JavaScript is disabled in your browser. Please enable JavaScript to view this website.
AB188615

Anti-ARPP-19 antibody

Be the first to review this product! Submit a review

|

(2 Publications)

Rabbit Polyclonal ARPP-19 antibody. Suitable for IHC-P and reacts with Human samples. Cited in 2 publications. Immunogen corresponding to Recombinant Fragment Protein within Human cAMP-regulated phosphoprotein 19 aa 1-50.

View Alternative Names

cAMP-regulated phosphoprotein 19, ARPP-19, ARPP19

2 Images
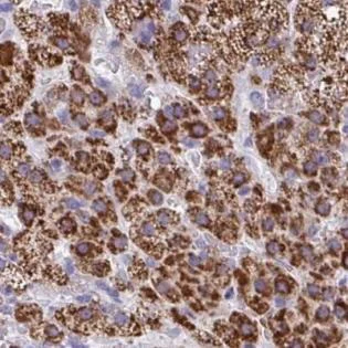
Immunohistochemistry (Formalin/PFA-fixed paraffin-embedded sections) - Anti-ARPP-19 antibody (AB188615)
  • IHC-P

Supplier Data

Immunohistochemistry (Formalin/PFA-fixed paraffin-embedded sections) - Anti-ARPP-19 antibody (AB188615)

Immunohistochemical analysis of paraffin embedded Human adrenal gland tissue staining ARPP-19 using ab188615 at a 1/200 dilution.

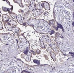
Immunohistochemistry (Formalin/PFA-fixed paraffin-embedded sections) - Anti-ARPP-19 antibody (AB188615)
  • IHC-P

Supplier Data

Immunohistochemistry (Formalin/PFA-fixed paraffin-embedded sections) - Anti-ARPP-19 antibody (AB188615)

Immunohistochemical analysis of paraffin embedded Human placenta tissue staining ARPP-19 using ab188615 at a 1/200 dilution

Key facts

Host species

Rabbit

Clonality

Polyclonal

Isotype

IgG

Carrier free

No

Reacts with

Human

Applications

IHC-P

applications

Immunogen

Recombinant Fragment Protein within Human cAMP-regulated phosphoprotein 19 aa 1-50. The exact immunogen used to generate this antibody is proprietary information.

P56211

Reactivity data

{ "title": "Reactivity Data", "filters": { "stats": ["", "Species", "Dilution Info", "Notes"], "tabs": { "all-applications": {"fullname" : "All Applications", "shortname": "All Applications"}, "IHCP" : {"fullname" : "Immunohistochemistry (Formalin/PFA-fixed paraffin-embedded sections)", "shortname":"IHC-P"} }, "product-promise": { "all": "all", "testedAndGuaranteed": "tested", "guaranteed": "expected", "predicted": "predicted", "notRecommended": "not-recommended" } }, "values": { "Human": { "IHCP-species-checked": "testedAndGuaranteed", "IHCP-species-dilution-info": "1/200 - 1/500", "IHCP-species-notes": "<p></p> Perform heat-mediated antigen retrieval with citrate buffer pH 6 before commencing with IHC staining protocol." }, "Mouse": { "IHCP-species-checked": "predicted", "IHCP-species-dilution-info": "", "IHCP-species-notes": "" }, "Rat": { "IHCP-species-checked": "predicted", "IHCP-species-dilution-info": "", "IHCP-species-notes": "" }, "Chicken": { "IHCP-species-checked": "predicted", "IHCP-species-dilution-info": "", "IHCP-species-notes": "" }, "Cow": { "IHCP-species-checked": "predicted", "IHCP-species-dilution-info": "", "IHCP-species-notes": "" }, "Pig": { "IHCP-species-checked": "predicted", "IHCP-species-dilution-info": "", "IHCP-species-notes": "" } } }

Properties and storage information

Form
Liquid
Purification technique
Affinity purification Immunogen
Storage buffer
pH: 7.2 Preservative: 0.02% Sodium azide Constituents: PBS, 40% Glycerol (glycerin, glycerine)
Shipped at conditions
Blue Ice
Appropriate short-term storage duration
1-2 weeks
Appropriate short-term storage conditions
+4°C
Appropriate long-term storage conditions
-20°C
Aliquoting information
Upon delivery aliquot
Storage information
Avoid freeze / thaw cycle

Supplementary information

This supplementary information is collated from multiple sources and compiled automatically.

ARPP-19 also known as cAMP-regulated phosphoprotein 19 is a protein that plays an important role in cellular processes. The protein has a molecular weight of approximately 19 kDa. Its expression can be found in various tissues with significant levels detected in the brain. ARPP-19 undergoes phosphorylation which is essential for its activity in cellular signaling.
Biological function summary

ARPP-19 influences cell cycle regulation and neuronal signaling. The protein does not appear to be part of a larger protein complex. It interacts with protein phosphatase 2A (PP2A) modulating its activity during mitosis. This regulation helps ensure proper cell division and function. The protein also shows involvement in neurodevelopmental pathways contributing to brain development and function.

Pathways

The involvement of ARPP-19 includes regulation within the cAMP signaling pathway and the mitotic spindle assembly checkpoint. It interacts with proteins like PP2A and Greatwall kinase coordinating the phosphorylation status of key mitotic substrates. ARPP-19 affects the transition from interphase to mitosis impacting the signaling cascade that controls this phase.

ARPP-19 has associations with cancer and neurodegenerative diseases. Aberrant phosphorylation of ARPP-19 and related proteins like PP2A can lead to mitotic errors promoting oncogenesis. In neurodegenerative contexts altered ARPP-19 function may affect neuronal signaling and plasticity contributing to conditions such as Alzheimer's disease. Understanding these interactions helps in exploring therapeutic strategies targeting these specific pathways.

Product protocols

For this product, it's our understanding that no specific protocols are required. You can visit:

Target data

Protein phosphatase inhibitor that specifically inhibits protein phosphatase 2A (PP2A) during mitosis. When phosphorylated at Ser-62 during mitosis, specifically interacts with PPP2R2D (PR55-delta) and inhibits its activity, leading to inactivation of PP2A, an essential condition to keep cyclin-B1-CDK1 activity high during M phase. May indirectly enhance GAP-43 expression.
See full target information cAMP-regulated phosphoprotein 19

Publications (2)

Recent publications for all applications. Explore the full list and refine your search

Journal of immunology research 2023:9011232 PubMed36874625

2023

lncRNA HCG11 Promotes Colorectal Cancer Cell Malignant Behaviors via Sponging miR-26b-5p.

Applications

Unspecified application

Species

Unspecified reactive species

Song Guo,Bingtan Song,Lin Li,Hesheng Li,Tao Yang,Lianmeng Cao,Jian Wang

Frontiers in cell and developmental biology 9:750171 PubMed34671604

2021

miR-371b-5p-Engineered Exosomes Enhances Tumor Inhibitory Effect.

Applications

Unspecified application

Species

Unspecified reactive species

Qiang Xue,Yang Yang,Linlin Yang,Xiaodi Yan,Zihao Shen,Jiajia Liu,Jianhua Xue,Wei Zhao,Xianchen Liu
View all publications

Product promise

We are committed to supporting your work with high-quality reagents, and we're here for you every step of the way. In the unlikely event that one of our products does not perform as expected, you're protected by our Product Promise.
For full details, please see our Terms & Conditions

Please note: All products are 'FOR RESEARCH USE ONLY. NOT FOR USE IN DIAGNOSTIC OR THERAPEUTIC PROCEDURES'.

For licensing inquiries, please contact partnerships@abcam.com