JavaScript is disabled in your browser. Please enable JavaScript to view this website.
AB256509

Anti-Asialoglycoprotein Receptor 1/HL-1 antibody [EPR22642-17] - BSA and Azide free

Be the first to review this product! Submit a review

|

(1 Publication)

Anti-Asialoglycoprotein Receptor 1/HL-1 antibody [EPR22642-17] - BSA and Azide free (ab256509) is a rabbit recombinant monoclonal antibody for Western Blot, Flow Cytometry, IP, IHC-P, ICC/IF. Suitable for Human.

- BSA, sodium azide, and glycerol-free for easy conjugation
- Biophysical QC for unrivalled batch-batch consistency

View Alternative Names

CLEC4H1, ASGR1, Asialoglycoprotein receptor 1, ASGP-R 1, ASGPR 1, C-type lectin domain family 4 member H1, Hepatic lectin H1, HL-1

7 Images
Immunocytochemistry/ Immunofluorescence - Anti-Asialoglycoprotein Receptor 1/HL-1 antibody [EPR22642-17] - BSA and Azide free (AB256509)
  • ICC/IF

Unknown

Immunocytochemistry/ Immunofluorescence - Anti-Asialoglycoprotein Receptor 1/HL-1 antibody [EPR22642-17] - BSA and Azide free (AB256509)

Immunofluorescent analysis of 4% Paraformaldehyde-fixed, 0.1% TritonX-100 permeabilized HepG2 (human hepatocellular carcinoma epithelial cell line) cells labelling Asialoglycoprotein Receptor 1/HL-1 antibody with ab254262 at 1/100 dilution, followed by ab150077 AlexaFluor®488 Goat anti-Rabbit secondary antibody at 1/1000 dilution (Green). Confocal image showing membranous and weak cytoplasmic staining in HepG2 cellsis observed. ab195889 Anti-alpha Tubulin antibody [DM1A] - Microtubule Marker (Alexa Fluor® 594) was used to counterstain tubulin at 1/200 dilution (Red). The Nuclear counterstain was DAPI (Blue).

Secondary antibody only control : Used PBS instead of primary antibody, secondary antibody is ab150077 AlexaFluor®488 Goat anti-Rabbit secondary at 1/1000 dilution.

This data was developed using the same antibody clone in a different buffer formulation containing PBS, BSA, glycerol, and sodium azide (ab254262).

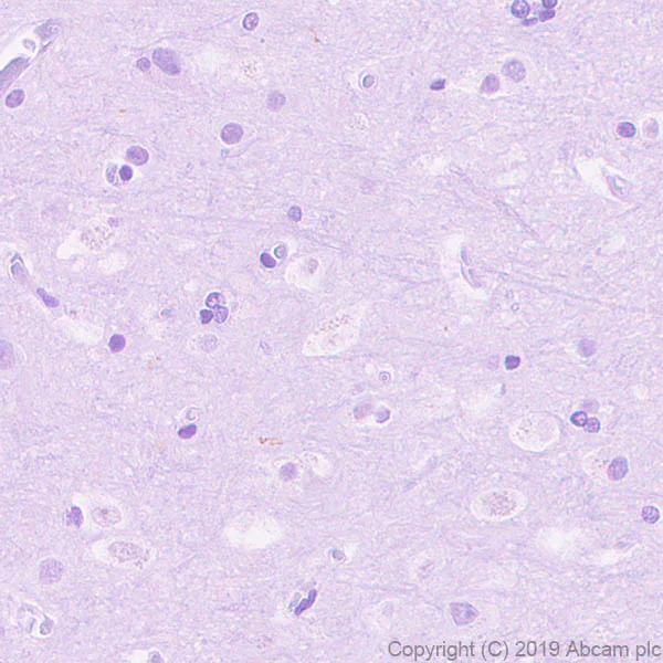
Immunohistochemistry (Formalin/PFA-fixed paraffin-embedded sections) - Anti-Asialoglycoprotein Receptor 1/HL-1 antibody [EPR22642-17] - BSA and Azide free (AB256509)
  • IHC-P

Unknown

Immunohistochemistry (Formalin/PFA-fixed paraffin-embedded sections) - Anti-Asialoglycoprotein Receptor 1/HL-1 antibody [EPR22642-17] - BSA and Azide free (AB256509)

Negative control : No staining in human cerebrum (PMID : 23979840)

Immunohistochemical analysis of paraffin-embedded Human cerebrum tissue labeling Asialoglycoprotein Receptor 1/HL-1 antibody with ab254262 at 1/1000 dilution (0.5 μg/ml) followed by a ready to use Rabbit specific IHC polymer detection kit HRP/DAB (ab209101).

The section was incubated with ab254262 for 15 mins at room temperature. The immunostaining was performed on a Leica Biosystems BOND® RX instrument. Counterstained with Hematoxylin. Heat mediated antigen retrieval with Tris-EDTA buffer (pH 9.0, epitope retrieval solution 2) for 20 mins.

Secondary antibody only control : Used PBS instead of primary antibody, secondary antibody is a ready to use Rabbit specific IHC polymer detection kit HRP/DAB (ab209101).

This data was developed using the same antibody clone in a different buffer formulation containing PBS, BSA, glycerol, and sodium azide (ab254262).

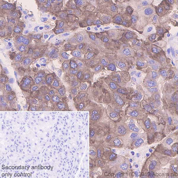
Immunohistochemistry (Formalin/PFA-fixed paraffin-embedded sections) - Anti-Asialoglycoprotein Receptor 1/HL-1 antibody [EPR22642-17] - BSA and Azide free (AB256509)
  • IHC-P

Unknown

Immunohistochemistry (Formalin/PFA-fixed paraffin-embedded sections) - Anti-Asialoglycoprotein Receptor 1/HL-1 antibody [EPR22642-17] - BSA and Azide free (AB256509)

Negative control : No staining in human colon (PMID : 23979840).

Immunohistochemical analysis of paraffin-embedded Human colon tissue labeling Asialoglycoprotein Receptor 1/HL-1 antibody with ab254262 at 1/1000 dilution (0.5 μg/ml) followed by a ready to use Rabbit specific IHC polymer detection kit HRP/DAB (ab209101).

The section was incubated with ab254262 for 15 mins at room temperature. The immunostaining was performed on a Leica Biosystems BOND® RX instrument. Counterstained with Hematoxylin. Heat mediated antigen retrieval with Tris-EDTA buffer (pH 9.0, epitope retrieval solution 2) for 20 mins.

Secondary antibody only control : Used PBS instead of primary antibody, secondary antibody is a ready to use Rabbit specific IHC polymer detection kit HRP/DAB (ab209101).

This data was developed using the same antibody clone in a different buffer formulation containing PBS, BSA, glycerol, and sodium azide (ab254262).

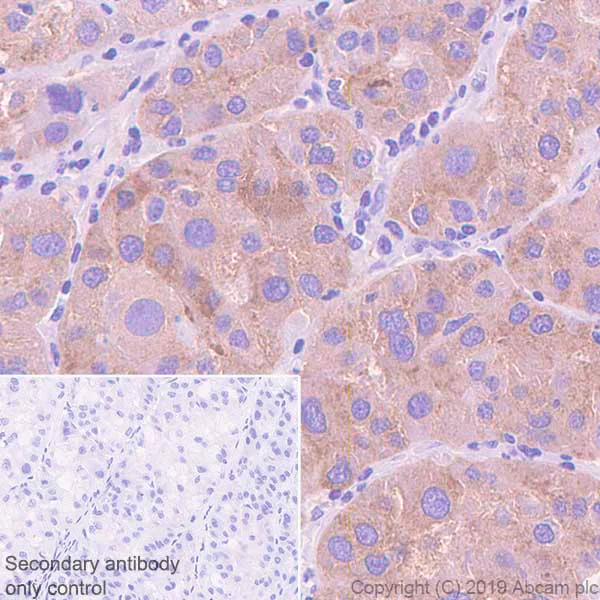
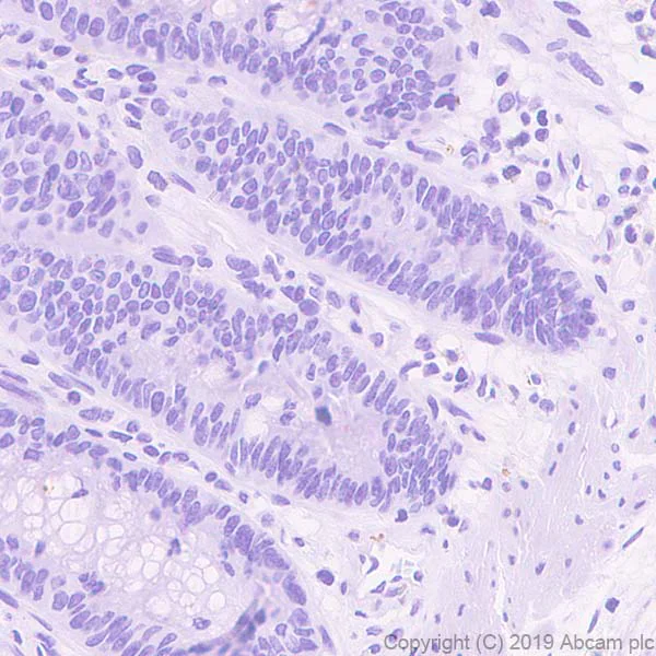
Immunohistochemistry (Formalin/PFA-fixed paraffin-embedded sections) - Anti-Asialoglycoprotein Receptor 1/HL-1 antibody [EPR22642-17] - BSA and Azide free (AB256509)
  • IHC-P

Unknown

Immunohistochemistry (Formalin/PFA-fixed paraffin-embedded sections) - Anti-Asialoglycoprotein Receptor 1/HL-1 antibody [EPR22642-17] - BSA and Azide free (AB256509)

Immunohistochemical analysis of paraffin-embedded Human liver cancer tissue labeling Asialoglycoprotein Receptor 1/HL-1 antibody with ab254262 at 1/1000 dilution (0.5 μg/ml) followed by a ready to use Rabbit specific IHC polymer detection kit HRP/DAB (ab209101). Positive staining in human liver cancer (PMID : 23979840,26422581,27241665) is observed.

The section was incubated with ab254262 for 15 mins at room temperature.The immunostaining was performed on a Leica Biosystems BOND® RX instrument. Counterstained with Hematoxylin. Heat mediated antigen retrieval with Tris-EDTA buffer (pH 9.0, epitope retrieval solution 2) for 20 mins.

Secondary antibody only control : Used PBS instead of primary antibody, secondary antibody is a ready to use Rabbit specific IHC polymer detection kit HRP/DAB (ab209101).

This data was developed using the same antibody clone in a different buffer formulation containing PBS, BSA, glycerol, and sodium azide (ab254262).

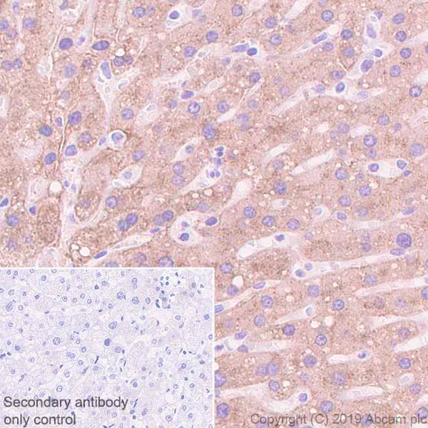
Immunohistochemistry (Formalin/PFA-fixed paraffin-embedded sections) - Anti-Asialoglycoprotein Receptor 1/HL-1 antibody [EPR22642-17] - BSA and Azide free (AB256509)
  • IHC-P

Unknown

Immunohistochemistry (Formalin/PFA-fixed paraffin-embedded sections) - Anti-Asialoglycoprotein Receptor 1/HL-1 antibody [EPR22642-17] - BSA and Azide free (AB256509)

Immunohistochemical analysis of paraffin-embedded Human liver tissue labeling Asialoglycoprotein Receptor 1/HL-1 antibody with ab254262 at 1/1000 dilution (0.5 μg/ml) followed by a Rabbit specific IHC polymer detection kit HRP/DAB (ab209101). Positive staining in human liver (PMID : 23979840, 26422581, 27241665) is observed.

The section was incubated with ab254262 for 15 mins at room temperature.The immunostaining was performed on a Leica Biosystems BOND® RX instrument. Counterstained with Hematoxylin. Heat mediated antigen retrieval with Tris-EDTA buffer (pH 9.0, epitope retrieval solution 2) for 20 mins.

Secondary antibody only control : Used PBS instead of primary antibody, secondary antibody is Rabbit specific IHC polymer detection kit HRP/DAB (ab209101).

This data was developed using the same antibody clone in a different buffer formulation containing PBS, BSA, glycerol, and sodium azide (ab254262).

Flow Cytometry - Anti-Asialoglycoprotein Receptor 1/HL-1 antibody [EPR22642-17] - BSA and Azide free (AB256509)
  • Flow Cyt

Unknown

Flow Cytometry - Anti-Asialoglycoprotein Receptor 1/HL-1 antibody [EPR22642-17] - BSA and Azide free (AB256509)

Flow cytometric analysis of HepG2 (Human hepatocellular carcinoma epithelial cell line) cells labelling Asialoglycoprotein Receptor 1/HL-1 antibody with ab254262 at 1/500 dilution (Red) compared with a Rabbit monoclonal IgG (ab172730, Black) isotype control and an unlabelled control (cells without incubation with primary antibody and secondary antibody) (Blue). Goat anti rabbit IgG (Alexa Fluor® 488, ab150077) at 1/2000 dilution was used as the secondary antibody. Gated on viable cells.

This data was developed using the same antibody clone in a different buffer formulation containing PBS, BSA, glycerol, and sodium azide (ab254262).

Immunoprecipitation - Anti-Asialoglycoprotein Receptor 1/HL-1 antibody [EPR22642-17] - BSA and Azide free (AB256509)
  • IP

Unknown

Immunoprecipitation - Anti-Asialoglycoprotein Receptor 1/HL-1 antibody [EPR22642-17] - BSA and Azide free (AB256509)

Asialoglycoprotein Receptor 1/HL-1 antibody was immunoprecipitated from 0.35 mg HepG2 (Human hepatocellular carcinoma epithelial cell) whole cell lysate 10μg with ab254262 at 1/30 dilution (2μg in 0.35mg lysates). Western blot was performed on the immunoprecipitate using ab254262 at 1/1000 dilution. VeriBlot for IP Detection Reagent (HRP) (ab131366) was used as the secondary antibody at 1/5000 dilution.

Lane 1 : HepG2 (Human hepatocellular carcinoma epithelial cell) whole cell lysate 10μg

Lane 2 : ab254262 IP in HepG2 whole cell lysate

Lane 3 : Rabbit monoclonal IgG (ab172730) instead of ab254262 in HepG2 whole cell lysate.

Blocking and dilution buffer and concentration : 5% NFDM/TBST.

Exposure time : 7 seconds.

The band at around 100kDa is described as dimers (PMID : 7663158).

This data was developed using the same antibody clone in a different buffer formulation containing PBS, BSA, glycerol, and sodium azide (ab254262).

All lanes:

Immunoprecipitation - Anti-Asialoglycoprotein Receptor 1/HL-1 antibody [EPR22642-17] (<a href='/en-us/products/primary-antibodies/asialoglycoprotein-receptor-1-hl-1-antibody-epr22642-17-ab254262'>ab254262</a>)

Predicted band size: 33 kDa

Observed band size: 40-50 kDa

false

  • Unconjugated

    Anti-Asialoglycoprotein Receptor 1/HL-1 antibody [EPR22642-17]

  • 519 Alexa Fluor® 488

    Alexa Fluor® 488 Anti-Asialoglycoprotein Receptor 1/HL-1 antibody [EPR22642-17]

  • 665 Alexa Fluor® 647

    Alexa Fluor® 647 Anti-Asialoglycoprotein Receptor 1/HL-1 antibody [EPR22642-17]

  • 578 PE

    PE Anti-Asialoglycoprotein Receptor 1/HL-1 antibody [EPR22642-17]

  • HRP

    HRP Anti-Asialoglycoprotein Receptor 1/HL-1 antibody [EPR22642-17]

Key facts

Host species

Rabbit

Clonality

Monoclonal

Clone number

EPR22642-17

Isotype

IgG

Carrier free

Yes

Reacts with

Human

Applications

Flow Cyt, IP, ICC/IF, IHC-P, WB

applications

Immunogen

The exact immunogen used to generate this antibody is proprietary information.

Reactivity data

{ "title": "Reactivity Data", "filters": { "stats": ["", "Species", "Dilution Info", "Notes"], "tabs": { "all-applications": {"fullname" : "All Applications", "shortname": "All Applications"}, "IP" : {"fullname" : "Immunoprecipitation", "shortname":"IP"}, "FlowCyt" : {"fullname" : "Flow Cytometry", "shortname":"Flow Cyt"}, "WB" : {"fullname" : "Western blot", "shortname":"WB"}, "IHCP" : {"fullname" : "Immunohistochemistry (Formalin/PFA-fixed paraffin-embedded sections)", "shortname":"IHC-P"}, "ICCIF" : {"fullname" : "Immunocytochemistry/ Immunofluorescence", "shortname":"ICC/IF"} }, "product-promise": { "all": "all", "testedAndGuaranteed": "tested", "guaranteed": "expected", "predicted": "predicted", "notRecommended": "not-recommended" } }, "values": { "Human": { "IP-species-checked": "testedAndGuaranteed", "IP-species-dilution-info": "", "IP-species-notes": "<p></p>", "FlowCyt-species-checked": "testedAndGuaranteed", "FlowCyt-species-dilution-info": "", "FlowCyt-species-notes": "<p></p>", "WB-species-checked": "guaranteed", "WB-species-dilution-info": "", "WB-species-notes": "<p></p>", "IHCP-species-checked": "testedAndGuaranteed", "IHCP-species-dilution-info": "", "IHCP-species-notes": "<p></p> Perform heat-mediated antigen retrieval with Tris/EDTA buffer pH 9.0 before commencing with IHC staining protocol.", "ICCIF-species-checked": "testedAndGuaranteed", "ICCIF-species-dilution-info": "", "ICCIF-species-notes": "<p></p>" } } }

Product details

What is this antibody validated in?
Anti-Asialoglycoprotein Receptor 1/HL-1 antibody [EPR22642-17] - BSA and Azide free (ab256509) is a rabbit recombinant monoclonal antibody and is validated for use in Western Blot (WB), Flow Cytometry (Flow Cyt), Immunoprecipitation (IP), Immunohistochemistry (IHC-P), Immunocytochemistry/immunofluorescence (ICC/IF) in Human samples.

What is the molecular weight of Asialoglycoprotein Receptor 1/HL-1?
Anti-Asialoglycoprotein Receptor 1/HL-1 [EPR22642-17] - BSA and Azide free (ab256509) specifically detects a band for Asialoglycoprotein Receptor 1/HL-1 (UniProt: P07306) at a molecular weight of 33kDa.

Other related products
We have a range of other formats of antibody clone [EPR22642-17] also available for your convenience: ab254262, Carrier free - ab256509, Alexa Fluor® 488 - ab315184, Alexa Fluor® 647 - ab315185, PE - ab322528, HRP - ab323727

Patented technology
Our RabMAb® technology is a patented hybridoma-based technology for making rabbit monoclonal antibodies. For details on our patents, please refer to RabMAb® patents.

What are the advantages of a recombinant monoclonal antibody?
This product is a recombinant monoclonal antibody, which offers several advantages including:

  • - High batch-to-batch consistency and reproducibility
  • - Improved sensitivity and specificity
  • - Long-term security of supply
  • - Animal-free batch production

For more information, read more on recombinant antibodies.

Conjugation ready
Our carrier-free antibodies are typically supplied in a PBS-only formulation, purified and free of BSA, sodium azide and glycerol. This conjugation-ready format is designed for use with fluorochromes, metal isotopes, oligonucleotides, and enzymes, which makes them ideal for antibody labelling, functional and cell-based assays, flow-based assays (e.g. mass cytometry) and Multiplex Imaging applications.

Use our conjugation kits for antibody conjugates that are ready-to-use in as little as 20 minutes with 1 minute hands-on-time and 100% antibody recovery: available for fluorescent dyes, HRP, biotin and gold.

Compatibility
This product is compatible with the Maxpar® Antibody Labeling Kit from Fluidigm, without the need for antibody preparation. Maxpar® is a trademark of Fluidigm Canada Inc.

Properties and storage information

Form
Liquid
Purification technique
Affinity purification Protein A
Storage buffer
pH: 7.2 - 7.4 Constituents: PBS
Shipped at conditions
Blue Ice
Appropriate short-term storage conditions
+4°C
Appropriate long-term storage conditions
+4°C
Storage information
Do Not Freeze

Supplementary information

This supplementary information is collated from multiple sources and compiled automatically.

The Asialoglycoprotein Receptor 1 (ASGR1) also known as ASGPR 1 or asialoglycoprotein receptor is a well-known protein with a critical role in the mechanism of recognizing and binding to asialoglycoproteins. It has a molecular mass of approximately 46 kDa. ASGR1 is expressed mostly in liver cells specifically hepatocytes. The unique characteristic of this receptor is its lectin-like nature which allows it to bind to specific sugar moieties present on desialylated glycoproteins. Through receptor-mediated endocytosis it facilitates their removal from the bloodstream.
Biological function summary

The function of ASGR1 extends significantly. It operates as part of the asialoglycoprotein receptor complex interfacing directly with the ligand proteins to mediate endocytosis. This process is essential in most mammalian systems for maintaining serum glycoprotein homeostasis. By clearing desialylated glycoproteins from circulation ASGR1 helps prevent potential adverse effects these molecules might cause like immune activation or interference with other biological functions.

Pathways

ASGR1 is integral to glycoprotein clearance pathways. It actively participates in the hepatic clearance pathway ensuring the regulation of serum glycoprotein levels. The removal of asialoglycoproteins involves interactions with several other hepatic proteins such as GalNAc transferase which can further facilitate the remodeling of glycoconjugates. Understanding these interactions is key for comprehending how the liver maintains overall metabolic balance.

ASGR1 is linked to certain liver-related conditions. Dysfunction or aberrant expression of the ASGR1 receptor can relate to elevated levels of serum glycoproteins which might be observed in liver cirrhosis. Elevated glycoproteins can exacerbate the progression of liver diseases. Furthermore ASGR1 protein interaction with viral glycoproteins has implications in hepatitis infections where it may inadvertently facilitate viral entry into hepatocytes affecting liver function and contributing to disease pathology.

Product protocols

For this product, it's our understanding that no specific protocols are required. You can visit:

Target data

Mediates the endocytosis of plasma glycoproteins to which the terminal sialic acid residue on their complex carbohydrate moieties has been removed. The receptor recognizes terminal galactose and N-acetylgalactosamine units. After ligand binding to the receptor, the resulting complex is internalized and transported to a sorting organelle, where receptor and ligand are disassociated. The receptor then returns to the cell membrane surface.
See full target information ASGR1

Publications (1)

Recent publications for all applications. Explore the full list and refine your search

Cell reports. Medicine 6:102024 PubMed40107247

2025

Immune-featured stromal niches associate with response to neoadjuvant immunotherapy in oral squamous cell carcinoma.

Applications

Unspecified application

Species

Unspecified reactive species

Yu-Tong Liu,Hai-Ming Liu,Jian-Gang Ren,Wei Zhang,Xin-Xin Wang,Zi-Li Yu,Qiu-Yun Fu,Xue-Peng Xiong,Jun Jia,Bing Liu,Gang Chen
View all publications

Product promise

We are committed to supporting your work with high-quality reagents, and we're here for you every step of the way. In the unlikely event that one of our products does not perform as expected, you're protected by our Product Promise.
For full details, please see our Terms & Conditions

Please note: All products are 'FOR RESEARCH USE ONLY. NOT FOR USE IN DIAGNOSTIC OR THERAPEUTIC PROCEDURES'.

For licensing inquiries, please contact partnerships@abcam.com