JavaScript is disabled in your browser. Please enable JavaScript to view this website.
AB300563

Anti-ASIC1 antibody [EPR25411-161]

  • BOND RX™ Validated
  • 20ul selling size
  • RabMAb
  • Recombinant
  • What is this?

Be the first to review this product! Submit a review

|

(0 Publication)

Rabbit Recombinant Monoclonal ASIC1 antibody. Suitable for IP, IHC-P, WB and reacts with Mouse, Rat, Transfected cell line - Human samples.

View Alternative Names

Accn2, Asic, Bnac2, Asic1, Acid-sensing ion channel 1, ASIC1, Acid-sensing ion channel, Brain sodium channel 2, BNaC2

8 Images
Immunohistochemistry (Formalin/PFA-fixed paraffin-embedded sections) - Anti-ASIC1 antibody [EPR25411-161] (AB300563)
  • IHC-P

Supplier Data

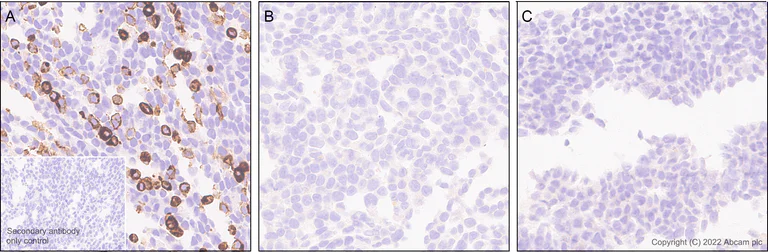
Immunohistochemistry (Formalin/PFA-fixed paraffin-embedded sections) - Anti-ASIC1 antibody [EPR25411-161] (AB300563)

Immunohistochemical analysis of paraffin-embedded Panel A HEK-293T c tissue labeling ASIC1 with ab300563 at 1/5000 (0.1 ug/ml) followed by a ready to use LeicaDS9800 (Bond™ Polymer Refine Detection) was used. Positive staining on (A) HEK-293T transfected with a human ASIC1 expression vector, no staining on (B) HEK-293T cells transfected with a human ASIC2a expression vector and (C) HEK-293T transfected with an empty vector. The section was incubated with ab300563 for 30 mins at room temperature.The immunostaining was performed on a Leica Biosystems BOND® RX instrument Counterstained with Hematoxylin. Secondary antibody only control : Secondary antibody is a ready to use LeicaDS9800 (Bond™ Polymer Refine Detection) was used. Heat mediated antigen retrieval with Tris-EDTA buffer (pH 9.0, epitope retrieval solution2) for 20 mins

Immunohistochemistry (Formalin/PFA-fixed paraffin-embedded sections) - Anti-ASIC1 antibody [EPR25411-161] (AB300563)
  • IHC-P

Supplier Data

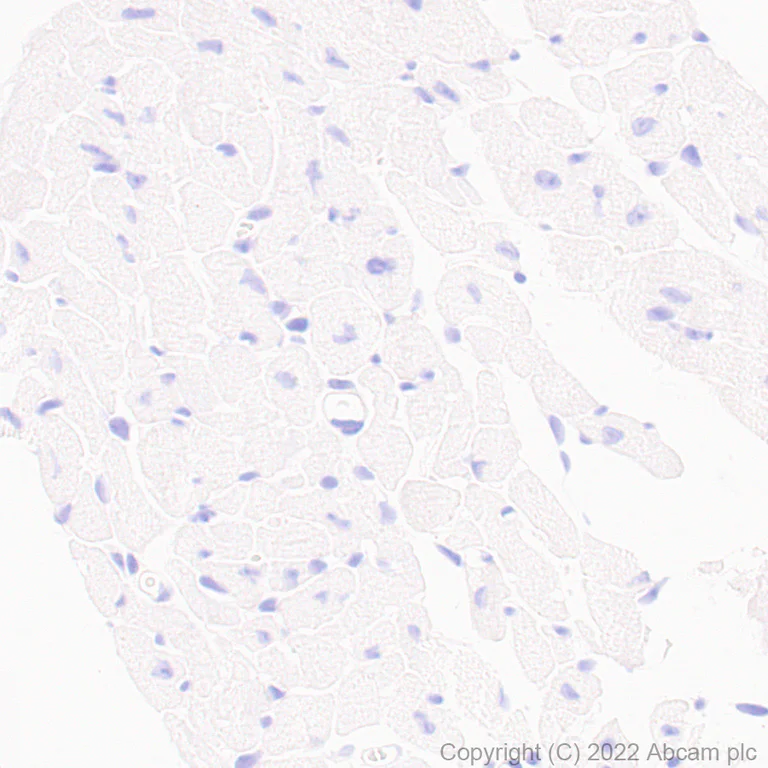
Immunohistochemistry (Formalin/PFA-fixed paraffin-embedded sections) - Anti-ASIC1 antibody [EPR25411-161] (AB300563)

Immunohistochemical analysis of paraffin-embedded Rat cardiac muscle tissue labeling ASIC1 with ab300563 at 1/1000 (0.498 ug/ml) followed by a ready to use LeicaDS9800 (Bond™ Polymer Refine Detection) was used. Negative control : no staining in rat cardiac muscle. The section was incubated with ab300563 for 30 mins at room temperature.The immunostaining was performed on a Leica Biosystems BOND® RX instrument Counterstained with Hematoxylin. Secondary antibody only control : Secondary antibody is a ready to use LeicaDS9800 (Bond™ Polymer Refine Detection) was used. Heat mediated antigen retrieval with Tris-EDTA buffer (pH 9.0, epitope retrieval solution2) for 20 mins

Immunohistochemistry (Formalin/PFA-fixed paraffin-embedded sections) - Anti-ASIC1 antibody [EPR25411-161] (AB300563)
  • IHC-P

Supplier Data

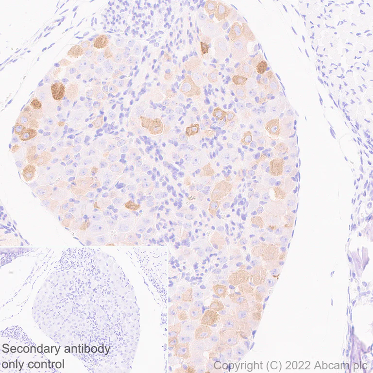
Immunohistochemistry (Formalin/PFA-fixed paraffin-embedded sections) - Anti-ASIC1 antibody [EPR25411-161] (AB300563)

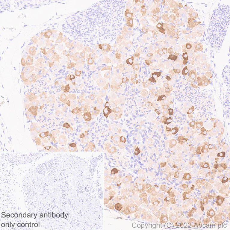
Immunohistochemical analysis of paraffin-embedded Rat dorsal root gang tissue labeling ASIC1 with ab300563 at 1/1000 (0.498 ug/ml) followed by a ready to use LeicaDS9800 (Bond™ Polymer Refine Detection) was used. Positive staining in rat dorsal root ganglion neurons. The section was incubated with ab300563 for 30 mins at room temperature.The immunostaining was performed on a Leica Biosystems BOND® RX instrument Counterstained with Hematoxylin. Secondary antibody only control : Secondary antibody is a ready to use LeicaDS9800 (Bond™ Polymer Refine Detection) was used. Heat mediated antigen retrieval with Tris-EDTA buffer (pH 9.0, epitope retrieval solution2) for 20 mins

Immunohistochemistry (Formalin/PFA-fixed paraffin-embedded sections) - Anti-ASIC1 antibody [EPR25411-161] (AB300563)
  • IHC-P

Supplier Data

Immunohistochemistry (Formalin/PFA-fixed paraffin-embedded sections) - Anti-ASIC1 antibody [EPR25411-161] (AB300563)

Immunohistochemical analysis of paraffin-embedded Mouse cardiac muscle tissue labeling ASIC1 with ab300563 at 1/1000 (0.498 ug/ml) followed by a ready to use LeicaDS9800 (Bond™ Polymer Refine Detection) was used. Negative control : no staining in mouse cardiac muscle. The section was incubated with ab300563 for 30 mins at room temperature.The immunostaining was performed on a Leica Biosystems BOND® RX instrument Counterstained with Hematoxylin. Secondary antibody only control : Secondary antibody is a ready to use LeicaDS9800 (Bond™ Polymer Refine Detection) was used. Heat mediated antigen retrieval with Tris-EDTA buffer (pH 9.0, epitope retrieval solution2) for 20 mins

Immunohistochemistry (Formalin/PFA-fixed paraffin-embedded sections) - Anti-ASIC1 antibody [EPR25411-161] (AB300563)
  • IHC-P

Supplier Data

Immunohistochemistry (Formalin/PFA-fixed paraffin-embedded sections) - Anti-ASIC1 antibody [EPR25411-161] (AB300563)

Immunohistochemical analysis of paraffin-embedded Mouse dorsal root ga tissue labeling ASIC1 with ab300563 at 1/1000 (0.498 ug/ml) followed by a ready to use LeicaDS9800 (Bond™ Polymer Refine Detection) was used. Positive staining in mouse dorsal root ganglion neurons. The section was incubated with ab300563 for 30 mins at room temperature.The immunostaining was performed on a Leica Biosystems BOND® RX instrument Counterstained with Hematoxylin. Secondary antibody only control : Secondary antibody is a ready to use LeicaDS9800 (Bond™ Polymer Refine Detection) was used. Heat mediated antigen retrieval with Tris-EDTA buffer (pH 9.0, epitope retrieval solution2) for 20 mins

Immunoprecipitation - Anti-ASIC1 antibody [EPR25411-161] (AB300563)
  • IP

Supplier Data

Immunoprecipitation - Anti-ASIC1 antibody [EPR25411-161] (AB300563)

ASIC1 was immunoprecipitated from 0.35 mg Mouse cerebellum tissue lysate 10 ug with ab300563 at 1/30 dilution (2ug in 0.35mg lysates). Western blot was performed on the immunoprecipitate using ab300563 at 1/1000 dilution.

VeriBlot for IP secondary antibody(HRP)(ab131366) was used at 1/5000 dilution.

Blocking and dilution buffer and concentration : 5% NFDM/TBST.

All lanes:

Immunoprecipitation - Anti-ASIC1 antibody [EPR25411-161] (ab300563) at 1/1000 dilution

Lane 1:

Mouse cerebellum tissue lysate at 10 µg

Lane 2:

ab300563 at 1/30 IP in Mouse cerebellum tissue lysate at 10 µg

Lane 3:

Rabbit monoclonal IgG (<a href='/en-us/products/primary-antibodies/rabbit-igg-monoclonal-epr25a-isotype-control-ab172730'>ab172730</a>) instead of ab300563 in mouse cerebellum tissue lysate at 10 µg

Secondary

All lanes:

Immunoprecipitation - VeriBlot for IP Detection Reagent (HRP) (<a href='/en-us/products/reagents/veriblot-for-ip-detection-reagent-hrp-ab131366'>ab131366</a>) at 1/5000 dilution

Observed band size: 70 kDa,150 kDa

false

Exposure time: 3min

Western blot - Anti-ASIC1 antibody [EPR25411-161] (AB300563)
  • WB

Supplier Data

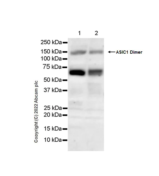
Western blot - Anti-ASIC1 antibody [EPR25411-161] (AB300563)

Blocking and diluting buffer and concentration : 5% NFDM/TBST The observed MW is consistent with what has been described in the literature (PMID : 19218436, PMID : 26252376).

All lanes:

Western blot - Anti-ASIC1 antibody [EPR25411-161] (ab300563) at 1/1000 dilution

Lane 1:

Rat brain tissue lysate

Lane 2:

Rat spinal cord tissue lysate

Secondary

All lanes:

Western blot - Goat Anti-Rabbit IgG H&L (HRP) (<a href='/en-us/products/secondary-antibodies/goat-rabbit-igg-h-l-hrp-ab97051'>ab97051</a>) at 1/20000 dilution

Observed band size: 70 kDa,150 kDa

false

Exposure time: 3min

Western blot - Anti-ASIC1 antibody [EPR25411-161] (AB300563)
  • WB

Supplier Data

Western blot - Anti-ASIC1 antibody [EPR25411-161] (AB300563)

Blocking and diluting buffer and concentration : 5% NFDM/TBST The observed MW is consistent with what has been described in the literature (PMID : 19218436, PMID : 26252376). Negative controls : heart, kidney (PMID : 9037075).

All lanes:

Western blot - Anti-ASIC1 antibody [EPR25411-161] (ab300563) at 1/1000 dilution

Lane 1:

Mouse cerebellum tissue lysate

Lane 2:

Mouse brain tissue lysate

Lane 3:

Mouse spinal cord tissue lysate

Lane 4:

Mouse heart tissue lysate

Lane 5:

Mouse kidney tissue lysate

Secondary

All lanes:

Goat Anti-Rabbit IgG (HRP) with minimal cross-reactivity with human IgG at 1/2000 dilution

Observed band size: 70 kDa,150 kDa

false

Exposure time: 48s

  • Carrier free

    Anti-ASIC1 antibody [EPR25411-161] (BSA and Azide free)

Key facts

Host species

Rabbit

Clonality

Monoclonal

Clone number

EPR25411-161

Isotype

IgG

Carrier free

No

Reacts with

Mouse, Rat

Applications

IHC-P, IP, WB

applications

Immunogen

The exact immunogen used to generate this antibody is proprietary information.

Reactivity data

{ "title": "Reactivity Data", "filters": { "stats": ["", "Species", "Dilution Info", "Notes"], "tabs": { "all-applications": {"fullname" : "All Applications", "shortname": "All Applications"}, "IP" : {"fullname" : "Immunoprecipitation", "shortname":"IP"}, "ICCIF" : {"fullname" : "Immunocytochemistry/ Immunofluorescence", "shortname":"ICC/IF"}, "IHCP" : {"fullname" : "Immunohistochemistry (Formalin/PFA-fixed paraffin-embedded sections)", "shortname":"IHC-P"}, "WB" : {"fullname" : "Western blot", "shortname":"WB"}, "FlowCytIntra" : {"fullname" : "Flow Cytometry (Intracellular)", "shortname":"Flow Cyt (Intra)"} }, "product-promise": { "all": "all", "testedAndGuaranteed": "tested", "guaranteed": "expected", "predicted": "predicted", "notRecommended": "not-recommended" } }, "values": { "Human": { "IP-species-checked": "notRecommended", "IP-species-dilution-info": "1/30", "IP-species-notes": "<p></p>", "ICCIF-species-checked": "notRecommended", "ICCIF-species-dilution-info": "", "ICCIF-species-notes": "<p></p>", "IHCP-species-checked": "notRecommended", "IHCP-species-dilution-info": "1/1000", "IHCP-species-notes": "<p></p> Perform heat-mediated antigen retrieval with Tris/EDTA buffer pH 9.0 before commencing with IHC staining protocol.", "WB-species-checked": "notRecommended", "WB-species-dilution-info": "1/1000", "WB-species-notes": "<p></p>", "FlowCytIntra-species-checked": "notRecommended", "FlowCytIntra-species-dilution-info": "", "FlowCytIntra-species-notes": "" }, "Mouse": { "IP-species-checked": "testedAndGuaranteed", "IP-species-dilution-info": "1/30", "IP-species-notes": "<p></p>", "ICCIF-species-checked": "notRecommended", "ICCIF-species-dilution-info": "", "ICCIF-species-notes": "<p></p>", "IHCP-species-checked": "testedAndGuaranteed", "IHCP-species-dilution-info": "1/1000", "IHCP-species-notes": "<p></p> Perform heat-mediated antigen retrieval with Tris/EDTA buffer pH 9.0 before commencing with IHC staining protocol.", "WB-species-checked": "testedAndGuaranteed", "WB-species-dilution-info": "1/1000", "WB-species-notes": "<p></p>", "FlowCytIntra-species-checked": "notRecommended", "FlowCytIntra-species-dilution-info": "", "FlowCytIntra-species-notes": "<p></p>" }, "Rat": { "IP-species-checked": "guaranteed", "IP-species-dilution-info": "", "IP-species-notes": "", "ICCIF-species-checked": "notRecommended", "ICCIF-species-dilution-info": "", "ICCIF-species-notes": "<p></p>", "IHCP-species-checked": "testedAndGuaranteed", "IHCP-species-dilution-info": "1/1000", "IHCP-species-notes": "<p></p> Perform heat-mediated antigen retrieval with Tris/EDTA buffer pH 9.0 before commencing with IHC staining protocol.", "WB-species-checked": "testedAndGuaranteed", "WB-species-dilution-info": "1/1000", "WB-species-notes": "<p></p>", "FlowCytIntra-species-checked": "notRecommended", "FlowCytIntra-species-dilution-info": "", "FlowCytIntra-species-notes": "<p></p>" }, "Transfected cell line - Human": { "IP-species-checked": "notRecommended", "IP-species-dilution-info": "", "IP-species-notes": "", "ICCIF-species-checked": "notRecommended", "ICCIF-species-dilution-info": "", "ICCIF-species-notes": "", "IHCP-species-checked": "testedAndGuaranteed", "IHCP-species-dilution-info": "1/1000", "IHCP-species-notes": "<p></p> Perform heat-mediated antigen retrieval with Tris/EDTA buffer pH 9.0 before commencing with IHC staining protocol.", "WB-species-checked": "notRecommended", "WB-species-dilution-info": "", "WB-species-notes": "", "FlowCytIntra-species-checked": "notRecommended", "FlowCytIntra-species-dilution-info": "", "FlowCytIntra-species-notes": "" } } }

Product details

Patented technology
Our RabMAb® technology is a patented hybridoma-based technology for making rabbit monoclonal antibodies. For details on our patents, please refer to RabMAb® patents.

What are the advantages of a recombinant monoclonal antibody?
This product is a recombinant monoclonal antibody, which offers several advantages including:

  • - High batch-to-batch consistency and reproducibility
  • - Improved sensitivity and specificity
  • - Long-term security of supply
  • - Animal-free batch production

For more information, read more on recombinant antibodies.

Properties and storage information

Form
Liquid
Purification technique
Affinity purification Protein A
Storage buffer
pH: 7.2 - 7.4 Preservative: 0.01% Sodium azide Constituents: PBS, 40% Glycerol (glycerin, glycerine), 0.05% BSA
Shipped at conditions
Blue Ice
Appropriate short-term storage duration
1-2 weeks
Appropriate short-term storage conditions
+4°C
Appropriate long-term storage conditions
-20°C
Aliquoting information
Upon delivery aliquot
Storage information
Avoid freeze / thaw cycle

Supplementary information

This supplementary information is collated from multiple sources and compiled automatically.

The ASIC1 or acid-sensing ion channel 1 is also known as ASIC or ACCN2. It is part of a group of proton-gated cation channels. ASIC1 has a molecular mass of approximately 60 kDa. This ion channel plays a role in the detection of acidosis where it mediates proton influx across cell membranes affecting changes in membrane potential. ASIC1 is expressed in neurons of the central and peripheral nervous systems with particular abundance in the brain. Its localization to regions such as the amygdala suggests a possible role in processing emotions and pain perception.
Biological function summary

This ion channel aids in neuronal response to pH drops serving as a sensor for acidification. The ASIC1 subunit can form homotrimers or heterotrimers with other ASIC subunits which impacts the ion conductance properties. This protein's activity affects synaptic plasticity and is involved in both short-term and long-term modulation of neuronal circuits. Changes in its activity can influence neurotransmission and has implications in neurological functionality.

Pathways

ASIC1 is part of the neurophysiological signaling pathways affecting synaptic transmission. It interacts with other proteins like ASIC2 and ASIC3 being implicated in the modulation of sensory perception and pain. Involvement in pathways like the pain-transducing signaling pathway places ASIC1 in a context where it can regulate nociceptive signals. It participates in ion flux alterations that contribute to neuronal excitability and synaptic strength.

ASIC1 has connections to neurodegenerative conditions and pain syndromes. It is implicated in the pathophysiology of disorders such as ischemia where acidosis occurs during stress and tissue damage and chronic pain conditions. ASIC1 interacts with proteins such as the NMDA receptor in the context of these diseases suggesting a role in excitotoxicity. Dysfunction or altered regulation of ASIC1 may exacerbate neurodegeneration or chronic pain symptoms highlighting its potential as a therapeutic target.

Product protocols

For this product, it's our understanding that no specific protocols are required. You can visit:

Target data

Proton-gated sodium channel; it is activated by a drop of the extracellular pH and then becomes rapidly desensitized. Generates a biphasic current with a fast inactivating and a slow sustained phase. Has high selectivity for sodium ions and can also transport lithium ions with high efficiency. Can also transport potassium ions, but with lower efficiency. It is nearly impermeable to the larger rubidium and cesium ions. Mediates glutamate-independent Ca(2+) entry into neurons upon acidosis. This Ca(2+) overloading is toxic for cortical neurons and may be in part responsible for ischemic brain injury. Heteromeric channel assembly seems to modulate channel properties. Functions as a postsynaptic proton receptor that influences intracellular Ca(2+) concentration and calmodulin-dependent protein kinase II phosphorylation and thereby the density of dendritic spines. Modulates activity in the circuits underlying innate fear.
See full target information Asic1

Product promise

We are committed to supporting your work with high-quality reagents, and we're here for you every step of the way. In the unlikely event that one of our products does not perform as expected, you're protected by our Product Promise.
For full details, please see our Terms & Conditions

Please note: All products are 'FOR RESEARCH USE ONLY. NOT FOR USE IN DIAGNOSTIC OR THERAPEUTIC PROCEDURES'.

For licensing inquiries, please contact partnerships@abcam.com