JavaScript is disabled in your browser. Please enable JavaScript to view this website.
AB228827

Anti-ASCC2 antibody

Be the first to review this product! Submit a review

|

(2 Publications)

Rabbit Polyclonal ASCC2 antibody. Suitable for WB, IHC-P, ICC/IF and reacts with Human samples. Cited in 2 publications. Immunogen corresponding to Recombinant Fragment Protein within Human ASCC2.

View Alternative Names

ASC1P100, RQT3, ASCC2, Activating signal cointegrator 1 complex subunit 2, ASC-1 complex subunit p100, Trip4 complex subunit p100

3 Images
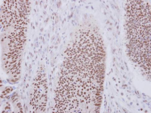
Immunohistochemistry (Formalin/PFA-fixed paraffin-embedded sections) - Anti-ASCC2 antibody (AB228827)
  • IHC-P

Supplier Data

Immunohistochemistry (Formalin/PFA-fixed paraffin-embedded sections) - Anti-ASCC2 antibody (AB228827)

Paraffin-embedded human breast cancer tissue stained for ASCC2 using ab228827 at 1/500 dilution in immunohistochemical analysis.

Immunocytochemistry/ Immunofluorescence - Anti-ASCC2 antibody (AB228827)
  • ICC/IF

Supplier Data

Immunocytochemistry/ Immunofluorescence - Anti-ASCC2 antibody (AB228827)

Methanol-fixed HeLa (human epithelial cell line from cervix adenocarcinoma) cells stained for ASCC2 (green) using ab228827 at 1/500 dilution in ICC/IF.

Blue : Hoechst 33342 staining.

Western blot - Anti-ASCC2 antibody (AB228827)
  • WB

Supplier Data

Western blot - Anti-ASCC2 antibody (AB228827)

7.5% SDS-PAGE gel.

All lanes:

Western blot - Anti-ASCC2 antibody (ab228827) at 1/5000 dilution

Lane 1:

HeLa (human epithelial cell line from cervix adenocarcinoma) whole cell lysate at 30 µg

Lane 2:

HepG2 (human liver hepatocellular carcinoma cell line) whole cell lysate at 30 µg

Predicted band size: 86 kDa

false

Key facts

Host species

Rabbit

Clonality

Polyclonal

Isotype

IgG

Carrier free

No

Reacts with

Human

Applications

WB, ICC/IF, IHC-P

applications

Immunogen

Recombinant Fragment Protein within Human ASCC2. The exact immunogen used to generate this antibody is proprietary information.

Q9H1I8

Reactivity data

{ "title": "Reactivity Data", "filters": { "stats": ["", "Species", "Dilution Info", "Notes"], "tabs": { "all-applications": {"fullname" : "All Applications", "shortname": "All Applications"}, "WB" : {"fullname" : "Western blot", "shortname":"WB"}, "IHCP" : {"fullname" : "Immunohistochemistry (Formalin/PFA-fixed paraffin-embedded sections)", "shortname":"IHC-P"}, "ICCIF" : {"fullname" : "Immunocytochemistry/ Immunofluorescence", "shortname":"ICC/IF"} }, "product-promise": { "all": "all", "testedAndGuaranteed": "tested", "guaranteed": "expected", "predicted": "predicted", "notRecommended": "not-recommended" } }, "values": { "Human": { "WB-species-checked": "testedAndGuaranteed", "WB-species-dilution-info": "1/1000 - 1/10000", "WB-species-notes": "<p></p>", "IHCP-species-checked": "testedAndGuaranteed", "IHCP-species-dilution-info": "1/100 - 1/1000", "IHCP-species-notes": "<p></p>", "ICCIF-species-checked": "testedAndGuaranteed", "ICCIF-species-dilution-info": "1/100 - 1/1000", "ICCIF-species-notes": "<p></p>" } } }

Properties and storage information

Form
Liquid
Purification technique
Affinity purification Immunogen
Storage buffer
pH: 7 Preservative: 0.01% Thimerosal (merthiolate) Constituents: PBS, 20% Glycerol (glycerin, glycerine), 1% BSA
Shipped at conditions
Blue Ice
Appropriate short-term storage duration
1-2 weeks
Appropriate short-term storage conditions
+4°C
Appropriate long-term storage conditions
-20°C
Aliquoting information
Upon delivery aliquot
Storage information
Avoid freeze / thaw cycle

Supplementary information

This supplementary information is collated from multiple sources and compiled automatically.

The protein known as ASCC2 also referred to as Activating Signal Cointegrator 2 Complex Subunit 2 functions mechanically as a regulator in cellular processes. ASCC2 has a molecular mass of approximately 95 kDa. This protein plays a role in transcriptional regulation and is expressed in various tissues including the brain and liver. By interacting with other proteins ASCC2 acts in the modification of gene expression impacting cell behavior and function.
Biological function summary

ASCC2 forms part of the ASCC complex contributing to DNA repair processes and the regulation of transcription. The complex holds an important position in maintaining genomic integrity which is necessary for proper cellular function. Scientists recognize ASCC2 for its role in modulating transcriptional responses to environmental stressors by interacting with specific transcription factors. Its involvement in these processes highlights the importance of ASCC2 in cellular adaptability and resilience.

Pathways

ASCC2 interacts with important biological routes such as the transcription regulation pathway and the DNA damage response pathway. Within these pathways ASCC2 partners with proteins like ASCC1 and ASCC3 working in coordination to regulate cellular stress responses and repair DNA. This interaction highlights ASCC2’s pivotal role in maintaining cellular homeostasis and adaptability to stress conditions.

ASCC2 holds relevance in conditions such as cancer and neurodegenerative disorders. Its interactions can influence pathogenesis and progression in these diseases. The protein links to other figures implicated in these processes such as ASCC1 with ASCC2's expression levels often correlating with disease states. Understanding its mechanisms and interdependencies highlights the potential for ASCC2 as a target in therapeutic strategies for these conditions.

Product protocols

For this product, it's our understanding that no specific protocols are required. You can visit:

Target data

Ubiquitin-binding protein involved in DNA repair and rescue of stalled ribosomes (PubMed : 29144457, PubMed : 32099016, PubMed : 32579943, PubMed : 36302773). Plays a role in DNA damage repair as component of the ASCC complex (PubMed : 29144457). Recruits ASCC3 and ALKBH3 to sites of DNA damage by binding to polyubiquitinated proteins that have 'Lys-63'-linked polyubiquitin chains (PubMed : 29144457). Part of the ASC-1 complex that enhances NF-kappa-B, SRF and AP1 transactivation (PubMed : 12077347). Involved in activation of the ribosome quality control (RQC) pathway, a pathway that degrades nascent peptide chains during problematic translation (PubMed : 32099016, PubMed : 32579943, PubMed : 36302773). Specifically recognizes and binds RPS20/uS10 ubiquitinated by ZNF598, promoting recruitment of the RQT (ribosome quality control trigger) complex on stalled ribosomes, followed by disassembly of stalled ribosomes (PubMed : 36302773).
See full target information ASCC2

Publications (2)

Recent publications for all applications. Explore the full list and refine your search

The Journal of biological chemistry 299:102908 PubMed36642180

2023

Protein engineering reveals that gasdermin A preferentially targets mitochondrial membranes over the plasma membrane during pyroptosis.

Applications

Unspecified application

Species

Unspecified reactive species

Hannah C Kondolf,Dana A D'Orlando,George R Dubyak,Derek W Abbott

Molecular cell 82:1557-1572.e7 PubMed35180429

2022

Unresolved stalled ribosome complexes restrict cell-cycle progression after genotoxic stress.

Applications

Unspecified application

Species

Unspecified reactive species

Mark Stoneley,Robert F Harvey,Thomas E Mulroney,Ryan Mordue,Rebekah Jukes-Jones,Kelvin Cain,Kathryn S Lilley,Ritwick Sawarkar,Anne E Willis
View all publications

Product promise

We are committed to supporting your work with high-quality reagents, and we're here for you every step of the way. In the unlikely event that one of our products does not perform as expected, you're protected by our Product Promise.
For full details, please see our Terms & Conditions

Please note: All products are 'FOR RESEARCH USE ONLY. NOT FOR USE IN DIAGNOSTIC OR THERAPEUTIC PROCEDURES'.

For licensing inquiries, please contact partnerships@abcam.com