JavaScript is disabled in your browser. Please enable JavaScript to view this website.
AB317502

Anti-ASF1A antibody [EPR28755-1]

Be the first to review this product! Submit a review

|

(0 Publication)

Rabbit Recombinant Monoclonal ASF1A antibody. Suitable for WB, Flow Cyt (Intra) and reacts with Recombinant fragment - Human, Human, Mouse samples.

View Alternative Names

CGI-98, HSPC146, ASF1A, Histone chaperone ASF1A, Anti-silencing function protein 1 homolog A, CCG1-interacting factor A, hAsf1, hAsf1a, CIA, hCIA

5 Images
Flow Cytometry (Intracellular) - Anti-ASF1A antibody [EPR28755-1] (AB317502)
  • Flow Cyt (Intra)

Supplier Data

Flow Cytometry (Intracellular) - Anti-ASF1A antibody [EPR28755-1] (AB317502)

Flow cytometric analysis of 4% paraformaldehyde fixed 90% methanol permeabilized HeLa (human cervical adenocarcinoma epithelial cell) cells labelling ASF1A with ab317502 at 1/500 dilution (0.1 ug)/Red compared with a Rabbit monoclonal IgG (ab172730) (Black) isotype control and an unlabelled control (cells without incubation with primary antibody and secondary antibody) (Blue).

Goat Anti-Rabbit IgG (Alexa Fluor® 488, ab150081) at 1/5000 dilution was used as the secondary antibody.

Flow Cytometry (Intracellular) - Anti-ASF1A antibody [EPR28755-1] (AB317502)
  • Flow Cyt (Intra)

Supplier Data

Flow Cytometry (Intracellular) - Anti-ASF1A antibody [EPR28755-1] (AB317502)

Flow cytometric analysis of 4% paraformaldehyde fixed 90% methanol permeabilized NIH/3T3 (mouse embryonic fibroblast) cells labelling ASF1A with ab317502 at 1/500 dilution (0.1 ug)/Red compared with a Rabbit monoclonal IgG (ab172730) (Black) isotype control and an unlabelled control (cells without incubation with primary antibody and secondary antibody) (Blue).

Goat Anti-Rabbit IgG (Alexa Fluor® 488, ab150081) at 1/5000 dilution was used as the secondary antibody.

Western blot - Anti-ASF1A antibody [EPR28755-1] (AB317502)
  • WB

Supplier Data

Western blot - Anti-ASF1A antibody [EPR28755-1] (AB317502)

In Western blot, Anti-GAPDH antibody [EPR16891] - Loading Control (ab181602) staining at 1/200000 dilution.

All lanes:

Western blot - Anti-ASF1A antibody [EPR28755-1] (ab317502) at 1/1000 dilution

Lane 1:

HeLa (human cervical adenocarcinoma epithelial cell) transfected with scrambled siRNA control whole cell lysate at 20 µg

Lane 2:

HeLa transfected with siRNA specifically targeting ASF1A whole cell lysate at 20 µg

Secondary

All lanes:

Western blot - Goat Anti-Rabbit IgG H&L (HRP) (<a href='/en-us/products/secondary-antibodies/goat-rabbit-igg-h-l-hrp-ab97051'>ab97051</a>) at 1/20000 dilution

Observed band size: 19 kDa,36 kDa

false

Exposure time: 180s

Western blot - Anti-ASF1A antibody [EPR28755-1] (AB317502)
  • WB

Supplier Data

Western blot - Anti-ASF1A antibody [EPR28755-1] (AB317502)

All lanes:

Western blot - Anti-ASF1A antibody [EPR28755-1] (ab317502) at 1/1000 dilution

Lane 1:

HCT 116 (human colorectal carcinoma epithelial cell) whole cell lysate at 30 µg

Lane 2:

SW480 (human colorectal adenocarcinoma epithelial cell) whole cell lysate at 30 µg

Lane 3:

Jurkat (human t cell leukemia t lymphocyte from peripheral blood) whole cell lysate at 30 µg

Lane 4:

NIH/3T3 (mouse embryonic fibroblast) whole cell lysate at 30 µg

Lane 5:

WEHI-231 (mouse b cell lymphoma b lymphocyte ) whole cell lysate at 30 µg

Secondary

All lanes:

Western blot - Goat Anti-Rabbit IgG H&L (HRP) (<a href='/en-us/products/secondary-antibodies/goat-rabbit-igg-h-l-hrp-ab97051'>ab97051</a>) at 1/20000 dilution

Observed band size: 19 kDa

false

Exposure time: 158s

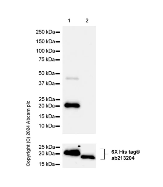
Western blot - Anti-ASF1A antibody [EPR28755-1] (AB317502)
  • WB

Supplier Data

Western blot - Anti-ASF1A antibody [EPR28755-1] (AB317502)

This antibody does not cross-react with human ASF1B.

In Western blot, Anti-6X His tag® antibody [EPR20547] - ChIP Grade (ab213204) staining at 1/5000 dilution.

All lanes:

Western blot - Anti-ASF1A antibody [EPR28755-1] (ab317502) at 1/1000 dilution

Lane 1:

His-tagged human ASF1A recombinant protein at 10 ng

Lane 2:

His-tagged human ASF1B recombinant protein at 10 ng

Secondary

All lanes:

Western blot - Goat Anti-Rabbit IgG H&L (HRP) (<a href='/en-us/products/secondary-antibodies/goat-rabbit-igg-h-l-hrp-ab97051'>ab97051</a>) at 1/20000 dilution

Observed band size: 19 kDa,18 kDa

false

Exposure time: 10s

  • Carrier free

    Anti-ASF1A antibody [EPR28755-1] - BSA and Azide free

Key facts

Host species

Rabbit

Clonality

Monoclonal

Clone number

EPR28755-1

Isotype

IgG

Carrier free

No

Reacts with

Human, Mouse

Applications

Flow Cyt (Intra), WB

applications

Immunogen

The exact immunogen used to generate this antibody is proprietary information.

Reactivity data

{ "title": "Reactivity Data", "filters": { "stats": ["", "Species", "Dilution Info", "Notes"], "tabs": { "all-applications": {"fullname" : "All Applications", "shortname": "All Applications"}, "WB" : {"fullname" : "Western blot", "shortname":"WB"}, "FlowCytIntra" : {"fullname" : "Flow Cytometry (Intracellular)", "shortname":"Flow Cyt (Intra)"}, "IHCP" : {"fullname" : "Immunohistochemistry (Formalin/PFA-fixed paraffin-embedded sections)", "shortname":"IHC-P"}, "IP" : {"fullname" : "Immunoprecipitation", "shortname":"IP"}, "ICCIF" : {"fullname" : "Immunocytochemistry/ Immunofluorescence", "shortname":"ICC/IF"} }, "product-promise": { "all": "all", "testedAndGuaranteed": "tested", "guaranteed": "expected", "predicted": "predicted", "notRecommended": "not-recommended" } }, "values": { "Human": { "WB-species-checked": "testedAndGuaranteed", "WB-species-dilution-info": "1/1000", "WB-species-notes": "<p></p>", "FlowCytIntra-species-checked": "testedAndGuaranteed", "FlowCytIntra-species-dilution-info": "1/500", "FlowCytIntra-species-notes": "<p></p>", "IHCP-species-checked": "notRecommended", "IHCP-species-dilution-info": "", "IHCP-species-notes": "<p></p>", "IP-species-checked": "notRecommended", "IP-species-dilution-info": "", "IP-species-notes": "<p></p>", "ICCIF-species-checked": "notRecommended", "ICCIF-species-dilution-info": "", "ICCIF-species-notes": "<p></p>" }, "Mouse": { "WB-species-checked": "testedAndGuaranteed", "WB-species-dilution-info": "1/1000", "WB-species-notes": "<p></p>", "FlowCytIntra-species-checked": "testedAndGuaranteed", "FlowCytIntra-species-dilution-info": "1/500", "FlowCytIntra-species-notes": "<p></p>", "IHCP-species-checked": "notRecommended", "IHCP-species-dilution-info": "", "IHCP-species-notes": "<p></p>", "IP-species-checked": "notRecommended", "IP-species-dilution-info": "", "IP-species-notes": "<p></p>", "ICCIF-species-checked": "notRecommended", "ICCIF-species-dilution-info": "", "ICCIF-species-notes": "<p></p>" }, "Rat": { "WB-species-checked": "notRecommended", "WB-species-dilution-info": "", "WB-species-notes": "<p></p>", "FlowCytIntra-species-checked": "notRecommended", "FlowCytIntra-species-dilution-info": "", "FlowCytIntra-species-notes": "", "IHCP-species-checked": "notRecommended", "IHCP-species-dilution-info": "", "IHCP-species-notes": "<p></p>", "IP-species-checked": "notRecommended", "IP-species-dilution-info": "", "IP-species-notes": "", "ICCIF-species-checked": "notRecommended", "ICCIF-species-dilution-info": "", "ICCIF-species-notes": "" }, "Recombinant fragment - Human": { "WB-species-checked": "testedAndGuaranteed", "WB-species-dilution-info": "1/1000", "WB-species-notes": "<p></p>", "FlowCytIntra-species-checked": "notRecommended", "FlowCytIntra-species-dilution-info": "", "FlowCytIntra-species-notes": "", "IHCP-species-checked": "notRecommended", "IHCP-species-dilution-info": "", "IHCP-species-notes": "", "IP-species-checked": "notRecommended", "IP-species-dilution-info": "", "IP-species-notes": "", "ICCIF-species-checked": "notRecommended", "ICCIF-species-dilution-info": "", "ICCIF-species-notes": "" } } }

Product details

Patented technology
Our RabMAb® technology is a patented hybridoma-based technology for making rabbit monoclonal antibodies. For details on our patents, please refer to RabMAb® patents.

What are the advantages of a recombinant monoclonal antibody?
This product is a recombinant monoclonal antibody, which offers several advantages including:

  • - High batch-to-batch consistency and reproducibility
  • - Improved sensitivity and specificity
  • - Long-term security of supply
  • - Animal-free batch production

For more information, read more on recombinant antibodies.

Properties and storage information

Form
Liquid
Purification technique
Affinity purification Protein A
Storage buffer
pH: 7.2 - 7.4 Preservative: 0.01% Sodium azide Constituents: PBS, 40% Glycerol (glycerin, glycerine), 0.05% BSA
Shipped at conditions
Blue Ice
Appropriate short-term storage duration
1-2 weeks
Appropriate short-term storage conditions
+4°C
Appropriate long-term storage conditions
-20°C
Aliquoting information
Upon delivery aliquot
Storage information
Avoid freeze / thaw cycle

Supplementary information

This supplementary information is collated from multiple sources and compiled automatically.

ASF1A also known as Anti-silencing Function 1A is a histone chaperone protein with a molecular weight of approximately 22 kDa. This protein aids in the assembly and disassembly of chromatin by facilitating the transfer of histones H3 and H4 to nascent DNA strands during replication and repair processes. ASF1A is expressed in various tissues including high levels in actively dividing cells such as those in the testes and bone marrow. It plays a critical role in maintaining cellular proliferative capacity.
Biological function summary

ASF1A is part of the chromatin remodeling machinery ensuring proper chromatin dynamics and genome integrity. It acts in conjunction with other proteins such as CAF-1 and HIRA as part of the histone deposition process. ASF1A contributes to DNA replication repair and transcription regulation. Through interaction with these complexes ASF1A supports the replacement of histones during S-phase and post-replication repair which is essential for cell cycle progression and genome stability.

Pathways

ASF1A has significant engagement in pathways associated with DNA replication and chromatin modification. It operates within the DNA damage checkpoint pathway where it collaborates with proteins like ATR and CHK1 to ensure proper DNA damage response and cell cycle control. ASF1A also associates with the replication fork protection pathway important for the stabilization of halted replication forks and prevention of genomic instability.

ASF1A has connections to certain cancers and neurodegenerative disorders. Its overexpression or dysregulation links to ovarian and lung cancers due to its role in promoting uncontrolled cell proliferation. ASF1A's involvement in ensuring DNA replication fidelity implicates it in disorders like Alzheimer's disease where genomic instability and improper cell division may play a role. Proteins such as p53 and BRCA1 which are key regulators in these conditions show indirect or direct interactions with ASF1A highlighting its importance in disease pathophysiology.

Product protocols

For this product, it's our understanding that no specific protocols are required. You can visit:

Target data

Histone chaperone that facilitates histone deposition and histone exchange and removal during nucleosome assembly and disassembly (PubMed : 10759893, PubMed : 11897662, PubMed : 12842904, PubMed : 14718166, PubMed : 15664198, PubMed : 16151251, PubMed : 21454524). Cooperates with chromatin assembly factor 1 (CAF-1) to promote replication-dependent chromatin assembly and with HIRA to promote replication-independent chromatin assembly (PubMed : 11897662, PubMed : 14718166, PubMed : 15664198). Promotes homologous recombination-mediated repair of double-strand breaks (DSBs) at stalled or collapsed replication forks : acts by mediating histone replacement at DSBs, leading to recruitment of the MMS22L-TONSL complex and subsequent loading of RAD51 (PubMed : 29478807). Also involved in the nuclear import of the histone H3-H4 dimer together with importin-4 (IPO4) : specifically recognizes and binds newly synthesized histones with the monomethylation of H3 'Lys-9' and acetylation at 'Lys-14' (H3K9me1K14ac) marks, and diacetylation at 'Lys-5' and 'Lys-12' of H4 (H4K5K12ac) marks in the cytosol (PubMed : 21454524, PubMed : 29408485). Required for the formation of senescence-associated heterochromatin foci (SAHF) and efficient senescence-associated cell cycle exit (PubMed : 15621527).
See full target information ASF1A

Product promise

We are committed to supporting your work with high-quality reagents, and we're here for you every step of the way. In the unlikely event that one of our products does not perform as expected, you're protected by our Product Promise.
For full details, please see our Terms & Conditions

Please note: All products are 'FOR RESEARCH USE ONLY. NOT FOR USE IN DIAGNOSTIC OR THERAPEUTIC PROCEDURES'.

For licensing inquiries, please contact partnerships@abcam.com