JavaScript is disabled in your browser. Please enable JavaScript to view this website.
AB197032

Anti-ASGR2 antibody [EPR16974]

Be the first to review this product! Submit a review

|

(1 Publication)

Rabbit Recombinant Monoclonal ASGR2 antibody. Suitable for IP, WB, IHC-P and reacts with Human samples. Cited in 1 publication.

View Alternative Names

CLEC4H2, ASGR2, Asialoglycoprotein receptor 2, ASGP-R 2, ASGPR 2, C-type lectin domain family 4 member H2, Hepatic lectin H2, HL-2

5 Images
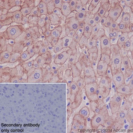
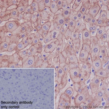
Immunohistochemistry (Formalin/PFA-fixed paraffin-embedded sections) - Anti-ASGR2 antibody [EPR16974] (AB197032)
  • IHC-P

Supplier Data

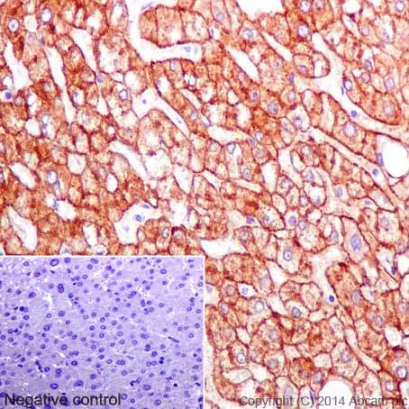
Immunohistochemistry (Formalin/PFA-fixed paraffin-embedded sections) - Anti-ASGR2 antibody [EPR16974] (AB197032)

Immunohistochemical analysis of paraffin-embedded human liver tissue labeling ASGR2 with ab197032 at 1/500 dilution followed by Goat Anti-Rabbit IgG H&L (HRP) (ab97051) at 1/500. Cell membrane staining on Human liver tissue is observed; Uniprot suggests Cell membrane as subcellular location. Counter stained with Hematoxylin.

Negative control : Used PBS instead of primary ab, secondary ab is Goat Anti-Rabbit IgG H&L (HRP) (ab97051) at 1/500.

Perform heat mediated antigen retrieval with Tris/EDTA buffer pH 9.0 before commencing with IHC staining protocol.

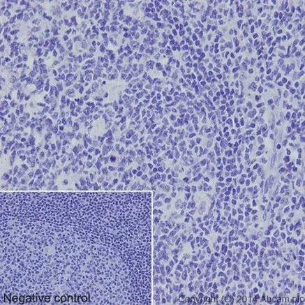
Immunohistochemistry (Formalin/PFA-fixed paraffin-embedded sections) - Anti-ASGR2 antibody [EPR16974] (AB197032)
  • IHC-P

Supplier Data

Immunohistochemistry (Formalin/PFA-fixed paraffin-embedded sections) - Anti-ASGR2 antibody [EPR16974] (AB197032)

Immunohistochemical analysis of paraffin-embedded Human tonsil tissue (negative control tissue) using ab197032 at 1/500 dilution followed by Goat Anti-Rabbit IgG H&L (HRP) (ab97051) at 1/500. No staining on Human tonsil tissue is observed. Counter stained with Hematoxylin.
Negative control : Used PBS instead of primary ab, secondary ab is Goat Anti-Rabbit IgG H&L (HRP) (ab97051) at 1/500.

Perform heat mediated antigen retrieval with Tris/EDTA buffer pH 9.0 before commencing with IHC staining protocol.

Immunoprecipitation - Anti-ASGR2 antibody [EPR16974] (AB197032)
  • IP

Supplier Data

Immunoprecipitation - Anti-ASGR2 antibody [EPR16974] (AB197032)

ASGR2 was immunoprecipitated from Human fetal liver with ab197032 at 1/70 dilution. Western blot was performed from the immunoprecipitate using ab197032 at 1/1000 dilution. Anti-Rabbit IgG (HRP), specific to the non-reduced form of IgG, was used as secondary antibody at 1/1500 dilution. Lane 1 : Human fetal liver. Lane 2 : Rabbit monoclonal IgG (ab172730) instead of ab197032 in Human fetal liver.

Blocking and dilution buffer and concentration : 5% NFDM/TBST.

All lanes:

Immunoprecipitation - Anti-ASGR2 antibody [EPR16974] (ab197032)

Predicted band size: 35 kDa

Observed band size: 46 kDa

false

Western blot - Anti-ASGR2 antibody [EPR16974] (AB197032)
  • WB

Supplier Data

Western blot - Anti-ASGR2 antibody [EPR16974] (AB197032)

Blocking and diluting buffer was 5% NFDM/TBST.
The observed MW is consistent with that described in the literature (PMID : 3040719).

All lanes:

Western blot - Anti-ASGR2 antibody [EPR16974] (ab197032) at 1/2000 dilution

All lanes:

HepG2 (Human liver hepatocellular carcinoma) whole cell lysate at 20 µg

Secondary

All lanes:

Goat Anti-Rabbit IgG, (H+L), Peroxidase conjugated at 1/1000 dilution

Predicted band size: 35 kDa,68 kDa

Observed band size: 46 kDa,68 kDa

true

Exposure time: 3min

Western blot - Anti-ASGR2 antibody [EPR16974] (AB197032)
  • WB

Supplier Data

Western blot - Anti-ASGR2 antibody [EPR16974] (AB197032)

Blocking and diluting buffer was 5% NFDM/TBST.

The observed MW is consistent with that described in the literature (PMID : 3040719).

All lanes:

Western blot - Anti-ASGR2 antibody [EPR16974] (ab197032) at 1/1000 dilution

Lane 1:

Human fetal liver lysate at 20 µg

Lane 2:

MCF-7 (Human breast adenocarcinoma cell line) whole cell lysate at 20 µg

Lane 3:

K562 (Human chronic myelogenous leukemia cells from bone marrow) whole cell lysate at 20 µg

Lane 4:

Jurkat (Human T cell leukemia cells from peripheral blood) whole cell lysate at 20 µg

Lane 5:

HeLa (Human epithetial cells from cervix adenocarcinoma) whole cell lysate at 20 µg

Secondary

All lanes:

Goat Anti-Rabbit IgG, (H+L), Peroxidase conjugated at 1/1000 dilution

Predicted band size: 35 kDa

Observed band size: 46 kDa

true

Exposure time: 3min

  • Carrier free

    Anti-ASGR2 antibody [EPR16974] - BSA and Azide free

Key facts

Host species

Rabbit

Clonality

Monoclonal

Clone number

EPR16974

Isotype

IgG

Carrier free

No

Reacts with

Human

Applications

IP, WB, IHC-P

applications

Immunogen

The exact immunogen used to generate this antibody is proprietary information.

Reactivity data

{ "title": "Reactivity Data", "filters": { "stats": ["", "Species", "Dilution Info", "Notes"], "tabs": { "all-applications": {"fullname" : "All Applications", "shortname": "All Applications"}, "IP" : {"fullname" : "Immunoprecipitation", "shortname":"IP"}, "WB" : {"fullname" : "Western blot", "shortname":"WB"}, "IHCP" : {"fullname" : "Immunohistochemistry (Formalin/PFA-fixed paraffin-embedded sections)", "shortname":"IHC-P"} }, "product-promise": { "all": "all", "testedAndGuaranteed": "tested", "guaranteed": "expected", "predicted": "predicted", "notRecommended": "not-recommended" } }, "values": { "Human": { "IP-species-checked": "testedAndGuaranteed", "IP-species-dilution-info": "1/70", "IP-species-notes": "<p></p>", "WB-species-checked": "testedAndGuaranteed", "WB-species-dilution-info": "1/1000", "WB-species-notes": "<p></p>", "IHCP-species-checked": "testedAndGuaranteed", "IHCP-species-dilution-info": "1/500", "IHCP-species-notes": "<p></p> Perform heat-mediated antigen retrieval with Tris/EDTA buffer pH 9.0 before commencing with IHC staining protocol." } } }

Product details

Patented technology
Our RabMAb® technology is a patented hybridoma-based technology for making rabbit monoclonal antibodies. For details on our patents, please refer to RabMAb® patents.

What are the advantages of a recombinant monoclonal antibody?
This product is a recombinant monoclonal antibody, which offers several advantages including:

  • - High batch-to-batch consistency and reproducibility
  • - Improved sensitivity and specificity
  • - Long-term security of supply
  • - Animal-free batch production

For more information, read more on recombinant antibodies.

Properties and storage information

Form
Liquid
Purification technique
Affinity purification Protein A
Storage buffer
pH: 7.2 - 7.4 Preservative: 0.01% Sodium azide Constituents: PBS, 40% Glycerol (glycerin, glycerine), 0.05% BSA
Shipped at conditions
Blue Ice
Appropriate short-term storage duration
1-2 weeks
Appropriate short-term storage conditions
+4°C
Appropriate long-term storage conditions
-20°C
Aliquoting information
Upon delivery aliquot
Storage information
Avoid freeze / thaw cycle

Supplementary information

This supplementary information is collated from multiple sources and compiled automatically.

The asialoglycoprotein receptor 2 (ASGR2) sometimes called Ashwell receptor subunit 2 is a transmembrane protein with a mass of approximately 46 kDa. ASGR2 combines with a similar protein ASGR1 to form a functional receptor complex. It is mostly found in the liver playing an important role in endocytosis by binding galactose-terminated glycoproteins. The receptor facilitates the clearance of these glycoproteins from the bloodstream making the liver a major site for their catabolism.
Biological function summary

ASGR2 participates in regulating serum glycoprotein levels. It is part of the asialoglycoprotein receptor complex working with ASGR1 to internalize glycoproteins for lysosomal degradation. This process is important for maintaining homeostasis of serum proteins and influencing liver function. Its activity affects hepatocyte turnover and cellular response to extracellular stimuli within the liver.

Pathways

ASGR2 is involved in the endocytosis and trafficking pathways. These pathways guide the internalization and lysosomal degradation of serum glycoproteins. ASGR2's interaction with ASGR1 through these pathways highlights its role in glycoprotein metabolism. Additionally its function intersects with the complement system's mannose-binding protein affecting immune response by clearing immune complexes.

ASGR2's dysfunction correlates with liver conditions like congenital disorders of glycosylation and hepatitis B virus infection. In hepatitis B altered ASGR2 function affects virus binding and clearance. The asialoglycoprotein receptor complex including the ASGR1/ASGR2 interaction is central to understanding changes in liver pathology and therapeutic targeting of liver diseases.

Product protocols

For this product, it's our understanding that no specific protocols are required. You can visit:

Target data

Mediates the endocytosis of plasma glycoproteins to which the terminal sialic acid residue on their complex carbohydrate moieties has been removed. The receptor recognizes terminal galactose and N-acetylgalactosamine units. After ligand binding to the receptor, the resulting complex is internalized and transported to a sorting organelle, where receptor and ligand are disassociated. The receptor then returns to the cell membrane surface.
See full target information ASGR2

Publications (1)

Recent publications for all applications. Explore the full list and refine your search

Nature communications 16:9000 PubMed41068120

2025

PBAF/cBAF reorganization on H3.3 chromatin regulates BMAL1 activity in the absence of circadian negative feedback.

Applications

Unspecified application

Species

Unspecified reactive species

Dominika Letkova,Aurelie Peticca,Damien Sery,Masahide Seki,Yutaka Suzuki,Kiran Padmanabhan
View all publications

Product promise

We are committed to supporting your work with high-quality reagents, and we're here for you every step of the way. In the unlikely event that one of our products does not perform as expected, you're protected by our Product Promise.
For full details, please see our Terms & Conditions

Please note: All products are 'FOR RESEARCH USE ONLY. NOT FOR USE IN DIAGNOSTIC OR THERAPEUTIC PROCEDURES'.

For licensing inquiries, please contact partnerships@abcam.com