JavaScript is disabled in your browser. Please enable JavaScript to view this website.
AB282276

Anti-ASAH1 antibody [EPR24476-30]

  • BOND RX™ Validated
  • 20ul selling size
  • RabMAb
  • Recombinant
  • What is this?

Be the first to review this product! Submit a review

|

(3 Publications)

Rabbit Recombinant Monoclonal ASAH1 antibody. Suitable for WB, IHC-P and reacts with Mouse, Rat, Human samples. Cited in 3 publications.

View Alternative Names

ASAH, HSD-33, HSD33, ASAH1, Acid ceramidase, AC, ACDase, Acid CDase, Acylsphingosine deacylase, Glycosylceramide deacylase, N-acylethanolamine hydrolase ASAH1, N-acylsphingosine amidohydrolase, Putative 32 kDa heart protein, PHP32

10 Images
Immunohistochemistry (Formalin/PFA-fixed paraffin-embedded sections) - Anti-ASAH1 antibody [EPR24476-30] (AB282276)
  • IHC-P

Supplier Data

Immunohistochemistry (Formalin/PFA-fixed paraffin-embedded sections) - Anti-ASAH1 antibody [EPR24476-30] (AB282276)

Immunohistochemical analysis of paraffin-embedded human bladder cancer tissue labelling ASAH1 with ab282276 at 1/5000 dilution (0.118 ug/ml) followed by a ready to use LeicaDS9800 (Bond™ Polymer Refine Detection). Positive staining on bladder cancer. The section was incubated with ab282276 for 30 mins at room temperature. The immunostaining was performed on a Leica Biosystems BOND® RX instrument. Counterstained with Hematoxylin.

Secondary antibody only control : Secondary antibody is a ready to use LeicaDS9800 (Bond™ Polymer Refine Detection).

Heat mediated antigen retrieval with Citrate buffer (pH 6.0, epitope retrieval solution 1) for 20 mins

Immunohistochemistry (Formalin/PFA-fixed paraffin-embedded sections) - Anti-ASAH1 antibody [EPR24476-30] (AB282276)
  • IHC-P

Supplier Data

Immunohistochemistry (Formalin/PFA-fixed paraffin-embedded sections) - Anti-ASAH1 antibody [EPR24476-30] (AB282276)

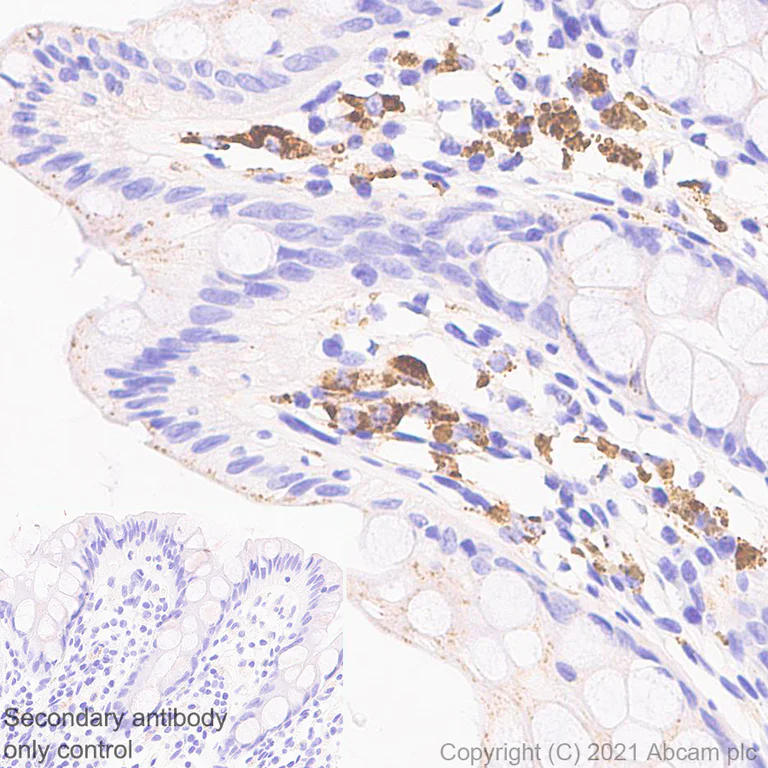
Immunohistochemical analysis of paraffin-embedded human colon tissue labelling ASAH1 with ab282276 at 1/5000 dilution (0.118 ug/ml) followed by a ready to use LeicaDS9800 (Bond™ Polymer Refine Detection). Positive staining on human colon (PMID : 29920241). The section was incubated with ab282276 for 30 mins at room temperature. The immunostaining was performed on a Leica Biosystems BOND® RX instrument. Counterstained with Hematoxylin.

Secondary antibody only control : Secondary antibody is a ready to use LeicaDS9800 (Bond™ Polymer Refine Detection).

Heat mediated antigen retrieval with Citrate buffer (pH 6.0, epitope retrieval solution 1) for 20 mins

Immunohistochemistry (Formalin/PFA-fixed paraffin-embedded sections) - Anti-ASAH1 antibody [EPR24476-30] (AB282276)
  • IHC-P

Supplier Data

Immunohistochemistry (Formalin/PFA-fixed paraffin-embedded sections) - Anti-ASAH1 antibody [EPR24476-30] (AB282276)

Immunohistochemical analysis of paraffin-embedded human breast cancer tissue labelling ASAH1 with ab282276 at 1/5000 dilution (0.118 ug/ml) followed by a ready to use LeicaDS9800 (Bond™ Polymer Refine Detection). Positive staining on human breast cancer. The section was incubated with ab282276 for 30 mins at room temperature. The immunostaining was performed on a Leica Biosystems BOND® RX instrument. Counterstained with Hematoxylin.

Secondary antibody only control : Secondary antibody is a ready to use LeicaDS9800 (Bond™ Polymer Refine Detection).

Heat mediated antigen retrieval with Citrate buffer (pH 6.0, epitope retrieval solution 1) for 20 mins

Immunohistochemistry (Formalin/PFA-fixed paraffin-embedded sections) - Anti-ASAH1 antibody [EPR24476-30] (AB282276)
  • IHC-P

Supplier Data

Immunohistochemistry (Formalin/PFA-fixed paraffin-embedded sections) - Anti-ASAH1 antibody [EPR24476-30] (AB282276)

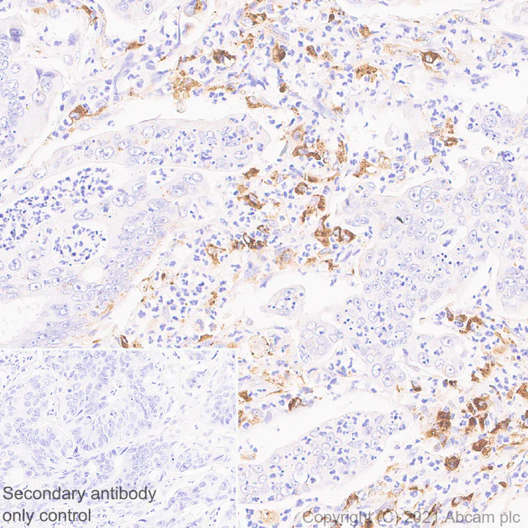
Immunohistochemical analysis of paraffin-embedded human colon cancer tissue labelling ASAH1 with ab282276 at 1/5000 dilution (0.118 ug/ml) followed by a ready to use LeicaDS9800 (Bond™ Polymer Refine Detection). Positive staining on human colon cancer. The section was incubated with ab282276 for 30 mins at room temperature. The immunostaining was performed on a Leica Biosystems BOND® RX instrument. Counterstained with Hematoxylin.

Secondary antibody only control : Secondary antibody is a ready to use LeicaDS9800 (Bond™ Polymer Refine Detection).

Heat mediated antigen retrieval with Citrate buffer (pH 6.0, epitope retrieval solution 1) for 20 mins

Immunohistochemistry (Formalin/PFA-fixed paraffin-embedded sections) - Anti-ASAH1 antibody [EPR24476-30] (AB282276)
  • IHC-P

Supplier Data

Immunohistochemistry (Formalin/PFA-fixed paraffin-embedded sections) - Anti-ASAH1 antibody [EPR24476-30] (AB282276)

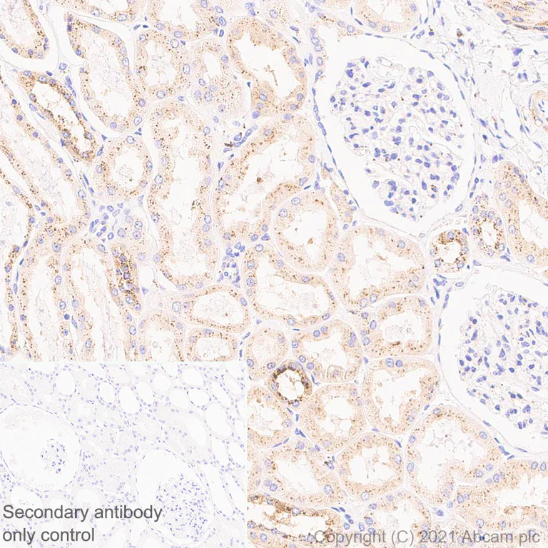
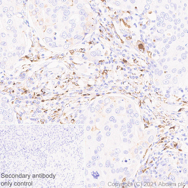
Immunohistochemical analysis of paraffin-embedded human kidney tissue labelling ASAH1 with ab282276 at 1/5000 dilution (0.118 ug/ml) followed by a ready to use LeicaDS9800 (Bond™ Polymer Refine Detection). Positive staining on human kidney. The section was incubated with ab282276 for 30 mins at room temperature. The immunostaining was performed on a Leica Biosystems BOND® RX instrument. Counterstained with Hematoxylin.

Secondary antibody only control : Secondary antibody is a ready to use LeicaDS9800 (Bond™ Polymer Refine Detection).

Heat mediated antigen retrieval with Citrate buffer (pH 6.0, epitope retrieval solution 1) for 20 mins

Immunohistochemistry (Formalin/PFA-fixed paraffin-embedded sections) - Anti-ASAH1 antibody [EPR24476-30] (AB282276)
  • IHC-P

Supplier Data

Immunohistochemistry (Formalin/PFA-fixed paraffin-embedded sections) - Anti-ASAH1 antibody [EPR24476-30] (AB282276)

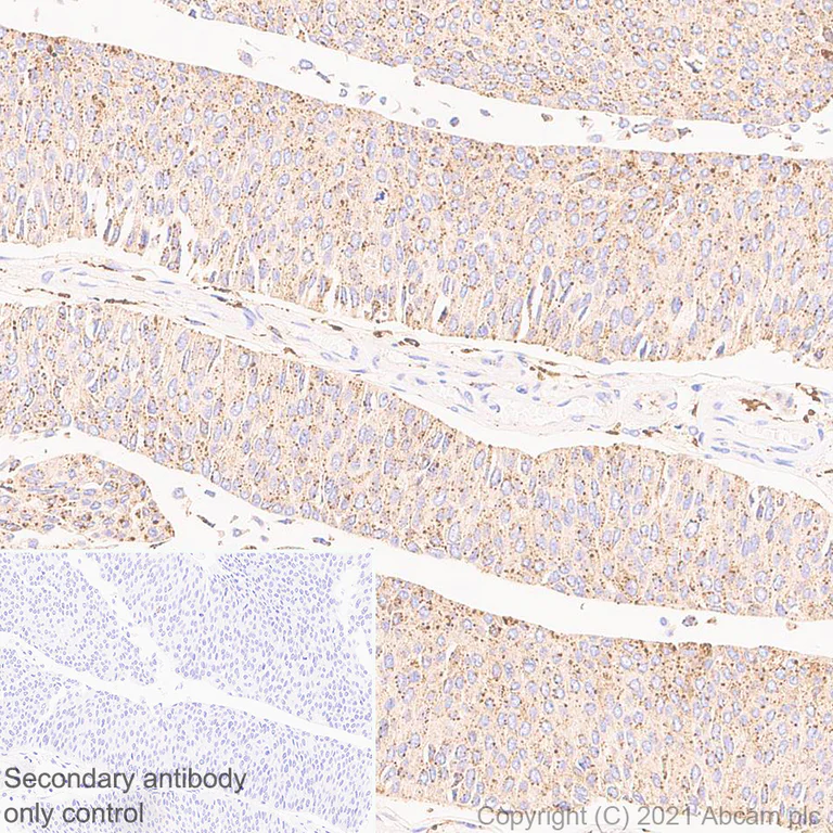
Immunohistochemical analysis of paraffin-embedded human cerebrum tissue labelling ASAH1 with ab282276 at 1/5000 dilution (0.118 ug/ml) followed by a ready to use LeicaDS9800 (Bond™ Polymer Refine Detection). Positive staining on human cerebrum. The section was incubated with ab282276 for 30 mins at room temperature. The immunostaining was performed on a Leica Biosystems BOND® RX instrument. Counterstained with Hematoxylin.

Secondary antibody only control : Secondary antibody is a ready to use LeicaDS9800 (Bond™ Polymer Refine Detection).

Heat mediated antigen retrieval with Citrate buffer (pH 6.0, epitope retrieval solution 1) for 20 mins

Immunoprecipitation - Anti-ASAH1 antibody [EPR24476-30] (AB282276)
  • IP

Supplier Data

Immunoprecipitation - Anti-ASAH1 antibody [EPR24476-30] (AB282276)

ASAH1 was immunoprecipitated from 0.35 mg SK-MEL-28 (human malignant melanoma cell ) whole cell lysate with ab322109 at 1/30 dilution (2ug in 0.35mg lysates). Western blot was performed on the immunoprecipitate using ab322109 at 1/1000 dilution. VeriBlot for IP secondary antibody(HRP)(ab131366) was used at 1/5000 dilution.

Lane 1 : SK-MEL-28 (human malignant melanoma cell ) whole cell lysate
Lane 2 : ab322109 IP in SK-MEL-28 (human malignant melanoma cell ) whole cell lysate
Lane 3 : Rabbit monoclonal IgG (ab172730) instead of ab322109 in SK-MEL-28 whole cell lysate

Blocking and dilution buffer and concentration : 5% NFDM/TBST

The IP experiment was performed by ab322109 using SK-MEL-28 lysate. The blot was probed by another anti-ASAH1 antibody (ab282276)(1 : 1000 dilution).

All lanes:

Immunoprecipitation - Anti-ASAH1 antibody [MJF-D29767-517] (<a href='/en-us/products/primary-antibodies/asah1-antibody-mjf-d29767-517-ab322109'>ab322109</a>) at 1/30 dilution

All lanes:

SK-MEL-28 (human malignant melanoma cell ) whole cell lysate

Secondary

All lanes:

Immunoprecipitation - VeriBlot for IP Detection Reagent (HRP) (<a href='/en-us/products/reagents/veriblot-for-ip-detection-reagent-hrp-ab131366'>ab131366</a>) at 1/5000 dilution

false

Exposure time: 180s

Western blot - Anti-ASAH1 antibody [EPR24476-30] (AB282276)
  • WB

Lab

Western blot - Anti-ASAH1 antibody [EPR24476-30] (AB282276)

Blocking and diluting buffer and concentration : 5% NFDM/TBST

The expression profile/molecular weight observed is consistent with what has been described in the literature (PMID : 7744740, 26553872, 30254208).

Exposure time : 70 seconds

All lanes:

Western blot - Anti-ASAH1 antibody [EPR24476-30] (ab282276) at 1/1000 dilution

Lane 1:

Human colon tissue lysate at 40 µg

Lane 2:

Human spleen tissue lysate at 40 µg

Lane 3:

Human heart tissue lysate at 40 µg

Secondary

All lanes:

Western blot - VeriBlot for IP Detection Reagent (HRP) (<a href='/en-us/products/reagents/veriblot-for-ip-detection-reagent-hrp-ab131366'>ab131366</a>) at 1/2000 dilution

Predicted band size: 45 kDa

Observed band size: 36 kDa,37 kDa

false

Western blot - Anti-ASAH1 antibody [EPR24476-30] (AB282276)
  • WB

Lab

Western blot - Anti-ASAH1 antibody [EPR24476-30] (AB282276)

Blocking and diluting buffer and concentration : 5% NFDM/TBST

The expression profile/molecular weight observed is consistent with what has been described in the literature (PMID : 7744740, 26553872, 30254208).

Negative control : A375 (PMID : 26553872, 30254208); MDA-MB-231 (PMID : 26553872).

Exposure time : 37 seconds

All lanes:

Western blot - Anti-ASAH1 antibody [EPR24476-30] (ab282276) at 1/1000 dilution

Lane 1:

SK-MEL-28 (human malignant melanoma) whole cell lysate at 20 µg

Lane 2:

MeWo (human malignant melanoma fibroblast) whole cell lysate at 20 µg

Lane 3:

A375 (human malignant melanoma epithelial cell) whole cell lysate at 20 µg

Lane 4:

MDA-MB-231 (human breast adenocarcinoma epithelial cell) whole cell lysate at 20 µg

Secondary

All lanes:

Western blot - VeriBlot for IP Detection Reagent (HRP) (<a href='/en-us/products/reagents/veriblot-for-ip-detection-reagent-hrp-ab131366'>ab131366</a>) at 1/5000 dilution

Predicted band size: 45 kDa

Observed band size: 37 kDa

false

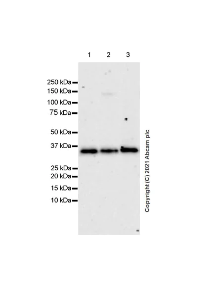
Western blot - Anti-ASAH1 antibody [EPR24476-30] (AB282276)
  • WB

Lab

Western blot - Anti-ASAH1 antibody [EPR24476-30] (AB282276)

Blocking and diluting buffer and concentration : 5% NFDM/TBST

The expression profile/molecular weight observed is consistent with what has been described in the literature (PMID : 7744740, 26553872, 30254208).

Exposure time : 147 seconds

All lanes:

Western blot - Anti-ASAH1 antibody [EPR24476-30] (ab282276) at 1/1000 dilution

Lane 1:

Mouse spleen tissue lysate at 40 µg

Lane 2:

Mouse colon tissue lysate at 40 µg

Lane 3:

Rat spleen tissue lysate at 40 µg

Secondary

All lanes:

Western blot - Goat Anti-Rabbit IgG H&L (HRP) (<a href='/en-us/products/secondary-antibodies/goat-rabbit-igg-h-l-hrp-ab97051'>ab97051</a>) at 1/100000 dilution

Predicted band size: 45 kDa

Observed band size: 36 kDa

false

  • Carrier free

    Anti-ASAH1 antibody [EPR24476-30] - BSA and Azide free

Key facts

Host species

Rabbit

Clonality

Monoclonal

Clone number

EPR24476-30

Isotype

IgG

Carrier free

No

Reacts with

Mouse, Rat, Human

Applications

IHC-P, WB

applications

Immunogen

The exact immunogen used to generate this antibody is proprietary information.

Reactivity data

{ "title": "Reactivity Data", "filters": { "stats": ["", "Species", "Dilution Info", "Notes"], "tabs": { "all-applications": {"fullname" : "All Applications", "shortname": "All Applications"}, "ICCIF" : {"fullname" : "Immunocytochemistry/ Immunofluorescence", "shortname":"ICC/IF"}, "IP" : {"fullname" : "Immunoprecipitation", "shortname":"IP"}, "WB" : {"fullname" : "Western blot", "shortname":"WB"}, "IHCP" : {"fullname" : "Immunohistochemistry (Formalin/PFA-fixed paraffin-embedded sections)", "shortname":"IHC-P"}, "FlowCytIntra" : {"fullname" : "Flow Cytometry (Intracellular)", "shortname":"Flow Cyt (Intra)"} }, "product-promise": { "all": "all", "testedAndGuaranteed": "tested", "guaranteed": "expected", "predicted": "predicted", "notRecommended": "not-recommended" } }, "values": { "Human": { "ICCIF-species-checked": "notRecommended", "ICCIF-species-dilution-info": "", "ICCIF-species-notes": "<p></p>", "IP-species-checked": "notRecommended", "IP-species-dilution-info": "", "IP-species-notes": "<p></p>", "WB-species-checked": "testedAndGuaranteed", "WB-species-dilution-info": "1/1000", "WB-species-notes": "<p></p>", "IHCP-species-checked": "testedAndGuaranteed", "IHCP-species-dilution-info": "1/5000", "IHCP-species-notes": "<p></p>", "FlowCytIntra-species-checked": "notRecommended", "FlowCytIntra-species-dilution-info": "", "FlowCytIntra-species-notes": "<p></p>" }, "Mouse": { "ICCIF-species-checked": "notRecommended", "ICCIF-species-dilution-info": "", "ICCIF-species-notes": "", "IP-species-checked": "notRecommended", "IP-species-dilution-info": "", "IP-species-notes": "", "WB-species-checked": "testedAndGuaranteed", "WB-species-dilution-info": "1/1000", "WB-species-notes": "<p></p>", "IHCP-species-checked": "notRecommended", "IHCP-species-dilution-info": "1/5000", "IHCP-species-notes": "<p></p>", "FlowCytIntra-species-checked": "notRecommended", "FlowCytIntra-species-dilution-info": "", "FlowCytIntra-species-notes": "<p></p>" }, "Rat": { "ICCIF-species-checked": "notRecommended", "ICCIF-species-dilution-info": "", "ICCIF-species-notes": "", "IP-species-checked": "notRecommended", "IP-species-dilution-info": "", "IP-species-notes": "", "WB-species-checked": "testedAndGuaranteed", "WB-species-dilution-info": "1/1000", "WB-species-notes": "<p></p>", "IHCP-species-checked": "notRecommended", "IHCP-species-dilution-info": "1/5000", "IHCP-species-notes": "<p></p>", "FlowCytIntra-species-checked": "notRecommended", "FlowCytIntra-species-dilution-info": "", "FlowCytIntra-species-notes": "<p></p>" } } }

Product details

Patented technology
Our RabMAb® technology is a patented hybridoma-based technology for making rabbit monoclonal antibodies. For details on our patents, please refer to RabMAb® patents.

What are the advantages of a recombinant monoclonal antibody?
This product is a recombinant monoclonal antibody, which offers several advantages including:

  • - High batch-to-batch consistency and reproducibility
  • - Improved sensitivity and specificity
  • - Long-term security of supply
  • - Animal-free batch production

For more information, read more on recombinant antibodies.

Properties and storage information

Form
Liquid
Purification technique
Affinity purification Protein A
Storage buffer
pH: 7.2 - 7.4 Preservative: 0.01% Sodium azide Constituents: PBS, 40% Glycerol (glycerin, glycerine), 0.05% BSA
Shipped at conditions
Blue Ice
Appropriate short-term storage duration
1-2 weeks
Appropriate short-term storage conditions
+4°C
Appropriate long-term storage conditions
-20°C
Aliquoting information
Upon delivery aliquot
Storage information
Avoid freeze / thaw cycle

Supplementary information

This supplementary information is collated from multiple sources and compiled automatically.

ASAH1 also known as acid ceramidase or alkaline ceramidase is an enzyme that plays a role in the hydrolysis of ceramides into sphingosine and free fatty acids. It has a mass of approximately 55 kDa. This enzyme is primarily found in lysosomes cellular organelles that manage waste. ASAH1 is expressed in various tissues including liver heart brain and skin illustrating its widespread distribution in the body.
Biological function summary

ASAH1 influences several important cellular processes by controlling the levels of ceramide and sphingosine. These lipids are not just structural components of membranes; they participate actively in cell signaling. ASAH1 exists as part of a larger complex that includes other enzymes involved in sphingolipid metabolism. Changes in ceramide levels influence apoptosis and cell proliferation indicating ASAH1's role as a regulator in these processes.

Pathways

ASAH1 is central to the sphingolipid metabolism pathway. This pathway is interconnected with the apoptosis signaling pathway. By converting ceramide to sphingosine ASAH1 links the complex ceramide/sphingosine balance affecting cell survival and death decisions. It interacts with other enzymes such as sphingosine kinase 1 and ceramide synthases which further maintain the dynamic regulation between sphingosine and ceramide levels.

ASAH1 is linked to conditions such as Farber disease and spinal muscular atrophy. These disorders result from dysfunctional ceramide metabolism causing cellular and systemic impacts due to excessive ceramide accumulation. Proteins like acid sphingomyelinase are related to ASAH1's role in these diseases as both contribute to sphingolipid balance in cells. Understanding ASAH1 and its pathways provides insights into potential therapeutic targets for these sphingolipid-related disorders.

Product protocols

For this product, it's our understanding that no specific protocols are required. You can visit:

Target data

Lysosomal ceramidase that hydrolyzes sphingolipid ceramides into sphingosine and free fatty acids at acidic pH (PubMed : 10610716, PubMed : 11451951, PubMed : 15655246, PubMed : 26898341, PubMed : 36752535, PubMed : 7744740, PubMed : 7852294). Ceramides, sphingosine, and its phosphorylated form sphingosine-1-phosphate are bioactive lipids that mediate cellular signaling pathways regulating several biological processes including cell proliferation, apoptosis and differentiation (PubMed : 10610716). Has a higher catalytic efficiency towards C12-ceramides versus other ceramides (PubMed : 15655246, PubMed : 7744740). Also catalyzes the reverse reaction allowing the synthesis of ceramides from fatty acids and sphingosine (PubMed : 12764132, PubMed : 12815059). For the reverse synthetic reaction, the natural sphingosine D-erythro isomer is more efficiently utilized as a substrate compared to D-erythro-dihydrosphingosine and D-erythro-phytosphingosine, while the fatty acids with chain lengths of 12 or 14 carbons are the most efficiently used (PubMed : 12764132). Has also an N-acylethanolamine hydrolase activity (PubMed : 15655246). By regulating the levels of ceramides, sphingosine and sphingosine-1-phosphate in the epidermis, mediates the calcium-induced differentiation of epidermal keratinocytes (PubMed : 17713573). Also indirectly regulates tumor necrosis factor/TNF-induced apoptosis (By similarity). By regulating the intracellular balance between ceramides and sphingosine, in adrenocortical cells, probably also acts as a regulator of steroidogenesis (PubMed : 22261821).. Isoform 2. May directly regulate steroidogenesis by binding the nuclear receptor NR5A1 and negatively regulating its transcriptional activity.
See full target information ASAH1

Publications (3)

Recent publications for all applications. Explore the full list and refine your search

Translational cancer research 13:1954-1968 PubMed38737677

2024

Contribution of sphingomyelin phosphodiesterase acid-like 3B to the proliferation, migration, and invasion of ovarian cancer cells.

Applications

Unspecified application

Species

Unspecified reactive species

Baozhi Song,Yu Jiang,Ying Lin,Jiahua Liu,Yatao Jiang

Infection and drug resistance 16:2573-2588 PubMed37144155

2023

Decreased Sphingosine Due to Down-Regulation of Acid Ceramidase Expression in Airway of Bronchiectasis Patients: A Potential Contributor to Infection.

Applications

Unspecified application

Species

Unspecified reactive species

Qian Qi,Jiawei Xu,Yujiao Wang,Jian Zhang,Mingxia Gao,Yu Li,Liang Dong

International journal of molecular sciences 22: PubMed34769061

2021

Transcriptional Differences in Lipid-Metabolizing Enzymes in Murine Sebocytes Derived from Sebaceous Glands of the Skin and Preputial Glands.

Applications

Unspecified application

Species

Unspecified reactive species

Katharina Klas,Dragan Copic,Martin Direder,Maria Laggner,Patricia Sandee Prucksamas,Florian Gruber,Hendrik Jan Ankersmit,Michael Mildner
View all publications

Product promise

We are committed to supporting your work with high-quality reagents, and we're here for you every step of the way. In the unlikely event that one of our products does not perform as expected, you're protected by our Product Promise.
For full details, please see our Terms & Conditions

Please note: All products are 'FOR RESEARCH USE ONLY. NOT FOR USE IN DIAGNOSTIC OR THERAPEUTIC PROCEDURES'.

For licensing inquiries, please contact partnerships@abcam.com