JavaScript is disabled in your browser. Please enable JavaScript to view this website.
AB254261

Anti-Asialoglycoprotein Receptor 1/HL-1 antibody [EPR22639-68]

5

(2 Reviews)

|

(3 Publications)

Rabbit Recombinant Monoclonal Asialoglycoprotein Receptor 1/HL-1 antibody. Suitable for IP, WB, ICC/IF, IHC-P and reacts with Human samples. Cited in 3 publications.

View Alternative Names

CLEC4H1, ASGR1, Asialoglycoprotein receptor 1, ASGP-R 1, ASGPR 1, C-type lectin domain family 4 member H1, Hepatic lectin H1, HL-1

8 Images
Immunocytochemistry/ Immunofluorescence - Anti-Asialoglycoprotein Receptor 1/HL-1 antibody [EPR22639-68] (AB254261)
  • ICC/IF

Unknown

Immunocytochemistry/ Immunofluorescence - Anti-Asialoglycoprotein Receptor 1/HL-1 antibody [EPR22639-68] (AB254261)

Immunofluorescent analysis of 100% Methanol-fixed HepG2 (human hepatocellular carcinoma epithelial cell) cells labeling Asialoglycoprotein Receptor 1/HL-1 with at 1/50 dilution, followed by ab150077 AlexaFluor®488 Goat anti-Rabbit secondary antibody at 1/1000 dilution (Green). Confocal image showing cytoplasmic staining in HepG2 cell line is observed. Methanol fixation is preferred.

ab195889 Anti-alpha Tubulin antibody [DM1A] - Microtubule Marker (Alexa Fluor® 594) was used to counterstain tubulin at 1/200 dilution (Red). The nuclear counterstain was DAPI (Blue).

Secondary antibody only control : Used PBS instead of primary antibody, secondary antibody is ab150077 AlexaFluor®488 Goat anti-Rabbit secondary at 1/1000 dilution.

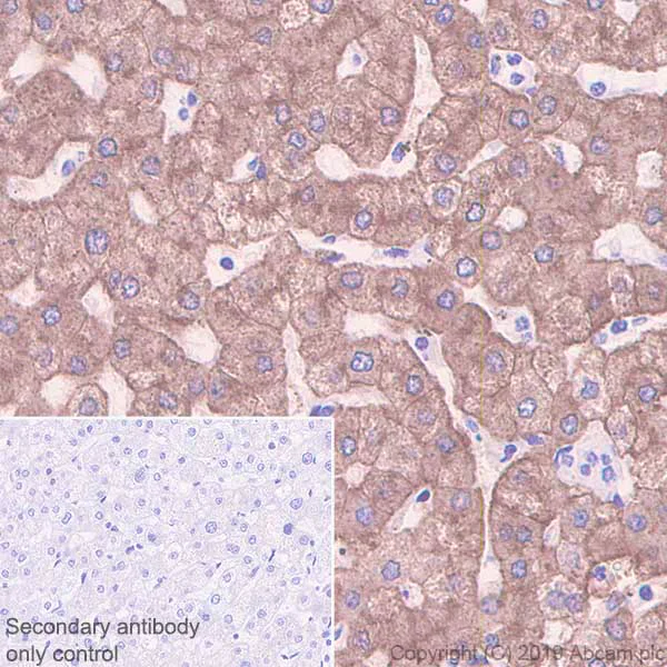
Immunohistochemistry (Formalin/PFA-fixed paraffin-embedded sections) - Anti-Asialoglycoprotein Receptor 1/HL-1 antibody [EPR22639-68] (AB254261)
  • IHC-P

Unknown

Immunohistochemistry (Formalin/PFA-fixed paraffin-embedded sections) - Anti-Asialoglycoprotein Receptor 1/HL-1 antibody [EPR22639-68] (AB254261)

Immunohistochemical analysis of paraffin-embedded human liver tissue labeling Asialoglycoprotein Receptor 1/HL-1 with ab254261 at 1/2000 dilution (0.25 μg/ml) followed by a ready to use Goat Anti-Rabbit IgG H&L (HRP). Positive staining in human liver (PMID : 23979840,26422581,27241665). Counterstained with hematoxylin. Heat mediated antigen retrieval using ab93684 (Tris/EDTA buffer, pH 9.0).

Secondary antibody only control : Used PBS instead of primary antibody, secondary antibody is a ready to use Goat Anti-Rabbit IgG H&L (HRP).

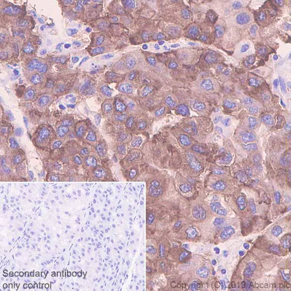
Immunohistochemistry (Formalin/PFA-fixed paraffin-embedded sections) - Anti-Asialoglycoprotein Receptor 1/HL-1 antibody [EPR22639-68] (AB254261)
  • IHC-P

Unknown

Immunohistochemistry (Formalin/PFA-fixed paraffin-embedded sections) - Anti-Asialoglycoprotein Receptor 1/HL-1 antibody [EPR22639-68] (AB254261)

Immunohistochemical analysis of paraffin-embedded human liver cancer tissue labeling Asialoglycoprotein Receptor 1/HL-1 with ab254261 at 1/2000 dilution (0.25 μg/ml) followed by a ready to use Goat Anti-Rabbit IgG H&L (HRP). Positive staining in human liver cancer (PMID : 23979840,26422581,27241665).No staining in human colon (PMID : 23979840). Counterstained with hematoxylin. Heat mediated antigen retrieval using ab93684 (Tris/EDTA buffer, pH 9.0).

Secondary antibody only control : Used PBS instead of primary antibody, secondary antibody is a ready to use Goat Anti-Rabbit IgG H&L (HRP).

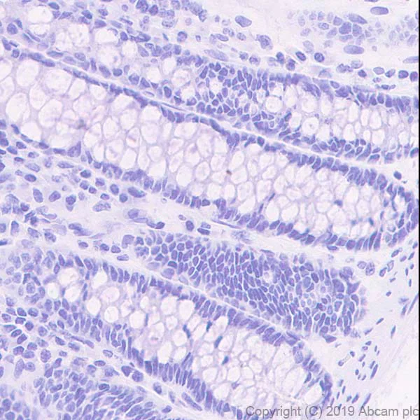
Immunohistochemistry (Formalin/PFA-fixed paraffin-embedded sections) - Anti-Asialoglycoprotein Receptor 1/HL-1 antibody [EPR22639-68] (AB254261)
  • IHC-P

Unknown

Immunohistochemistry (Formalin/PFA-fixed paraffin-embedded sections) - Anti-Asialoglycoprotein Receptor 1/HL-1 antibody [EPR22639-68] (AB254261)

Negative control : No staining in human colon (PMID : 23979840).

Immunohistochemical analysis of paraffin-embedded human colon tissue labeling Asialoglycoprotein Receptor 1/HL-1 with ab254261 at 1/2000 dilution (0.25 μg/ml) followed by a ready to use Goat Anti-Rabbit IgG H&L (HRP). Counterstained with hematoxylin. Heat mediated antigen retrieval using ab93684 (Tris/EDTA buffer, pH 9.0).

Secondary antibody only control : Used PBS instead of primary antibody, secondary antibody is a ready to use Goat Anti-Rabbit IgG H&L (HRP).

Immunoprecipitation - Anti-Asialoglycoprotein Receptor 1/HL-1 antibody [EPR22639-68] (AB254261)
  • IP

Unknown

Immunoprecipitation - Anti-Asialoglycoprotein Receptor 1/HL-1 antibody [EPR22639-68] (AB254261)

Asialoglycoprotein Receptor 1/HL-1 was immunoprecipitated from 0.35 mg HepG2 (Human hepatocellular carcinoma epithelial cell) whole cell lysate with ab254261 at 1/30 dilution (2μg in 0.35mg lysates). Western blot was performed on the immunoprecipitate using ab254261 1/1000 dilution (0.45 μg/ml). VeriBlot for IP Detection Reagent (HRP) (ab131366) was used at 1/5000 dilution.

Lane 1 : HepG2 (Human hepatocellular carcinoma epithelial cell) whole cell lysate 10μg
Lane 2 : ab254261 IP in HepG2 whole cell lysate
Lane 3 : Rabbit monoclonal IgG (ab172730) instead of ab254261 in HepG2 whole cell lysate.

Blocking and dilution buffer and concentration : 5% NFDM/TBST.

Exposure time : 1 second

All lanes:

Immunoprecipitation - Anti-Asialoglycoprotein Receptor 1/HL-1 antibody [EPR22639-68] (ab254261)

Predicted band size: 33 kDa

false

Immunoprecipitation - Anti-Asialoglycoprotein Receptor 1/HL-1 antibody [EPR22639-68] (AB254261)
  • IP

Unknown

Immunoprecipitation - Anti-Asialoglycoprotein Receptor 1/HL-1 antibody [EPR22639-68] (AB254261)

Asialoglycoprotein Receptor 1/HL-1 was immunoprecipitated from 0.35 mg human liver lysate with ab254261 at 1/30 dilution (2μg in 0.35mg lysates). Western blot was performed on the immunoprecipitate using ab254261 at 1/1000 dilution (0.45 μg/ml). VeriBlot for IP Detection Reagent (HRP) (ab131366) was used at 1/5000 dilution.

Lane 1 : Human liver lysate 10μg.

Lane 2 : ab254261 IP in human liver lysate.

Lane 3 : Rabbit monoclonal IgG (ab172730) instead of ab254261 in human liver lysate.

Blocking and dilution buffer and concentration : 5% NFDM/TBST.

Exposure time : 1 second

All lanes:

Immunoprecipitation - Anti-Asialoglycoprotein Receptor 1/HL-1 antibody [EPR22639-68] (ab254261)

Predicted band size: 33 kDa

false

Western blot - Anti-Asialoglycoprotein Receptor 1/HL-1 antibody [EPR22639-68] (AB254261)
  • WB

Unknown

Western blot - Anti-Asialoglycoprotein Receptor 1/HL-1 antibody [EPR22639-68] (AB254261)

The diffuse bands between 40-50 kDa are likely due to glycosylation.

The expression profile is consistent with what has been described in the literature (PMID : 27241665, 29858079, 22898823).

Blocking/Diluting buffer and concentration : 5% NFDM/TBST.

Exposure times : Lane 1 : 5.5 seconds; Lane 2 : 15 seconds.

All lanes:

Western blot - Anti-Asialoglycoprotein Receptor 1/HL-1 antibody [EPR22639-68] (ab254261) at 1/1000 dilution

Lane 1:

HepG2 (human hepatocellular carcinoma epithelial cell) whole cell lysate at 20 µg

Lane 2:

Human liver tissue lysate at 20 µg

Secondary

All lanes:

Western blot - Goat Anti-Rabbit IgG H&L (HRP) (<a href='/en-us/products/secondary-antibodies/goat-rabbit-igg-h-l-hrp-ab97051'>ab97051</a>) at 1/20000 dilution

Predicted band size: 33 kDa

Observed band size: 40-50 kDa

false

Western blot - Anti-Asialoglycoprotein Receptor 1/HL-1 antibody [EPR22639-68] (AB254261)
  • WB

Unknown

Western blot - Anti-Asialoglycoprotein Receptor 1/HL-1 antibody [EPR22639-68] (AB254261)

The diffuse bands between 40-50 kDa are likely due to glycosylation.

The expression profile is consistent with what has been described in the literature (PMID : 27241665, 29858079).

This blot was developed using a higher sensitivity ECL substrate.

Blocking/Diluting buffer and concentration : 5% NFDM/TBST

All lanes:

Western blot - Anti-Asialoglycoprotein Receptor 1/HL-1 antibody [EPR22639-68] (ab254261) at 1/1000 dilution

All lanes:

Huh7 (human hepatocellular carcinoma epithelial cell), whole cell lysate at 20 µg

Secondary

All lanes:

Western blot - Goat Anti-Rabbit IgG H&L (HRP) (<a href='/en-us/products/secondary-antibodies/goat-rabbit-igg-h-l-hrp-ab97051'>ab97051</a>) at 1/20000 dilution

Predicted band size: 33 kDa

Observed band size: 40-50 kDa

false

Exposure time: 3min

  • Carrier free

    Anti-Asialoglycoprotein Receptor 1/HL-1 antibody [EPR22639-68] - BSA and Azide free

  • 660 APC

    APC Anti-Asialoglycoprotein Receptor 1/HL-1 antibody [EPR22639-68]

  • 665 Alexa Fluor® 647

    Alexa Fluor® 647 Anti-Asialoglycoprotein Receptor 1/HL-1 antibody [EPR22639-68]

  • 617 Alexa Fluor® 594

    Alexa Fluor® 594 Anti-Asialoglycoprotein Receptor 1/HL-1 antibody [EPR22639-68]

  • 565 Alexa Fluor® 555

    Alexa Fluor® 555 Anti-Asialoglycoprotein Receptor 1/HL-1 antibody [EPR22639-68]

  • 519 Alexa Fluor® 488

    Alexa Fluor® 488 Anti-Asialoglycoprotein Receptor 1/HL-1 antibody [EPR22639-68]

  • 578 PE

    PE Anti-Asialoglycoprotein Receptor 1/HL-1 antibody [EPR22639-68]

  • 775 Alexa Fluor® 750

    Alexa Fluor® 750 Anti-Asialoglycoprotein Receptor 1/HL-1 antibody [EPR22639-68]

Key facts

Host species

Rabbit

Clonality

Monoclonal

Clone number

EPR22639-68

Isotype

IgG

Carrier free

No

Reacts with

Human

Applications

IP, IHC-P, ICC/IF, WB

applications

Immunogen

The exact immunogen used to generate this antibody is proprietary information.

Reactivity data

{ "title": "Reactivity Data", "filters": { "stats": ["", "Species", "Dilution Info", "Notes"], "tabs": { "all-applications": {"fullname" : "All Applications", "shortname": "All Applications"}, "IP" : {"fullname" : "Immunoprecipitation", "shortname":"IP"}, "FlowCyt" : {"fullname" : "Flow Cytometry", "shortname":"Flow Cyt"}, "WB" : {"fullname" : "Western blot", "shortname":"WB"}, "ICCIF" : {"fullname" : "Immunocytochemistry/ Immunofluorescence", "shortname":"ICC/IF"}, "IHCP" : {"fullname" : "Immunohistochemistry (Formalin/PFA-fixed paraffin-embedded sections)", "shortname":"IHC-P"} }, "product-promise": { "all": "all", "testedAndGuaranteed": "tested", "guaranteed": "expected", "predicted": "predicted", "notRecommended": "not-recommended" } }, "values": { "Human": { "IP-species-checked": "testedAndGuaranteed", "IP-species-dilution-info": "1/30", "IP-species-notes": "<p></p>", "FlowCyt-species-checked": "notRecommended", "FlowCyt-species-dilution-info": "", "FlowCyt-species-notes": "<p></p>", "WB-species-checked": "testedAndGuaranteed", "WB-species-dilution-info": "1/1000", "WB-species-notes": "<p></p>", "ICCIF-species-checked": "testedAndGuaranteed", "ICCIF-species-dilution-info": "1/50", "ICCIF-species-notes": "<p></p>", "IHCP-species-checked": "testedAndGuaranteed", "IHCP-species-dilution-info": "1/2000", "IHCP-species-notes": "<p></p>" } } }

Product details

Patented technology
Our RabMAb® technology is a patented hybridoma-based technology for making rabbit monoclonal antibodies. For details on our patents, please refer to RabMAb® patents.

What are the advantages of a recombinant monoclonal antibody?
This product is a recombinant monoclonal antibody, which offers several advantages including:

  • - High batch-to-batch consistency and reproducibility
  • - Improved sensitivity and specificity
  • - Long-term security of supply
  • - Animal-free batch production

For more information, read more on recombinant antibodies.

Properties and storage information

Form
Liquid
Purification technique
Affinity purification Protein A
Storage buffer
pH: 7.2 - 7.4 Preservative: 0.01% Sodium azide Constituents: PBS, 40% Glycerol (glycerin, glycerine), 0.05% BSA
Shipped at conditions
Blue Ice
Appropriate short-term storage duration
1-2 weeks
Appropriate short-term storage conditions
+4°C
Appropriate long-term storage conditions
-20°C
Aliquoting information
Upon delivery aliquot
Storage information
Avoid freeze / thaw cycle

Supplementary information

This supplementary information is collated from multiple sources and compiled automatically.

The Asialoglycoprotein Receptor 1 (ASGR1) also known as ASGPR 1 or asialoglycoprotein receptor is a well-known protein with a critical role in the mechanism of recognizing and binding to asialoglycoproteins. It has a molecular mass of approximately 46 kDa. ASGR1 is expressed mostly in liver cells specifically hepatocytes. The unique characteristic of this receptor is its lectin-like nature which allows it to bind to specific sugar moieties present on desialylated glycoproteins. Through receptor-mediated endocytosis it facilitates their removal from the bloodstream.
Biological function summary

The function of ASGR1 extends significantly. It operates as part of the asialoglycoprotein receptor complex interfacing directly with the ligand proteins to mediate endocytosis. This process is essential in most mammalian systems for maintaining serum glycoprotein homeostasis. By clearing desialylated glycoproteins from circulation ASGR1 helps prevent potential adverse effects these molecules might cause like immune activation or interference with other biological functions.

Pathways

ASGR1 is integral to glycoprotein clearance pathways. It actively participates in the hepatic clearance pathway ensuring the regulation of serum glycoprotein levels. The removal of asialoglycoproteins involves interactions with several other hepatic proteins such as GalNAc transferase which can further facilitate the remodeling of glycoconjugates. Understanding these interactions is key for comprehending how the liver maintains overall metabolic balance.

ASGR1 is linked to certain liver-related conditions. Dysfunction or aberrant expression of the ASGR1 receptor can relate to elevated levels of serum glycoproteins which might be observed in liver cirrhosis. Elevated glycoproteins can exacerbate the progression of liver diseases. Furthermore ASGR1 protein interaction with viral glycoproteins has implications in hepatitis infections where it may inadvertently facilitate viral entry into hepatocytes affecting liver function and contributing to disease pathology.

Product protocols

For this product, it's our understanding that no specific protocols are required. You can visit:

Target data

Transmembrane protein predominantly expressed on hepatocytes that plays a key role in endocytosis of plasma glycoproteins that lack terminal sialic acid residues. Specifically recognizes terminal galactose and N-acetylgalactosamine residues, facilitating the clearance of desialylated glycoproteins from circulation. Plays thereby a role in a variety of physiological processes, such as removal of desialylated platelets, elimination of activated lymphocytes and maintenance of serum glycoprotein homeostasis (PubMed : 25485912). Plays a role in the removal of desialylated platelets by activating a feedback loop regulating thrombopoietin (TPO) expression via the JAK2-STAT3 signaling pathway (PubMed : 25485912). Contributes also to recognition and elimination of activated lymphocytes by hepatocytes that can act as cytotoxic effectors (PubMed : 21656538). May also play a physiological role in the regulatory network of lipid homeostasis (By similarity). Upon ligand binding, the receptor-ligand complex is internalized and trafficked to a sorting organelle, where dissociation occurs. The receptor is then recycled back to the cell surface.. (Microbial infection) Plays an essential role in ACE2-independent SARS-CoV-2 entry by acting as alternate receptor.
See full target information ASGR1

Publications (3)

Recent publications for all applications. Explore the full list and refine your search

Autophagy 20:1537-1558 PubMed38591519

2024

Alcohol-induced Golgiphagy is triggered by the downregulation of Golgi GTPase RAB3D.

Applications

Unspecified application

Species

Unspecified reactive species

Amanda J Macke,Taylor E Divita,Artem N Pachikov,Sundararajan Mahalingam,Ramesh Bellamkonda,Karuna Rasineni,Carol A Casey,Armen Petrosyan

Science advances 9:eadf4490 PubMed37058568

2023

IL-6-GP130 signaling protects human hepatocytes against lipid droplet accumulation in humanized liver models.

Applications

Unspecified application

Species

Unspecified reactive species

Marisa Carbonaro,Kehui Wang,Hui Huang,Davor Frleta,Aditi Patel,Alexander Pennington,Mathieu Desclaux,Sven Moller-Tank,Justin Grindley,Judith Altarejos,Jun Zhong,Greg Polites,William Poueymirou,Stephen Jaspers,Christos Kyratsous,Brian Zambrowicz,Andrew Murphy,John C Lin,Lynn E Macdonald,Christopher Daly,Mark Sleeman,Gavin Thurston,Zhe Li

Scientific reports 12:14079 PubMed35982097

2022

Efficient engraftment and viral transduction of human hepatocytes in an FRG rat liver humanization model.

Applications

Unspecified application

Species

Unspecified reactive species

Marisa Carbonaro,Jeffrey Lee,Evangelos Pefanis,Mathieu Desclaux,Kehui Wang,Alexander Pennington,Hui Huang,Alejo Mujica,Jose Rojas,Roxanne Ally,Daniel Kennedy,Michael Brown,Vitaliy Rogulin,Sven Moller-Tank,Leah Sabin,Brian Zambrowicz,Gavin Thurston,Zhe Li
View all publications

Product promise

We are committed to supporting your work with high-quality reagents, and we're here for you every step of the way. In the unlikely event that one of our products does not perform as expected, you're protected by our Product Promise.
For full details, please see our Terms & Conditions

Please note: All products are 'FOR RESEARCH USE ONLY. NOT FOR USE IN DIAGNOSTIC OR THERAPEUTIC PROCEDURES'.

For licensing inquiries, please contact partnerships@abcam.com