JavaScript is disabled in your browser. Please enable JavaScript to view this website.
AB189890

Anti-AS160 antibody [EPR18418]

Be the first to review this product! Submit a review

|

(11 Publications)

Rabbit Recombinant Monoclonal AS160 antibody. Suitable for IP, WB and reacts with Human, Mouse, Rat samples. Cited in 11 publications.

View Alternative Names

AS160, KIAA0603, TBC1D4, TBC1 domain family member 4, Akt substrate of 160 kDa

4 Images
Western blot - Anti-AS160 antibody [EPR18418] (AB189890)
  • WB

Supplier Data

Western blot - Anti-AS160 antibody [EPR18418] (AB189890)

Blocking/Dilution buffer : 5% NFDM/TBST.

Exposure time : Lane 1 : 30 seconds; Lane 2 : 5 seconds.

The molecular weight observed is consistent with what has been described in the literature (PMID : 19470471).

All lanes:

Western blot - Anti-AS160 antibody [EPR18418] (ab189890) at 1/1000 dilution

Lane 1:

Human fetal heart lysate at 10 µg

Lane 2:

Human fetal kidney lysate at 10 µg

Secondary

All lanes:

Western blot - VeriBlot for IP Detection Reagent (HRP) (<a href='/en-us/products/reagents/veriblot-for-ip-detection-reagent-hrp-ab131366'>ab131366</a>) at 1/10000 dilution

Predicted band size: 146 kDa

Observed band size: 160 kDa

false

Immunoprecipitation - Anti-AS160 antibody [EPR18418] (AB189890)
  • IP

Supplier Data

Immunoprecipitation - Anti-AS160 antibody [EPR18418] (AB189890)

AS160 was immunoprecipitated from 0.35 mg of HEK-293 (Human epithelial cell line from embryonic kidney) whole cell lysate with ab189890 at 1/30 dilution. Western blot was performed from the immunoprecipitate using ab189890 at 1/1000 dilution. VeriBlot for IP Detection Reagent (HRP) (ab131366), was used for detection at 1/10000 dilution.

Lane 1 : HEK-293 whole cell lysate 10 μg (Input).

Lane 2 : ab189890 IP in HEK-293 whole cell lysate.

Lane 3 : Rabbit monoclonal IgG (ab172730) instead of ab189890 in HEK-293 whole cell lysate.

Blocking and dilution buffer and concentration : 5% NFDM/TBST.

Exposure time : 10 seconds.

All lanes:

Immunoprecipitation - Anti-AS160 antibody [EPR18418] (ab189890)

Predicted band size: 146 kDa

false

Western blot - Anti-AS160 antibody [EPR18418] (AB189890)
  • WB

Supplier Data

Western blot - Anti-AS160 antibody [EPR18418] (AB189890)

Blocking/Dilution buffer : 5% NFDM/TBST.

Exposure time : Lane 1 : 3 minutes; Lane 2 : 1 minute; Lane 3 : 10 seconds; Lane 4 : 5 seconds.

All lanes:

Western blot - Anti-AS160 antibody [EPR18418] (ab189890) at 1/5000 dilution

Lane 1:

A-673 (Human muscle Ewing's Sarcoma cell line) whole cell lysate at 10 µg

Lane 2:

MCF7 (Human breast adenocarcinoma cell line) whole cell lysate at 10 µg

Lane 3:

HeLa (Human epithelial cell line from cervix adenocarcinoma) whole cell lysate at 10 µg

Lane 4:

HEK-293 (Human epithelial cell line from embryonic kidney) whole cell lysate at 10 µg

Secondary

All lanes:

Western blot - Goat Anti-Rabbit IgG H&L (HRP) (<a href='/en-us/products/secondary-antibodies/goat-rabbit-igg-h-l-hrp-ab97051'>ab97051</a>) at 1/100000 dilution

Predicted band size: 146 kDa

Observed band size: 160 kDa

false

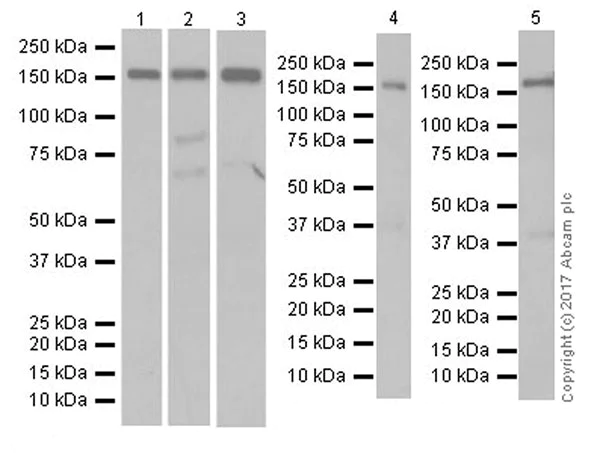
Western blot - Anti-AS160 antibody [EPR18418] (AB189890)
  • WB

Supplier Data

Western blot - Anti-AS160 antibody [EPR18418] (AB189890)

Blocking/Dilution buffer : 5% NFDM/TBST.

Exposure time : Lane 1 : 1 minute; Lane 2 : 3 minutes; Lane 3 : 30 seconds; Lane 4 : 30 seconds; Lane 5 : 3 minutes.

All lanes:

Western blot - Anti-AS160 antibody [EPR18418] (ab189890) at 1/1000 dilution

Lane 1:

RAW 264.7 (Mouse macrophage cell line transformed with Abelson murine leukemia virus) whole cell lysate at 10 µg

Lane 2:

PC-12 (Rat adrenal gland pheochromocytoma cell line) whole cell lysate at 10 µg

Lane 3:

NIH/3T3 (Mouse embryonic fibroblast cell line) whole cell lysate at 10 µg

Lane 4:

Mouse brain lysate at 10 µg

Lane 5:

Rat brain lysate at 10 µg

Secondary

All lanes:

Western blot - Goat Anti-Rabbit IgG H&L (HRP) (<a href='/en-us/products/secondary-antibodies/goat-rabbit-igg-h-l-hrp-ab97051'>ab97051</a>) at 1/100000 dilution

Predicted band size: 146 kDa

Observed band size: 160 kDa

false

Key facts

Host species

Rabbit

Clonality

Monoclonal

Clone number

EPR18418

Isotype

IgG

Carrier free

No

Reacts with

Mouse, Rat, Human

Applications

WB, IP

applications

Immunogen

The exact immunogen used to generate this antibody is proprietary information.

Reactivity data

{ "title": "Reactivity Data", "filters": { "stats": ["", "Species", "Dilution Info", "Notes"], "tabs": { "all-applications": {"fullname" : "All Applications", "shortname": "All Applications"}, "IP" : {"fullname" : "Immunoprecipitation", "shortname":"IP"}, "WB" : {"fullname" : "Western blot", "shortname":"WB"} }, "product-promise": { "all": "all", "testedAndGuaranteed": "tested", "guaranteed": "expected", "predicted": "predicted", "notRecommended": "not-recommended" } }, "values": { "Human": { "IP-species-checked": "testedAndGuaranteed", "IP-species-dilution-info": "1/30", "IP-species-notes": "<p></p>", "WB-species-checked": "testedAndGuaranteed", "WB-species-dilution-info": "1/1000", "WB-species-notes": "<p></p>" }, "Mouse": { "IP-species-checked": "guaranteed", "IP-species-dilution-info": "", "IP-species-notes": "", "WB-species-checked": "testedAndGuaranteed", "WB-species-dilution-info": "1/1000", "WB-species-notes": "<p></p>" }, "Rat": { "IP-species-checked": "guaranteed", "IP-species-dilution-info": "", "IP-species-notes": "", "WB-species-checked": "testedAndGuaranteed", "WB-species-dilution-info": "1/1000", "WB-species-notes": "<p></p>" } } }

Product details

Patented technology
Our RabMAb® technology is a patented hybridoma-based technology for making rabbit monoclonal antibodies. For details on our patents, please refer to RabMAb® patents.

What are the advantages of a recombinant monoclonal antibody?
This product is a recombinant monoclonal antibody, which offers several advantages including:

  • - High batch-to-batch consistency and reproducibility
  • - Improved sensitivity and specificity
  • - Long-term security of supply
  • - Animal-free batch production

For more information, read more on recombinant antibodies.

Properties and storage information

Form
Liquid
Purification technique
Affinity purification Protein A
Storage buffer
pH: 7.2 - 7.4 Preservative: 0.01% Sodium azide Constituents: PBS, 40% Glycerol (glycerin, glycerine), 0.05% BSA
Shipped at conditions
Blue Ice
Appropriate short-term storage duration
1-2 weeks
Appropriate short-term storage conditions
+4°C
Appropriate long-term storage conditions
-20°C
Aliquoting information
Upon delivery aliquot
Storage information
Avoid freeze / thaw cycle

Supplementary information

This supplementary information is collated from multiple sources and compiled automatically.

AS160 also known as TBC1D4 is a Rab GTPase-activating protein with a molecular mass of approximately 160 kDa. It is expressed in adipose and muscle tissues where it plays a role in glucose metabolism regulation. AS160 contains vital domains that interact with signaling molecules influencing the membrane trafficking of glucose transporters like GLUT4. These actions facilitate the cellular uptake of glucose which is important for energy production in metabolically active tissues.
Biological function summary

AS160 acts as an important regulator in the insulin signaling pathway. It is associated with a complex network of proteins that modulate GLUT4 translocation to the plasma membrane. The phosphorylation state of AS160 influences its activity thereby impacting the downstream biological processes. Through regulation of intracellular signaling AS160 supports cellular energy homeostasis and its degradation often influenced by ubiquitin-dependent proteolysis can affect its functionality.

Pathways

AS160 acts within the insulin and AMPK signaling pathways. Through these pathways it interacts with proteins such as Akt and AMPK which are important for its activation and subsequent action. Akt phosphorylates AS160 resulting in the release of its inhibitory effects on Rab GTPases. This modification promotes GLUT4 mobilization enhancing glucose uptake during insulin stimulation.

AS160 plays a role in conditions like type 2 diabetes and insulin resistance. Dysregulation or mutations within AS160 can disrupt normal glucose metabolism leading to metabolic dysfunctions. In diabetes the interaction between AS160 and Akt becomes impaired hampering the insulin signaling cascade which further exacerbates glucose uptake issues and metabolic diseases. Alterations in AS160 pathway interactions hold potential implications for therapeutic approaches in managing these disorders.

Product protocols

For this product, it's our understanding that no specific protocols are required. You can visit:

Target data

May act as a GTPase-activating protein for RAB2A, RAB8A, RAB10 and RAB14. Isoform 2 promotes insulin-induced glucose transporter SLC2A4/GLUT4 translocation at the plasma membrane, thus increasing glucose uptake.
See full target information TBC1D4

Publications (11)

Recent publications for all applications. Explore the full list and refine your search

Science advances 10:eadq4461 PubMed39475607

2024

Reducing the mitochondrial oxidative burden alleviates lipid-induced muscle insulin resistance in humans.

Applications

Unspecified application

Species

Unspecified reactive species

Matteo Fiorenza,Johan Onslev,Carlos Henríquez-Olguín,Kaspar W Persson,Sofie A Hesselager,Thomas E Jensen,Jørgen F P Wojtaszewski,Morten Hostrup,Jens Bangsbo

eLife 12: PubMed37073948

2023

Microtubule-mediated GLUT4 trafficking is disrupted in insulin-resistant skeletal muscle.

Applications

Unspecified application

Species

Unspecified reactive species

Jonas R Knudsen,Kaspar W Persson,Carlos Henriquez-Olguin,Zhencheng Li,Nicolas Di Leo,Sofie A Hesselager,Steffen H Raun,Janne R Hingst,Raphaël Trouillon,Martin Wohlwend,Jørgen F P Wojtaszewski,Martin A M Gijs,Thomas Elbenhardt Jensen

Antioxidants (Basel, Switzerland) 12: PubMed36978970

2023

Inhibiting NLRP3 Inflammasome Activation by CY-09 Helps to Restore Cerebral Glucose Metabolism in 3×Tg-AD Mice.

Applications

Unspecified application

Species

Unspecified reactive species

Shuangxue Han,Zhijun He,Xia Hu,Xiaoqian Li,Kaixin Zheng,Yingying Huang,Peng Xiao,Qingguo Xie,Jiazuan Ni,Qiong Liu

Oxidative medicine and cellular longevity 2022:6196173 PubMed35602095

2022

Blockage of Fibronectin 1 Ameliorates Myocardial Ischemia/Reperfusion Injury in Association with Activation of AMP-LKB1-AMPK Signaling Pathway.

Applications

Unspecified application

Species

Unspecified reactive species

Yun-Long Zhang,Pang-Bo Li,Xiao Han,Bo Zhang,Hui-Hua Li

Diabetes 71:906-920 PubMed35192682

2022

Illumination of the Endogenous Insulin-Regulated TBC1D4 Interactome in Human Skeletal Muscle.

Applications

Unspecified application

Species

Unspecified reactive species

Jeppe K Larsen,Magnus R Larsen,Jesper B Birk,Dorte E Steenberg,Janne R Hingst,Kurt Højlund,Alexandra Chadt,Hadi Al-Hasani,Atul S Deshmukh,Jørgen F P Wojtaszewski,Rasmus Kjøbsted

American journal of physiology. Endocrinology and metabolism 321:E392-E409 PubMed34370593

2021

Central GLP-1 contributes to improved cognitive function and brain glucose uptake after duodenum-jejunum bypass on obese and diabetic rats.

Applications

Unspecified application

Species

Unspecified reactive species

Rexiati Ruze,Qian Xu,Guoqin Liu,Yuekai Li,Weijie Chen,Zhiqiang Cheng,Yacheng Xiong,Shaozhuang Liu,Guangyong Zhang,Sanyuan Hu,Zhibo Yan

Diabetologia 63:2641-2653 PubMed32945898

2020

Insulin resistance induced by growth hormone is linked to lipolysis and associated with suppressed pyruvate dehydrogenase activity in skeletal muscle: a 2 × 2 factorial, randomised, crossover study in human individuals.

Applications

Unspecified application

Species

Unspecified reactive species

Astrid J Hjelholt,Evelina Charidemou,Julian L Griffin,Steen B Pedersen,Anders Gudiksen,Henriette Pilegaard,Niels Jessen,Niels Møller,Jens O L Jørgensen

Nature communications 11:1560 PubMed32214091

2020

Housing temperature influences exercise training adaptations in mice.

Applications

Unspecified application

Species

Unspecified reactive species

Steffen H Raun,Carlos Henriquez-Olguín,Iuliia Karavaeva,Mona Ali,Lisbeth L V Møller,Witold Kot,Josué L Castro-Mejía,Dennis Sandris Nielsen,Zachary Gerhart-Hines,Erik A Richter,Lykke Sylow

PloS one 15:e0228895 PubMed32032388

2020

Elucidating the mechanism of action of alpha-1-antitrypsin using retinal pigment epithelium cells exposed to high glucose. Potential use in diabetic retinopathy.

Applications

Unspecified application

Species

Unspecified reactive species

María Constanza Potilinski,Gustavo A Ortíz,Juan P Salica,Emiliano S López,Mariano Fernández Acquier,Eduardo Chuluyan,Juan E Gallo

Journal of cachexia, sarcopenia and muscle 10:1241-1257 PubMed31402604

2019

Mechanisms involved in follistatin-induced hypertrophy and increased insulin action in skeletal muscle.

Applications

Unspecified application

Species

Unspecified reactive species

Xiuqing Han,Lisbeth Liliendal Valbjørn Møller,Estelle De Groote,Kirstine Nyvold Bojsen-Møller,Jonathan Davey,Carlos Henríquez-Olguin,Zhencheng Li,Jonas Roland Knudsen,Thomas Elbenhardt Jensen,Sten Madsbad,Paul Gregorevic,Erik Arne Richter,Lykke Sylow
View all publications

Product promise

We are committed to supporting your work with high-quality reagents, and we're here for you every step of the way. In the unlikely event that one of our products does not perform as expected, you're protected by our Product Promise.
For full details, please see our Terms & Conditions

Please note: All products are 'FOR RESEARCH USE ONLY. NOT FOR USE IN DIAGNOSTIC OR THERAPEUTIC PROCEDURES'.

For licensing inquiries, please contact partnerships@abcam.com