JavaScript is disabled in your browser. Please enable JavaScript to view this website.
AB151303

Anti-ARPC5/p16 ARC antibody

Be the first to review this product! Submit a review

|

(20 Publications)

Rabbit Polyclonal ARPC5/p16 ARC antibody. Suitable for WB, IHC-P and reacts with Human samples. Cited in 20 publications. Immunogen corresponding to Recombinant Fragment Protein within Human ARPC5 aa 1 to C-terminus.

View Alternative Names

ARC16, ARPC5, Actin-related protein 2/3 complex subunit 5, Arp2/3 complex 16 kDa subunit, p16-ARC

2 Images
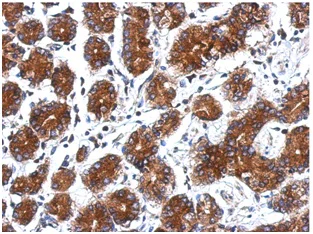
Immunohistochemistry (Formalin/PFA-fixed paraffin-embedded sections) - Anti-ARPC5/p16 ARC antibody (AB151303)
  • IHC-P

Unknown

Immunohistochemistry (Formalin/PFA-fixed paraffin-embedded sections) - Anti-ARPC5/p16 ARC antibody (AB151303)

Immunohistochemical analysis of paraffin-embedded Human colon cancer labeling p16 ARC with ab151303 antibody at 1/500 dilution.

Western blot - Anti-ARPC5/p16 ARC antibody (AB151303)
  • WB

Unknown

Western blot - Anti-ARPC5/p16 ARC antibody (AB151303)

15% SDS PAGE

All lanes:

Western blot - Anti-ARPC5/p16 ARC antibody (ab151303) at 1/500 dilution

Lane 1:

THP1 whole cell lysate at 30 µg

Lane 2:

HL60 whole cell lysate at 30 µg

Predicted band size: 16 kDa

false

Key facts

Host species

Rabbit

Clonality

Polyclonal

Isotype

IgG

Carrier free

No

Reacts with

Human

Applications

IHC-P, WB

applications

Immunogen

Recombinant Fragment Protein within Human ARPC5 aa 1 to C-terminus. The exact immunogen used to generate this antibody is proprietary information.

O15511

Specificity

This antibody is specific to the p16 ARC protein, database link: O15511. There is no observed cross reactivity to the CDKN2A/p16INK4a protein.

Reactivity data

{ "title": "Reactivity Data", "filters": { "stats": ["", "Species", "Dilution Info", "Notes"], "tabs": { "all-applications": {"fullname" : "All Applications", "shortname": "All Applications"}, "WB" : {"fullname" : "Western blot", "shortname":"WB"}, "IHCP" : {"fullname" : "Immunohistochemistry (Formalin/PFA-fixed paraffin-embedded sections)", "shortname":"IHC-P"} }, "product-promise": { "all": "all", "testedAndGuaranteed": "tested", "guaranteed": "expected", "predicted": "predicted", "notRecommended": "not-recommended" } }, "values": { "Human": { "WB-species-checked": "testedAndGuaranteed", "WB-species-dilution-info": "1/500 - 1/3000", "WB-species-notes": "<p></p>", "IHCP-species-checked": "testedAndGuaranteed", "IHCP-species-dilution-info": "1/100 - 1/1000", "IHCP-species-notes": "<p></p>" }, "Mouse": { "WB-species-checked": "predicted", "WB-species-dilution-info": "", "WB-species-notes": "", "IHCP-species-checked": "predicted", "IHCP-species-dilution-info": "", "IHCP-species-notes": "" }, "Rat": { "WB-species-checked": "predicted", "WB-species-dilution-info": "", "WB-species-notes": "", "IHCP-species-checked": "predicted", "IHCP-species-dilution-info": "", "IHCP-species-notes": "" }, "Chicken": { "WB-species-checked": "predicted", "WB-species-dilution-info": "", "WB-species-notes": "", "IHCP-species-checked": "predicted", "IHCP-species-dilution-info": "", "IHCP-species-notes": "" }, "Cow": { "WB-species-checked": "predicted", "WB-species-dilution-info": "", "WB-species-notes": "", "IHCP-species-checked": "predicted", "IHCP-species-dilution-info": "", "IHCP-species-notes": "" }, "Pig": { "WB-species-checked": "predicted", "WB-species-dilution-info": "", "WB-species-notes": "", "IHCP-species-checked": "predicted", "IHCP-species-dilution-info": "", "IHCP-species-notes": "" } } }

Properties and storage information

Form
Liquid
Purification technique
Affinity purification Immunogen
Storage buffer
pH: 7 Preservative: 0.025% Proclin 300 Constituents: PBS, 20% Glycerol (glycerin, glycerine)
Shipped at conditions
Blue Ice
Appropriate short-term storage conditions
+4°C
Appropriate long-term storage conditions
-20°C
Aliquoting information
Upon delivery aliquot
Storage information
Avoid freeze / thaw cycle

Supplementary information

This supplementary information is collated from multiple sources and compiled automatically.

ARPC5 also known as p16 ARC is a protein with a molecular weight of roughly 16 kilodaltons. It localizes largely in the cytoplasm and expresses in many cell types across species. The ARPC5 protein is a subunit of the Arp2/3 complex a vital component responsible for actin nucleation and branching during cytoskeleton remodeling. Researchers often examine ARPC5 through techniques such as western blot and immunohistochemistry using specific antibodies like anti-p16 or ARPC5 anticuerpo to identify its presence and distribution.
Biological function summary

The ARPC5 protein is essential for effective actin polymerization making it an important contributor to cell motility and structure. As part of the Arp2/3 complex it interacts with other proteins to stimulate the growth of new actin filaments. This activity is important in processes like endocytosis phagocytosis and cell migration. Furthermore ARPC5 plays a role in maintaining cellular homeostasis and is involved in cellular signaling pathways.

Pathways

Arpc5 influences the regulation of the actin cytoskeleton which intersects with pathways associated with cell movement and morphogenesis. It prominently relates to the WAVE complex working synergistically to regulate actin dynamics. ARPC5's involvement in the Rac1-WAVE-Arp2/3 pathway highlights its relationship with Rac1 a small GTPase known for regulating the cytoskeleton and cellular functions like adhesion and migration.

Imbalances in ARPC5 function can link to cancer progression and neurodegenerative diseases. Aberrant activity of the Arp2/3 complex which involves ARPC5 associates with increased cell invasion and metastasis in cancer. Additionally disruptions in ARPC5 activity connect to neurodegenerative conditions where cytoskeletal arrangement alterations play a role. The protein's interaction with others in the complex such as Rac1 further deepens its involvement in these diseases signaling potential targets for therapeutic intervention.

Product protocols

For this product, it's our understanding that no specific protocols are required. You can visit:

Target data

Component of the Arp2/3 complex, a multiprotein complex that mediates actin polymerization upon stimulation by nucleation-promoting factor (NPF) (PubMed : 9230079). The Arp2/3 complex mediates the formation of branched actin networks in the cytoplasm, providing the force for cell motility (PubMed : 9230079). In addition to its role in the cytoplasmic cytoskeleton, the Arp2/3 complex also promotes actin polymerization in the nucleus, thereby regulating gene transcription and repair of damaged DNA (PubMed : 29925947). The Arp2/3 complex promotes homologous recombination (HR) repair in response to DNA damage by promoting nuclear actin polymerization, leading to drive motility of double-strand breaks (DSBs) (PubMed : 29925947).
See full target information ARPC5

Publications (20)

Recent publications for all applications. Explore the full list and refine your search

Journal of thoracic disease 17:623-640 PubMed40083491

2025

Novel therapeutic strategy: Nrf2 activation in targeting senescence-related changes in chronic obstructive pulmonary disease.

Applications

Unspecified application

Species

Unspecified reactive species

Fenhua Jin,Hui Lin,Shufang Pan

World journal of gastrointestinal oncology 15:1567-1594 PubMed37746655

2023

Cellular senescence throws new insights into patient classification and pharmacological interventions for clinical management of hepatocellular carcinoma.

Applications

Unspecified application

Species

Unspecified reactive species

Hou-Hong Wang,Wen-Li Chen,Ya-Yun Cui,Hui-Hui Gong,Heng Li

Journal of medical virology 95:e28480 PubMed36609919

2023

Single-cell transcriptomics dissects epithelial heterogeneity in HPV cervical adenocarcinoma.

Applications

Unspecified application

Species

Unspecified reactive species

Cong Wang,Lei Li,Fuhao Wang,Xia Li,Jujie Sun,Xiaohui Li,Tianyu Lei,Qingyu Huang,Guangyu Zhang,Hongqing Wang,Dapeng Li,Jue Jia,Chunyan Li,Feng Geng,Jinbo Yue,Chao Liu

Redox biology 58:102537 PubMed36436456

2022

Ablation of Shank3 alleviates cardiac dysfunction in aging mice by promoting CaMKII activation and Parkin-mediated mitophagy.

Applications

Unspecified application

Species

Unspecified reactive species

Ying Wang,Yuerong Xu,Wangang Guo,Yexian Fang,Lang Hu,Runze Wang,Ran Zhao,Dong Guo,Bingchao Qi,Gaotong Ren,Jun Ren,Yan Li,Mingming Zhang

Disease markers 2022:9312971 PubMed35769815

2022

Inhibition of DEK Enhances Doxorubicin-Induced Apoptosis and Cell Cycle Arrest in T-Cell Acute Lymphoblastic Leukemia Cells.

Applications

Unspecified application

Species

Unspecified reactive species

Xiaoxue Tian,Zeyu Zhu,Guangming Wang,Jun Xu,Aibin Liang,Wenjun Zhang

Frontiers in oncology 12:872432 PubMed35600373

2022

Construction and Verification of Immunohistochemistry Parameters-Based Classifier to Predict Local-Recurrence of Upper Tract Urothelial Carcinoma After Kidney-Sparing Surgery.

Applications

Unspecified application

Species

Unspecified reactive species

Xu Cheng,Wentao Liu,Yijian Li,Yinhuai Wang

Journal of nanobiotechnology 20:150 PubMed35305656

2022

Triamcinolone acetonide-loaded nanoparticles encapsulated by CD90 MCSs-derived microvesicles drive anti-inflammatory properties and promote cartilage regeneration after osteoarthritis.

Applications

Unspecified application

Species

Unspecified reactive species

Yuanlong Li,Qingqiang Tu,Dongmei Xie,Shurui Chen,Kai Gao,Xiaochun Xu,Ziji Zhang,Xifan Mei

Experimental & molecular medicine 53:1356-1365 PubMed34531509

2021

MicroRNA-338-3p as a novel therapeutic target for intervertebral disc degeneration.

Applications

Unspecified application

Species

Unspecified reactive species

Hua Jiang,Abu Moro,Jiaqi Wang,Dihua Meng,Xinli Zhan,Qingjun Wei

Oxidative medicine and cellular longevity 2021:3843145 PubMed34394825

2021

FAM134B-Mediated ER-phagy Upregulation Attenuates AGEs-Induced Apoptosis and Senescence in Human Nucleus Pulposus Cells.

Applications

Unspecified application

Species

Unspecified reactive species

Rongjin Luo,Shuai Li,Gaocai Li,Saideng Lu,Weifeng Zhang,Hui Liu,Jie Lei,Liang Ma,Wencan Ke,Zhiwei Liao,Bingjin Wang,Yu Song,Kun Wang,Yukun Zhang,Cao Yang

Frontiers in cell and developmental biology 9:628463 PubMed33738284

2021

Apelin Rejuvenates Aged Human Mesenchymal Stem Cells by Regulating Autophagy and Improves Cardiac Protection After Infarction.

Applications

Unspecified application

Species

Unspecified reactive species

Hao Zhang,Chengling Zhao,Guojun Jiang,Bei Hu,Huifeng Zheng,Yimei Hong,Zhen Cui,Linli Shi,Xin Li,Fang Lin,Yue Ding,Lu Wei,Mimi Li,Xiaoting Liang,Yuelin Zhang
View all publications

Product promise

We are committed to supporting your work with high-quality reagents, and we're here for you every step of the way. In the unlikely event that one of our products does not perform as expected, you're protected by our Product Promise.
For full details, please see our Terms & Conditions

Please note: All products are 'FOR RESEARCH USE ONLY. NOT FOR USE IN DIAGNOSTIC OR THERAPEUTIC PROCEDURES'.

For licensing inquiries, please contact partnerships@abcam.com