JavaScript is disabled in your browser. Please enable JavaScript to view this website.
AB235060

Anti-Arx antibody

Be the first to review this product! Submit a review

|

(2 Publications)

Rabbit Polyclonal ARX antibody. Suitable for WB, IHC-P and reacts with Mouse, Rat, Human samples. Cited in 2 publications. Immunogen corresponding to Recombinant Fragment Protein within Human Homeobox protein ARX aa 350-500.

View Alternative Names

Homeobox protein ARX, Aristaless-related homeobox, ARX

2 Images
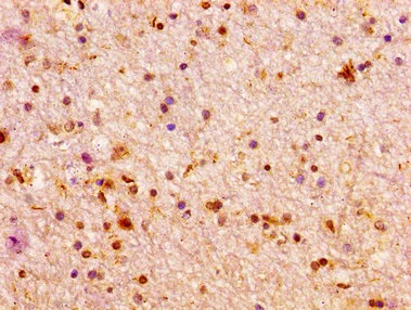
Immunohistochemistry (Formalin/PFA-fixed paraffin-embedded sections) - Anti-Arx antibody (AB235060)
  • IHC-P

Supplier Data

Immunohistochemistry (Formalin/PFA-fixed paraffin-embedded sections) - Anti-Arx antibody (AB235060)

Paraffin-embedded human brain tissue stained for Arx using ab235060 at 1/100 dilution in immunohistochemical analysis.

After dewaxing and hydration, antigen retrieval was mediated by high pressure in a citrate buffer (pH 6.0). Section was blocked with 10% normal goat serum 30min at RT. Then primary antibody (1% BSA) was incubated at 4°C overnight. The primary is detected by a biotinylated secondary antibody and visualized tissue using an HRP conjugated SP system.

Western blot - Anti-Arx antibody (AB235060)
  • WB

Supplier Data

Western blot - Anti-Arx antibody (AB235060)

All lanes:

Western blot - Anti-Arx antibody (ab235060) at 1/500 dilution

Lane 1:

Jurkat (human T cell leukemia cell line from peripheral blood) whole cell lysate

Lane 2:

HL-60 (human promyelocytic leukemia cell line) whole cell lysate

Lane 3:

Mouse brain tissue lysate

Lane 4:

Rat brain tissue lysate.

Secondary

All lanes:

Polyclonal Goat anti-rabbit IgG at 1/50000 dilution

Predicted band size: 58 kDa

false

Key facts

Host species

Rabbit

Clonality

Polyclonal

Isotype

IgG

Carrier free

No

Reacts with

Mouse, Rat, Human

Applications

IHC-P, WB

applications

Immunogen

Recombinant Fragment Protein within Human Homeobox protein ARX aa 350-500. The exact immunogen used to generate this antibody is proprietary information.

Q96QS3

Reactivity data

{ "title": "Reactivity Data", "filters": { "stats": ["", "Species", "Dilution Info", "Notes"], "tabs": { "all-applications": {"fullname" : "All Applications", "shortname": "All Applications"}, "WB" : {"fullname" : "Western blot", "shortname":"WB"}, "IHCP" : {"fullname" : "Immunohistochemistry (Formalin/PFA-fixed paraffin-embedded sections)", "shortname":"IHC-P"} }, "product-promise": { "all": "all", "testedAndGuaranteed": "tested", "guaranteed": "expected", "predicted": "predicted", "notRecommended": "not-recommended" } }, "values": { "Human": { "WB-species-checked": "testedAndGuaranteed", "WB-species-dilution-info": "1/500 - 1/5000", "WB-species-notes": "<p></p>", "IHCP-species-checked": "testedAndGuaranteed", "IHCP-species-dilution-info": "1/20 - 1/200", "IHCP-species-notes": "<p></p>" }, "Mouse": { "WB-species-checked": "testedAndGuaranteed", "WB-species-dilution-info": "1/500 - 1/5000", "WB-species-notes": "<p></p>", "IHCP-species-checked": "guaranteed", "IHCP-species-dilution-info": "", "IHCP-species-notes": "" }, "Rat": { "WB-species-checked": "testedAndGuaranteed", "WB-species-dilution-info": "1/500 - 1/5000", "WB-species-notes": "<p></p>", "IHCP-species-checked": "guaranteed", "IHCP-species-dilution-info": "", "IHCP-species-notes": "" } } }

Properties and storage information

Form
Liquid
Purification technique
Affinity purification Protein G
Purification notes
Purity >95%
Storage buffer
pH: 7.4 Preservative: 0.03% Proclin 300 Constituents: PBS, 50% Glycerol (glycerin, glycerine)
Shipped at conditions
Blue Ice
Appropriate short-term storage duration
1-2 weeks
Appropriate short-term storage conditions
+4°C
Appropriate long-term storage conditions
-20°C
Aliquoting information
Upon delivery aliquot
Storage information
Avoid freeze / thaw cycle

Supplementary information

This supplementary information is collated from multiple sources and compiled automatically.

The Arx protein also known as Aristaless related homeobox is a transcription factor encoded by the ARX gene. Its molecular mass is approximately 55 kDa. Arx is mainly expressed in the brain and pancreas where it plays roles in development. The protein contains a homeobox domain which allows it to bind DNA and regulate transcription. In neurons Arx modulates the development and differentiation affecting various neuronal populations.
Biological function summary

Arx influences the development of the central nervous system and pancreatic functions. Arx operates as part of a regulatory network that includes other transcription factors. It coordinates with these factors to manage the expression of genes required for neuronal subtype specification. In the pancreas Arx impacts the fate determination of endocrine cells particularly influencing alpha-cell development over beta-cell development.

Pathways

Arx is an important player in both the neuronal differentiation and endocrine development pathways. It interacts with proteins like Pax4 and Nkx2.2 within these pathways ensuring proper cell-type specification and differentiation. These pathways ensure the formation of diverse neuronal subclasses and appropriate distribution of endocrine cells in the pancreas.

Arx is associated with epilepsy and intellectual disability. Mutations in the ARX gene can lead to X-linked intellectual disability and contribute to the development of epilepsy. In both conditions Arx's interaction with proteins such as DCX (Doublecortin) and LIS1 is significant as these proteins are implicated in neuronal migration and cortical development. Hence alterations in Arx function can disrupt these processes leading to neurological disorders.

Product protocols

For this product, it's our understanding that no specific protocols are required. You can visit:

Target data

Transcription factor (PubMed : 22194193, PubMed : 31691806). Binds to specific sequence motif 5'-TAATTA-3' in regulatory elements of target genes, such as histone demethylase KDM5C (PubMed : 22194193, PubMed : 31691806). Positively modulates transcription of KDM5C (PubMed : 31691806). Activates expression of KDM5C synergistically with histone lysine demethylase PHF8 and perhaps in competition with transcription regulator ZNF711; synergy may be related to enrichment of histone H3K4me3 in regulatory elements (PubMed : 31691806). Required for normal brain development (PubMed : 11889467, PubMed : 12379852, PubMed : 14722918). Plays a role in neuronal proliferation, interneuronal migration and differentiation in the embryonic forebrain (By similarity). May also be involved in axonal guidance in the floor plate (By similarity).
See full target information Homeobox protein ARX

Publications (2)

Recent publications for all applications. Explore the full list and refine your search

Journal of lipid research 65:100559 PubMed38729351

2024

Sphingomyelin is involved in regulating UCP1-mediated nonshivering thermogenesis.

Applications

Unspecified application

Species

Unspecified reactive species

Detian Hu,Houyu Zhang,Zhen Liu,Carlos F Ibáñez,Cai Tie,Meng Xie

Biochemical pharmacology 182:114216 PubMed32926875

2020

Antidiabetic drug therapy alleviates type 1 diabetes in mice by promoting pancreatic α-cell transdifferentiation.

Applications

Unspecified application

Species

Unspecified reactive species

Dipak Sarnobat,Charlotte R Moffett,Neil Tanday,Frank Reimann,Fiona M Gribble,Peter R Flatt,Andrei I Tarasov
View all publications

Product promise

We are committed to supporting your work with high-quality reagents, and we're here for you every step of the way. In the unlikely event that one of our products does not perform as expected, you're protected by our Product Promise.
For full details, please see our Terms & Conditions

Please note: All products are 'FOR RESEARCH USE ONLY. NOT FOR USE IN DIAGNOSTIC OR THERAPEUTIC PROCEDURES'.

For licensing inquiries, please contact partnerships@abcam.com