JavaScript is disabled in your browser. Please enable JavaScript to view this website.
AB309491

Anti-Aryl hydrocarbon Receptor antibody [EPR27537-70]

  • 20ul selling size
  • RabMAb
  • Recombinant
  • KO Validated
  • What is this?

Be the first to review this product! Submit a review

|

(1 Publication)

Anti-Aryl hydrocarbon Receptor antibody [EPR27537-70] is a Rabbit Monoclonal antibody that is used in Aryl hydrocarbon Receptor Flow Cytometry (Intra), Western Blot. Suitable for Mouse samples.

The Aryl Hydrocarbon Receptor (AhR) is a ligand-activated transcription factor. It is involved in various processes such as tumor initiation, progression, and metastasis. Studies on various tumor types and tumor cell lines have shown high AhR expression, suggesting that AhR is activated constitutively in tumors and facilitates their growth. AhR affects the immune system's ability to target cancer cells. For example, inhibiting AhR can restore normal NK cell maturation and enhance their ability to kill cancer cells.

View Alternative Names

Aryl hydrocarbon receptor, Ah receptor, AhR, Ahr

7 Images
Immunohistochemistry (Formalin/PFA-fixed paraffin-embedded sections) - Anti-Aryl hydrocarbon Receptor antibody [EPR27537-70] (AB309491)
  • IHC-P

Lab

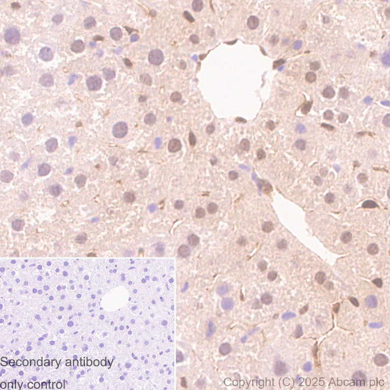
Immunohistochemistry (Formalin/PFA-fixed paraffin-embedded sections) - Anti-Aryl hydrocarbon Receptor antibody [EPR27537-70] (AB309491)

Immunohistochemical analysis of formalin fixed paraffin embedded mice liver labelling Aryl hydrocarbon Receptor with ab309491 at a concentration of 1/200 dilution. The immunostaining was performed on a Leica Biosystems BOND® RX instrument. Heat mediated antigen retrieval was performed with Tris-EDTA buffer (pH 9.0, Epitope Retrieval Solution2) for 20 mins. The primary antibody Anti-Aryl hydrocarbon Receptor antibody [EPR27537-70] was incubated for 30 mins at room temperature. Sections were counterstained with Hematoxylin. Positive staining on mouse liver.

Immunohistochemistry (Formalin/PFA-fixed paraffin-embedded sections) - Anti-Aryl hydrocarbon Receptor antibody [EPR27537-70] (AB309491)
  • IHC-P

Lab

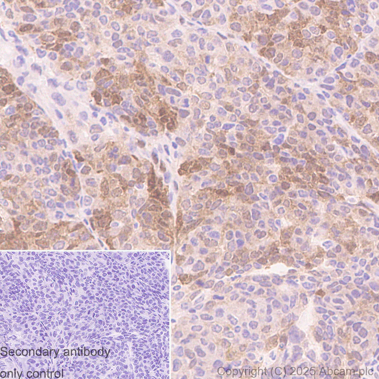
Immunohistochemistry (Formalin/PFA-fixed paraffin-embedded sections) - Anti-Aryl hydrocarbon Receptor antibody [EPR27537-70] (AB309491)

Immunohistochemical analysis of formalin fixed paraffin embedded mice breast carcinoma labelling Aryl hydrocarbon Receptor with ab309491 at a concentration of 1/200 dilution. The immunostaining was performed on a Leica Biosystems BOND® RX instrument. Heat mediated antigen retrieval was performed with Tris-EDTA buffer (pH 9.0, Epitope Retrieval Solution2) for 20 mins. The primary antibody Anti-Aryl hydrocarbon Receptor antibody [EPR27537-70] was incubated for 30 mins at room temperature. Sections were counterstained with Hematoxylin. Positive staining on mouse breast carcinoma.

Flow Cytometry (Intracellular) - Anti-Aryl hydrocarbon Receptor antibody [EPR27537-70] (AB309491)
  • Flow Cyt (Intra)

Supplier Data

Flow Cytometry (Intracellular) - Anti-Aryl hydrocarbon Receptor antibody [EPR27537-70] (AB309491)

Flow cytometric analysis of 4% paraformaldehyde fixed 90% methanol permeabilized Neuro-2a (mouse neuroblastoma neuroblast, Left) / HEPA1-6 (mouse hepatoma epithelial cell, Right) cells labelling Aryl hydrocarbon Receptor with ab309491 at 1/500 dilution (0.1 ug)/Right (Red) compared with a Rabbit monoclonal IgG (ab172730) (Black) isotype control and an unlabelled control (cells without incubation with primary antibody and secondary antibody) (Blue). A Goat Anti-Rabbit IgG (Alexa Fluor® 488, ab150081) at 1/5000 dilution was used as the secondary antibody. Negative control : Neuro-2a(PMID : 16956419).

Western blot - Anti-Aryl hydrocarbon Receptor antibody [EPR27537-70] (AB309491)
  • WB

Lab

Western blot - Anti-Aryl hydrocarbon Receptor antibody [EPR27537-70] (AB309491)

In Western blot, Anti-GAPDH antibody [EPR16891] - Loading Control (ab181602) staining at 1/200000 dilution.

Blocking and diluting buffer and concentration : 5% NFDM/TBST.

The tissue samples were kindly provided by GemPharmatech. C57BL/6JGpt wildtype mice and Ahr-KO homozygous mice (Strain ID : T012419).

All lanes:

Western blot - Anti-Aryl hydrocarbon Receptor antibody [EPR27537-70] (ab309491) at 1/1000 dilution

Lane 1:

Wild-type mouse lung tissue lysate (male) at 20 µg

Lane 2:

Ahr knockout mouse lung tissue lysate (male case1) at 20 µg

Lane 3:

Ahr knockout mouse lung tissue lysate (male case2) at 20 µg

Secondary

All lanes:

Western blot - Goat Anti-Rabbit IgG H&L (HRP) (<a href='/en-us/products/secondary-antibodies/goat-rabbit-igg-h-l-hrp-ab97051'>ab97051</a>) at 1/100000 dilution

Observed band size: 100 kDa,36 kDa

false

Exposure time: 180s

Western blot - Anti-Aryl hydrocarbon Receptor antibody [EPR27537-70] (AB309491)
  • WB

Supplier Data

Western blot - Anti-Aryl hydrocarbon Receptor antibody [EPR27537-70] (AB309491)

Blocking and diluting buffer and concentration : 5% NFDM/TBST Negative control : Neuro-2a(PMID : 16956419) Lysates were freshly made and used for Western blotting immediately to minimize protein degradation. In Western blot, anti-GAPDH antibody (ab181602) loading control staining at 1/200000 dilution. Exposure time : 180 seconds

All lanes:

Western blot - Anti-Aryl hydrocarbon Receptor antibody [EPR27537-70] (ab309491) at 1/1000 dilution

Lane 1:

C2C12 (mouse myoblast) whole cell lysate at 20 µg

Lane 2:

Hepa1-6 (mouse hepatoma epithelial cell) whole cell lysate at 20 µg

Lane 3:

Neuro-2a (mouse neuroblastoma neuroblast) whole cell lysate at 20 µg

Secondary

All lanes:

Goat Anti-Rabbit IgG, (H+L), Peroxidase conjugated (<a href='/en-us/products/secondary-antibodies/goat-rabbit-igg-h-l-hrp-ab97051'>ab97051</a>) at 1/100000 dilution

Observed band size: 100 kDa

false

Exposure time: 180s

Western blot - Anti-Aryl hydrocarbon Receptor antibody [EPR27537-70] (AB309491)
  • WB

Supplier Data

Western blot - Anti-Aryl hydrocarbon Receptor antibody [EPR27537-70] (AB309491)

Blocking and diluting buffer and concentration : 5% NFDM/TBST Negative control : Pancreas In Western blot, anti-GAPDH antibody (ab181602) loading control staining at 1/200000 dilution. Exposure time : 180 seconds

All lanes:

Western blot - Anti-Aryl hydrocarbon Receptor antibody [EPR27537-70] (ab309491) at 1/1000 dilution

Lane 1:

Mouse lung tissue lysate at 20 µg

Lane 2:

Mouse pancreas tissue lysate at 20 µg

Secondary

All lanes:

Western blot - Goat Anti-Rabbit IgG H&L (HRP) (<a href='/en-us/products/secondary-antibodies/goat-rabbit-igg-h-l-hrp-ab97051'>ab97051</a>) at 1/100000 dilution

Observed band size: 100 kDa

false

Exposure time: 180s

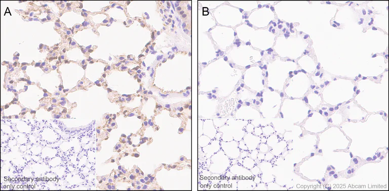
Immunohistochemistry (Formalin/PFA-fixed paraffin-embedded sections) - Anti-Aryl hydrocarbon Receptor antibody [EPR27537-70] (AB309491)
  • IHC-P

Lab

Immunohistochemistry (Formalin/PFA-fixed paraffin-embedded sections) - Anti-Aryl hydrocarbon Receptor antibody [EPR27537-70] (AB309491)

Immunohistochemical analysis of formalin fixed paraffin embedded mice lung tissue labelling Aryl hydrocarbon Receptor with ab309491 at a concentration of 1/200 dilution. The immunostaining was performed on a Leica Biosystems BOND® RX instrument. Heat mediated antigen retrieval was performed with Tris-EDTA buffer (pH 9.0, Epitope Retrieval Solution2) for 20 mins. The primary antibody Anti-Aryl hydrocarbon Receptor antibody [EPR27537-70] was incubated for 30 mins at room temperature. Sections were counterstained with Hematoxylin. Positive staining on (A) Lung tissue from wild-type C57BL/6J mice, no staining on (B) Lung tissue from Ahr knockout mice. The tissue samples were kindly provided by GemPharmatech. C57BL/6JGpt wildtype mice and Ahr-KO homozygous mice (Strain ID : T012419).

Key facts

Host species

Rabbit

Clonality

Monoclonal

Clone number

EPR27537-70

Isotype

IgG

Carrier free

No

Reacts with

Mouse

Applications

IHC-P, Flow Cyt (Intra), WB

applications

Immunogen

The exact immunogen used to generate this antibody is proprietary information.

Reactivity data

{ "title": "Reactivity Data", "filters": { "stats": ["", "Species", "Dilution Info", "Notes"], "tabs": { "all-applications": {"fullname" : "All Applications", "shortname": "All Applications"}, "WB" : {"fullname" : "Western blot", "shortname":"WB"}, "FlowCytIntra" : {"fullname" : "Flow Cytometry (Intracellular)", "shortname":"Flow Cyt (Intra)"}, "IHCP" : {"fullname" : "Immunohistochemistry (Formalin/PFA-fixed paraffin-embedded sections)", "shortname":"IHC-P"}, "ICCIF" : {"fullname" : "Immunocytochemistry/ Immunofluorescence", "shortname":"ICC/IF"}, "IP" : {"fullname" : "Immunoprecipitation", "shortname":"IP"} }, "product-promise": { "all": "all", "testedAndGuaranteed": "tested", "guaranteed": "expected", "predicted": "predicted", "notRecommended": "not-recommended" } }, "values": { "Human": { "WB-species-checked": "notRecommended", "WB-species-dilution-info": "", "WB-species-notes": "<p></p>", "FlowCytIntra-species-checked": "notRecommended", "FlowCytIntra-species-dilution-info": "", "FlowCytIntra-species-notes": "", "IHCP-species-checked": "notRecommended", "IHCP-species-dilution-info": "", "IHCP-species-notes": "<p></p>", "ICCIF-species-checked": "notRecommended", "ICCIF-species-dilution-info": "", "ICCIF-species-notes": "", "IP-species-checked": "notRecommended", "IP-species-dilution-info": "", "IP-species-notes": "" }, "Mouse": { "WB-species-checked": "testedAndGuaranteed", "WB-species-dilution-info": "1/1000", "WB-species-notes": "<p></p>", "FlowCytIntra-species-checked": "testedAndGuaranteed", "FlowCytIntra-species-dilution-info": "1/500", "FlowCytIntra-species-notes": "<p></p>", "IHCP-species-checked": "notRecommended", "IHCP-species-dilution-info": "1/200", "IHCP-species-notes": "<p></p>", "ICCIF-species-checked": "notRecommended", "ICCIF-species-dilution-info": "", "ICCIF-species-notes": "<p></p>", "IP-species-checked": "notRecommended", "IP-species-dilution-info": "", "IP-species-notes": "<p></p>" }, "Rat": { "WB-species-checked": "notRecommended", "WB-species-dilution-info": "", "WB-species-notes": "<p></p>", "FlowCytIntra-species-checked": "notRecommended", "FlowCytIntra-species-dilution-info": "", "FlowCytIntra-species-notes": "", "IHCP-species-checked": "notRecommended", "IHCP-species-dilution-info": "", "IHCP-species-notes": "<p></p>", "ICCIF-species-checked": "notRecommended", "ICCIF-species-dilution-info": "", "ICCIF-species-notes": "", "IP-species-checked": "notRecommended", "IP-species-dilution-info": "", "IP-species-notes": "" }, "Transfected cell lysate": { "WB-species-checked": "notRecommended", "WB-species-dilution-info": "", "WB-species-notes": "", "FlowCytIntra-species-checked": "notRecommended", "FlowCytIntra-species-dilution-info": "", "FlowCytIntra-species-notes": "", "IHCP-species-checked": "testedAndGuaranteed", "IHCP-species-dilution-info": "1/200", "IHCP-species-notes": "<p></p>", "ICCIF-species-checked": "notRecommended", "ICCIF-species-dilution-info": "", "ICCIF-species-notes": "", "IP-species-checked": "notRecommended", "IP-species-dilution-info": "", "IP-species-notes": "" } } }

Product details

Patented technology
Our RabMAb® technology is a patented hybridoma-based technology for making rabbit monoclonal antibodies. For details on our patents, please refer to RabMAb® patents.

What are the advantages of a recombinant monoclonal antibody?
This product is a recombinant monoclonal antibody, which offers several advantages including:

  • - High batch-to-batch consistency and reproducibility
  • - Improved sensitivity and specificity
  • - Long-term security of supply
  • - Animal-free batch production

For more information, read more on recombinant antibodies.

Properties and storage information

Form
Liquid
Purification technique
Affinity purification Protein A
Storage buffer
pH: 7.2 - 7.4 Preservative: 0.01% Sodium azide Constituents: PBS, 40% Glycerol (glycerin, glycerine), 0.05% BSA
Shipped at conditions
Blue Ice
Appropriate short-term storage duration
1-2 weeks
Appropriate short-term storage conditions
+4°C
Appropriate long-term storage conditions
-20°C
Aliquoting information
Upon delivery aliquot
Storage information
Avoid freeze / thaw cycle

Supplementary information

This supplementary information is collated from multiple sources and compiled automatically.

The Aryl hydrocarbon Receptor (AhR) also known as the Ah receptor is a ligand-activated transcription factor expressed in various tissues including liver lung and skin. The AhR has a molecular mass of approximately 96 kDa. It forms a complex with the aryl hydrocarbon receptor nuclear translocator (ARNT) upon ligand binding. AhR can bind to several compounds including aryl azide influencing the expression of numerous genes involved in xenobiotic metabolism.
Biological function summary

The AhR plays an important role in the regulation of detoxification enzymes such as cytochrome P450s. This receptor functions as a sensor for environmental toxins activating detoxification pathways once bound to ligands. It also contributes to the modulation of immune responses and development processes. The AhR often forms part of a larger protein complex to exert its effects on gene expression and cellular processes.

Pathways

The AhR significantly participates in the xenobiotic metabolism pathway and the dioxin signaling pathway. It interacts with proteins such as ARNT and cytochrome P450 enzymes to mediate the cellular response to toxins. The activity of AhR regulates the expression of phase I and phase II detoxification enzymes making it an integral part of the body’s defense against environmental chemicals.

Disturbances in AhR activity have been linked to cancer and autoimmune diseases. Altered expression or function of AhR can contribute to aberrant cell proliferation and immune dysregulation. The AhR interacts with other proteins like peroxidase and its substrates playing a role in oxidative stress responses associated with these conditions. Understanding these links can offer insights into therapeutic targets for related diseases.

Product protocols

For this product, it's our understanding that no specific protocols are required. You can visit:

Target data

Ligand-activated transcription factor that enables cells to adapt to changing conditions by sensing compounds from the environment, diet, microbiome and cellular metabolism, and which plays important roles in development, immunity and cancer (PubMed : 10639156, PubMed : 10973493, PubMed : 1314586, PubMed : 33436590, PubMed : 7961644, PubMed : 7969080, PubMed : 8806883, PubMed : 9427285). Upon ligand binding, translocates into the nucleus, where it heterodimerizes with ARNT and induces transcription by binding to xenobiotic response elements (XRE) (By similarity). Regulates a variety of biological processes, including angiogenesis, hematopoiesis, drug and lipid metabolism, cell motility and immune modulation (PubMed : 20106950, PubMed : 28396409). Xenobiotics can act as ligands : upon xenobiotic-binding, activates the expression of multiple phase I and II xenobiotic chemical metabolizing enzyme genes (such as the CYP1A1 gene) (PubMed : 10639156, PubMed : 10973493, PubMed : 1314586, PubMed : 7961644, PubMed : 7969080, PubMed : 8806883, PubMed : 9427285). Mediates biochemical and toxic effects of halogenated aromatic hydrocarbons (By similarity). Next to xenobiotics, natural ligands derived from plants, microbiota, and endogenous metabolism are potent AHR agonists (By similarity). Tryptophan (Trp) derivatives constitute an important class of endogenous AHR ligands (By similarity). Acts as a negative regulator of anti-tumor immunity : indoles and kynurenic acid generated by Trp catabolism act as ligand and activate AHR, thereby promoting AHR-driven cancer cell motility and suppressing adaptive immunity (By similarity). Regulates the circadian clock by inhibiting the basal and circadian expression of the core circadian component PER1 (By similarity). Inhibits PER1 by repressing the CLOCK-BMAL1 heterodimer mediated transcriptional activation of PER1 (PubMed : 20106950). The heterodimer ARNT : AHR binds to core DNA sequence 5'-TGCGTG-3' within the dioxin response element (DRE) of target gene promoters and activates their transcription (PubMed : 28396409).
See full target information Ahr

Publications (1)

Recent publications for all applications. Explore the full list and refine your search

Heliyon 10:e32260 PubMed38882349

2024

Qingfei mixture mitigates immunosuppression of tumor microenvironment in non-small cell lung cancer by blocking stat1/Ido1-mediated tryptophan-kynurenine pathway.

Applications

Unspecified application

Species

Unspecified reactive species

Zhuo Chen,Yu-Heng Ding,Lan Shao,Xu-Ming Ji,Xiang Qian,Ai-Qin Zhang
View all publications

Product promise

We are committed to supporting your work with high-quality reagents, and we're here for you every step of the way. In the unlikely event that one of our products does not perform as expected, you're protected by our Product Promise.
For full details, please see our Terms & Conditions

Please note: All products are 'FOR RESEARCH USE ONLY. NOT FOR USE IN DIAGNOSTIC OR THERAPEUTIC PROCEDURES'.

For licensing inquiries, please contact partnerships@abcam.com