JavaScript is disabled in your browser. Please enable JavaScript to view this website.
AB176334

Anti-ASH2L antibody [EPR13107(B)] - Nuclear Marker

Be the first to review this product! Submit a review

|

(3 Publications)

Rabbit Recombinant Monoclonal ASH2L antibody. Nucleus marker. Suitable for IHC-P, WB, ICC/IF, Flow Cyt (Intra) and reacts with Mouse, Rat, Human samples. Cited in 3 publications.

View Alternative Names

ASH2L1, ASH2L, Set1/Ash2 histone methyltransferase complex subunit ASH2, ASH2-like protein

11 Images
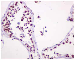
Immunohistochemistry (Formalin/PFA-fixed paraffin-embedded sections) - Anti-ASH2L antibody [EPR13107(B)] - Nuclear Marker (AB176334)
  • IHC-P

Supplier Data

Immunohistochemistry (Formalin/PFA-fixed paraffin-embedded sections) - Anti-ASH2L antibody [EPR13107(B)] - Nuclear Marker (AB176334)

Immunohistochemical analysis of paraffin-embedded Human testis tissue labeing ASH2L with unpurified ab176334 at 1/50 dilution.

Perform heat mediated antigen retrieval with citrate buffer pH 6 before commencing with IHC staining protocol.

Immunocytochemistry/ Immunofluorescence - Anti-ASH2L antibody [EPR13107(B)] - Nuclear Marker (AB176334)
  • ICC/IF

Supplier Data

Immunocytochemistry/ Immunofluorescence - Anti-ASH2L antibody [EPR13107(B)] - Nuclear Marker (AB176334)

Immunofluorescent analysis of HeLa labeling ASH2L with ab176334 at 1/100 dilution.

Immunocytochemistry/ Immunofluorescence - Anti-ASH2L antibody [EPR13107(B)] - Nuclear Marker (AB176334)
  • ICC/IF

Unknown

Immunocytochemistry/ Immunofluorescence - Anti-ASH2L antibody [EPR13107(B)] - Nuclear Marker (AB176334)

Immunocytochemistry/ Immunofluorescence analysis of 293T (Human embryonic kidney epithelial cell) cells labeling ASH2L with purified ab176334 at 1/50 dilution (7.78 μg/ml). Cells were fixed in 4% Paraformaldehyde and permeabilized with 0.1% tritonX-100. Cells were counterstained with ab195889 Anti-alpha Tubulin antibody [DM1A] - Microtubule Marker (Alexa Fluor® 594) 1/200 (2.5 μg/ml). Goat anti rabbit IgG (Alexa Fluor® 488, ab150077) was used as the secondary antibody at 1/1000 (2 μg/ml) dilution. DAPI (blue) was used as nuclear counterstain. PBS instead of the primary antibody was used as the secondary antibody only control.

Flow Cytometry (Intracellular) - Anti-ASH2L antibody [EPR13107(B)] - Nuclear Marker (AB176334)
  • Flow Cyt (Intra)

Unknown

Flow Cytometry (Intracellular) - Anti-ASH2L antibody [EPR13107(B)] - Nuclear Marker (AB176334)

Intracellular Flow Cytometry analysis of HeLa (human cervix adenocarcinoma) cells labeling ASH2L (red) with unpurifiedab176334 at a 1/1200 dilution. Cells were fixed with 80% methanol and permeabilized with 0.1% Tween-20. A goat anti-rabbit IgG (Alexa Fluor® 488) (ab150077) was used as the secondary antibody at a 1/2000 dilution. Black - Rabbit monoclonal IgG (ab172730). Blue (unlabeled control) - Cells without incubation with the primary and secondary antibodies.

Immunohistochemistry (Formalin/PFA-fixed paraffin-embedded sections) - Anti-ASH2L antibody [EPR13107(B)] - Nuclear Marker (AB176334)
  • IHC-P

Supplier Data

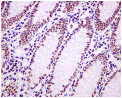
Immunohistochemistry (Formalin/PFA-fixed paraffin-embedded sections) - Anti-ASH2L antibody [EPR13107(B)] - Nuclear Marker (AB176334)

Immunohistochemical analysis of paraffin-embedded Human colon tissue labeing ASH2L with unpurified ab176334 at 1/50 dilution.

Perform heat mediated antigen retrieval with citrate buffer pH 6 before commencing with IHC staining protocol.

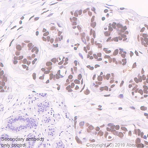
Immunohistochemistry (Formalin/PFA-fixed paraffin-embedded sections) - Anti-ASH2L antibody [EPR13107(B)] - Nuclear Marker (AB176334)
  • IHC-P

Unknown

Immunohistochemistry (Formalin/PFA-fixed paraffin-embedded sections) - Anti-ASH2L antibody [EPR13107(B)] - Nuclear Marker (AB176334)

Immunohistochemistry (Formalin/PFA-fixed paraffin-embedded sections) analysis of human breast tissue sections labeling ASH2L with purified ab176334 at 1/8000 dilution (0.05 μg/ml). Heat mediated antigen retrieval using Bond™ Epitope Retrieval Solution 1 (pH 6.0). Rabbit specific IHC polymer detection kit HRP/DAB (ab209101) was used as the secondary antibody. Negative control : PBS instead of the primary antibody. Hematoxylin was used as a counterstain.

Immunohistochemistry (Formalin/PFA-fixed paraffin-embedded sections) - Anti-ASH2L antibody [EPR13107(B)] - Nuclear Marker (AB176334)
  • IHC-P

Unknown

Immunohistochemistry (Formalin/PFA-fixed paraffin-embedded sections) - Anti-ASH2L antibody [EPR13107(B)] - Nuclear Marker (AB176334)

Immunohistochemistry (Formalin/PFA-fixed paraffin-embedded sections) analysis of rat cerebrum tissue sections labeling ASH2L with purified ab176334 at 1/8000 dilution (0.05 μg/ml). Heat mediated antigen retrieval using Bond™ Epitope Retrieval Solution 1 (pH 6.0). Rabbit specific IHC polymer detection kit HRP/DAB (ab209101) was used as the secondary antibody. Negative control : PBS instead of the primary antibody. Hematoxylin was used as a counterstain.

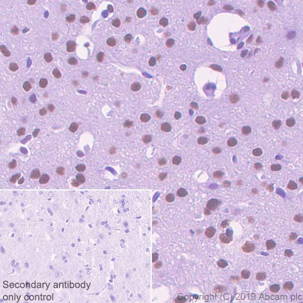
Immunohistochemistry (Formalin/PFA-fixed paraffin-embedded sections) - Anti-ASH2L antibody [EPR13107(B)] - Nuclear Marker (AB176334)
  • IHC-P

Unknown

Immunohistochemistry (Formalin/PFA-fixed paraffin-embedded sections) - Anti-ASH2L antibody [EPR13107(B)] - Nuclear Marker (AB176334)

Immunohistochemistry (Formalin/PFA-fixed paraffin-embedded sections) analysis of mouse liver tissue sections labeling ASH2L with purified ab176334 at 1/8000 dilution (0.05 μg/ml). Heat mediated antigen retrieval using Bond™ Epitope Retrieval Solution 1 (pH 6.0). Rabbit specific IHC polymer detection kit HRP/DAB (ab209101) was used as the secondary antibody. Negative control : PBS instead of the primary antibody. Hematoxylin was used as a counterstain.

Western blot - Anti-ASH2L antibody [EPR13107(B)] - Nuclear Marker (AB176334)
  • WB

Lab

Western blot - Anti-ASH2L antibody [EPR13107(B)] - Nuclear Marker (AB176334)

ab176334 recoginzes 3 isoforms of ASH2L

All lanes:

Western blot - Anti-ASH2L antibody [EPR13107(B)] - Nuclear Marker (ab176334) at 1/10000 dilution

Lane 1:

293T (Human embryonic kidney epithelial cell) whole cell lysates at 20 µg

Lane 2:

HeLa (Human cervix adenocarcinoma epithelial cell) whole cell lysates at 20 µg

Lane 3:

Mouse heart lysates at 20 µg

Lane 4:

Rat heart lysates at 20 µg

Secondary

All lanes:

Western blot - Goat Anti-Rabbit IgG H&L (HRP) (<a href='/en-us/products/secondary-antibodies/goat-rabbit-igg-h-l-hrp-ab97051'>ab97051</a>) at 1/20000 dilution

Predicted band size: 69 kDa

Observed band size: 65 kDa,80 kDa

false

Western blot - Anti-ASH2L antibody [EPR13107(B)] - Nuclear Marker (AB176334)
  • WB

Supplier Data

Western blot - Anti-ASH2L antibody [EPR13107(B)] - Nuclear Marker (AB176334)

All lanes:

Western blot - Anti-ASH2L antibody [EPR13107(B)] - Nuclear Marker (ab176334) at 1/10000 dilution

Lane 1:

HeLa cell lysates at 10 µg

Lane 2:

293T cell lysates at 10 µg

Lane 3:

Jurkat cell lysates at 10 µg

Lane 4:

K562 cell lysates at 10 µg

Predicted band size: 69 kDa

false

Western blot - Anti-ASH2L antibody [EPR13107(B)] - Nuclear Marker (AB176334)
  • WB

CiteAb

Western blot - Anti-ASH2L antibody [EPR13107(B)] - Nuclear Marker (AB176334)

ASH2L western blot using anti-ASH2L antibody [EPR13107(B)] - Nuclear Marker ab176334. Publication image and figure legend from Rao, R. A., Ketkar, A. A., et al., 2019, EMBO Rep, PubMed 30858340.

ab176334 was used in this publication in western blot. This may not be the same as the application(s) guaranteed by Abcam. For a full list of applications guaranteed by Abcam for ab176334 please see the product overview.

EHMT1 interacts with LMNB1 domain and co‐regulate a subset of genesAEHMT1 interacts with EHMT2, LMNB1, and HP1. Whole cell lysates from fetal HDFs were subjected to IP reaction using EHMT1 or LMNB1 antibody. Subsequently, Western blot was performed using the IPed material to detect EHMT1, EHMT2, LMNB1, and HP1. ASH2L did not show any interaction with EHMT1 and LMNB1 thus acted as a negative control.BEHMT1 interacts with LMNB1 and EHMT2 via SET domain. HEK293 cells were transfected with pEGFP‐Ankyrin (pEGFPC1‐ANK) or pEGFPC1‐SET domains of EHMT1 to determine domain‐specific association with LMNB1. Cell extracts were subjected to IP using GFP‐antibody, and the bound complexes were then analyzed by immunoblot using LMNB1, EHMT2, and GFP antibodies. HEK‐293 whole cell extract represents 1% input. pEGFPC1 empty vector transfected HEK293 or untransfected HEK293 cells were used as control reactions. Arrows indicate specific band.CCoomassie‐stained SDS–PAGE gel showing 6X His EHMT1‐SET purified protein used for methyltransferase assays.D–FGene ontology (GO) analysis of EHMT1 and LMNB1 bound genes. Representative figure showing enriched GO terms for EHMT1 (D), LMNB1 (E), and EHMT1 and LMNB1 (F) co‐bound genes. The length of the bar (y‐axis) denotes total genes falling within GO term.GCircos plot showing genome wide peak density of EHMT1 (green) and LMNB1 (red).

false

  • Carrier free

    Anti-ASH2L antibody [EPR13107(B)] - BSA and Azide free

Key facts

Host species

Rabbit

Clonality

Monoclonal

Clone number

EPR13107(B)

Isotype

IgG

Carrier free

No

Reacts with

Mouse, Rat, Human

Applications

ICC/IF, WB, IHC-P, Flow Cyt (Intra)

applications

Immunogen

The exact immunogen used to generate this antibody is proprietary information.

Reactivity data

{ "title": "Reactivity Data", "filters": { "stats": ["", "Species", "Dilution Info", "Notes"], "tabs": { "all-applications": {"fullname" : "All Applications", "shortname": "All Applications"}, "IHCP" : {"fullname" : "Immunohistochemistry (Formalin/PFA-fixed paraffin-embedded sections)", "shortname":"IHC-P"}, "IP" : {"fullname" : "Immunoprecipitation", "shortname":"IP"}, "WB" : {"fullname" : "Western blot", "shortname":"WB"}, "ICCIF" : {"fullname" : "Immunocytochemistry/ Immunofluorescence", "shortname":"ICC/IF"}, "FlowCytIntra" : {"fullname" : "Flow Cytometry (Intracellular)", "shortname":"Flow Cyt (Intra)"} }, "product-promise": { "all": "all", "testedAndGuaranteed": "tested", "guaranteed": "expected", "predicted": "predicted", "notRecommended": "not-recommended" } }, "values": { "Human": { "IHCP-species-checked": "testedAndGuaranteed", "IHCP-species-dilution-info": "1/50 - 1/100", "IHCP-species-notes": "<p>For unpurified use at 1/50-1/100.</p>", "IP-species-checked": "notRecommended", "IP-species-dilution-info": "", "IP-species-notes": "<p></p>", "WB-species-checked": "testedAndGuaranteed", "WB-species-dilution-info": "1/10000 - 1/50000", "WB-species-notes": "<p></p>", "ICCIF-species-checked": "testedAndGuaranteed", "ICCIF-species-dilution-info": "1/100 - 1/250", "ICCIF-species-notes": "<p></p>", "FlowCytIntra-species-checked": "testedAndGuaranteed", "FlowCytIntra-species-dilution-info": "1/1200", "FlowCytIntra-species-notes": "<p></p>" }, "Mouse": { "IHCP-species-checked": "testedAndGuaranteed", "IHCP-species-dilution-info": "1/50 - 1/100", "IHCP-species-notes": "<p>For unpurified use at 1/50-1/100.</p>", "IP-species-checked": "notRecommended", "IP-species-dilution-info": "", "IP-species-notes": "<p></p>", "WB-species-checked": "testedAndGuaranteed", "WB-species-dilution-info": "1/10000 - 1/50000", "WB-species-notes": "<p></p>", "ICCIF-species-checked": "guaranteed", "ICCIF-species-dilution-info": "", "ICCIF-species-notes": "", "FlowCytIntra-species-checked": "guaranteed", "FlowCytIntra-species-dilution-info": "", "FlowCytIntra-species-notes": "" }, "Rat": { "IHCP-species-checked": "testedAndGuaranteed", "IHCP-species-dilution-info": "1/50 - 1/100", "IHCP-species-notes": "<p>For unpurified use at 1/50-1/100.</p>", "IP-species-checked": "notRecommended", "IP-species-dilution-info": "", "IP-species-notes": "<p></p>", "WB-species-checked": "testedAndGuaranteed", "WB-species-dilution-info": "1/10000 - 1/50000", "WB-species-notes": "<p></p>", "ICCIF-species-checked": "guaranteed", "ICCIF-species-dilution-info": "", "ICCIF-species-notes": "", "FlowCytIntra-species-checked": "guaranteed", "FlowCytIntra-species-dilution-info": "", "FlowCytIntra-species-notes": "" } } }

Product details

Patented technology
Our RabMAb® technology is a patented hybridoma-based technology for making rabbit monoclonal antibodies. For details on our patents, please refer to RabMAb® patents.

What are the advantages of a recombinant monoclonal antibody?
This product is a recombinant monoclonal antibody, which offers several advantages including:

  • - High batch-to-batch consistency and reproducibility
  • - Improved sensitivity and specificity
  • - Long-term security of supply
  • - Animal-free batch production

For more information, read more on recombinant antibodies.

Properties and storage information

Form
Liquid
Purification technique
Affinity purification Protein A
Storage buffer
Preservative: 0.01% Sodium azide Constituents: PBS, 40% Glycerol (glycerin, glycerine), 0.05% BSA
Shipped at conditions
Blue Ice
Appropriate short-term storage duration
1-2 weeks
Appropriate short-term storage conditions
+4°C
Appropriate long-term storage conditions
-20°C
Aliquoting information
Upon delivery aliquot
Storage information
Avoid freeze / thaw cycle

Supplementary information

This supplementary information is collated from multiple sources and compiled automatically.

ASH2L also known as ASH2 is a protein with a mass of approximately 75 kDa. It functions as part of the trithorax group (TrxG) complex specifically the COMPASS-like complex where it plays an important role in histone methylation. This methylation occurs at histone H3 on lysine 4 (H3K4) an important modification for transcriptional activation. ASH2L expresses in various tissues with significant levels in the nucleus due to its involvement in chromatin modification.
Biological function summary

ASH2L participates in the regulation of gene expression. It acts as a core subunit of the SET/MLL family of H3K4 methyltransferases which form part of larger COMPASS-like complexes. These complexes modulate chromatin structure influencing transcriptional activation by methylating histone H3 at lysine 4. This modification is essential for the transition from transcriptional repression to activation during development and cell differentiation. ASH2L's role in these processes highlights its importance in maintaining proper gene expression patterns.

Pathways

ASH2L participates in the Wnt signaling pathway and influences the cell cycle. In the Wnt pathway ASH2L interacts with proteins such as β-catenin to modulate the transcription of target genes. It also affects the methylation status of promoters in various signaling pathways contributing to the regulation of gene expression involved in cell proliferation and differentiation. Additionally ASH2L is functionally connected to other proteins like MLL1 which shares involvement in chromatin remodeling and is important for epigenetic regulation.

ASH2L association with cancer and neurodevelopmental disorders is significant. Changes in ASH2L expression or function can lead to dysregulation of gene expression promoting oncogenesis or developmental abnormalities. In some cancers ASH2L's interaction with MLL can result in altered histone marks affecting tumor suppressor or oncogene expression. Besides cancer neurodevelopmental disorders like intellectual disability may have links to ASH2L due to its role in regulating genes involved in brain development. Understanding ASH2L's interactions and dysfunctions in these contexts provides insight into potential therapeutic approaches.

Product protocols

For this product, it's our understanding that no specific protocols are required. You can visit:

Target data

Transcriptional regulator (PubMed : 12670868). Component or associated component of some histone methyltransferase complexes which regulates transcription through recruitment of those complexes to gene promoters (PubMed : 19131338). Component of the Set1/Ash2 histone methyltransferase (HMT) complex, a complex that specifically methylates 'Lys-4' of histone H3, but not if the neighboring 'Lys-9' residue is already methylated (PubMed : 19556245). As part of the MLL1/MLL complex it is involved in methylation and dimethylation at 'Lys-4' of histone H3 (PubMed : 19556245). May play a role in hematopoiesis (PubMed : 12670868). In association with RBBP5 and WDR5, stimulates the histone methyltransferase activities of KMT2A, KMT2B, KMT2C, KMT2D, SETD1A and SETD1B (PubMed : 21220120, PubMed : 22266653).
See full target information ASH2L

Publications (3)

Recent publications for all applications. Explore the full list and refine your search

Cancer biology & therapy 24:2216041 PubMed37287122

2023

CSTF2T facilitates pancreatic adenocarcinoma growth and metastasis by elevating H3K4Me1 methylation of CALB2 via ASH2L.

Applications

Unspecified application

Species

Unspecified reactive species

Wei Liu,Dongwei Hu,Jinjie Li,Qigang Xu,Zongjing Chen,Bo Xu

EMBO reports 20: PubMed30858340

2019

KMT1 family methyltransferases regulate heterochromatin-nuclear periphery tethering via histone and non-histone protein methylation.

Applications

Unspecified application

Species

Unspecified reactive species

Radhika Arasala Rao,Alhad Ashok Ketkar,Neelam Kedia,Vignesh K Krishnamoorthy,Vairavan Lakshmanan,Pankaj Kumar,Abhishek Mohanty,Shilpa Dilip Kumar,Sufi O Raja,Akash Gulyani,Chandra Prakash Chaturvedi,Marjorie Brand,Dasaradhi Palakodeti,Shravanti Rampalli

Nature neuroscience 19:905-14 PubMed27239938

2016

An epigenetic mechanism mediates developmental nicotine effects on neuronal structure and behavior.

Applications

Unspecified application

Species

Unspecified reactive species

Yonwoo Jung,Lawrence S Hsieh,Angela M Lee,Zhifeng Zhou,Daniel Coman,Christopher J Heath,Fahmeed Hyder,Yann S Mineur,Qiaoping Yuan,David Goldman,Angelique Bordey,Marina R Picciotto
View all publications

Product promise

We are committed to supporting your work with high-quality reagents, and we're here for you every step of the way. In the unlikely event that one of our products does not perform as expected, you're protected by our Product Promise.
For full details, please see our Terms & Conditions

Please note: All products are 'FOR RESEARCH USE ONLY. NOT FOR USE IN DIAGNOSTIC OR THERAPEUTIC PROCEDURES'.

For licensing inquiries, please contact partnerships@abcam.com