JavaScript is disabled in your browser. Please enable JavaScript to view this website.
AB154401

Anti-ASAH1 antibody

Be the first to review this product! Submit a review

|

(1 Publication)

Rabbit Polyclonal ASAH1 antibody. Suitable for IHC-P, WB and reacts with Human samples. Cited in 1 publication. Immunogen corresponding to Recombinant Fragment Protein within Human ASAH1 aa 150 to C-terminus.

View Alternative Names

ASAH, HSD-33, HSD33, ASAH1, Acid ceramidase, AC, ACDase, Acid CDase, Acylsphingosine deacylase, Glycosylceramide deacylase, N-acylethanolamine hydrolase ASAH1, N-acylsphingosine amidohydrolase, Putative 32 kDa heart protein, PHP32

2 Images
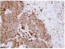
Immunohistochemistry (Formalin/PFA-fixed paraffin-embedded sections) - Anti-ASAH1 antibody (AB154401)
  • IHC-P

Unknown

Immunohistochemistry (Formalin/PFA-fixed paraffin-embedded sections) - Anti-ASAH1 antibody (AB154401)

Immunohistochemical analysis of paraffin embedded Human Adenocarcinoma tissue labeling ASAH1 with ab154401 antibody at 1/500.

Western blot - Anti-ASAH1 antibody (AB154401)
  • WB

Supplier Data

Western blot - Anti-ASAH1 antibody (AB154401)

Samples were separated by 15% SDS PAGE.

All lanes:

Western blot - Anti-ASAH1 antibody (ab154401) at 1/1000 dilution

Lane 1:

RT-4 whole cell extracts at 30 µg

Lane 2:

293T whole cell extracts at 30 µg

Secondary

All lanes:

HRP-conjugated anti-rabbit IgG antibody

Predicted band size: 45 kDa

false

Key facts

Host species

Rabbit

Clonality

Polyclonal

Isotype

IgG

Carrier free

No

Reacts with

Human

Applications

IHC-P, WB

applications

Immunogen

Recombinant Fragment Protein within Human ASAH1 aa 150 to C-terminus. The exact immunogen used to generate this antibody is proprietary information.

Q13510

Reactivity data

{ "title": "Reactivity Data", "filters": { "stats": ["", "Species", "Dilution Info", "Notes"], "tabs": { "all-applications": {"fullname" : "All Applications", "shortname": "All Applications"}, "IHCP" : {"fullname" : "Immunohistochemistry (Formalin/PFA-fixed paraffin-embedded sections)", "shortname":"IHC-P"}, "WB" : {"fullname" : "Western blot", "shortname":"WB"} }, "product-promise": { "all": "all", "testedAndGuaranteed": "tested", "guaranteed": "expected", "predicted": "predicted", "notRecommended": "not-recommended" } }, "values": { "Human": { "IHCP-species-checked": "testedAndGuaranteed", "IHCP-species-dilution-info": "1/100 - 1/1000", "IHCP-species-notes": "<p>Alternatively use Tris-EDTA buffer (pH8.0).</p>", "WB-species-checked": "testedAndGuaranteed", "WB-species-dilution-info": "1/500 - 1/3000", "WB-species-notes": "<p></p>" } } }

Properties and storage information

Form
Liquid
Purification technique
Affinity purification Immunogen
Storage buffer
pH: 7 Preservative: 0.025% Proclin 300 Constituents: PBS, 20% Glycerol (glycerin, glycerine)
Shipped at conditions
Blue Ice
Appropriate short-term storage conditions
+4°C
Appropriate long-term storage conditions
-20°C
Aliquoting information
Upon delivery aliquot
Storage information
Avoid freeze / thaw cycle

Supplementary information

This supplementary information is collated from multiple sources and compiled automatically.

ASAH1 also known as acid ceramidase or alkaline ceramidase is an enzyme that plays a role in the hydrolysis of ceramides into sphingosine and free fatty acids. It has a mass of approximately 55 kDa. This enzyme is primarily found in lysosomes cellular organelles that manage waste. ASAH1 is expressed in various tissues including liver heart brain and skin illustrating its widespread distribution in the body.
Biological function summary

ASAH1 influences several important cellular processes by controlling the levels of ceramide and sphingosine. These lipids are not just structural components of membranes; they participate actively in cell signaling. ASAH1 exists as part of a larger complex that includes other enzymes involved in sphingolipid metabolism. Changes in ceramide levels influence apoptosis and cell proliferation indicating ASAH1's role as a regulator in these processes.

Pathways

ASAH1 is central to the sphingolipid metabolism pathway. This pathway is interconnected with the apoptosis signaling pathway. By converting ceramide to sphingosine ASAH1 links the complex ceramide/sphingosine balance affecting cell survival and death decisions. It interacts with other enzymes such as sphingosine kinase 1 and ceramide synthases which further maintain the dynamic regulation between sphingosine and ceramide levels.

ASAH1 is linked to conditions such as Farber disease and spinal muscular atrophy. These disorders result from dysfunctional ceramide metabolism causing cellular and systemic impacts due to excessive ceramide accumulation. Proteins like acid sphingomyelinase are related to ASAH1's role in these diseases as both contribute to sphingolipid balance in cells. Understanding ASAH1 and its pathways provides insights into potential therapeutic targets for these sphingolipid-related disorders.

Product protocols

For this product, it's our understanding that no specific protocols are required. You can visit:

Target data

Lysosomal ceramidase that hydrolyzes sphingolipid ceramides into sphingosine and free fatty acids at acidic pH (PubMed : 10610716, PubMed : 11451951, PubMed : 15655246, PubMed : 26898341, PubMed : 36752535, PubMed : 7744740, PubMed : 7852294). Ceramides, sphingosine, and its phosphorylated form sphingosine-1-phosphate are bioactive lipids that mediate cellular signaling pathways regulating several biological processes including cell proliferation, apoptosis and differentiation (PubMed : 10610716). Has a higher catalytic efficiency towards C12-ceramides versus other ceramides (PubMed : 15655246, PubMed : 7744740). Also catalyzes the reverse reaction allowing the synthesis of ceramides from fatty acids and sphingosine (PubMed : 12764132, PubMed : 12815059). For the reverse synthetic reaction, the natural sphingosine D-erythro isomer is more efficiently utilized as a substrate compared to D-erythro-dihydrosphingosine and D-erythro-phytosphingosine, while the fatty acids with chain lengths of 12 or 14 carbons are the most efficiently used (PubMed : 12764132). Has also an N-acylethanolamine hydrolase activity (PubMed : 15655246). By regulating the levels of ceramides, sphingosine and sphingosine-1-phosphate in the epidermis, mediates the calcium-induced differentiation of epidermal keratinocytes (PubMed : 17713573). Also indirectly regulates tumor necrosis factor/TNF-induced apoptosis (By similarity). By regulating the intracellular balance between ceramides and sphingosine, in adrenocortical cells, probably also acts as a regulator of steroidogenesis (PubMed : 22261821).. Isoform 2. May directly regulate steroidogenesis by binding the nuclear receptor NR5A1 and negatively regulating its transcriptional activity.
See full target information ASAH1

Publications (1)

Recent publications for all applications. Explore the full list and refine your search

Cell reports. Medicine 4:101006 PubMed37044092

2023

MYC activation impairs cell-intrinsic IFNγ signaling and confers resistance to anti-PD1/PD-L1 therapy in lung cancer.

Applications

Unspecified application

Species

Unspecified reactive species

Juan J Alburquerque-Bejar,Pablo Navajas-Chocarro,Maria Saigi,Ana Ferrero-Andres,Juan M Morillas,Andrea Vilarrubi,Antonio Gomez,José L Mate,Ana M Munoz-Marmol,Octavio A Romero,Pedro Blecua,Veronica Davalos,Manel Esteller,Eva Pros,Paula Llabata,Manuel Torres-Diz,Anna Esteve-Codina,Montse Sanchez-Cespedes
View all publications

Product promise

We are committed to supporting your work with high-quality reagents, and we're here for you every step of the way. In the unlikely event that one of our products does not perform as expected, you're protected by our Product Promise.
For full details, please see our Terms & Conditions

Please note: All products are 'FOR RESEARCH USE ONLY. NOT FOR USE IN DIAGNOSTIC OR THERAPEUTIC PROCEDURES'.

For licensing inquiries, please contact partnerships@abcam.com