JavaScript is disabled in your browser. Please enable JavaScript to view this website.
AB185293

Anti-ART1 antibody

Be the first to review this product! Submit a review

|

(3 Publications)

Rabbit Polyclonal ART1 antibody. Suitable for IHC-P and reacts with Human samples. Cited in 3 publications. Immunogen corresponding to Recombinant Fragment Protein within Human GPI-linked NAD(P)(+)--arginine ADP-ribosyltransferase 1 aa 1-150.

View Alternative Names

CD296, GPI-linked NAD(P)(+)--arginine ADP-ribosyltransferase 1, ADP-ribosyltransferase C2 and C3 toxin-like 1, Mono(ADP-ribosyl)transferase 1, ARTC1, ART1

1 Images
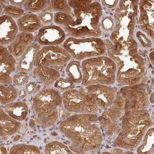
Immunohistochemistry (Formalin/PFA-fixed paraffin-embedded sections) - Anti-ART1 antibody (AB185293)
  • IHC-P

Supplier Data

Immunohistochemistry (Formalin/PFA-fixed paraffin-embedded sections) - Anti-ART1 antibody (AB185293)

Immunohistochemical analysis of Paraffin-embedded Human kidney tissue labeling ART1 with ab185293 at 1/200 dilution.

Key facts

Host species

Rabbit

Clonality

Polyclonal

Isotype

IgG

Carrier free

No

Reacts with

Human

Applications

IHC-P

applications

Immunogen

Recombinant Fragment Protein within Human GPI-linked NAD(P)(+)--arginine ADP-ribosyltransferase 1 aa 1-150. The exact immunogen used to generate this antibody is proprietary information.

P52961

Reactivity data

{ "title": "Reactivity Data", "filters": { "stats": ["", "Species", "Dilution Info", "Notes"], "tabs": { "all-applications": {"fullname" : "All Applications", "shortname": "All Applications"}, "IHCP" : {"fullname" : "Immunohistochemistry (Formalin/PFA-fixed paraffin-embedded sections)", "shortname":"IHC-P"} }, "product-promise": { "all": "all", "testedAndGuaranteed": "tested", "guaranteed": "expected", "predicted": "predicted", "notRecommended": "not-recommended" } }, "values": { "Human": { "IHCP-species-checked": "testedAndGuaranteed", "IHCP-species-dilution-info": "1/200 - 1/500", "IHCP-species-notes": "<p></p> Perform heat-mediated antigen retrieval with citrate buffer pH 6 before commencing with IHC staining protocol." } } }

Properties and storage information

Form
Liquid
Purification technique
Affinity purification Immunogen
Storage buffer
pH: 7.2 Preservative: 0.02% Sodium azide Constituents: PBS, 40% Glycerol (glycerin, glycerine)
Shipped at conditions
Blue Ice
Appropriate short-term storage duration
1-2 weeks
Appropriate short-term storage conditions
+4°C
Appropriate long-term storage conditions
-20°C
Aliquoting information
Upon delivery aliquot
Storage information
Avoid freeze / thaw cycle

Supplementary information

This supplementary information is collated from multiple sources and compiled automatically.

ART1 also known as ADP-ribosyltransferase 1 functions mechanically as an enzyme that adds ADP-ribose groups onto arginine residues on target proteins. This post-translational modification plays a role in regulating the function of the substrate proteins. ART1 has a molecular mass approximately around 37 kDa. Expression of ART1 is notable in skeletal muscle and also in various epithelial tissues. The presence of ART1 in these tissues suggests its involvement in several physiological processes.
Biological function summary

ART1 contributes to cellular signaling and substrate protein regulation by altering protein interactions. ART1 does not function as part of a significant large protein complex. However its enzymatic activity impacts the modification and activity of other proteins influencing various cellular responses and processes. These modifications can result in dynamic changes within cellular signaling pathways affecting cellular functions like growth cell cycle and immune response.

Pathways

ART1 participates in pathways related to NAD+ metabolism and ADP-ribosylation. Through these pathways ART1 influences the function of proteins such as integrins and stress response proteins. ART1 by modulating protein activity can affect broader biological processes like cell adhesion and response to cellular stress linked to the pathways it participates in.

ART1 relates to conditions such as muscle dystrophy and inflammatory diseases. In muscle dystrophies ART1-mediated ADP-ribosylation affects muscle cell integrity and signaling impacting disease progression. Additionally its interaction with immune proteins like interferon-induced proteins places ART1 as a potential player in inflammatory processes suggesting its involvement in inflammatory diseases. Through these interactions ART1 might contribute to inflammation regulation and tissue integrity in disease contexts.

Product protocols

For this product, it's our understanding that no specific protocols are required. You can visit:

Target data

Has ADP-ribosyltransferase activity toward GLP1R.
See full target information GPI-linked NAD(P)(+)--arginine ADP-ribosyltransferase 1

Publications (3)

Recent publications for all applications. Explore the full list and refine your search

BMC cancer 24:354 PubMed38504172

2024

ART1 knockdown decreases the IL-6-induced proliferation of colorectal cancer cells.

Applications

Unspecified application

Species

Unspecified reactive species

Ting Lin,Shuxian Zhang,Yi Tang,Ming Xiao,Ming Li,Hanjuan Gong,Hailun Xie,Yalan Wang

Journal of clinical medicine 11: PubMed35743613

2022

Upregulation of Endothelin-1 May Predict Chemotherapy-Induced Cardiotoxicity in Women with Breast Cancer.

Applications

Unspecified application

Species

Unspecified reactive species

Krithika Krishnarao,Katelyn A Bruno,Damian N Di Florio,Brandy H Edenfield,Emily R Whelan,Logan P Macomb,Molly M McGuire,Anneliese R Hill,Jordan C Ray,Lauren F Cornell,Winston Tan,Xochiquetzal J Geiger,Gary R Salomon,Erika J Douglass,DeLisa Fairweather,Mohamad H Yamani

Bioscience reports 39: PubMed31696221

2019

Malignant fibrous histiocytoma amplified sequence 1 alleviates inflammation and renal fibrosis in diabetic nephropathy by inhibiting TLR4.

Applications

Unspecified application

Species

Unspecified reactive species

Huan Lian,Yi Cheng,Xiaoyan Wu
View all publications

Product promise

We are committed to supporting your work with high-quality reagents, and we're here for you every step of the way. In the unlikely event that one of our products does not perform as expected, you're protected by our Product Promise.
For full details, please see our Terms & Conditions

Please note: All products are 'FOR RESEARCH USE ONLY. NOT FOR USE IN DIAGNOSTIC OR THERAPEUTIC PROCEDURES'.

For licensing inquiries, please contact partnerships@abcam.com