JavaScript is disabled in your browser. Please enable JavaScript to view this website.
AB235358

Anti-ASF1b antibody

0

(1 Review)

|

(10 Publications)

Rabbit Polyclonal ASF1B antibody. Suitable for WB, IHC-P and reacts with Human samples. Cited in 10 publications. Immunogen corresponding to Recombinant Full Length Protein corresponding to Human ASF1B.

View Alternative Names

Histone chaperone ASF1B, Anti-silencing function protein 1 homolog B, CCG1-interacting factor A-II, hAsf1, hAsf1b, CIA-II, hCIA-II, ASF1B

3 Images
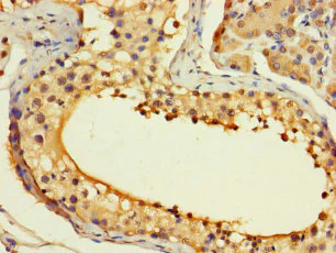
Immunohistochemistry (Formalin/PFA-fixed paraffin-embedded sections) - Anti-ASF1b antibody (AB235358)
  • IHC-P

Supplier Data

Immunohistochemistry (Formalin/PFA-fixed paraffin-embedded sections) - Anti-ASF1b antibody (AB235358)

Paraffin-embedded human testis tissue stained for ASF1b using ab235358 at 1/100 dilution in immunohistochemical analysis.

Western blot - Anti-ASF1b antibody (AB235358)
  • WB

Supplier Data

Western blot - Anti-ASF1b antibody (AB235358)

All lanes:

Western blot - Anti-ASF1b antibody (ab235358) at 1/1000 dilution

Lane 1:

MCF7 (human breast adenocarcinoma cell line) whole cell lysate

Lane 2:

Jurkat (human T cell leukemia cell line from peripheral blood) whole cell lysate

Lane 3:

HeLa (human epithelial cell line from cervix adenocarcinoma) whole cell lysate

Secondary

All lanes:

Goat polyclonal to rabbit IgG at 1/10000 dilution

Predicted band size: 22 kDa

false

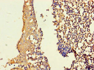
Immunohistochemistry (Formalin/PFA-fixed paraffin-embedded sections) - Anti-ASF1b antibody (AB235358)
  • IHC-P

Supplier Data

Immunohistochemistry (Formalin/PFA-fixed paraffin-embedded sections) - Anti-ASF1b antibody (AB235358)

Paraffin-embedded human tonsil tissue stained for ASF1b using ab235358 at 1/100 dilution in immunohistochemical analysis.

Key facts

Host species

Rabbit

Clonality

Polyclonal

Isotype

IgG

Carrier free

No

Reacts with

Human

Applications

WB, IHC-P

applications

Immunogen

Recombinant Full Length Protein corresponding to Human ASF1B.

Q9NVP2

Reactivity data

{ "title": "Reactivity Data", "filters": { "stats": ["", "Species", "Dilution Info", "Notes"], "tabs": { "all-applications": {"fullname" : "All Applications", "shortname": "All Applications"}, "WB" : {"fullname" : "Western blot", "shortname":"WB"}, "IHCP" : {"fullname" : "Immunohistochemistry (Formalin/PFA-fixed paraffin-embedded sections)", "shortname":"IHC-P"} }, "product-promise": { "all": "all", "testedAndGuaranteed": "tested", "guaranteed": "expected", "predicted": "predicted", "notRecommended": "not-recommended" } }, "values": { "Human": { "WB-species-checked": "testedAndGuaranteed", "WB-species-dilution-info": "1/1000 - 1/5000", "WB-species-notes": "<p></p>", "IHCP-species-checked": "testedAndGuaranteed", "IHCP-species-dilution-info": "1/20 - 1/200", "IHCP-species-notes": "<p></p>" }, "Mouse": { "WB-species-checked": "predicted", "WB-species-dilution-info": "", "WB-species-notes": "", "IHCP-species-checked": "predicted", "IHCP-species-dilution-info": "", "IHCP-species-notes": "" }, "Cow": { "WB-species-checked": "predicted", "WB-species-dilution-info": "", "WB-species-notes": "", "IHCP-species-checked": "predicted", "IHCP-species-dilution-info": "", "IHCP-species-notes": "" } } }

Properties and storage information

Form
Liquid
Purification technique
Affinity purification Protein G
Purification notes
Purity >95%
Storage buffer
pH: 7.4 Preservative: 0.03% Proclin 300 Constituents: PBS, 50% Glycerol (glycerin, glycerine)
Shipped at conditions
Blue Ice
Appropriate short-term storage duration
1-2 weeks
Appropriate short-term storage conditions
+4°C
Appropriate long-term storage conditions
-20°C
Aliquoting information
Upon delivery aliquot
Storage information
Avoid freeze / thaw cycle

Supplementary information

This supplementary information is collated from multiple sources and compiled automatically.

ASF1b also known as Anti-Silencing Function 1B is a histone chaperone that weighs approximately 22 kDa. This protein is part of the histone fold family facilitating the transfer of histone H3/H4 dimers either into histone octamers or back to the nucleosome. ASF1b is expressed in various human tissues with significant expression in proliferating cells. Its unique ability to influence chromatin assembly positions it as an important player within cellular dynamics.
Biological function summary

The protein assists in the maintenance and regulation of chromatin structure impacting DNA replication and transcription. ASF1b interacts with histone H3/H4 complexes and often works in coordination with CAF-1 forming a multi-protein complex important for nucleosome assembly during DNA replication. Through these interactions ASF1b plays a role in both maintaining genomic stability and facilitating proper cell cycle progression.

Pathways

ASF1b contributes to the DNA replication and repair pathways required for accurate duplication of genetic material. In the DNA damage response ASF1b offers histone supply critical for chromatin structure restoration post-repair. It also interacts with proteins like ATR and CHK1 aiding in the checkpoint response to DNA damage to prevent genomic instability. However its precise regulation within these pathways can have significant cellular consequences related to genome integrity.

The aberrant expression of ASF1b has links to cancer progression most notably in breast and prostate cancers. Overexpression can drive unchecked cell proliferation correlating with aggressive cancer phenotypes. ASF1b's association with oncogenic pathways involves partner proteins such as p53 where ASF1b indirectly influences its tumor suppressor pathway through modulation of chromatin dynamics showcasing its fundamental role in both normal and pathological cell processes.

Product protocols

For this product, it's our understanding that no specific protocols are required. You can visit:

Target data

Histone chaperone that facilitates histone deposition and histone exchange and removal during nucleosome assembly and disassembly (PubMed : 11897662, PubMed : 14718166, PubMed : 15664198, PubMed : 16151251, PubMed : 21454524, PubMed : 26527279). Cooperates with chromatin assembly factor 1 (CAF-1) to promote replication-dependent chromatin assembly (PubMed : 11897662, PubMed : 14718166, PubMed : 15664198, PubMed : 16151251). Also involved in the nuclear import of the histone H3-H4 dimer together with importin-4 (IPO4) : specifically recognizes and binds newly synthesized histones with the monomethylation of H3 'Lys-9' (H3K9me1) and diacetylation at 'Lys-5' and 'Lys-12' of H4 (H4K5K12ac) marks in the cytosol (PubMed : 20953179, PubMed : 21454524, PubMed : 26527279). Does not participate in replication-independent nucleosome deposition which is mediated by ASF1A and HIRA (PubMed : 11897662, PubMed : 14718166, PubMed : 15664198, PubMed : 16151251). Required for gonad development (PubMed : 12842904).
See full target information ASF1B

Publications (10)

Recent publications for all applications. Explore the full list and refine your search

Journal of personalized medicine 15: PubMed40137423

2025

Dysregulation of Circadian Markers, HAT1 and Associated Epigenetic Proteins, and the Anti-Aging Protein KLOTHO in Placenta of Pregnant Women with Chronic Venous Disease.

Applications

Unspecified application

Species

Unspecified reactive species

Oscar Fraile-Martinez,Cielo García-Montero,Tatiana Pekarek,Julia Bujan,Silvestra Barrena-Blázquez,Eva Manuela Pena-Burgos,Laura López-González,Leonel Pekarek,Raul Díaz-Pedrero,Juan A De León-Luis,Coral Bravo,Melchor Álvarez-Mon,Miguel A Saez,Natalio García-Honduvilla,Miguel A Ortega

Current issues in molecular biology 46:3839-3865 PubMed38785507

2024

Prognostic Value of Histone Acetyl Transferase 1 (HAT-1) and Inflammatory Signatures in Pancreatic Cancer.

Applications

Unspecified application

Species

Unspecified reactive species

Miguel A Ortega,Laura Jiménez-Álvarez,Oscar Fraile-Martinez,Cielo Garcia-Montero,Luis G Guijarro,Leonel Pekarek,Silvestra Barrena-Blázquez,Ángel Asúnsolo,Laura López-González,María Del Val Toledo-Lobo,Melchor Álvarez-Mon,Miguel A Saez,Alberto Gutiérrez-Calvo,Raúl Díaz-Pedrero

World journal of gastrointestinal oncology 14:2353-2366 PubMed36568946

2022

Anti-silencing function 1B knockdown suppresses the malignant phenotype of colorectal cancer by inactivating the phosphatidylinositol 3-kinase/AKT pathway.

Applications

Unspecified application

Species

Unspecified reactive species

Gen-Hua Yu,Xu-Feng Gong,Ying-Ying Peng,Jun Qian

International journal of oncology 62: PubMed36416310

2022

Anti‑silencing function 1B promotes the progression of pancreatic cancer by activating c‑Myc.

Applications

Unspecified application

Species

Unspecified reactive species

Min Zhang,Luyang Zhang,Minghe Zhou,Enze Wang,Bo Meng,Qingjun Li,Xiaoqian Wang,Yunjian Wang,Qiong Li

Histology and histopathology 38:359-371 PubMed36178207

2022

The circCDK17/miR-122-5p/ASF1B axis regulates the progression of cervical cancer.

Applications

Unspecified application

Species

Unspecified reactive species

Fang Qiu,Dafen Ou,Hanxing Tan,Yan Gao,Dan Zi

The Journal of clinical endocrinology and metabolism 107:3328-3340 PubMed36074910

2022

Premature Ovarian Insufficiency in CLPB Deficiency: Transcriptomic, Proteomic and Phenotypic Insights.

Applications

Unspecified application

Species

Unspecified reactive species

Elena J Tucker,Megan J Baker,Daniella H Hock,Julia T Warren,Sylvie Jaillard,Katrina M Bell,Rajini Sreenivasan,Shabnam Bakhshalizadeh,Chloe A Hanna,Nikeisha J Caruana,Saskia B Wortmann,Shamima Rahman,Robert D S Pitceathly,Jean Donadieu,Aurelia Alimi,Vincent Launay,Paul Coppo,Sophie Christin-Maitre,Gorjana Robevska,Jocelyn van den Bergen,Brianna L Kline,Katie L Ayers,Phoebe N Stewart,David A Stroud,Diana Stojanovski,Andrew H Sinclair

Frontiers in genetics 13:842351 PubMed35360875

2022

ASF1B is a Promising Prognostic Biomarker and Correlates With Immunotherapy Efficacy in Hepatocellular Carcinoma.

Applications

Unspecified application

Species

Unspecified reactive species

Shirong Zhang,Longwen Xu,Jinteng Feng,Deli Tan,Yue Zhu,Jia Hou,Wenyuan Li,Kejia Lv,Wenjuan Wang,Lili Jiang,Min Jiao,Hui Guo

Frontiers in oncology 11:801506 PubMed35087760

2022

ASF1B Serves as a Potential Therapeutic Target by Influencing Cell Cycle and Proliferation in Hepatocellular Carcinoma.

Applications

Unspecified application

Species

Unspecified reactive species

Xiaoxi Ouyang,Longxian Lv,Yalei Zhao,Fen Zhang,Qingqing Hu,Zuhong Li,Danhua Zhu,Lanjuan Li

Digestive surgery 39:24-31 PubMed34788753

2021

Identification and Validation of Hub Genes Predicting Prognosis of Hepatocellular Carcinoma.

Applications

Unspecified application

Species

Unspecified reactive species

Ziyan Chen,Haitao Yu,Lijun Wu,Sina Zhang,Zhihui Lin,Tuo Deng,Bangjie He,Zhengping Yu,Gang Chen,Fang Wu

OncoTargets and therapy 13:6511-6522 PubMed32764956

2020

LINC00665 Promotes the Progression of Multiple Myeloma by Adsorbing miR-214-3p and Positively Regulating the Expression of PSMD10 and ASF1B.

Applications

Unspecified application

Species

Unspecified reactive species

Chong Wang,Mengya Li,Shujuan Wang,Zhongxing Jiang,Yanfang Liu
View all publications

Product promise

We are committed to supporting your work with high-quality reagents, and we're here for you every step of the way. In the unlikely event that one of our products does not perform as expected, you're protected by our Product Promise.
For full details, please see our Terms & Conditions

Please note: All products are 'FOR RESEARCH USE ONLY. NOT FOR USE IN DIAGNOSTIC OR THERAPEUTIC PROCEDURES'.

For licensing inquiries, please contact partnerships@abcam.com