JavaScript is disabled in your browser. Please enable JavaScript to view this website.
AB314129

Anti-ASH2L antibody [EPR28054-48] - BSA and Azide free

Be the first to review this product! Submit a review

|

(0 Publication)

Rabbit Recombinant Monoclonal ASH2L antibody. Carrier free. Suitable for WB, IHC-P, ICC/IF, Flow Cyt (Intra), IP and reacts with Human, Mouse, Rat samples.

View Alternative Names

Set1/Ash2 histone methyltransferase complex subunit ASH2, ASH2-like protein, Ash2l

11 Images
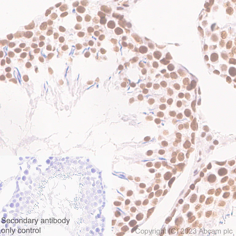
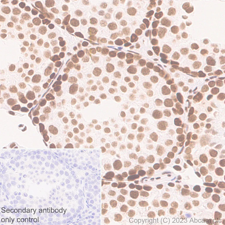
Immunohistochemistry (Formalin/PFA-fixed paraffin-embedded sections) - Anti-ASH2L antibody [EPR28054-48] - BSA and Azide free (AB314129)
  • IHC-P

Supplier Data

Immunohistochemistry (Formalin/PFA-fixed paraffin-embedded sections) - Anti-ASH2L antibody [EPR28054-48] - BSA and Azide free (AB314129)

This data was developed using ab314128, the same antibody clone in a different buffer formulation.

Immunohistochemical analysis of paraffin-embedded Human testis tissue labeling ASH2L with ab314128 at 1/500 (1.01 ug/ml) dilution, followed by a ready to use LeicaDS9800 (Bond™ Polymer Refine Detection).

Positive staining on human testis. The section was incubated with ab314128 for 30 mins at room temperature. The immunostaining was performed on a Leica Biosystems BOND® RX instrument. Counterstained with Hematoxylin.

Secondary antibody only control : Secondary antibody is a ready to use LeicaDS9800 (Bond™ Polymer Refine Detection).

Heat mediated antigen retrieval was performed with Tris-EDTA buffer (pH 9.0, Epitope Retrieval Solution2) for 20 mins.

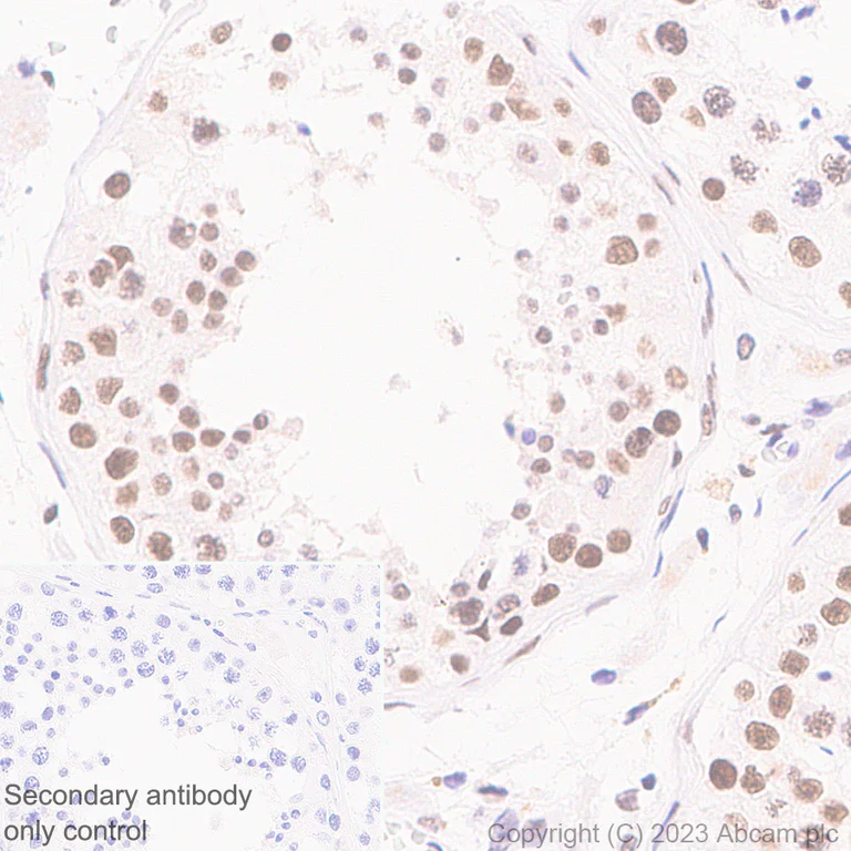
Immunohistochemistry (Formalin/PFA-fixed paraffin-embedded sections) - Anti-ASH2L antibody [EPR28054-48] - BSA and Azide free (AB314129)
  • IHC-P

Supplier Data

Immunohistochemistry (Formalin/PFA-fixed paraffin-embedded sections) - Anti-ASH2L antibody [EPR28054-48] - BSA and Azide free (AB314129)

This data was developed using ab314128, the same antibody clone in a different buffer formulation.

Immunohistochemical analysis of paraffin-embedded Mouse testis tissue labeling ASH2L with ab314128 at 1/1000 (0.505 ug/ml) dilution, followed by a ready to use LeicaDS9800 (Bond™ Polymer Refine Detection).

Positive staining on mouse testis. The section was incubated with ab314128 for 30 mins at room temperature. The immunostaining was performed on a Leica Biosystems BOND® RX instrument. Counterstained with Hematoxylin.

Secondary antibody only control : Secondary antibody is a ready to use LeicaDS9800 (Bond™ Polymer Refine Detection).

Heat mediated antigen retrieval was performed with Tris-EDTA buffer (pH 9.0, Epitope Retrieval Solution2) for 20 mins.

Immunocytochemistry/ Immunofluorescence - Anti-ASH2L antibody [EPR28054-48] - BSA and Azide free (AB314129)
  • ICC/IF

Supplier Data

Immunocytochemistry/ Immunofluorescence - Anti-ASH2L antibody [EPR28054-48] - BSA and Azide free (AB314129)

This data was developed using ab314128, the same antibody clone in a different buffer formulation.

Immunofluorescent analysis of 4% Paraformaldehyde-fixed, 0.1% TritonX-100 permeabilized ES-D3 [D3] (mouse blastocyst-derived embryonic stem cell) cells labelling ASH2L with ab314128 at 1/50 (10.1 ug/ml) dilution, followed by ab150081 Goat Anti-Rabbit IgG H&L (Alexa Fluor® 488) preadsorbed antibody at 1/1000 2 ug/mL dilution (Green).

Confocal image showing nuclear staining in ES-D3 [D3] cell line. Image was taken with a confocal microscope (Leica-Microsystems, TCS SP8).

ab195889 Anti-alpha Tubulin mouse monoclonal antibody - Microtubule Marker (Alexa Fluor® 594) was used to counterstain tubulin at 1/200 2.5ug/ml dilution (Red). The Nuclear counterstain was DAPI (Blue).

Secondary antibody only control : Secondary antibody is ab150081 Goat Anti-Rabbit IgG H&L (Alexa Fluor® 488) preadsorbed at 1/1000 2 ug/ml dilution.

Immunohistochemistry (Formalin/PFA-fixed paraffin-embedded sections) - Anti-ASH2L antibody [EPR28054-48] - BSA and Azide free (AB314129)
  • IHC-P

Supplier Data

Immunohistochemistry (Formalin/PFA-fixed paraffin-embedded sections) - Anti-ASH2L antibody [EPR28054-48] - BSA and Azide free (AB314129)

This data was developed using ab314128, the same antibody clone in a different buffer formulation.

Immunohistochemical analysis of paraffin-embedded Rat testis tissue labeling ASH2L with ab314128 at 1/1000 (0.505 ug/ml) dilution, followed by a ready to use LeicaDS9800 (Bond™ Polymer Refine Detection).

Positive staining on rat testis. The section was incubated with ab314128 for 30 mins at room temperature. The immunostaining was performed on a Leica Biosystems BOND® RX instrument. Counterstained with Hematoxylin.

Secondary antibody only control : Secondary antibody is a ready to use LeicaDS9800 (Bond™ Polymer Refine Detection).

Heat mediated antigen retrieval was performed with Tris-EDTA buffer (pH 9.0, Epitope Retrieval Solution2) for 20 mins.

Flow Cytometry (Intracellular) - Anti-ASH2L antibody [EPR28054-48] - BSA and Azide free (AB314129)
  • Flow Cyt (Intra)

Supplier Data

Flow Cytometry (Intracellular) - Anti-ASH2L antibody [EPR28054-48] - BSA and Azide free (AB314129)

This data was developed using ab314128, the same antibody clone in a different buffer formulation.

Flow cytometric analysis of 4% paraformaldehyde fixed 90% methanol permeabilized ES-D3 (mouse blastocyst-derived embryonic stem cell) cells labelling ASH2L with ab314128 at 1/500 dilution (0.1 ug)/Red (Red) compared with a Rabbit monoclonal IgG (ab172730) (Black) isotype control and an unlabelled control (cells without incubation with primary antibody and secondary antibody) (Blue).

Goat Anti-Rabbit IgG (Alexa Fluor® 488, ab150081) at 1/5000 dilution was used as the secondary antibody.

Immunoprecipitation - Anti-ASH2L antibody [EPR28054-48] - BSA and Azide free (AB314129)
  • IP

Supplier Data

Immunoprecipitation - Anti-ASH2L antibody [EPR28054-48] - BSA and Azide free (AB314129)

This data was developed using ab314128, the same antibody clone in a different buffer formulation.

ASH2L was immunoprecipitated from 0.35 mg ES-D3 (mouse embryonic pluripotent stem Cell) whole cell lysate with ab314128 at 1/30 dilution (2ug in 0.35mg lysates). Western blot was performed on the immunoprecipitate using ab314128 at 1/1000 dilution. VeriBlot for IP secondary antibody(HRP)(ab131366) was used at 1/5000 dilution.

Blocking and diluting buffer and concentration : 5% NFDM/TBST.

Lysate was freshly made and used for Western blotting immediately to minimize protein degradation.

All lanes:

Immunoprecipitation - Anti-ASH2L antibody [EPR28054-48] (<a href='/en-us/products/primary-antibodies/ash2l-antibody-epr28054-48-ab314128'>ab314128</a>) at 1/1000 dilution

Lane 1:

ES-D3 (mouse embryonic pluripotent stem Cell) whole cell lysate

Lane 2:

<a href='/en-us/products/primary-antibodies/ash2l-antibody-epr28054-48-ab314128'>ab314128</a> IP in ES-D3 (mouse embryonic pluripotent stem Cell) whole cell lysate

Lane 3:

Rabbit monoclonal IgG (<a href='/en-us/products/primary-antibodies/rabbit-igg-monoclonal-epr25a-isotype-control-ab172730'>ab172730</a>) instead of <a href='/en-us/products/primary-antibodies/ash2l-antibody-epr28054-48-ab314128'>ab314128</a> in ES-D3 whole cell lysate

Secondary

All lanes:

Immunoprecipitation - VeriBlot for IP Detection Reagent (HRP) (<a href='/en-us/products/reagents/veriblot-for-ip-detection-reagent-hrp-ab131366'>ab131366</a>) at 1/5000 dilution

false

Exposure time: 3s

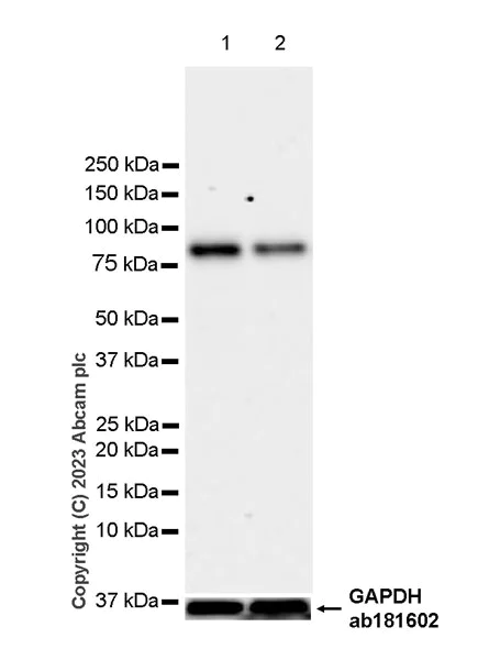
Western blot - Anti-ASH2L antibody [EPR28054-48] - BSA and Azide free (AB314129)
  • WB

Supplier Data

Western blot - Anti-ASH2L antibody [EPR28054-48] - BSA and Azide free (AB314129)

This data was developed using ab314128, the same antibody clone in a different buffer formulation.

The expression profile/ molecular weight observed is consistent with what has been described in the literature (PMID : 15199122).

Western blot, Anti-GAPDH antibody [EPR16891] - Loading Control (ab181602) staining at 1/200000 dilution.

Blocking and diluting buffer and concentration : 5% NFDM/TBST.

All lanes:

Western blot - Anti-ASH2L antibody [EPR28054-48] (<a href='/en-us/products/primary-antibodies/ash2l-antibody-epr28054-48-ab314128'>ab314128</a>) at 1/1000 dilution

All lanes:

K562 (human chronic myelogenous leukemia lymphoblast) whole cell lysate at 20 µg

Secondary

All lanes:

Western blot - Goat Anti-Rabbit IgG H&L (HRP) (<a href='/en-us/products/secondary-antibodies/goat-rabbit-igg-h-l-hrp-ab97051'>ab97051</a>) at 1/100000 dilution

Observed band size: 65 kDa,80 kDa,36 kDa

false

Exposure time: 10s

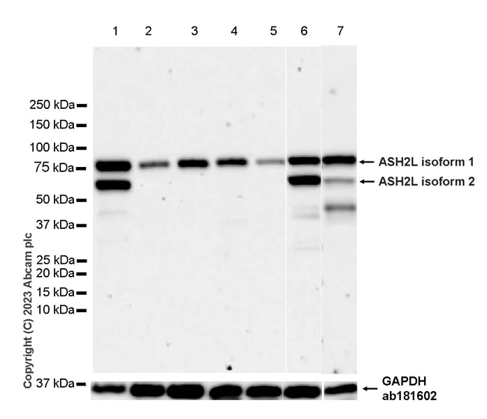
Western blot - Anti-ASH2L antibody [EPR28054-48] - BSA and Azide free (AB314129)
  • WB

Supplier Data

Western blot - Anti-ASH2L antibody [EPR28054-48] - BSA and Azide free (AB314129)

This data was developed using ab314128, the same antibody clone in a different buffer formulation.

The expression profile/ molecular weight observed is consistent with what has been described in the literature (PMID : 15199122).

Lanes 1-6 are applied with Goat Anti-Rabbit IgG, (H+L), Peroxidase conjugated (ab97051) at 1/100000 and lane 7 is applied with Goat Anti-Rabbit IgG (HRP) with minimal cross-reactivity with human IgG at 1/2000.

In Western blot, Anti-GAPDH antibody [EPR16891] - Loading Control (ab181602) staining at 1/200000 dilution.

Exposure time : Lanes 1-6 : 180 seconds, lane 7 : 37 seconds

Blocking and diluting buffer and concentration : 5% NFDM/TBST.

All lanes:

Western blot - Anti-ASH2L antibody [EPR28054-48] (<a href='/en-us/products/primary-antibodies/ash2l-antibody-epr28054-48-ab314128'>ab314128</a>) at 1/1000 dilution

Lane 1:

Mouse testis tissue lysate at 20 µg

Lane 2:

Mouse heart tissue lysate at 20 µg

Lane 3:

Mouse lung tissue lysate at 20 µg

Lane 4:

Mouse liver tissue lysate at 20 µg

Lane 5:

Rat heart tissue lysate at 20 µg

Lane 6:

Rat testis tissue lysate at 20 µg

Lane 7:

Human testis tissue lysate at 20 µg

Secondary

Lanes 1 - 6:

Western blot - Goat Anti-Rabbit IgG H&L (HRP) (<a href='/en-us/products/secondary-antibodies/goat-rabbit-igg-h-l-hrp-ab97051'>ab97051</a>) at 1/100000 dilution

Lane 7:

Goat Anti-Rabbit IgG (HRP) with minimal cross-reactivity with human IgG at 1/2000 dilution

Observed band size: 65 kDa,80 kDa,36 kDa

false

Western blot - Anti-ASH2L antibody [EPR28054-48] - BSA and Azide free (AB314129)
  • WB

Supplier Data

Western blot - Anti-ASH2L antibody [EPR28054-48] - BSA and Azide free (AB314129)

This data was developed using ab314128, the same antibody clone in a different buffer formulation.

In Western blot, Anti-GAPDH antibody [EPR16891] - Loading Control (ab181602) staining at 1/200000 dilution.

Blocking and diluting buffer and concentration : 5% NFDM/TBST.

All lanes:

Western blot - Anti-ASH2L antibody [EPR28054-48] (<a href='/en-us/products/primary-antibodies/ash2l-antibody-epr28054-48-ab314128'>ab314128</a>) at 1/1000 dilution

Lane 1:

F9 (mouse embryonal carcinoma epithelial cell) transfected with scrambled siRNA control whole cell lysate at 20 µg

Lane 2:

F9 transfected with siRNA specifically targeting ASH2L whole cell lysate at 20 µg

Secondary

All lanes:

Western blot - Goat Anti-Rabbit IgG H&L (HRP) (<a href='/en-us/products/secondary-antibodies/goat-rabbit-igg-h-l-hrp-ab97051'>ab97051</a>) at 1/100000 dilution

Observed band size: 65 kDa,80 kDa,36 kDa

false

Exposure time: 26s

Western blot - Anti-ASH2L antibody [EPR28054-48] - BSA and Azide free (AB314129)
  • WB

Supplier Data

Western blot - Anti-ASH2L antibody [EPR28054-48] - BSA and Azide free (AB314129)

This data was developed using ab314128, the same antibody clone in a different buffer formulation.

In Western blot, Anti-GAPDH antibody [EPR16891] - Loading Control (ab181602) staining at 1/200000 dilution.

Blocking and diluting buffer and concentration : 5% NFDM/TBST.

All lanes:

Western blot - Anti-ASH2L antibody [EPR28054-48] (<a href='/en-us/products/primary-antibodies/ash2l-antibody-epr28054-48-ab314128'>ab314128</a>) at 1/1000 dilution

Lane 1:

NIH/3T3 (mouse embryonic fibroblast) transfected with scrambled siRNA control whole cell lysate at 20 µg

Lane 2:

NIH/3T3 transfected with siRNA specifically targeting ASH2L whole cell lysate at 20 µg

Secondary

All lanes:

Western blot - Goat Anti-Rabbit IgG H&L (HRP) (<a href='/en-us/products/secondary-antibodies/goat-rabbit-igg-h-l-hrp-ab97051'>ab97051</a>) at 1/100000 dilution

Observed band size: 80 kDa,36 kDa

false

Exposure time: 37s

Western blot - Anti-ASH2L antibody [EPR28054-48] - BSA and Azide free (AB314129)
  • WB

Supplier Data

Western blot - Anti-ASH2L antibody [EPR28054-48] - BSA and Azide free (AB314129)

This data was developed using ab314128, the same antibody clone in a different buffer formulation.

The expression profile/ molecular weight observed is consistent with what has been described in the literature (PMID : 15199122).

In lanes 1-3, the lysates were stored at -80℃ prior to Western Blotting. The bands beneath the target band (40 kDa) are likely to be degradation products. In lane 4, the lysate was freshly made and used for Western Blotting immediately to minimize protein degradation.

In Western blot, Anti-GAPDH antibody [EPR16891] - Loading Control (ab181602) staining at 1/200000 dilution.

Blocking and diluting buffer and concentration : 5% NFDM/TBST.

All lanes:

Western blot - Anti-ASH2L antibody [EPR28054-48] (<a href='/en-us/products/primary-antibodies/ash2l-antibody-epr28054-48-ab314128'>ab314128</a>) at 1/1000 dilution

Lanes 1 and 4:

ES-D3 (mouse embryonic pluripotent stem Cell) whole cell lysate at 20 µg

Lane 2:

F9 (mouse embryonal carcinoma epithelial cell) whole cell lysate at 20 µg

Lane 3:

MEF (mouse embryonic fibroblast (immortalized)) whole cell lysate at 20 µg

Secondary

All lanes:

Western blot - Goat Anti-Rabbit IgG H&L (HRP) (<a href='/en-us/products/secondary-antibodies/goat-rabbit-igg-h-l-hrp-ab97051'>ab97051</a>) at 1/100000 dilution

Observed band size: 65 kDa,80 kDa,36 kDa

false

Exposure time: 37s

Key facts

Host species

Rabbit

Clonality

Monoclonal

Clone number

EPR28054-48

Isotype

IgG

Carrier free

Yes

Reacts with

Human, Mouse, Rat

Applications

IP, WB, Flow Cyt (Intra), ICC/IF, IHC-P

applications

Immunogen

The exact immunogen used to generate this antibody is proprietary information.

Reactivity data

{ "title": "Reactivity Data", "filters": { "stats": ["", "Species", "Dilution Info", "Notes"], "tabs": { "all-applications": {"fullname" : "All Applications", "shortname": "All Applications"}, "WB" : {"fullname" : "Western blot", "shortname":"WB"}, "IHCP" : {"fullname" : "Immunohistochemistry (Formalin/PFA-fixed paraffin-embedded sections)", "shortname":"IHC-P"}, "ICCIF" : {"fullname" : "Immunocytochemistry/ Immunofluorescence", "shortname":"ICC/IF"}, "FlowCytIntra" : {"fullname" : "Flow Cytometry (Intracellular)", "shortname":"Flow Cyt (Intra)"}, "IP" : {"fullname" : "Immunoprecipitation", "shortname":"IP"} }, "product-promise": { "all": "all", "testedAndGuaranteed": "tested", "guaranteed": "expected", "predicted": "predicted", "notRecommended": "not-recommended" } }, "values": { "Human": { "WB-species-checked": "testedAndGuaranteed", "WB-species-dilution-info": "", "WB-species-notes": "<p></p>", "IHCP-species-checked": "testedAndGuaranteed", "IHCP-species-dilution-info": "", "IHCP-species-notes": "<p></p>", "ICCIF-species-checked": "guaranteed", "ICCIF-species-dilution-info": "", "ICCIF-species-notes": "", "FlowCytIntra-species-checked": "guaranteed", "FlowCytIntra-species-dilution-info": "", "FlowCytIntra-species-notes": "", "IP-species-checked": "guaranteed", "IP-species-dilution-info": "", "IP-species-notes": "" }, "Mouse": { "WB-species-checked": "testedAndGuaranteed", "WB-species-dilution-info": "", "WB-species-notes": "<p></p>", "IHCP-species-checked": "testedAndGuaranteed", "IHCP-species-dilution-info": "", "IHCP-species-notes": "<p></p>", "ICCIF-species-checked": "testedAndGuaranteed", "ICCIF-species-dilution-info": "", "ICCIF-species-notes": "<p></p>", "FlowCytIntra-species-checked": "testedAndGuaranteed", "FlowCytIntra-species-dilution-info": "", "FlowCytIntra-species-notes": "<p></p>", "IP-species-checked": "testedAndGuaranteed", "IP-species-dilution-info": "", "IP-species-notes": "<p></p>" }, "Rat": { "WB-species-checked": "testedAndGuaranteed", "WB-species-dilution-info": "", "WB-species-notes": "<p></p>", "IHCP-species-checked": "testedAndGuaranteed", "IHCP-species-dilution-info": "", "IHCP-species-notes": "<p></p>", "ICCIF-species-checked": "guaranteed", "ICCIF-species-dilution-info": "", "ICCIF-species-notes": "", "FlowCytIntra-species-checked": "guaranteed", "FlowCytIntra-species-dilution-info": "", "FlowCytIntra-species-notes": "", "IP-species-checked": "guaranteed", "IP-species-dilution-info": "", "IP-species-notes": "" } } }

Product details

ab314129 is the carrier-free version of ab314128.

Patented technology
Our RabMAb® technology is a patented hybridoma-based technology for making rabbit monoclonal antibodies. For details on our patents, please refer to RabMAb® patents.

What are the advantages of a recombinant monoclonal antibody?
This product is a recombinant monoclonal antibody, which offers several advantages including:

  • - High batch-to-batch consistency and reproducibility
  • - Improved sensitivity and specificity
  • - Long-term security of supply
  • - Animal-free batch production

For more information, read more on recombinant antibodies.

Conjugation ready
Our carrier-free antibodies are typically supplied in a PBS-only formulation, purified and free of BSA, sodium azide and glycerol. This conjugation-ready format is designed for use with fluorochromes, metal isotopes, oligonucleotides, and enzymes, which makes them ideal for antibody labelling, functional and cell-based assays, flow-based assays (e.g. mass cytometry) and Multiplex Imaging applications.

Use our conjugation kits for antibody conjugates that are ready-to-use in as little as 20 minutes with 1 minute hands-on-time and 100% antibody recovery: available for fluorescent dyes, HRP, biotin and gold.

Compatibility
This product is compatible with the Maxpar® Antibody Labeling Kit from Fluidigm, without the need for antibody preparation. Maxpar® is a trademark of Fluidigm Canada Inc.

Properties and storage information

Form
Liquid
Purification technique
Affinity purification Protein A
Storage buffer
pH: 7.2 - 7.4 Constituents: PBS
Shipped at conditions
Blue Ice
Appropriate short-term storage conditions
+4°C
Appropriate long-term storage conditions
+4°C

Supplementary information

This supplementary information is collated from multiple sources and compiled automatically.

ASH2L also known as ASH2 is a protein with a mass of approximately 75 kDa. It functions as part of the trithorax group (TrxG) complex specifically the COMPASS-like complex where it plays an important role in histone methylation. This methylation occurs at histone H3 on lysine 4 (H3K4) an important modification for transcriptional activation. ASH2L expresses in various tissues with significant levels in the nucleus due to its involvement in chromatin modification.
Biological function summary

ASH2L participates in the regulation of gene expression. It acts as a core subunit of the SET/MLL family of H3K4 methyltransferases which form part of larger COMPASS-like complexes. These complexes modulate chromatin structure influencing transcriptional activation by methylating histone H3 at lysine 4. This modification is essential for the transition from transcriptional repression to activation during development and cell differentiation. ASH2L's role in these processes highlights its importance in maintaining proper gene expression patterns.

Pathways

ASH2L participates in the Wnt signaling pathway and influences the cell cycle. In the Wnt pathway ASH2L interacts with proteins such as β-catenin to modulate the transcription of target genes. It also affects the methylation status of promoters in various signaling pathways contributing to the regulation of gene expression involved in cell proliferation and differentiation. Additionally ASH2L is functionally connected to other proteins like MLL1 which shares involvement in chromatin remodeling and is important for epigenetic regulation.

ASH2L association with cancer and neurodevelopmental disorders is significant. Changes in ASH2L expression or function can lead to dysregulation of gene expression promoting oncogenesis or developmental abnormalities. In some cancers ASH2L's interaction with MLL can result in altered histone marks affecting tumor suppressor or oncogene expression. Besides cancer neurodevelopmental disorders like intellectual disability may have links to ASH2L due to its role in regulating genes involved in brain development. Understanding ASH2L's interactions and dysfunctions in these contexts provides insight into potential therapeutic approaches.

Product protocols

For this product, it's our understanding that no specific protocols are required. You can visit:

Target data

Transcriptional regulator (By similarity). Component or associated component of some histone methyltransferase complexes which regulates transcription through recruitment of those complexes to gene promoters (By similarity). Component of the Set1/Ash2 histone methyltransferase (HMT) complex, a complex that specifically methylates 'Lys-4' of histone H3, but not if the neighboring 'Lys-9' residue is already methylated (By similarity). As part of the MLL1/MLL complex it is involved in methylation and dimethylation at 'Lys-4' of histone H3 (By similarity). May play a role in hematopoiesis (By similarity). In association with RBBP5 and WDR5, stimulates the histone methyltransferase activities of KMT2A, KMT2B, KMT2C, KMT2D, SETD1A and SETD1B (By similarity).
See full target information Ash2l

Product promise

We are committed to supporting your work with high-quality reagents, and we're here for you every step of the way. In the unlikely event that one of our products does not perform as expected, you're protected by our Product Promise.
For full details, please see our Terms & Conditions

Please note: All products are 'FOR RESEARCH USE ONLY. NOT FOR USE IN DIAGNOSTIC OR THERAPEUTIC PROCEDURES'.

For licensing inquiries, please contact partnerships@abcam.com