JavaScript is disabled in your browser. Please enable JavaScript to view this website.
AB256352

Anti-Asialoglycoprotein Receptor 1/HL-1 antibody [EPR22639-68] - BSA and Azide free

Be the first to review this product! Submit a review

|

(1 Publication)

Rabbit Recombinant Monoclonal Asialoglycoprotein Receptor 1/HL-1 antibody. Carrier free. Suitable for IP, WB, ICC/IF, IHC-P and reacts with Human samples. Cited in 1 publication.

View Alternative Names

CLEC4H1, ASGR1, Asialoglycoprotein receptor 1, ASGP-R 1, ASGPR 1, C-type lectin domain family 4 member H1, Hepatic lectin H1, HL-1

6 Images
Immunohistochemistry (Formalin/PFA-fixed paraffin-embedded sections) - Anti-Asialoglycoprotein Receptor 1/HL-1 antibody [EPR22639-68] - BSA and Azide free (AB256352)
  • IHC-P

Unknown

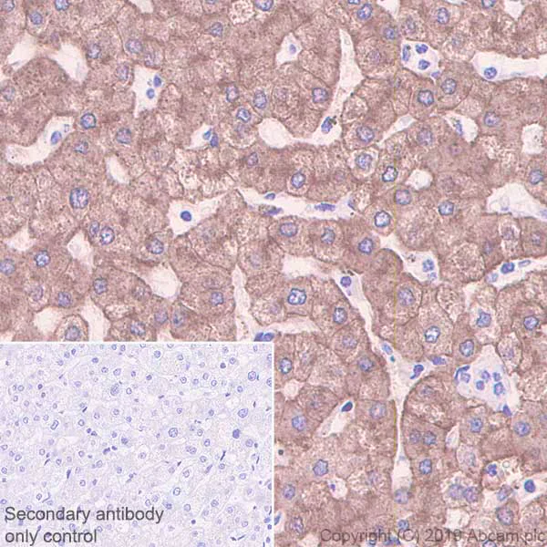
Immunohistochemistry (Formalin/PFA-fixed paraffin-embedded sections) - Anti-Asialoglycoprotein Receptor 1/HL-1 antibody [EPR22639-68] - BSA and Azide free (AB256352)

Immunohistochemical analysis of paraffin-embedded human liver cancer tissue labeling Asialoglycoprotein Receptor 1/HL-1 with ab254261 at 1/2000 dilution (0.25 μg/ml) followed by a ready to use Goat Anti-Rabbit IgG H&L (HRP). Positive staining in human liver cancer (PMID : 23979840,26422581,27241665). Counterstained with hematoxylin. Heat mediated antigen retrieval using ab93684 (Tris/EDTA buffer, pH 9.0).

Secondary antibody only control : Used PBS instead of primary antibody, secondary antibody is a ready to use Goat Anti-Rabbit IgG H&L (HRP).

This data was developed using the same antibody clone in a different buffer formulation containing PBS, BSA, glycerol, and sodium azide (ab254261).

Immunohistochemistry (Formalin/PFA-fixed paraffin-embedded sections) - Anti-Asialoglycoprotein Receptor 1/HL-1 antibody [EPR22639-68] - BSA and Azide free (AB256352)
  • IHC-P

Unknown

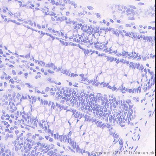
Immunohistochemistry (Formalin/PFA-fixed paraffin-embedded sections) - Anti-Asialoglycoprotein Receptor 1/HL-1 antibody [EPR22639-68] - BSA and Azide free (AB256352)

Negative control : No staining in human colon (PMID : 23979840).

Immunohistochemical analysis of paraffin-embedded human colon tissue labeling Asialoglycoprotein Receptor 1/HL-1 with ab254261 at 1/2000 dilution (0.25 μg/ml) followed by a ready to use Goat Anti-Rabbit IgG H&L (HRP). Counterstained with hematoxylin. Heat mediated antigen retrieval using ab93684 (Tris/EDTA buffer, pH 9.0).

Secondary antibody only control : Used PBS instead of primary antibody, secondary antibody is a ready to use Goat Anti-Rabbit IgG H&L (HRP).

This data was developed using the same antibody clone in a different buffer formulation containing PBS, BSA, glycerol, and sodium azide (ab254261).

Immunocytochemistry/ Immunofluorescence - Anti-Asialoglycoprotein Receptor 1/HL-1 antibody [EPR22639-68] - BSA and Azide free (AB256352)
  • ICC/IF

Unknown

Immunocytochemistry/ Immunofluorescence - Anti-Asialoglycoprotein Receptor 1/HL-1 antibody [EPR22639-68] - BSA and Azide free (AB256352)

Immunofluorescent analysis of 100% Methanol-fixed HepG2 (human hepatocellular carcinoma epithelial cell) cells labeling Asialoglycoprotein Receptor 1/HL-1 with at 1/50 dilution, followed by ab150077 AlexaFluor®488 Goat anti-Rabbit secondary antibody at 1/1000 dilution (Green). Confocal image showing cytoplasmic staining in HepG2 cell line is observed. Methanol fixation is preferred.

ab195889 Anti-alpha Tubulin antibody [DM1A] - Microtubule Marker (Alexa Fluor® 594) was used to counterstain tubulin at 1/200 dilution (Red). The nuclear counterstain was DAPI (Blue).

Secondary antibody only control : Used PBS instead of primary antibody, secondary antibody is ab150077 AlexaFluor®488 Goat anti-Rabbit secondary at 1/1000 dilution.

This data was developed using the same antibody clone in a different buffer formulation containing PBS, BSA, glycerol, and sodium azide (ab254261).

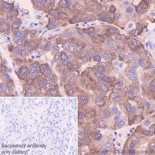
Immunohistochemistry (Formalin/PFA-fixed paraffin-embedded sections) - Anti-Asialoglycoprotein Receptor 1/HL-1 antibody [EPR22639-68] - BSA and Azide free (AB256352)
  • IHC-P

Unknown

Immunohistochemistry (Formalin/PFA-fixed paraffin-embedded sections) - Anti-Asialoglycoprotein Receptor 1/HL-1 antibody [EPR22639-68] - BSA and Azide free (AB256352)

Immunohistochemical analysis of paraffin-embedded human liver tissue labeling Asialoglycoprotein Receptor 1/HL-1 with ab254261 at 1/2000 dilution (0.25 μg/ml) followed by a ready to use Goat Anti-Rabbit IgG H&L (HRP). Positive staining in human liver (PMID : 23979840,26422581,27241665). Counterstained with hematoxylin. Heat mediated antigen retrieval using ab93684 (Tris/EDTA buffer, pH 9.0).

Secondary antibody only control : Used PBS instead of primary antibody, secondary antibody is a ready to use Goat Anti-Rabbit IgG H&L (HRP).

This data was developed using the same antibody clone in a different buffer formulation containing PBS, BSA, glycerol, and sodium azide (ab254261).

Immunoprecipitation - Anti-Asialoglycoprotein Receptor 1/HL-1 antibody [EPR22639-68] - BSA and Azide free (AB256352)
  • IP

Unknown

Immunoprecipitation - Anti-Asialoglycoprotein Receptor 1/HL-1 antibody [EPR22639-68] - BSA and Azide free (AB256352)

Asialoglycoprotein Receptor 1/HL-1 was immunoprecipitated from 0.35 mg human liver lysate with ab254261 at 1/30 dilution (2μg in 0.35mg lysates). Western blot was performed on the immunoprecipitate using ab254261 at 1/1000 dilution (0.45 μg/ml). VeriBlot for IP Detection Reagent (HRP) (ab131366) was used at 1/5000 dilution.

Lane 1 : Human liver lysate 10μg.

Lane 2 : ab254261 IP in human liver lysate.

Lane 3 : Rabbit monoclonal IgG (ab172730) instead of ab254261 in human liver lysate.

Blocking and dilution buffer and concentration : 5% NFDM/TBST.

Exposure time : 1 second.

This data was developed using the same antibody clone in a different buffer formulation containing PBS, BSA, glycerol, and sodium azide (ab254261).

All lanes:

Immunoprecipitation - Anti-Asialoglycoprotein Receptor 1/HL-1 antibody [EPR22639-68] (<a href='/en-us/products/primary-antibodies/asialoglycoprotein-receptor-1-hl-1-antibody-epr22639-68-ab254261'>ab254261</a>)

Predicted band size: 33 kDa

false

Immunoprecipitation - Anti-Asialoglycoprotein Receptor 1/HL-1 antibody [EPR22639-68] - BSA and Azide free (AB256352)
  • IP

Unknown

Immunoprecipitation - Anti-Asialoglycoprotein Receptor 1/HL-1 antibody [EPR22639-68] - BSA and Azide free (AB256352)

Asialoglycoprotein Receptor 1/HL-1 was immunoprecipitated from 0.35 mg HepG2 (Human hepatocellular carcinoma epithelial cell) whole cell lysate with ab254261 at 1/30 dilution (2μg in 0.35mg lysates). Western blot was performed on the immunoprecipitate using ab254261 1/1000 dilution (0.45 μg/ml). VeriBlot for IP Detection Reagent (HRP) (ab131366) was used at 1/5000 dilution.

Lane 1 : HepG2 (Human hepatocellular carcinoma epithelial cell) whole cell lysate 10μg
Lane 2 : ab254261 IP in HepG2 whole cell lysate
Lane 3 : Rabbit monoclonal IgG (ab172730) instead of ab254261 in HepG2 whole cell lysate.

Blocking and dilution buffer and concentration : 5% NFDM/TBST.

Exposure time : 1 second

This data was developed using the same antibody clone in a different buffer formulation containing PBS, BSA, glycerol, and sodium azide (ab254261).

All lanes:

Immunoprecipitation - Anti-Asialoglycoprotein Receptor 1/HL-1 antibody [EPR22639-68] (<a href='/en-us/products/primary-antibodies/asialoglycoprotein-receptor-1-hl-1-antibody-epr22639-68-ab254261'>ab254261</a>)

Predicted band size: 33 kDa

false

Key facts

Host species

Rabbit

Clonality

Monoclonal

Clone number

EPR22639-68

Isotype

IgG

Carrier free

Yes

Reacts with

Human

Applications

IHC-P, IP, WB, ICC/IF

applications

Immunogen

The exact immunogen used to generate this antibody is proprietary information.

Reactivity data

{ "title": "Reactivity Data", "filters": { "stats": ["", "Species", "Dilution Info", "Notes"], "tabs": { "all-applications": {"fullname" : "All Applications", "shortname": "All Applications"}, "IP" : {"fullname" : "Immunoprecipitation", "shortname":"IP"}, "FlowCyt" : {"fullname" : "Flow Cytometry", "shortname":"Flow Cyt"}, "WB" : {"fullname" : "Western blot", "shortname":"WB"}, "ICCIF" : {"fullname" : "Immunocytochemistry/ Immunofluorescence", "shortname":"ICC/IF"}, "IHCP" : {"fullname" : "Immunohistochemistry (Formalin/PFA-fixed paraffin-embedded sections)", "shortname":"IHC-P"} }, "product-promise": { "all": "all", "testedAndGuaranteed": "tested", "guaranteed": "expected", "predicted": "predicted", "notRecommended": "not-recommended" } }, "values": { "Human": { "IP-species-checked": "testedAndGuaranteed", "IP-species-dilution-info": "", "IP-species-notes": "<p></p>", "FlowCyt-species-checked": "notRecommended", "FlowCyt-species-dilution-info": "", "FlowCyt-species-notes": "<p></p>", "WB-species-checked": "testedAndGuaranteed", "WB-species-dilution-info": "", "WB-species-notes": "<p></p>", "ICCIF-species-checked": "testedAndGuaranteed", "ICCIF-species-dilution-info": "", "ICCIF-species-notes": "<p></p>", "IHCP-species-checked": "testedAndGuaranteed", "IHCP-species-dilution-info": "", "IHCP-species-notes": "<p></p>" } } }

Product details

ab256352 is the carrier-free version of ab254261.

Patented technology
Our RabMAb® technology is a patented hybridoma-based technology for making rabbit monoclonal antibodies. For details on our patents, please refer to RabMAb® patents.

What are the advantages of a recombinant monoclonal antibody?
This product is a recombinant monoclonal antibody, which offers several advantages including:

  • - High batch-to-batch consistency and reproducibility
  • - Improved sensitivity and specificity
  • - Long-term security of supply
  • - Animal-free batch production

For more information, read more on recombinant antibodies.

Conjugation ready
Our carrier-free antibodies are typically supplied in a PBS-only formulation, purified and free of BSA, sodium azide and glycerol. This conjugation-ready format is designed for use with fluorochromes, metal isotopes, oligonucleotides, and enzymes, which makes them ideal for antibody labelling, functional and cell-based assays, flow-based assays (e.g. mass cytometry) and Multiplex Imaging applications.

Use our conjugation kits for antibody conjugates that are ready-to-use in as little as 20 minutes with 1 minute hands-on-time and 100% antibody recovery: available for fluorescent dyes, HRP, biotin and gold.

Compatibility
This product is compatible with the Maxpar® Antibody Labeling Kit from Fluidigm, without the need for antibody preparation. Maxpar® is a trademark of Fluidigm Canada Inc.

Properties and storage information

Form
Liquid
Purification technique
Affinity purification Protein A
Storage buffer
pH: 7.2 - 7.4 Constituents: PBS
Shipped at conditions
Blue Ice
Appropriate short-term storage conditions
+4°C
Appropriate long-term storage conditions
+4°C
Storage information
Do Not Freeze

Supplementary information

This supplementary information is collated from multiple sources and compiled automatically.

The Asialoglycoprotein Receptor 1 (ASGR1) also known as ASGPR 1 or asialoglycoprotein receptor is a well-known protein with a critical role in the mechanism of recognizing and binding to asialoglycoproteins. It has a molecular mass of approximately 46 kDa. ASGR1 is expressed mostly in liver cells specifically hepatocytes. The unique characteristic of this receptor is its lectin-like nature which allows it to bind to specific sugar moieties present on desialylated glycoproteins. Through receptor-mediated endocytosis it facilitates their removal from the bloodstream.
Biological function summary

The function of ASGR1 extends significantly. It operates as part of the asialoglycoprotein receptor complex interfacing directly with the ligand proteins to mediate endocytosis. This process is essential in most mammalian systems for maintaining serum glycoprotein homeostasis. By clearing desialylated glycoproteins from circulation ASGR1 helps prevent potential adverse effects these molecules might cause like immune activation or interference with other biological functions.

Pathways

ASGR1 is integral to glycoprotein clearance pathways. It actively participates in the hepatic clearance pathway ensuring the regulation of serum glycoprotein levels. The removal of asialoglycoproteins involves interactions with several other hepatic proteins such as GalNAc transferase which can further facilitate the remodeling of glycoconjugates. Understanding these interactions is key for comprehending how the liver maintains overall metabolic balance.

ASGR1 is linked to certain liver-related conditions. Dysfunction or aberrant expression of the ASGR1 receptor can relate to elevated levels of serum glycoproteins which might be observed in liver cirrhosis. Elevated glycoproteins can exacerbate the progression of liver diseases. Furthermore ASGR1 protein interaction with viral glycoproteins has implications in hepatitis infections where it may inadvertently facilitate viral entry into hepatocytes affecting liver function and contributing to disease pathology.

Product protocols

For this product, it's our understanding that no specific protocols are required. You can visit:

Target data

Mediates the endocytosis of plasma glycoproteins to which the terminal sialic acid residue on their complex carbohydrate moieties has been removed. The receptor recognizes terminal galactose and N-acetylgalactosamine units. After ligand binding to the receptor, the resulting complex is internalized and transported to a sorting organelle, where receptor and ligand are disassociated. The receptor then returns to the cell membrane surface.
See full target information ASGR1

Publications (1)

Recent publications for all applications. Explore the full list and refine your search

Frontiers in pharmacology 16:1550458 PubMed40599805

2025

Naringenin attenuates slow-transit constipation by regulating the AMPK/mTOR/ULK1 signalling pathway: and studies.

Applications

Unspecified application

Species

Unspecified reactive species

Yahui Wang,Xiaopeng Wang,Yifei Qian,Mingming Sun,Huiju Yang,Lianlin Su,Shuai Yan
View all publications

Product promise

We are committed to supporting your work with high-quality reagents, and we're here for you every step of the way. In the unlikely event that one of our products does not perform as expected, you're protected by our Product Promise.
For full details, please see our Terms & Conditions

Please note: All products are 'FOR RESEARCH USE ONLY. NOT FOR USE IN DIAGNOSTIC OR THERAPEUTIC PROCEDURES'.

For licensing inquiries, please contact partnerships@abcam.com