JavaScript is disabled in your browser. Please enable JavaScript to view this website.
AB254262

Anti-Asialoglycoprotein Receptor 1/HL-1 antibody [EPR22642-17]

Be the first to review this product! Submit a review

|

(5 Publications)

Rabbit Recombinant Monoclonal Asialoglycoprotein Receptor 1/HL-1 antibody. Suitable for IP, Flow Cyt, WB, ICC/IF, IHC-P and reacts with Human samples. Cited in 5 publications.

View Alternative Names

CLEC4H1, ASGR1, Asialoglycoprotein receptor 1, ASGP-R 1, ASGPR 1, C-type lectin domain family 4 member H1, Hepatic lectin H1, HL-1

8 Images
Immunohistochemistry (Formalin/PFA-fixed paraffin-embedded sections) - Anti-Asialoglycoprotein Receptor 1/HL-1 antibody [EPR22642-17] (AB254262)
  • IHC-P

Unknown

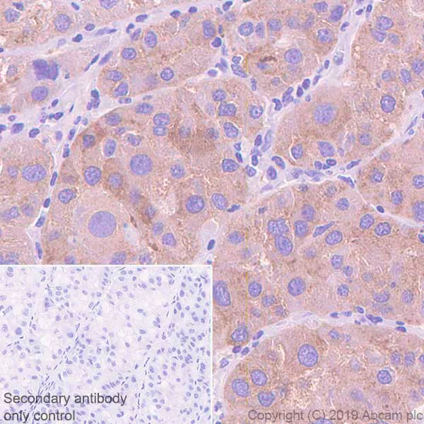
Immunohistochemistry (Formalin/PFA-fixed paraffin-embedded sections) - Anti-Asialoglycoprotein Receptor 1/HL-1 antibody [EPR22642-17] (AB254262)

Immunohistochemical analysis of paraffin-embedded Human liver cancer tissue labeling Asialoglycoprotein Receptor 1/HL-1 antibody with ab254262 at 1/1000 dilution (0.5 μg/ml) followed by a ready to use Rabbit specific IHC polymer detection kit HRP/DAB (ab209101). Positive staining in human liver cancer (PMID : 23979840,26422581,27241665) is observed.

The section was incubated with ab254262 for 15 mins at room temperature.The immunostaining was performed on a Leica Biosystems BOND® RX instrument. Counterstained with Hematoxylin. Heat mediated antigen retrieval with Tris-EDTA buffer (pH 9.0, epitope retrieval solution 2) for 20 mins.

Secondary antibody only control : Used PBS instead of primary antibody, secondary antibody is a ready to use Rabbit specific IHC polymer detection kit HRP/DAB (ab209101).

Immunohistochemistry (Formalin/PFA-fixed paraffin-embedded sections) - Anti-Asialoglycoprotein Receptor 1/HL-1 antibody [EPR22642-17] (AB254262)
  • IHC-P

Unknown

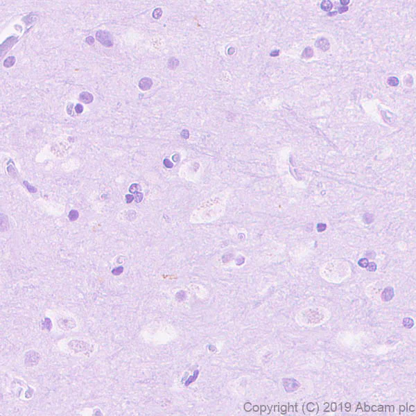
Immunohistochemistry (Formalin/PFA-fixed paraffin-embedded sections) - Anti-Asialoglycoprotein Receptor 1/HL-1 antibody [EPR22642-17] (AB254262)

Negative control : No staining in human cerebrum (PMID : 23979840)

Immunohistochemical analysis of paraffin-embedded Human cerebrum tissue labeling Asialoglycoprotein Receptor 1/HL-1 antibody with ab254262 at 1/1000 dilution (0.5 μg/ml) followed by a ready to use Rabbit specific IHC polymer detection kit HRP/DAB (ab209101).

The section was incubated with ab254262 for 15 mins at room temperature. The immunostaining was performed on a Leica Biosystems BOND® RX instrument. Counterstained with Hematoxylin. Heat mediated antigen retrieval with Tris-EDTA buffer (pH 9.0, epitope retrieval solution 2) for 20 mins.

Secondary antibody only control : Used PBS instead of primary antibody, secondary antibody is a ready to use Rabbit specific IHC polymer detection kit HRP/DAB (ab209101).

Immunohistochemistry (Formalin/PFA-fixed paraffin-embedded sections) - Anti-Asialoglycoprotein Receptor 1/HL-1 antibody [EPR22642-17] (AB254262)
  • IHC-P

Unknown

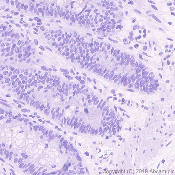
Immunohistochemistry (Formalin/PFA-fixed paraffin-embedded sections) - Anti-Asialoglycoprotein Receptor 1/HL-1 antibody [EPR22642-17] (AB254262)

Negative control : No staining in human colon (PMID : 23979840).

Immunohistochemical analysis of paraffin-embedded Human colon tissue labeling Asialoglycoprotein Receptor 1/HL-1 antibody with ab254262 at 1/1000 dilution (0.5 μg/ml) followed by a ready to use Rabbit specific IHC polymer detection kit HRP/DAB (ab209101).

The section was incubated with ab254262 for 15 mins at room temperature. The immunostaining was performed on a Leica Biosystems BOND® RX instrument. Counterstained with Hematoxylin. Heat mediated antigen retrieval with Tris-EDTA buffer (pH 9.0, epitope retrieval solution 2) for 20 mins.

Secondary antibody only control : Used PBS instead of primary antibody, secondary antibody is a ready to use Rabbit specific IHC polymer detection kit HRP/DAB (ab209101).

Immunocytochemistry/ Immunofluorescence - Anti-Asialoglycoprotein Receptor 1/HL-1 antibody [EPR22642-17] (AB254262)
  • ICC/IF

Unknown

Immunocytochemistry/ Immunofluorescence - Anti-Asialoglycoprotein Receptor 1/HL-1 antibody [EPR22642-17] (AB254262)

Immunofluorescent analysis of 4% paraformaldehyde-fixed, 0.1% Triton X-100 permeabilized HepG2 (human hepatocellular carcinoma epithelial cell line) cells labelling Asialoglycoprotein Receptor 1/HL-1 antibody with ab254262 at 1/100 dilution, followed by ab150077 AlexaFluor®488 Goat anti-Rabbit secondary antibody at 1/1000 dilution (Green). Confocal image showing membranous and weak cytoplasmic staining in HepG2 cells. ab195889 Anti-alpha Tubulin antibody [DM1A] - Microtubule Marker (Alexa Fluor® 594) was used to counter stain tubulin at 1/200 dilution (Red). The nuclear counterstain was DAPI (Blue).

Secondary antibody only control : Used PBS instead of primary antibody, secondary antibody is ab150077 AlexaFluor®488 Goat anti-Rabbit secondary at 1/1000 dilution.

Immunohistochemistry (Formalin/PFA-fixed paraffin-embedded sections) - Anti-Asialoglycoprotein Receptor 1/HL-1 antibody [EPR22642-17] (AB254262)
  • IHC-P

Unknown

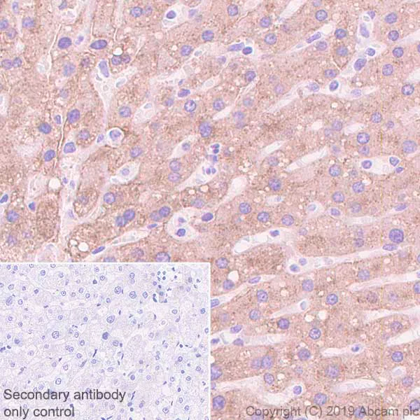
Immunohistochemistry (Formalin/PFA-fixed paraffin-embedded sections) - Anti-Asialoglycoprotein Receptor 1/HL-1 antibody [EPR22642-17] (AB254262)

Immunohistochemical analysis of paraffin-embedded Human liver tissue labeling Asialoglycoprotein Receptor 1/HL-1 antibody with ab254262 at 1/1000 dilution (0.5 μg/ml) followed by a Rabbit specific IHC polymer detection kit HRP/DAB (ab209101). Positive staining in human liver (PMID : 23979840, 26422581, 27241665) is observed.

The section was incubated with ab254262 for 15 mins at room temperature.The immunostaining was performed on a Leica Biosystems BOND® RX instrument. Counterstained with Hematoxylin. Heat mediated antigen retrieval with Tris-EDTA buffer (pH 9.0, epitope retrieval solution 2) for 20 mins.

Secondary antibody only control : Used PBS instead of primary antibody, secondary antibody is Rabbit specific IHC polymer detection kit HRP/DAB (ab209101).

Flow Cytometry - Anti-Asialoglycoprotein Receptor 1/HL-1 antibody [EPR22642-17] (AB254262)
  • Flow Cyt

Unknown

Flow Cytometry - Anti-Asialoglycoprotein Receptor 1/HL-1 antibody [EPR22642-17] (AB254262)

Flow cytometric analysis of HepG2 (Human hepatocellular carcinoma epithelial cell line) cells labelling Asialoglycoprotein Receptor 1/HL-1 antibody with ab254262 at 1/500 dilution (Red) compared with a Rabbit monoclonal IgG (ab172730, Black) isotype control and an unlabelled control (cells without incubation with primary antibody and secondary antibody) (Blue). Goat anti rabbit IgG (Alexa Fluor® 488, ab150077) at 1/2000 dilution was used as the secondary antibody. Gated on viable cells.

Immunoprecipitation - Anti-Asialoglycoprotein Receptor 1/HL-1 antibody [EPR22642-17] (AB254262)
  • IP

Unknown

Immunoprecipitation - Anti-Asialoglycoprotein Receptor 1/HL-1 antibody [EPR22642-17] (AB254262)

Asialoglycoprotein Receptor 1/HL-1 antibody was immunoprecipitated from 0.35 mg HepG2 (Human hepatocellular carcinoma epithelial cell) whole cell lysate 10μg with ab254262 at 1/30 dilution (2μg in 0.35mg lysates). Western blot was performed on the immunoprecipitate using ab254262 at 1/1000 dilution. VeriBlot for IP Detection Reagent (HRP) (ab131366) was used as the secondary antibody at 1/5000 dilution.

Lane 1 : HepG2 (Human hepatocellular carcinoma epithelial cell) whole cell lysate 10μg

Lane 2 : ab254262 IP in HepG2 whole cell lysate

Lane 3 : Rabbit monoclonal IgG (ab172730) instead of ab254262 in HepG2 whole cell lysate.

Blocking and dilution buffer and concentration : 5% NFDM/TBST.

Exposure time : 7 seconds.

The band at around 100kDa is described as dimers (PMID : 7663158).

All lanes:

Immunoprecipitation - Anti-Asialoglycoprotein Receptor 1/HL-1 antibody [EPR22642-17] (ab254262)

Predicted band size: 33 kDa

Observed band size: 40-50 kDa

false

Western blot - Anti-Asialoglycoprotein Receptor 1/HL-1 antibody [EPR22642-17] (AB254262)
  • WB

Unknown

Western blot - Anti-Asialoglycoprotein Receptor 1/HL-1 antibody [EPR22642-17] (AB254262)

Negative control : human brain.

The diffuse bands between 40-50 kDa are likely due to glycosylation (PMID : 30965276).

The expression profile is consistent with what has been described in the literature (PMID : 27241665, 29858079).

Blocking/diluting buffer and concentration : 5% NFDM/TBST

All lanes:

Western blot - Anti-Asialoglycoprotein Receptor 1/HL-1 antibody [EPR22642-17] (ab254262) at 1/1000 dilution

Lane 1:

Human adult liver tissue lysate at 20 µg

Lane 2:

Human brain tissue lysate at 20 µg

Lane 3:

HepG2 (human hepatocellular carcinoma epithelial cell), whole cell lysate at 20 µg

Secondary

Lanes 1 - 2:

Western blot - VeriBlot for IP Detection Reagent (HRP) (<a href='/en-us/products/reagents/veriblot-for-ip-detection-reagent-hrp-ab131366'>ab131366</a>) at 1/1000 dilution

Lane 3:

Western blot - Goat Anti-Rabbit IgG H&L (HRP) (<a href='/en-us/products/secondary-antibodies/goat-rabbit-igg-h-l-hrp-ab97051'>ab97051</a>) at 1/100000 dilution

Predicted band size: 33 kDa

Observed band size: 40-50 kDa

false

  • Carrier free

    Anti-Asialoglycoprotein Receptor 1/HL-1 antibody [EPR22642-17] - BSA and Azide free

  • 665 Alexa Fluor® 647

    Alexa Fluor® 647 Anti-Asialoglycoprotein Receptor 1/HL-1 antibody [EPR22642-17]

  • 519 Alexa Fluor® 488

    Alexa Fluor® 488 Anti-Asialoglycoprotein Receptor 1/HL-1 antibody [EPR22642-17]

  • 578 PE

    PE Anti-Asialoglycoprotein Receptor 1/HL-1 antibody [EPR22642-17]

  • HRP

    HRP Anti-Asialoglycoprotein Receptor 1/HL-1 antibody [EPR22642-17]

Key facts

Host species

Rabbit

Clonality

Monoclonal

Clone number

EPR22642-17

Isotype

IgG

Carrier free

No

Reacts with

Human

Applications

WB, Flow Cyt, IP, ICC/IF, IHC-P

applications

Immunogen

The exact immunogen used to generate this antibody is proprietary information.

Reactivity data

{ "title": "Reactivity Data", "filters": { "stats": ["", "Species", "Dilution Info", "Notes"], "tabs": { "all-applications": {"fullname" : "All Applications", "shortname": "All Applications"}, "IP" : {"fullname" : "Immunoprecipitation", "shortname":"IP"}, "FlowCyt" : {"fullname" : "Flow Cytometry", "shortname":"Flow Cyt"}, "WB" : {"fullname" : "Western blot", "shortname":"WB"}, "ICCIF" : {"fullname" : "Immunocytochemistry/ Immunofluorescence", "shortname":"ICC/IF"}, "IHCP" : {"fullname" : "Immunohistochemistry (Formalin/PFA-fixed paraffin-embedded sections)", "shortname":"IHC-P"} }, "product-promise": { "all": "all", "testedAndGuaranteed": "tested", "guaranteed": "expected", "predicted": "predicted", "notRecommended": "not-recommended" } }, "values": { "Human": { "IP-species-checked": "testedAndGuaranteed", "IP-species-dilution-info": "1/30", "IP-species-notes": "<p></p>", "FlowCyt-species-checked": "testedAndGuaranteed", "FlowCyt-species-dilution-info": "1/500", "FlowCyt-species-notes": "<p></p>", "WB-species-checked": "testedAndGuaranteed", "WB-species-dilution-info": "1/1000", "WB-species-notes": "<p></p>", "ICCIF-species-checked": "testedAndGuaranteed", "ICCIF-species-dilution-info": "1/100", "ICCIF-species-notes": "<p></p>", "IHCP-species-checked": "testedAndGuaranteed", "IHCP-species-dilution-info": "1/1000", "IHCP-species-notes": "<p></p>" } } }

Product details

Patented technology
Our RabMAb® technology is a patented hybridoma-based technology for making rabbit monoclonal antibodies. For details on our patents, please refer to RabMAb® patents.

What are the advantages of a recombinant monoclonal antibody?
This product is a recombinant monoclonal antibody, which offers several advantages including:

  • - High batch-to-batch consistency and reproducibility
  • - Improved sensitivity and specificity
  • - Long-term security of supply
  • - Animal-free batch production

For more information, read more on recombinant antibodies.

Properties and storage information

Form
Liquid
Purification technique
Affinity purification Protein A
Storage buffer
pH: 7.2 - 7.4 Preservative: 0.01% Sodium azide Constituents: PBS, 40% Glycerol (glycerin, glycerine), 0.05% BSA
Shipped at conditions
Blue Ice
Appropriate short-term storage duration
1-2 weeks
Appropriate short-term storage conditions
+4°C
Appropriate long-term storage conditions
-20°C
Aliquoting information
Upon delivery aliquot
Storage information
Avoid freeze / thaw cycle

Supplementary information

This supplementary information is collated from multiple sources and compiled automatically.

The Asialoglycoprotein Receptor 1 (ASGR1) also known as ASGPR 1 or asialoglycoprotein receptor is a well-known protein with a critical role in the mechanism of recognizing and binding to asialoglycoproteins. It has a molecular mass of approximately 46 kDa. ASGR1 is expressed mostly in liver cells specifically hepatocytes. The unique characteristic of this receptor is its lectin-like nature which allows it to bind to specific sugar moieties present on desialylated glycoproteins. Through receptor-mediated endocytosis it facilitates their removal from the bloodstream.
Biological function summary

The function of ASGR1 extends significantly. It operates as part of the asialoglycoprotein receptor complex interfacing directly with the ligand proteins to mediate endocytosis. This process is essential in most mammalian systems for maintaining serum glycoprotein homeostasis. By clearing desialylated glycoproteins from circulation ASGR1 helps prevent potential adverse effects these molecules might cause like immune activation or interference with other biological functions.

Pathways

ASGR1 is integral to glycoprotein clearance pathways. It actively participates in the hepatic clearance pathway ensuring the regulation of serum glycoprotein levels. The removal of asialoglycoproteins involves interactions with several other hepatic proteins such as GalNAc transferase which can further facilitate the remodeling of glycoconjugates. Understanding these interactions is key for comprehending how the liver maintains overall metabolic balance.

ASGR1 is linked to certain liver-related conditions. Dysfunction or aberrant expression of the ASGR1 receptor can relate to elevated levels of serum glycoproteins which might be observed in liver cirrhosis. Elevated glycoproteins can exacerbate the progression of liver diseases. Furthermore ASGR1 protein interaction with viral glycoproteins has implications in hepatitis infections where it may inadvertently facilitate viral entry into hepatocytes affecting liver function and contributing to disease pathology.

Product protocols

For this product, it's our understanding that no specific protocols are required. You can visit:

Target data

Transmembrane protein predominantly expressed on hepatocytes that plays a key role in endocytosis of plasma glycoproteins that lack terminal sialic acid residues. Specifically recognizes terminal galactose and N-acetylgalactosamine residues, facilitating the clearance of desialylated glycoproteins from circulation. Plays thereby a role in a variety of physiological processes, such as removal of desialylated platelets, elimination of activated lymphocytes and maintenance of serum glycoprotein homeostasis (PubMed : 25485912). Plays a role in the removal of desialylated platelets by activating a feedback loop regulating thrombopoietin (TPO) expression via the JAK2-STAT3 signaling pathway (PubMed : 25485912). Contributes also to recognition and elimination of activated lymphocytes by hepatocytes that can act as cytotoxic effectors (PubMed : 21656538). May also play a physiological role in the regulatory network of lipid homeostasis (By similarity). Upon ligand binding, the receptor-ligand complex is internalized and trafficked to a sorting organelle, where dissociation occurs. The receptor is then recycled back to the cell surface.. (Microbial infection) Plays an essential role in ACE2-independent SARS-CoV-2 entry by acting as alternate receptor.
See full target information ASGR1

Publications (5)

Recent publications for all applications. Explore the full list and refine your search

European journal of histochemistry : EJH 69: PubMed40336362

2025

MiR-122-5p inhibits the epithelial mesenchymal transition of liver cancer cells by inducing hiPSCs to differentiate into hepatocyte-like cells.

Applications

Unspecified application

Species

Unspecified reactive species

Qianzhe Xing,Yanjie Xu,Ying Luo,Chenglong Li,Peng Wang,Bin Kang,Chengjun Lu

Signal transduction and targeted therapy 9:42 PubMed38355848

2024

Asialoglycoprotein receptor 1 promotes SARS-CoV-2 infection of human normal hepatocytes.

Applications

Unspecified application

Species

Unspecified reactive species

Xinyi Yang,Xu Zheng,Yuqi Zhu,Xiaying Zhao,Jun Liu,Jiangna Xun,Songhua Yuan,Jun Chen,Hanyu Pan,Jinlong Yang,Jing Wang,Zhimin Liang,Xiaoting Shen,Yue Liang,Qinru Lin,Huitong Liang,Min Li,Fei Peng,Daru Lu,Jianqing Xu,Hongzhou Lu,Shibo Jiang,Ping Zhao,Huanzhang Zhu

Liver international : official journal of the International Association for the Study of the Liver 42:1676-1691 PubMed35460174

2022

Hepatic exosomes with declined MiR-27b-3p trigger RIG-I/TBK1 signal pathway in macrophages.

Applications

Unspecified application

Species

Unspecified reactive species

Jie You,Wenyu Wu,Mengxin Lu,Yanghao Xie,Rui Miao,Misi Gu,Dong Xi,Weiming Yan,Di Wu,Xiaojing Wang,Tao Chen,Qin Ning,Meifang Han

International journal of molecular medicine 47: PubMed33448318

2021

Astragaloside IV alleviates silica‑induced pulmonary fibrosis via inactivation of the TGF‑β1/Smad2/3 signaling pathway.

Applications

Unspecified application

Species

Unspecified reactive species

Nannan Li,Ke Wu,Feifei Feng,Lin Wang,Xiang Zhou,Wei Wang

Clinical and translational medicine 10:e252 PubMed33377648

2020

Low molecular weight fucoidan inhibits hepatocarcinogenesis and nonalcoholic fatty liver disease in zebrafish via ASGR/STAT3/HNF4A signaling.

Applications

Unspecified application

Species

Unspecified reactive species

Szu-Yuan Wu,Wan-Yu Yang,Chun-Chia Cheng,Kuan-Hao Lin,Bonifasius Putera Sampurna,Suat-Ming Chan,Chiou-Hwa Yuh
View all publications

Product promise

We are committed to supporting your work with high-quality reagents, and we're here for you every step of the way. In the unlikely event that one of our products does not perform as expected, you're protected by our Product Promise.
For full details, please see our Terms & Conditions

Please note: All products are 'FOR RESEARCH USE ONLY. NOT FOR USE IN DIAGNOSTIC OR THERAPEUTIC PROCEDURES'.

For licensing inquiries, please contact partnerships@abcam.com