JavaScript is disabled in your browser. Please enable JavaScript to view this website.
AB174844

Anti-ARSA/ASA antibody [EPR11039]

Be the first to review this product! Submit a review

|

(3 Publications)

Rabbit Recombinant Monoclonal ARSA/ASA antibody. Suitable for IHC-P, WB and reacts with Human samples. Cited in 3 publications.

View Alternative Names

Arylsulfatase A, ASA, Cerebroside-sulfatase, ARSA

3 Images
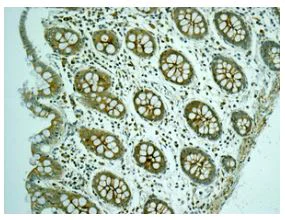
Immunohistochemistry (Formalin/PFA-fixed paraffin-embedded sections) - Anti-ARSA/ASA antibody [EPR11039] (AB174844)
  • IHC-P

Supplier Data

Immunohistochemistry (Formalin/PFA-fixed paraffin-embedded sections) - Anti-ARSA/ASA antibody [EPR11039] (AB174844)

Immunohistochemical analysis of formalin-fixed paraffin-embedded Human colon tissue labeling ARSA/ASA with ab174844 at 1/50 dilution.

Perform heat mediated antigen retrieval before commencing with IHC staining protocol.

Immunohistochemistry (Formalin/PFA-fixed paraffin-embedded sections) - Anti-ARSA/ASA antibody [EPR11039] (AB174844)
  • IHC-P

Supplier Data

Immunohistochemistry (Formalin/PFA-fixed paraffin-embedded sections) - Anti-ARSA/ASA antibody [EPR11039] (AB174844)

Immunohistochemical analysis of formalin-fixed paraffin-embedded Human kidney tissue labeling ARSA/ASA with ab174844 at 1/50 dilution.

Perform heat mediated antigen retrieval before commencing with IHC staining protocol.

Western blot - Anti-ARSA/ASA antibody [EPR11039] (AB174844)
  • WB

Supplier Data

Western blot - Anti-ARSA/ASA antibody [EPR11039] (AB174844)

All lanes:

Western blot - Anti-ARSA/ASA antibody [EPR11039] (ab174844) at 1/1000 dilution

Lane 1:

Human skin lysates at 10 µg

Lane 2:

A431 cell lysates at 10 µg

Lane 3:

HeLa cell lysates at 10 µg

Predicted band size: 54 kDa

false

  • Carrier free

    Anti-ARSA/ASA antibody [EPR11039] - BSA and Azide free

Key facts

Host species

Rabbit

Clonality

Monoclonal

Clone number

EPR11039

Isotype

IgG

Carrier free

No

Reacts with

Human

Applications

WB, IHC-P

applications

Immunogen

The exact immunogen used to generate this antibody is proprietary information.

Reactivity data

{ "title": "Reactivity Data", "filters": { "stats": ["", "Species", "Dilution Info", "Notes"], "tabs": { "all-applications": {"fullname" : "All Applications", "shortname": "All Applications"}, "IHCP" : {"fullname" : "Immunohistochemistry (Formalin/PFA-fixed paraffin-embedded sections)", "shortname":"IHC-P"}, "ICCIF" : {"fullname" : "Immunocytochemistry/ Immunofluorescence", "shortname":"ICC/IF"}, "IP" : {"fullname" : "Immunoprecipitation", "shortname":"IP"}, "FlowCyt" : {"fullname" : "Flow Cytometry", "shortname":"Flow Cyt"}, "WB" : {"fullname" : "Western blot", "shortname":"WB"} }, "product-promise": { "all": "all", "testedAndGuaranteed": "tested", "guaranteed": "expected", "predicted": "predicted", "notRecommended": "not-recommended" } }, "values": { "Human": { "IHCP-species-checked": "testedAndGuaranteed", "IHCP-species-dilution-info": "1/50 - 1/100", "IHCP-species-notes": "<p></p>", "ICCIF-species-checked": "notRecommended", "ICCIF-species-dilution-info": "", "ICCIF-species-notes": "<p></p>", "IP-species-checked": "notRecommended", "IP-species-dilution-info": "", "IP-species-notes": "<p></p>", "FlowCyt-species-checked": "notRecommended", "FlowCyt-species-dilution-info": "", "FlowCyt-species-notes": "<p></p>", "WB-species-checked": "testedAndGuaranteed", "WB-species-dilution-info": "1/1000 - 1/5000", "WB-species-notes": "<p></p>" }, "Mouse": { "IHCP-species-checked": "notRecommended", "IHCP-species-dilution-info": "", "IHCP-species-notes": "", "ICCIF-species-checked": "notRecommended", "ICCIF-species-dilution-info": "", "ICCIF-species-notes": "", "IP-species-checked": "notRecommended", "IP-species-dilution-info": "", "IP-species-notes": "", "FlowCyt-species-checked": "notRecommended", "FlowCyt-species-dilution-info": "", "FlowCyt-species-notes": "", "WB-species-checked": "notRecommended", "WB-species-dilution-info": "", "WB-species-notes": "" }, "Rat": { "IHCP-species-checked": "notRecommended", "IHCP-species-dilution-info": "1/50 - 1/100", "IHCP-species-notes": "<p></p>", "ICCIF-species-checked": "notRecommended", "ICCIF-species-dilution-info": "", "ICCIF-species-notes": "<p></p>", "IP-species-checked": "notRecommended", "IP-species-dilution-info": "", "IP-species-notes": "<p></p>", "FlowCyt-species-checked": "notRecommended", "FlowCyt-species-dilution-info": "", "FlowCyt-species-notes": "<p></p>", "WB-species-checked": "notRecommended", "WB-species-dilution-info": "1/1000 - 1/5000", "WB-species-notes": "<p></p>" } } }

Product details

Patented technology
Our RabMAb® technology is a patented hybridoma-based technology for making rabbit monoclonal antibodies. For details on our patents, please refer to RabMAb® patents.

What are the advantages of a recombinant monoclonal antibody?
This product is a recombinant monoclonal antibody, which offers several advantages including:

  • - High batch-to-batch consistency and reproducibility
  • - Improved sensitivity and specificity
  • - Long-term security of supply
  • - Animal-free batch production

For more information, read more on recombinant antibodies.

Properties and storage information

Form
Liquid
Purification technique
Affinity purification Protein A
Storage buffer
pH: 7.2 - 7.4 Preservative: 0.01% Sodium azide Constituents: PBS, 50% Tissue culture supernatant, 40% Glycerol (glycerin, glycerine), 0.05% BSA
Shipped at conditions
Blue Ice
Appropriate short-term storage duration
1-2 weeks
Appropriate short-term storage conditions
+4°C
Appropriate long-term storage conditions
-20°C
Aliquoting information
Upon delivery aliquot
Storage information
Avoid freeze / thaw cycle

Supplementary information

This supplementary information is collated from multiple sources and compiled automatically.

The ARSA protein also known as arylsulfatase A or ASA protein functions mechanically as a lysosomal enzyme responsible for the cleavage of cerebroside sulfate into cerebroside and sulfate. It belongs to a family of enzymes important for the hydrolysis of sulfate esters and has a molecular mass of about 62 kDa. This enzyme is expressed mainly in the liver and kidney but also in the brain where it plays important roles in normal functioning.
Biological function summary

ARSA is essential in the breakdown of sulfatides which are components of myelin sheaths in the central nervous system. It functions as part of a lysosomal complex involving cooperators like saposin B which facilitates its interaction with sulfatide substrates. By breaking down sulfatides ARSA helps in cellular membrane maintenance and recycling contributing to neurological function and stability.

Pathways

ARSA is mainly involved in the sphingolipid metabolism pathway. This pathway manages the degradation of sphingolipids important for maintaining neuron and cell membrane integrity. ARSA also interacts with proteins such as galactosylceramidase as both play roles in lipid recycling and are essential for maintaining cell health within the nervous system.

ARSA's deficiency is a well-known factor in metachromatic leukodystrophy (MLD) a genetic disorder leading to progressive leukodystrophy. This condition results from sulfatide accumulation in the nervous system caused by insufficient ARSA activity. The disease involves other proteins such as saposin B which when dysfunctional exacerbate ARSA-related pathologies and symptoms. Another disorder related to defective ARSA function includes chronic kidney disease where compromised sulfatide metabolism further effects cellular processes.

Product protocols

For this product, it's our understanding that no specific protocols are required. You can visit:

Target data

Hydrolyzes cerebroside sulfate.
See full target information ARSA

Publications (3)

Recent publications for all applications. Explore the full list and refine your search

Aging cell 21:e13707 PubMed36087066

2022

The lysosomal proteome of senescent cells contributes to the senescence secretome.

Applications

Unspecified application

Species

Unspecified reactive species

Miguel Rovira,Rebecca Sereda,David Pladevall-Morera,Valentina Ramponi,Ines Marin,Mate Maus,Julio Madrigal-Matute,Antonio Díaz,Fernando García,Javier Muñoz,Ana María Cuervo,Manuel Serrano

Cancer gene therapy 29:1878-1894 PubMed35840668

2022

MicroRNA-21 guide and passenger strand regulation of adenylosuccinate lyase-mediated purine metabolism promotes transition to an EGFR-TKI-tolerant persister state.

Applications

Unspecified application

Species

Unspecified reactive species

Wen Cai Zhang,Nicholas Skiados,Fareesa Aftab,Cerena Moreno,Luis Silva,Paul Joshua Anthony Corbilla,John M Asara,Aaron N Hata,Frank J Slack

Scientific reports 10:5567 PubMed32221382

2020

Changes in plasma arylsulfatase A level as a compensatory biomarker of early Parkinson's disease.

Applications

Unspecified application

Species

Unspecified reactive species

Han Soo Yoo,Jun Sung Lee,Seok Jong Chung,Byoung Seok Ye,Young H Sohn,Seung-Jae Lee,Phil Hyu Lee
View all publications

Product promise

We are committed to supporting your work with high-quality reagents, and we're here for you every step of the way. In the unlikely event that one of our products does not perform as expected, you're protected by our Product Promise.
For full details, please see our Terms & Conditions

Please note: All products are 'FOR RESEARCH USE ONLY. NOT FOR USE IN DIAGNOSTIC OR THERAPEUTIC PROCEDURES'.

For licensing inquiries, please contact partnerships@abcam.com