JavaScript is disabled in your browser. Please enable JavaScript to view this website.
AB51243

Anti-ARPC5/p16 ARC antibody [EP1551Y]

  • RabMAb
  • Recombinant
  • KO Validated
  • 20ul selling size
  • What is this?

5

(5 Reviews)

|

(128 Publications)

Anti-ARPC5/p16 ARC antibody [EP1551Y] (ab51243) is a rabbit monoclonal antibody detecting ARPC5/p16 ARC in Western Blot, IP, IHC-P, ICC/IF. Suitable for Human, Mouse, Rat.

- Clone EP1551Y is the most cited clone to ARPC5/p16 ARC
- KO validated for confirmed specificity
- Biophysical QC for unrivalled batch-batch consistency
- Over 150 publications

View Alternative Names

ARC16, ARPC5, Actin-related protein 2/3 complex subunit 5, Arp2/3 complex 16 kDa subunit, p16-ARC

11 Images
Immunocytochemistry/ Immunofluorescence - Anti-ARPC5/p16 ARC antibody [EP1551Y] (AB51243)
  • ICC/IF

Unknown

Immunocytochemistry/ Immunofluorescence - Anti-ARPC5/p16 ARC antibody [EP1551Y] (AB51243)

Immunocytochemistry/Immunofluorescence analysis of Neuro-2a cells labelling p16 ARC with purified ab51243 at a dilution of 1/100. Cells were fixed with 4% paraformaldehyde and permeabilized with 0.1% Triton X-100. ab150077, an Alexa Fluor® 488-conjugated goat anti-rabbit IgG (1/1000) was used as the secondary antibody. DAPI (blue) was used as the nuclear counterstain. ab7291, a mouse anti-tubulin (1/1000) and ab150120, an Alexa Fluor® 594-conjugated goat anti-mouse IgG (1/1000) were also used.

Control 1 : primary antibody (1/100) and secondary antibody, ab150120, an Alexa Fluor® 594-conjugated goat anti-mouse IgG (1/1000).

Control 2 : ab7291 (1/1000) and secondary antibody, ab150077, an Alexa Fluor® 488-conjugated goat anti-rabbit IgG (1/1000).

Immunohistochemistry (Formalin/PFA-fixed paraffin-embedded sections) - Anti-ARPC5/p16 ARC antibody [EP1551Y] (AB51243)
  • IHC-P

Unknown

Immunohistochemistry (Formalin/PFA-fixed paraffin-embedded sections) - Anti-ARPC5/p16 ARC antibody [EP1551Y] (AB51243)

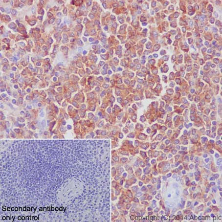
Immunohistochemistry (Formalin/PFA-fixed paraffin-embedded sections) analysis of human spleen tissue labelling p16 ARC with purified ab51243 at a dilution of 1/50. Heat mediated antigen retrieval was performed using Tris/EDTA buffer pH 9. ab97051, a HRP-conjugated goat anti-rabbit IgG (H+L) was used as the secondary antibody (1/500). Negative control using PBS instead of primary antibody. Counterstained with hematoxylin.

Immunohistochemistry (Formalin/PFA-fixed paraffin-embedded sections) - Anti-ARPC5/p16 ARC antibody [EP1551Y] (AB51243)
  • IHC-P

Unknown

Immunohistochemistry (Formalin/PFA-fixed paraffin-embedded sections) - Anti-ARPC5/p16 ARC antibody [EP1551Y] (AB51243)

Immunohistochemistry (Formalin/PFA-fixed paraffin-embedded sections) analysis of human uterus adenocarcinoma tissue labelling p16 ARC with unpurified ab51243 at a dilution of 1/50.

Perform heat mediated antigen retrieval before commencing with IHC staining protocol.

Immunohistochemistry (Formalin/PFA-fixed paraffin-embedded sections) - Anti-ARPC5/p16 ARC antibody [EP1551Y] (AB51243)
  • IHC-P

Lab

Immunohistochemistry (Formalin/PFA-fixed paraffin-embedded sections) - Anti-ARPC5/p16 ARC antibody [EP1551Y] (AB51243)

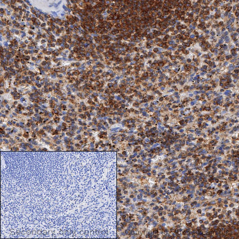
Immunohistochemical analysis of formalin fixed paraffin embedded human spleen labelling ARPC5/p16 ARC with ab51243 at a concentration of 0.1µg/ml. The immunostaining was performed on a Ventana DISCOVERY ULTRA (Roche Tissue Diagnostics) instrument with a OptiView DAB IHC Detection Kit. Heat mediated antigen retrieval was performed with DISCOVERY cell conditioning solution (CC1) 100°C, pH8.5 for 32mins ab51243 Anti-ARPC5/p16 ARC antibody [EP1551Y] was incubated for 16mins at 37°C. Sections were counterstained with Hematoxylin II. Image inset shows absence of staining in secondary antibody only control.

Customers are encouraged to optimise antigen retrieval conditions, antibody concentration, incubation times and temperature for best results in their own IHC assay workflow (automated and manual).

Immunoprecipitation - Anti-ARPC5/p16 ARC antibody [EP1551Y] (AB51243)
  • IP

Unknown

Immunoprecipitation - Anti-ARPC5/p16 ARC antibody [EP1551Y] (AB51243)

ab51243 (purified) at a dilution of 1/20 immunoprecipitating p16 ARC in human fetal brain tissue lysate.

Lane 1 (input) : Human fetal brain tissue lysate (10μg)

Lane 2 (+) : ab51243 + human fetal brain tissue lysate.

Lane 3 (-) : Rabbit monoclonal IgG (ab172730) instead of ab51243 in human fetal brain tissue lysate.

For western blotting, a HRP-conjugated anti-rabbit specific to the non-reduced form of IgG was used as the secondary antibody (1/1500).

Blocking buffer and concentration : 5% NFDM/TBST.

Diluting buffer and concentration : 5% NFDM /TBST.

All lanes:

Immunoprecipitation - Anti-ARPC5/p16 ARC antibody [EP1551Y] (ab51243)

Predicted band size: 16 kDa

Observed band size: 16 kDa

false

Western blot - Anti-ARPC5/p16 ARC antibody [EP1551Y] (AB51243)
  • WB

Lab

Western blot - Anti-ARPC5/p16 ARC antibody [EP1551Y] (AB51243)

Blocking and dilution buffer : 5% NFDM/TBST

All lanes:

Western blot - Anti-ARPC5/p16 ARC antibody [EP1551Y] (ab51243) at 1/5000 dilution

Lane 1:

HeLa whole cell lysate at 20 µg

Lane 2:

SKBR-3 whole cell lysate at 20 µg

Lane 3:

MCF-7 whole cell lysate at 20 µg

Lane 4:

HepG2 whole cell lysate at 20 µg

Secondary

All lanes:

Peroxidase-conjugated goat anti-rabbit IgG (H+L) at 1/1000 dilution

Predicted band size: 16 kDa

Observed band size: 16 kDa

false

Western blot - Anti-ARPC5/p16 ARC antibody [EP1551Y] (AB51243)
  • WB

Lab

Western blot - Anti-ARPC5/p16 ARC antibody [EP1551Y] (AB51243)

Blocking and dilution buffer : 5% NFDM/TBST

All lanes:

Western blot - Anti-ARPC5/p16 ARC antibody [EP1551Y] (ab51243) at 1/5000 dilution

Lane 1:

Human fetal brain tissue lysate at 20 µg

Lane 2:

Mouse brain tissue lysate at 20 µg

Lane 3:

Rat brain tissue lysate at 20 µg

Secondary

All lanes:

Peroxidase-conjugated goat anti-rabbit IgG (H+L) at 1/1000 dilution

Predicted band size: 16 kDa

Observed band size: 16 kDa

false

Western blot - Anti-ARPC5/p16 ARC antibody [EP1551Y] (AB51243)
  • WB

Supplier Data

Western blot - Anti-ARPC5/p16 ARC antibody [EP1551Y] (AB51243)

Blocking buffer and concentration : 5% NFDM/TBST

Diluting buffer and concentration : 5% NFDM/TBST

All lanes:

Western blot - Anti-ARPC5/p16 ARC antibody [EP1551Y] (ab51243) at 1/2000 dilution

Lane 1:

Human fetal brain tissue lysate at 10 µg

Lane 2:

Mouse brain tissue lysate at 10 µg

Lane 3:

Rat brain tissue lysate at 10 µg

Secondary

All lanes:

Peroxidase-conjugated goat anti-rabbit IgG (H+L) at 1/1000 dilution

Predicted band size: 16 kDa

false

Western blot - Anti-ARPC5/p16 ARC antibody [EP1551Y] (AB51243)
  • WB

Lab

Western blot - Anti-ARPC5/p16 ARC antibody [EP1551Y] (AB51243)

Lane 1 : Wild type HAP1 whole cell lysate (20 μg)
Lane 2 : p16 ARC knockout HAP1 whole cell lysate (20 μg)
Lane 3 : HeLa whole cell lysate (20 μg)

Lanes 1 - 4 : Merged signal (red and green). Green - ab51243 observed at 16 kDa. Red - loading control, ab8245, observed at 37 kDa.

ab51243 was shown to specifically react with p16 ARC when p16 ARC knockout samples were used. Wild-type and p16 ARC knockout samples were subjected to SDS-PAGE. ab51243 and ab8245 (Mouse anti GAPDH loading control) were incubated overnight at 4°C at 1/1000 dilution and 1/10000 dilution respectively. Blots were developed with Goat anti-Rabbit IgG H&L (IRDye® 800CW) preabsorbed ab216773 and Goat anti-Mouse IgG H&L (IRDye® 680RD) preabsorbed ab216776 secondary antibodies at 1/10000 dilution for 1 hour at room temperature before imaging.

All lanes:

Western blot - Anti-ARPC5/p16 ARC antibody [EP1551Y] (ab51243)

Predicted band size: 16 kDa

false

Western blot - Anti-ARPC5/p16 ARC antibody [EP1551Y] (AB51243)
  • WB

CiteAb

Western blot - Anti-ARPC5/p16 ARC antibody [EP1551Y] (AB51243)

Western Blotting using Anti-ARPC5/p16 ARC antibody [EP1551Y], ab51243. Publication image from Li, Y. et al., 2021, Theranostics, 33391511. Legend direct from paper.

hUC-MSCs treatment normalizes markers of senescence in MRL/lpr mice splenic CD4+ T cells in vivo. (A, B) qPCR analysis showing the expression levels of p21, p16 in WT mice, PBS-treated MRL/lpr mice and hUC-MSCs-treated MRL/lpr mice. (C) Representative western blot showing the expression levels of p21, p16, p53 and acetylation of p53 in WT mice, PBS-treated MRL/lpr mice and hUC-MSCs-treated MRL/lpr mice. (D, E) Capillary WES and qPCR analysis showing the expression of Sirt1 in WT mice, PBS-treated MRL/lpr mice and hUC-MSCs-treated MRL/lpr mice. GAPDH was used as a protein loading control. *p < 0.05; **p < 0.01; ***p < 0.001.

false

Western blot - Anti-ARPC5/p16 ARC antibody [EP1551Y] (AB51243)
  • WB

CiteAb

Western blot - Anti-ARPC5/p16 ARC antibody [EP1551Y] (AB51243)

Western Blotting using Anti-ARPC5/p16 ARC antibody [EP1551Y], ab51243. Publication image from Li, Y. et al., 2021, Theranostics, 33391511. Legend direct from paper.

Sirt1 is a mediator of hUC-MSCs increasing senescence of splenic CD4+ T cells in MRL/lpr mice. (A) Western blotting showing the expression of Sirt1, p21, p16, p53 and acetylation of p53 in EX527 and DMSO treated MRL/lpr splenic CD4+ T cells. (B) MRL/lpr splenic CD4+ T cells were pretreated with SRT1720 12 h before exposed to hUC-MSCs for 24-48 h, western blotting showing the expression of p21, p16, p53 and acetylation of p53. GAPDH was used as a protein loading control. All experimental data were verified in at least three independent experiments. *p < 0.05; **p < 0.01.

false

  • Carrier free

    Anti-ARPC5/p16 ARC antibody [EP1551Y] - BSA and Azide free

  • 519 Alexa Fluor® 488

    Alexa Fluor® 488 Anti-ARPC5/p16 ARC antibody [EP1551Y]

  • 665 Alexa Fluor® 647

    Alexa Fluor® 647 Anti-ARPC5/p16 ARC antibody [EP1551Y]

  • 565 Alexa Fluor® 555

    Alexa Fluor® 555 Anti-ARPC5/p16 ARC antibody [EP1551Y]

  • 617 Alexa Fluor® 594

    Alexa Fluor® 594 Anti-ARPC5/p16 ARC antibody [EP1551Y]

  • 578 PE

    PE Anti-ARPC5/p16 ARC antibody [EP1551Y]

  • 660 APC

    APC Anti-ARPC5/p16 ARC antibody [EP1551Y]

  • 775 Alexa Fluor® 750

    Alexa Fluor® 750 Anti-ARPC5/p16 ARC antibody [EP1551Y]

Key facts

Host species

Rabbit

Clonality

Monoclonal

Clone number

EP1551Y

Isotype

IgG

Carrier free

No

Reacts with

Mouse, Rat, Human

Applications

WB, ICC/IF, IHC-P, IP

applications

Immunogen

The exact immunogen used to generate this antibody is proprietary information.

Specificity

This antibody is specific to the p16 ARC protein, database link: O15511. There is no observed cross reactivity to the CDKN2A/p16INK4a protein.

Reactivity data

{ "title": "Reactivity Data", "filters": { "stats": ["", "Species", "Dilution Info", "Notes"], "tabs": { "all-applications": {"fullname" : "All Applications", "shortname": "All Applications"}, "IHCP" : {"fullname" : "Immunohistochemistry (Formalin/PFA-fixed paraffin-embedded sections)", "shortname":"IHC-P"}, "ICCIF" : {"fullname" : "Immunocytochemistry/ Immunofluorescence", "shortname":"ICC/IF"}, "IP" : {"fullname" : "Immunoprecipitation", "shortname":"IP"}, "FlowCyt" : {"fullname" : "Flow Cytometry", "shortname":"Flow Cyt"}, "WB" : {"fullname" : "Western blot", "shortname":"WB"} }, "product-promise": { "all": "all", "testedAndGuaranteed": "tested", "guaranteed": "expected", "predicted": "predicted", "notRecommended": "not-recommended" } }, "values": { "Human": { "IHCP-species-checked": "testedAndGuaranteed", "IHCP-species-dilution-info": "1/50", "IHCP-species-notes": "<p><strong>We have obtained results that indicate IHC-P is unsuitable for mouse and rat species. </strong></p> Perform heat-mediated antigen retrieval before commencing with IHC staining protocol.", "ICCIF-species-checked": "guaranteed", "ICCIF-species-dilution-info": "", "ICCIF-species-notes": "", "IP-species-checked": "testedAndGuaranteed", "IP-species-dilution-info": "1/20 - 1/70", "IP-species-notes": "<p></p>", "FlowCyt-species-checked": "notRecommended", "FlowCyt-species-dilution-info": "1/50", "FlowCyt-species-notes": "<p><a href='/en-us/products/primary-antibodies/rabbit-igg-monoclonal-epr25a-isotype-control-ab172730'>ab172730</a> - Rabbit monoclonal IgG, is suitable for use as an isotype control with this antibody.</p>", "WB-species-checked": "testedAndGuaranteed", "WB-species-dilution-info": "1/1000 - 1/10000", "WB-species-notes": "<p></p>" }, "Mouse": { "IHCP-species-checked": "guaranteed", "IHCP-species-dilution-info": "", "IHCP-species-notes": "", "ICCIF-species-checked": "testedAndGuaranteed", "ICCIF-species-dilution-info": "1/50 - 1/100", "ICCIF-species-notes": "<p></p>", "IP-species-checked": "guaranteed", "IP-species-dilution-info": "", "IP-species-notes": "", "FlowCyt-species-checked": "notRecommended", "FlowCyt-species-dilution-info": "1/50", "FlowCyt-species-notes": "<p><a href='/en-us/products/primary-antibodies/rabbit-igg-monoclonal-epr25a-isotype-control-ab172730'>ab172730</a> - Rabbit monoclonal IgG, is suitable for use as an isotype control with this antibody.</p>", "WB-species-checked": "testedAndGuaranteed", "WB-species-dilution-info": "1/1000 - 1/10000", "WB-species-notes": "<p></p>" }, "Rat": { "IHCP-species-checked": "guaranteed", "IHCP-species-dilution-info": "", "IHCP-species-notes": "", "ICCIF-species-checked": "guaranteed", "ICCIF-species-dilution-info": "", "ICCIF-species-notes": "", "IP-species-checked": "guaranteed", "IP-species-dilution-info": "", "IP-species-notes": "", "FlowCyt-species-checked": "notRecommended", "FlowCyt-species-dilution-info": "1/50", "FlowCyt-species-notes": "<p><a href='/en-us/products/primary-antibodies/rabbit-igg-monoclonal-epr25a-isotype-control-ab172730'>ab172730</a> - Rabbit monoclonal IgG, is suitable for use as an isotype control with this antibody.</p>", "WB-species-checked": "testedAndGuaranteed", "WB-species-dilution-info": "1/1000 - 1/10000", "WB-species-notes": "<p></p>" } } }

Product details

Anti-ARPC5/p16 ARC antibody [EP1551Y] (ab51243) was developed by Abcam using patented rabbit monoclonal antibody technology and is validated for use in ICC/IF, IHC-P, IP, WB in human, mouse, rat samples.

Anti-ARPC5/p16 ARC antibody [EP1551Y] (ab51243) has been cited over 158 times in peer reviewed journals and is trusted by the scientific community.

Abcam's high quality manufacturing and validation processes ensure Anti-ARPC5/p16 ARC antibody [EP1551Y] (ab51243) has high sensitivity and specificity alongside high lot-to-lot consistency and reproducibility.

The specificity of Anti-ARPC5/p16 ARC antibody [EP1551Y] (ab51243) has been confirmed by testing in knockout samples.

Anti-ARPC5/p16 ARC antibody [EP1551Y] (ab51243) has 5 independent reviews from customers.

Anti-ARPC5/p16 ARC antibody [EP1551Y] (ab51243) specifically detects ARPC5/p16 ARC (UniProt ID: O15511; Molecular weight: 16kDa) and is sold in 100 µL and 1 mL selling sizes.

Conjugation-ready, carrier free format available for antibody clone EP1551Y - ab220800.

Antibody clone EP1551Y is also available pre-conjugated to a variety of labels for your convenience - Alexa Fluor® 488, Alexa Fluor® 647, Alexa Fluor® 555, Alexa Fluor® 594, PE, APC, Alexa Fluor® 750 (ab320122, ab320123, ab320124, ab320125, ab320126, ab320127, ab321644).

Patented technology
Our RabMAb® technology is a patented hybridoma-based technology for making rabbit monoclonal antibodies. For details on our patents, please refer to RabMAb® patents.

What are the advantages of a recombinant monoclonal antibody?
This product is a recombinant monoclonal antibody, which offers several advantages including:

  • - High batch-to-batch consistency and reproducibility
  • - Improved sensitivity and specificity
  • - Long-term security of supply
  • - Animal-free batch production

For more information, read more on recombinant antibodies.

Properties and storage information

Form
Liquid
Purification technique
Affinity purification Protein A
Storage buffer
pH: 7.2 - 7.4 Preservative: 0.01% Sodium azide Constituents: PBS, 40% Glycerol (glycerin, glycerine), 0.05% BSA
Shipped at conditions
Blue Ice
Appropriate short-term storage duration
1-2 weeks
Appropriate short-term storage conditions
+4°C
Appropriate long-term storage conditions
-20°C
Aliquoting information
Upon delivery aliquot
Storage information
Avoid freeze / thaw cycle

Supplementary information

This supplementary information is collated from multiple sources and compiled automatically.

ARPC5 also known as p16 ARC is a protein with a molecular weight of roughly 16 kilodaltons. It localizes largely in the cytoplasm and expresses in many cell types across species. The ARPC5 protein is a subunit of the Arp2/3 complex a vital component responsible for actin nucleation and branching during cytoskeleton remodeling. Researchers often examine ARPC5 through techniques such as western blot and immunohistochemistry using specific antibodies like anti-p16 or ARPC5 anticuerpo to identify its presence and distribution.
Biological function summary

The ARPC5 protein is essential for effective actin polymerization making it an important contributor to cell motility and structure. As part of the Arp2/3 complex it interacts with other proteins to stimulate the growth of new actin filaments. This activity is important in processes like endocytosis phagocytosis and cell migration. Furthermore ARPC5 plays a role in maintaining cellular homeostasis and is involved in cellular signaling pathways.

Pathways

Arpc5 influences the regulation of the actin cytoskeleton which intersects with pathways associated with cell movement and morphogenesis. It prominently relates to the WAVE complex working synergistically to regulate actin dynamics. ARPC5's involvement in the Rac1-WAVE-Arp2/3 pathway highlights its relationship with Rac1 a small GTPase known for regulating the cytoskeleton and cellular functions like adhesion and migration.

Imbalances in ARPC5 function can link to cancer progression and neurodegenerative diseases. Aberrant activity of the Arp2/3 complex which involves ARPC5 associates with increased cell invasion and metastasis in cancer. Additionally disruptions in ARPC5 activity connect to neurodegenerative conditions where cytoskeletal arrangement alterations play a role. The protein's interaction with others in the complex such as Rac1 further deepens its involvement in these diseases signaling potential targets for therapeutic intervention.

Product protocols

For this product, it's our understanding that no specific protocols are required. You can visit:

Target data

Component of the Arp2/3 complex, a multiprotein complex that mediates actin polymerization upon stimulation by nucleation-promoting factor (NPF) (PubMed : 9230079). The Arp2/3 complex mediates the formation of branched actin networks in the cytoplasm, providing the force for cell motility (PubMed : 9230079). In addition to its role in the cytoplasmic cytoskeleton, the Arp2/3 complex also promotes actin polymerization in the nucleus, thereby regulating gene transcription and repair of damaged DNA (PubMed : 29925947). The Arp2/3 complex promotes homologous recombination (HR) repair in response to DNA damage by promoting nuclear actin polymerization, leading to drive motility of double-strand breaks (DSBs) (PubMed : 29925947).
See full target information ARPC5

Publications (128)

Recent publications for all applications. Explore the full list and refine your search

BMC musculoskeletal disorders 26:935 PubMed41063122

2025

Effects of glutaminase 1 inhibitor on rotator cuff derived cells: a preliminary report in 12 patients.

Applications

Unspecified application

Species

Unspecified reactive species

Tatsuo Kato,Yutaka Mifune,Atsuyuki Inui,Hanako Nishimoto,Shintaro Mukohara,Tomoya Yoshikawa,Issei Shinohara,Takahiro Furukawa,Shuya Tanaka,Masaya Kusunose,Yuichi Hoshino,Takehiko Matsushita,Tomoyuki Matsumoto,Ryosuke Kuroda

Cell death discovery 11:449 PubMed41057297

2025

Aging aggravated liver ischemia and reperfusion injury by promoting oxidized mtDNA mediated-macrophage pyroptosis through acetylated MCU-dependent calcium uptake.

Applications

Unspecified application

Species

Unspecified reactive species

Xin-Yi Wu,Rui Wang,Qi Zhang,Tao Liu,Jun-Yan Liu,Xue-Song Xu,Jun-Hua Gong

Stem cell research & therapy 16:526 PubMed41024282

2025

MSCs-derived HGF alleviates senescence after AKI by modulating mitoSTAT3-controlled copper flux and respiration.

Applications

Unspecified application

Species

Unspecified reactive species

Kaiting Zhuang,Wenjuan Wang,Cheng Xu,Siyang Wang,Yuhao Chen,Yingjie Zhang,Yanjun Liang,Xumin Zheng,Xiangmei Chen,Zhe Feng,Guangyan Cai

Journal of ginseng research 49:574-584 PubMed40843014

2025

Notoginsenoside R2 attenuates hepatic fibrosis via STAT3-dependent hepatic stellate cells senescence induction and inflammatory microenvironment suppression.

Applications

Unspecified application

Species

Unspecified reactive species

Kaili Deng,Min Li,Yuanyuan Li,Liangliang Xiang,Yuhua Wang,Hechen Shi,Jiayi Cheng,Sha Huang,Zhiping Lv

Journal of ginseng research 49:541-552 PubMed40843012

2025

Total ginsenosides and ginsenoside Rb2 delay hepatocyte senescence by regulating NAD metabolism and promoting IDO2/QPRT expression.

Applications

Unspecified application

Species

Unspecified reactive species

Chen Guo,Ming-Xia Wu,Ze-Peng Zhang,Jing Li,Jin-Jin Chen,Hang Su,Kun Wei,Da-Qing Zhao,Xiang-Yan Li,Qing-Xia Huang

Frontiers in medicine 12:1627412 PubMed40823556

2025

Shenyuan granules improve cellular senescence through Klotho-mediated p16/p21 signaling pathway in diabetic kidney disease.

Applications

Unspecified application

Species

Unspecified reactive species

Xinyuan Guo,Siyang Zhang,Qingqing Sun,Huimeng Li,Lan Wang

Frontiers in immunology 16:1592737 PubMed40799648

2025

RORα-activated mitophagy attenuating hypoxic-ischemic encephalopathy via suppression of microglial cGAS-STING axis.

Applications

Unspecified application

Species

Unspecified reactive species

Lei Song,Haiyan Shen,Fei Hong,Weiyan Zhang,Hongyi Lu

Cells 14: PubMed40558480

2025

Induced Mitophagy Promotes Cell Cycle Re-Entry in Adult Cardiomyocytes.

Applications

Unspecified application

Species

Unspecified reactive species

Rafeeq P H Ahmed,Onur Kanisicak,Perwez Alam

Cancer & metabolism 13:31 PubMed40533847

2025

Obesity and cervical intraepithelial neoplasia: regulation of mitochondrial energy metabolism via the Kisspeptin/GPR54 signaling pathway.

Applications

Unspecified application

Species

Unspecified reactive species

Jiajia Pan,Yuanyuan Chen,Yan Ye,Peipei Li,Feifei Ni,Haizhen He

Journal of cellular and molecular medicine 29:e70507 PubMed40387430

2025

Magnolin Mitigates Skin Ageing Through the CXCL10/p38 Signalling Pathway.

Applications

Unspecified application

Species

Unspecified reactive species

Cheng Wang,Xiaoyun Hu,Tianlin Song,Fan Hu,Le Du,Chenqiong Yan,Tianwei Shen,Nihong Li,Wei Yang,Li Li,Nian Deng,Xingwu Jiang,Yelin Wu,Rui Ye
View all publications

Product promise

We are committed to supporting your work with high-quality reagents, and we're here for you every step of the way. In the unlikely event that one of our products does not perform as expected, you're protected by our Product Promise.
For full details, please see our Terms & Conditions

Please note: All products are 'FOR RESEARCH USE ONLY. NOT FOR USE IN DIAGNOSTIC OR THERAPEUTIC PROCEDURES'.

For licensing inquiries, please contact partnerships@abcam.com