JavaScript is disabled in your browser. Please enable JavaScript to view this website.
AB284406

Anti-ASIC1 antibody [EPR25411-45]

Be the first to review this product! Submit a review

|

(2 Publications)

Rabbit Recombinant Monoclonal ASIC1 antibody. Suitable for IP, WB and reacts with Mouse, Rat samples. Cited in 2 publications.

View Alternative Names

ACCN2, BNAC2, ASIC1, Acid-sensing ion channel 1, Brain sodium channel 2, BNaC2

4 Images
Immunoprecipitation - Anti-ASIC1 antibody [EPR25411-45] (AB284406)
  • IP

Lab

Immunoprecipitation - Anti-ASIC1 antibody [EPR25411-45] (AB284406)

Acid-sensing ion channel 1 was immunoprecipitated from 0.35 mg Mouse cerebellum tissue lysate 10 ug with ab284406 at 1/30 dilution (2ug in 0.35mg lysates). Western blot was performed on the immunoprecipitate using ab284406 at 1/1000 dilution. VeriBlot for IP secondary antibody (HRP) (ab131366) was used at 1/5000 dilution.

Lane 1 : Mouse cerebellum tissue lysate 10 ug

Lane 2 : ab284406 IP in Mouse cerebellum tissue lysate

Lane 3 : Rabbit monoclonal IgG (ab172730) instead of ab284406 in mouse cerebellum tissue lysate

Blocking and dilution buffer and concentration : 5% NFDM/TBST.

Exposure time : 41 seconds

All lanes:

Immunoprecipitation - Anti-ASIC1 antibody [EPR25411-45] (ab284406)

Predicted band size: 60 kDa

Observed band size: 150 kDa,70 kDa

false

Exposure time: 41s

Immunoprecipitation - Anti-ASIC1 antibody [EPR25411-45] (AB284406)
  • IP

Lab

Immunoprecipitation - Anti-ASIC1 antibody [EPR25411-45] (AB284406)

Acid-sensing ion channel 1 was immunoprecipitated from 0.35 mg Rat cerebellum tissue lysate 10 ug with ab284406 at 1/30 dilution (2ug in 0.35mg lysates). Western blot was performed on the immunoprecipitate using ab284406 at 1/1000 dilution. VeriBlot for IP secondary antibody (HRP) (ab131366) was used at 1/5000 dilution.

Lane 1 : Rat cerebellum tissue lysate 10 ug

Lane 2 : ab284406 IP in Rat cerebellum tissue lysate

Lane 3 : Rabbit monoclonal IgG (ab172730) instead of ab284406 in rat cerebellum tissue lysate

Blocking and dilution buffer and concentration : 5% NFDM/TBST.

All lanes:

Immunoprecipitation - Anti-ASIC1 antibody [EPR25411-45] (ab284406)

Predicted band size: 60 kDa

Observed band size: 150 kDa,70 kDa

false

Exposure time: 41s

Western blot - Anti-ASIC1 antibody [EPR25411-45] (AB284406)
  • WB

Lab

Western blot - Anti-ASIC1 antibody [EPR25411-45] (AB284406)

Blocking and diluting buffer and concentration : 5% NFDM/TBST

The observed MW are consistent with what has been described in the literature (PMID : 19218436, PMID : 26252376).

Exposure time : 3 minutes

All lanes:

Western blot - Anti-ASIC1 antibody [EPR25411-45] (ab284406) at 1/1000 dilution

Lane 1:

Mouse cerebellum tissue lysate at 20 µg

Lane 2:

Rat brain tissue lysate at 20 µg

Lane 3:

Rat cerebellum tissue lysate at 20 µg

Secondary

All lanes:

Goat Anti-Rabbit IgG, (H+L), Peroxidase conjugated (<a href='/en-us/products/secondary-antibodies/goat-rabbit-igg-h-l-hrp-ab97051'>ab97051</a>) at 1/100000 dilution

Predicted band size: 60 kDa

Observed band size: 150 kDa,70 kDa

false

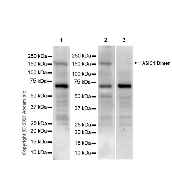
Western blot - Anti-ASIC1 antibody [EPR25411-45] (AB284406)
  • WB

Lab

Western blot - Anti-ASIC1 antibody [EPR25411-45] (AB284406)

Blocking and diluting buffer and concentration : 5% NFDM/TBST

The observed MW is consistent with what has been described in the literature (PMID : 19218436, PMID : 26252376).

Negative control : heart, kidney (PMID : 9037075).

Exposure time : 15 seconds

All lanes:

Western blot - Anti-ASIC1 antibody [EPR25411-45] (ab284406) at 1/1000 dilution

Lane 1:

Mouse brain tissue lysate at 20 µg

Lane 2:

Mouse heart tissue lysate at 20 µg

Lane 3:

Mouse kidney tissue lysate at 20 µg

Secondary

All lanes:

Goat Anti-Rabbit IgG (HRP) with minimal cross-reactivity with human IgG at 1/2000 dilution

Predicted band size: 60 kDa

Observed band size: 70 kDa

false

  • Carrier free

    Anti-ASIC1 antibody [EPR25411-45] - BSA and Azide free

Key facts

Host species

Rabbit

Clonality

Monoclonal

Clone number

EPR25411-45

Isotype

IgG

Carrier free

No

Reacts with

Rat, Mouse

Applications

WB, IP

applications

Immunogen

The exact immunogen used to generate this antibody is proprietary information.

Reactivity data

{ "title": "Reactivity Data", "filters": { "stats": ["", "Species", "Dilution Info", "Notes"], "tabs": { "all-applications": {"fullname" : "All Applications", "shortname": "All Applications"}, "ICCIF" : {"fullname" : "Immunocytochemistry/ Immunofluorescence", "shortname":"ICC/IF"}, "IP" : {"fullname" : "Immunoprecipitation", "shortname":"IP"}, "WB" : {"fullname" : "Western blot", "shortname":"WB"}, "IHCP" : {"fullname" : "Immunohistochemistry (Formalin/PFA-fixed paraffin-embedded sections)", "shortname":"IHC-P"}, "IHCFr" : {"fullname" : "Immunohistochemistry (Frozen sections)", "shortname":"IHC-Fr"} }, "product-promise": { "all": "all", "testedAndGuaranteed": "tested", "guaranteed": "expected", "predicted": "predicted", "notRecommended": "not-recommended" } }, "values": { "Human": { "ICCIF-species-checked": "notRecommended", "ICCIF-species-dilution-info": "", "ICCIF-species-notes": "<p></p>", "IP-species-checked": "notRecommended", "IP-species-dilution-info": "", "IP-species-notes": "", "WB-species-checked": "notRecommended", "WB-species-dilution-info": "1/1000", "WB-species-notes": "<p></p>", "IHCP-species-checked": "notRecommended", "IHCP-species-dilution-info": "", "IHCP-species-notes": "<p></p>", "IHCFr-species-checked": "notRecommended", "IHCFr-species-dilution-info": "", "IHCFr-species-notes": "" }, "Mouse": { "ICCIF-species-checked": "notRecommended", "ICCIF-species-dilution-info": "", "ICCIF-species-notes": "<p></p>", "IP-species-checked": "testedAndGuaranteed", "IP-species-dilution-info": "1/30", "IP-species-notes": "<p></p>", "WB-species-checked": "testedAndGuaranteed", "WB-species-dilution-info": "1/1000", "WB-species-notes": "<p></p>", "IHCP-species-checked": "notRecommended", "IHCP-species-dilution-info": "", "IHCP-species-notes": "<p></p>", "IHCFr-species-checked": "notRecommended", "IHCFr-species-dilution-info": "", "IHCFr-species-notes": "<p></p>" }, "Rat": { "ICCIF-species-checked": "notRecommended", "ICCIF-species-dilution-info": "", "ICCIF-species-notes": "<p></p>", "IP-species-checked": "testedAndGuaranteed", "IP-species-dilution-info": "1/30", "IP-species-notes": "<p></p>", "WB-species-checked": "testedAndGuaranteed", "WB-species-dilution-info": "1/1000", "WB-species-notes": "<p></p>", "IHCP-species-checked": "notRecommended", "IHCP-species-dilution-info": "", "IHCP-species-notes": "<p></p>", "IHCFr-species-checked": "notRecommended", "IHCFr-species-dilution-info": "", "IHCFr-species-notes": "<p></p>" } } }

Product details

Patented technology
Our RabMAb® technology is a patented hybridoma-based technology for making rabbit monoclonal antibodies. For details on our patents, please refer to RabMAb® patents.

What are the advantages of a recombinant monoclonal antibody?
This product is a recombinant monoclonal antibody, which offers several advantages including:

  • - High batch-to-batch consistency and reproducibility
  • - Improved sensitivity and specificity
  • - Long-term security of supply
  • - Animal-free batch production

For more information, read more on recombinant antibodies.

Properties and storage information

Form
Liquid
Purification technique
Affinity purification Protein A
Storage buffer
pH: 7.2 - 7.4 Preservative: 0.01% Sodium azide Constituents: PBS, 40% Glycerol (glycerin, glycerine), 0.05% BSA
Shipped at conditions
Blue Ice
Appropriate short-term storage duration
1-2 weeks
Appropriate short-term storage conditions
+4°C
Appropriate long-term storage conditions
-20°C
Aliquoting information
Upon delivery aliquot
Storage information
Avoid freeze / thaw cycle

Supplementary information

This supplementary information is collated from multiple sources and compiled automatically.

The ASIC1 or acid-sensing ion channel 1 is also known as ASIC or ACCN2. It is part of a group of proton-gated cation channels. ASIC1 has a molecular mass of approximately 60 kDa. This ion channel plays a role in the detection of acidosis where it mediates proton influx across cell membranes affecting changes in membrane potential. ASIC1 is expressed in neurons of the central and peripheral nervous systems with particular abundance in the brain. Its localization to regions such as the amygdala suggests a possible role in processing emotions and pain perception.
Biological function summary

This ion channel aids in neuronal response to pH drops serving as a sensor for acidification. The ASIC1 subunit can form homotrimers or heterotrimers with other ASIC subunits which impacts the ion conductance properties. This protein's activity affects synaptic plasticity and is involved in both short-term and long-term modulation of neuronal circuits. Changes in its activity can influence neurotransmission and has implications in neurological functionality.

Pathways

ASIC1 is part of the neurophysiological signaling pathways affecting synaptic transmission. It interacts with other proteins like ASIC2 and ASIC3 being implicated in the modulation of sensory perception and pain. Involvement in pathways like the pain-transducing signaling pathway places ASIC1 in a context where it can regulate nociceptive signals. It participates in ion flux alterations that contribute to neuronal excitability and synaptic strength.

ASIC1 has connections to neurodegenerative conditions and pain syndromes. It is implicated in the pathophysiology of disorders such as ischemia where acidosis occurs during stress and tissue damage and chronic pain conditions. ASIC1 interacts with proteins such as the NMDA receptor in the context of these diseases suggesting a role in excitotoxicity. Dysfunction or altered regulation of ASIC1 may exacerbate neurodegeneration or chronic pain symptoms highlighting its potential as a therapeutic target.

Product protocols

For this product, it's our understanding that no specific protocols are required. You can visit:

Target data

Isoform 2 and isoform 3 function as proton-gated sodium channels; they are activated by a drop of the extracellular pH and then become rapidly desensitized. The channel generates a biphasic current with a fast inactivating and a slow sustained phase. Has high selectivity for sodium ions and can also transport lithium ions with high efficiency. Isoform 2 can also transport potassium, but with lower efficiency. It is nearly impermeable to the larger rubidium and cesium ions. Isoform 3 can also transport calcium ions. Mediates glutamate-independent Ca(2+) entry into neurons upon acidosis. This Ca(2+) overloading is toxic for cortical neurons and may be in part responsible for ischemic brain injury. Heteromeric channel assembly seems to modulate channel properties. Functions as a postsynaptic proton receptor that influences intracellular Ca(2+) concentration and calmodulin-dependent protein kinase II phosphorylation and thereby the density of dendritic spines. Modulates activity in the circuits underlying innate fear.. Isoform 1 does not display proton-gated cation channel activity.
See full target information ASIC1

Publications (2)

Recent publications for all applications. Explore the full list and refine your search

Frontiers in cell and developmental biology 13:1582970 PubMed40677921

2025

Selective blockade of acid-sensing ion channel 1a can provide substantial hippocampal neuroprotection.

Applications

Unspecified application

Species

Unspecified reactive species

Jiaai Li,Yu Cheng,Di Ma,Guangjian Li,Weixuan Zhao,Ting Jiang,Hongmei Meng

Frontiers in aging neuroscience 16:1401038 PubMed38919602

2024

Downregulation of and mediated by CRISPR-CasRx ameliorates stroke volume and neurological deficits after ischemia stroke in mice.

Applications

Unspecified application

Species

Unspecified reactive species

Xincheng Song,Yang Lan,Shuang Lv,Yuye Wang,Leian Chen,Tao Lu,Fei Liu,Dantao Peng
View all publications

Product promise

We are committed to supporting your work with high-quality reagents, and we're here for you every step of the way. In the unlikely event that one of our products does not perform as expected, you're protected by our Product Promise.
For full details, please see our Terms & Conditions

Please note: All products are 'FOR RESEARCH USE ONLY. NOT FOR USE IN DIAGNOSTIC OR THERAPEUTIC PROCEDURES'.

For licensing inquiries, please contact partnerships@abcam.com