JavaScript is disabled in your browser. Please enable JavaScript to view this website.
AB216521

Anti-ASGR2 antibody [EPR16975] - BSA and Azide free

Be the first to review this product! Submit a review

|

(1 Publication)

Rabbit Recombinant Monoclonal ASGR2 antibody. Carrier free. Suitable for IP, WB, IHC-P and reacts with Human samples. Cited in 1 publication.

View Alternative Names

CLEC4H2, ASGR2, Asialoglycoprotein receptor 2, ASGP-R 2, ASGPR 2, C-type lectin domain family 4 member H2, Hepatic lectin H2, HL-2

3 Images
Immunohistochemistry (Formalin/PFA-fixed paraffin-embedded sections) - Anti-ASGR2 antibody [EPR16975] - BSA and Azide free (AB216521)
  • IHC-P

Supplier Data

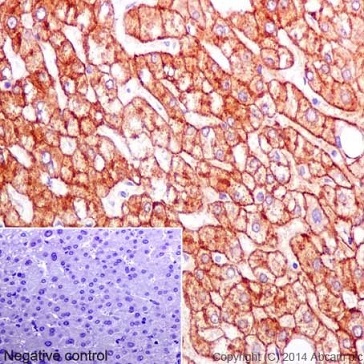
Immunohistochemistry (Formalin/PFA-fixed paraffin-embedded sections) - Anti-ASGR2 antibody [EPR16975] - BSA and Azide free (AB216521)

This IHC data was generated using the same anti-Asiaglycoprotein Receptor 2 antibody clone, EPR16975, in a different buffer formulation (cat# ab200196).

Immunohistochemical analysis of paraffin-embedded Human liver tissue labeling ASGR2 with ab200196 at 1/600 dilution, followed by Goat Anti-Rabbit IgG H&L (HRP) (ab97051) secondary antibody at 1/500 dilution.

Cytoplasm and cell membrane staining on Human liver tissue is observed.

Counter stained with Hematoxylin.

Secondary antibody only control : Used PBS instead of primary antibody, secondary antibody is Goat Anti-Rabbit IgG H&L (HRP) (ab97051) at 1/500 dilution.

Heat mediated antigen retrieval was performed with Tris/EDTA buffer pH 9.0 before commencing with IHC staining protocol.

Immunohistochemistry (Formalin/PFA-fixed paraffin-embedded sections) - Anti-ASGR2 antibody [EPR16975] - BSA and Azide free (AB216521)
  • IHC-P

Supplier Data

Immunohistochemistry (Formalin/PFA-fixed paraffin-embedded sections) - Anti-ASGR2 antibody [EPR16975] - BSA and Azide free (AB216521)

Immunohistochemical analysis of paraffin-embedded Human skeletal muscle tissue labeling ASGR2 with ab200196 at 1/600 dilution, followed by Goat Anti-Rabbit IgG H&L (HRP) (ab97051) secondary antibody at 1/500 dilution.

No staining on Human skeletal muscle tissue is observed.

Counter stained with Hematoxylin.

Secondary antibody only control : Used PBS instead of primary antibody, secondary antibody is Goat Anti-Rabbit IgG H&L (HRP) (ab97051) at 1/500 dilution.

This data was developed using the same antibody clone in a different buffer formulation containing PBS, BSA, glycerol, and sodium azide (ab200196).

Heat mediated antigen retrieval was performed with Tris/EDTA buffer pH 9.0 before commencing with IHC staining protocol.

Immunoprecipitation - Anti-ASGR2 antibody [EPR16975] - BSA and Azide free (AB216521)
  • IP

Supplier Data

Immunoprecipitation - Anti-ASGR2 antibody [EPR16975] - BSA and Azide free (AB216521)

ASGR2 was immunoprecipitated from 1mg of Human fetal liver whole cell lysate with ab200196 at 1/30 dilution.

Western blot was performed from the immunoprecipitate using ab200196 at 1/1000 dilution. Anti-Rabbit IgG (HRP), specific to the non-reduced form of IgG, was used as secondary antibody at 1/1500 dilution.

Lane 1 : Human fetal liver whole cell lysate 10 μg (Input).

Lane 2 : ab200196 IP in Human fetal liver whole cell lysate.

Lane 3 : Rabbit monoclonal IgG (ab172730) instead of ab200196 in Human fetal liver whole cell lysate.

Blocking and dilution buffer and concentration : 5% NFDM/TBST.

This data was developed using the same antibody clone in a different buffer formulation containing PBS, BSA, glycerol, and sodium azide (ab200196).

All lanes:

Immunoprecipitation - Anti-ASGR2 antibody [EPR16975] (<a href='/en-us/products/primary-antibodies/asgr2-antibody-epr16975-ab200196'>ab200196</a>)

Predicted band size: 35 kDa

false

Key facts

Host species

Rabbit

Clonality

Monoclonal

Clone number

EPR16975

Isotype

IgG

Carrier free

Yes

Reacts with

Human

Applications

IHC-P, IP, WB

applications

Immunogen

The exact immunogen used to generate this antibody is proprietary information.

Reactivity data

{ "title": "Reactivity Data", "filters": { "stats": ["", "Species", "Dilution Info", "Notes"], "tabs": { "all-applications": {"fullname" : "All Applications", "shortname": "All Applications"}, "IP" : {"fullname" : "Immunoprecipitation", "shortname":"IP"}, "WB" : {"fullname" : "Western blot", "shortname":"WB"}, "IHCP" : {"fullname" : "Immunohistochemistry (Formalin/PFA-fixed paraffin-embedded sections)", "shortname":"IHC-P"} }, "product-promise": { "all": "all", "testedAndGuaranteed": "tested", "guaranteed": "expected", "predicted": "predicted", "notRecommended": "not-recommended" } }, "values": { "Human": { "IP-species-checked": "testedAndGuaranteed", "IP-species-dilution-info": "", "IP-species-notes": "<p></p>", "WB-species-checked": "guaranteed", "WB-species-dilution-info": "", "WB-species-notes": "<p></p>", "IHCP-species-checked": "testedAndGuaranteed", "IHCP-species-dilution-info": "", "IHCP-species-notes": "<p></p>" } } }

Product details

ab216521 is the carrier-free version of ab200196.

Patented technology
Our RabMAb® technology is a patented hybridoma-based technology for making rabbit monoclonal antibodies. For details on our patents, please refer to RabMAb® patents.

What are the advantages of a recombinant monoclonal antibody?
This product is a recombinant monoclonal antibody, which offers several advantages including:

  • - High batch-to-batch consistency and reproducibility
  • - Improved sensitivity and specificity
  • - Long-term security of supply
  • - Animal-free batch production

For more information, read more on recombinant antibodies.

Conjugation ready
Our carrier-free antibodies are typically supplied in a PBS-only formulation, purified and free of BSA, sodium azide and glycerol. This conjugation-ready format is designed for use with fluorochromes, metal isotopes, oligonucleotides, and enzymes, which makes them ideal for antibody labelling, functional and cell-based assays, flow-based assays (e.g. mass cytometry) and Multiplex Imaging applications.

Use our conjugation kits for antibody conjugates that are ready-to-use in as little as 20 minutes with 1 minute hands-on-time and 100% antibody recovery: available for fluorescent dyes, HRP, biotin and gold.

Compatibility
This product is compatible with the Maxpar® Antibody Labeling Kit from Fluidigm, without the need for antibody preparation. Maxpar® is a trademark of Fluidigm Canada Inc.

Properties and storage information

Form
Liquid
Purification technique
Affinity purification Protein A
Storage buffer
pH: 7.2 - 7.4 Constituents: PBS
Shipped at conditions
Blue Ice
Appropriate short-term storage conditions
+4°C
Appropriate long-term storage conditions
+4°C
Storage information
Do Not Freeze

Supplementary information

This supplementary information is collated from multiple sources and compiled automatically.

The asialoglycoprotein receptor 2 (ASGR2) sometimes called Ashwell receptor subunit 2 is a transmembrane protein with a mass of approximately 46 kDa. ASGR2 combines with a similar protein ASGR1 to form a functional receptor complex. It is mostly found in the liver playing an important role in endocytosis by binding galactose-terminated glycoproteins. The receptor facilitates the clearance of these glycoproteins from the bloodstream making the liver a major site for their catabolism.
Biological function summary

ASGR2 participates in regulating serum glycoprotein levels. It is part of the asialoglycoprotein receptor complex working with ASGR1 to internalize glycoproteins for lysosomal degradation. This process is important for maintaining homeostasis of serum proteins and influencing liver function. Its activity affects hepatocyte turnover and cellular response to extracellular stimuli within the liver.

Pathways

ASGR2 is involved in the endocytosis and trafficking pathways. These pathways guide the internalization and lysosomal degradation of serum glycoproteins. ASGR2's interaction with ASGR1 through these pathways highlights its role in glycoprotein metabolism. Additionally its function intersects with the complement system's mannose-binding protein affecting immune response by clearing immune complexes.

ASGR2's dysfunction correlates with liver conditions like congenital disorders of glycosylation and hepatitis B virus infection. In hepatitis B altered ASGR2 function affects virus binding and clearance. The asialoglycoprotein receptor complex including the ASGR1/ASGR2 interaction is central to understanding changes in liver pathology and therapeutic targeting of liver diseases.

Product protocols

For this product, it's our understanding that no specific protocols are required. You can visit:

Target data

Mediates the endocytosis of plasma glycoproteins to which the terminal sialic acid residue on their complex carbohydrate moieties has been removed. The receptor recognizes terminal galactose and N-acetylgalactosamine units. After ligand binding to the receptor, the resulting complex is internalized and transported to a sorting organelle, where receptor and ligand are disassociated. The receptor then returns to the cell membrane surface.
See full target information ASGR2

Publications (1)

Recent publications for all applications. Explore the full list and refine your search

Clinical cancer research : an official journal of the American Association for Cancer Research 31:746-755 PubMed39704655

2024

Smoking-Associated Carcinogen-Induced Inflammation Promotes Lung Carcinogenesis via IRAK4 Activation.

Applications

Unspecified application

Species

Unspecified reactive species

Ritesh K Aggarwal,Simone Sidoli,Jingli Wang,Srabani Sahu,Rahul Sanawar,Varun Gupta,Srinivas Aluri,Vineeth Sukrithan,Charan T R Vegivinti,Phaedon D Zavras,Divij Verma,Shanisha Gordon-Mitchell,Beamon Agarwal,Tanya Verma,Daniel T Starczynowski,Ulrich G Steidl,Aditi Shastri,Balazs Halmos,Lindsay M LaFave,Haiying Cheng,Amit Verma,Yiyu Zou
View all publications

Product promise

We are committed to supporting your work with high-quality reagents, and we're here for you every step of the way. In the unlikely event that one of our products does not perform as expected, you're protected by our Product Promise.
For full details, please see our Terms & Conditions

Please note: All products are 'FOR RESEARCH USE ONLY. NOT FOR USE IN DIAGNOSTIC OR THERAPEUTIC PROCEDURES'.

For licensing inquiries, please contact partnerships@abcam.com