FlowCytIntra-species-checked": "guaranteed", "FlowCytIntra-species-dilution-info": "", "FlowCytIntra-species-notes": "<p></p>" } } }

Product details

Patented technology
Our RabMAb® technology is a patented hybridoma-based technology for making rabbit monoclonal antibodies. For details on our patents, please refer to RabMAb® patents.

What are the advantages of a recombinant monoclonal antibody?
This product is a recombinant monoclonal antibody, which offers several advantages including:

  • - High batch-to-batch consistency and reproducibility
  • - Improved sensitivity and specificity
  • - Long-term security of supply
  • - Animal-free batch production

For more information, read more on recombinant antibodies.

Properties and storage information

Form
Liquid
Purification technique
Affinity purification Protein A
Storage buffer
pH: 7.2 - 7.4 Preservative: 0.01% Sodium azide Constituents: PBS, 40% Glycerol (glycerin, glycerine), 0.05% BSA
Shipped at conditions
Blue Ice
Appropriate short-term storage duration
1-2 weeks
Appropriate short-term storage conditions
+4°C
Appropriate long-term storage conditions
-20°C
Aliquoting information
Upon delivery aliquot
Storage information
Avoid freeze / thaw cycle

Supplementary information

This supplementary information is collated from multiple sources and compiled automatically.

ARPC2 also known as p34-Arc is a critical component of the actin-related protein 2/3 complex (Arp2/3 complex) a protein complex that plays a major role in the regulation of the actin cytoskeleton. The molecular mass of ARPC2 is approximately 34 kDa. ARPC2 is highly expressed in several tissues including the brain lungs and the immune system. Its presence in diverse tissues suggests its fundamental role in various cellular processes.
Biological function summary

ARPC2 contributes to cell movement by promoting the nucleation of new actin filaments. It operates as part of the Arp2/3 complex which nucleates branches on pre-existing actin filaments a process necessary for the formation of a dynamic actin network within cells. The Arp2/3 complex where ARPC2 serves a structural and functional role is pivotal in cellular motility phagocytosis and endocytosis.

Pathways

ARPC2's involvement in cell shape and motility links it to signaling pathways such as the Rho GTPase pathway and the Wiskott-Aldrich syndrome protein (WASP) family member pathway. These pathways help modulate actin polymerization and cell movement. In these pathways ARPC2 works closely with proteins such as the Arp2/3 complex components and other regulatory elements like WASP which activates the complex to facilitate actin branching.

ARPC2's role in regulating actin dynamics connects it to conditions such as cancer and autoimmune diseases. Abnormal ARPC2 expression or function can lead to dysregulated cell movement and immune responses contributing to cancer metastasis and autoimmune diseases like systemic lupus erythematosus. In these disorders ARPC2 interacts with proteins that control immune function and cell migration highlighting its importance in maintaining normal physiological processes.

Product protocols

For this product, it's our understanding that no specific protocols are required. You can visit:

Target data

Actin-binding component of the Arp2/3 complex, a multiprotein complex that mediates actin polymerization upon stimulation by nucleation-promoting factor (NPF) (PubMed : 9230079). The Arp2/3 complex mediates the formation of branched actin networks in the cytoplasm, providing the force for cell motility (PubMed : 9230079). Seems to contact the mother actin filament (PubMed : 9230079). In addition to its role in the cytoplasmic cytoskeleton, the Arp2/3 complex also promotes actin polymerization in the nucleus, thereby regulating gene transcription and repair of damaged DNA (PubMed : 29925947). The Arp2/3 complex promotes homologous recombination (HR) repair in response to DNA damage by promoting nuclear actin polymerization, leading to drive motility of double-strand breaks (DSBs) (PubMed : 29925947).
See full target information ARPC2

Publications (21)

Recent publications for all applications. Explore the full list and refine your search

The Journal of biological chemistry 300:107942 PubMed39481596

2024

CK-666 protects against ferroptosis and renal ischemia-reperfusion injury through a microfilament-independent mechanism.

Applications

Unspecified application

Species

Unspecified reactive species

Qian Hu,Yanan Zhao,Wan-Yang Sun,Zexian Ou,Wentao Duan,Zeyu Qiu,Yuanlong Ge,Daolin Tang,Tianfeng Chen,Xiang Cheng,Rong-Rong He,Shu Wu,Zhenyu Ju

Neuron 112:2886-2909.e16 PubMed39079530

2024

Rapid iPSC inclusionopathy models shed light on formation, consequence, and molecular subtype of α-synuclein inclusions.

Applications

Unspecified application

Species

Unspecified reactive species

Isabel Lam,Alain Ndayisaba,Amanda J Lewis,YuHong Fu,Giselle T Sagredo,Anastasia Kuzkina,Ludovica Zaccagnini,Meral Celikag,Jackson Sandoe,Ricardo L Sanz,Aazam Vahdatshoar,Timothy D Martin,Nader Morshed,Toru Ichihashi,Arati Tripathi,Nagendran Ramalingam,Charlotte Oettgen-Suazo,Theresa Bartels,Manel Boussouf,Max Schäbinger,Erinc Hallacli,Xin Jiang,Amrita Verma,Challana Tea,Zichen Wang,Hiroyuki Hakozaki,Xiao Yu,Kelly Hyles,Chansaem Park,Xinyuan Wang,Thorold W Theunissen,Haoyi Wang,Rudolf Jaenisch,Susan Lindquist,Beth Stevens,Nadia Stefanova,Gregor Wenning,Wilma D J van de Berg,Kelvin C Luk,Rosario Sanchez-Pernaute,Juan Carlos Gómez-Esteban,Daniel Felsky,Yasujiro Kiyota,Nidhi Sahni,S Stephen Yi,Chee Yeun Chung,Henning Stahlberg,Isidro Ferrer,Johannes Schöneberg,Stephen J Elledge,Ulf Dettmer,Glenda M Halliday,Tim Bartels,Vikram Khurana

Frontiers in oncology 13:1158490 PubMed37274225

2023

Comprehensive pan-cancer analysis of PTGES3 and its prognostic role in hepatocellular carcinoma.

Applications

Unspecified application

Species

Unspecified reactive species

Han Wang,Peng Sun,Ruoyu Yao,Wenrui Zhang,Xiaoshuang Zhou,Jia Yao,Kun He

Cell reports 41:111766 PubMed36476872

2022

Hippo-released WWC1 facilitates AMPA receptor regulatory complexes for hippocampal learning.

Applications

Unspecified application

Species

Unspecified reactive species

Jens Stepan,Daniel E Heinz,Frederik Dethloff,Thomas Bajaj,Andreas Zellner,Kathrin Hafner,Svenja Wiechmann,Sarah Mackert,Yara Mecdad,Michael Rabenstein,Tim Ebert,Silvia Martinelli,Alexander S Häusl,Maximilian L Pöhlmann,Anke Hermann,Xiao Ma,Hermann Pavenstädt,Mathias V Schmidt,Alexandra Philipsen,Chris W Turck,Jan M Deussing,Bernhard Kuster,Michael C Wehr,Valentin Stein,Joachim Kremerskothen,Carsten T Wotjak,Nils C Gassen

Pharmaceuticals (Basel, Switzerland) 15: PubMed36558913

2022

S-Benproperine, an Active Stereoisomer of Benproperine, Suppresses Cancer Migration and Tumor Metastasis by Targeting ARPC2.

Applications

Unspecified application

Species

Unspecified reactive species

Hyun-Jin Jang,Yae Jin Yoon,Jiyeon Choi,Yu-Jin Lee,Sangku Lee,Wansang Cho,Wan Gi Byun,Seung Bum Park,Dong Cho Han,Byoung-Mog Kwon

Nature communications 13:6975 PubMed36379931

2022

High-affinity chromodomains engineered for improved detection of histone methylation and enhanced CRISPR-based gene repression.

Applications

Unspecified application

Species

Unspecified reactive species

G Veggiani,R Villaseñor,G D Martyn,J Q Tang,M W Krone,J Gu,C Chen,M L Waters,K H Pearce,T Baubec,S S Sidhu

Proteomics 22:e2200049 PubMed36037246

2022

Proteomic characteristics of plasma and blood cells in natural aging rhesus monkeys.

Applications

Unspecified application

Species

Unspecified reactive species

Na Wu,Fuchuan Xiao,Jing Zhang,Yafei Chi,Yanan Zhai,Baian Chen,Jing Lu

Frontiers in cell and developmental biology 10:896080 PubMed35733852

2022

ARPC2: A Pan-Cancer Prognostic and Immunological Biomarker That Promotes Hepatocellular Carcinoma Cell Proliferation and Invasion.

Applications

Unspecified application

Species

Unspecified reactive species

Shenglan Huang,Cairong Dong,Dan Li,Yongkang Xu,Jianbing Wu

Cell reports 35:109102 PubMed33979620

2021

RhoA/Cdc42 signaling drives cytoplasmic maturation but not endomitosis in megakaryocytes.

Applications

Unspecified application

Species

Unspecified reactive species

Tobias Heib,Heike M Hermanns,Georgi Manukjan,Maximilian Englert,Charly Kusch,Isabelle Carlotta Becker,Annika Gerber,Lou Martha Wackerbarth,Philipp Burkard,Thomas Dandekar,Johannes Balkenhol,Daniel Jahn,Sarah Beck,Mara Meub,Sebastian Dütting,Christian Stigloher,Markus Sauer,Deya Cherpokova,Harald Schulze,Cord Brakebusch,Bernhard Nieswandt,Zoltan Nagy,Irina Pleines

Cell reports 33:108431 PubMed33238128

2020

Noise Exposures Causing Hearing Loss Generate Proteotoxic Stress and Activate the Proteostasis Network.

Applications

Unspecified application

Species

Unspecified reactive species

Nopporn Jongkamonwiwat,Miguel A Ramirez,Seby Edassery,Ann C Y Wong,Jintao Yu,Tirzah Abbott,Kwang Pak,Allen F Ryan,Jeffrey N Savas
View all publications

Product promise

We are committed to supporting your work with high-quality reagents, and we're here for you every step of the way. In the unlikely event that one of our products does not perform as expected, you're protected by our Product Promise.
For full details, please see our Terms & Conditions

Please note: All products are 'FOR RESEARCH USE ONLY. NOT FOR USE IN DIAGNOSTIC OR THERAPEUTIC PROCEDURES'.

For licensing inquiries, please contact partnerships@abcam.com