JavaScript is disabled in your browser. Please enable JavaScript to view this website.
AB284410

Anti-ASIC1 antibody [EPR25411-45] - BSA and Azide free

Be the first to review this product! Submit a review

|

(0 Publication)

Rabbit Recombinant Monoclonal ASIC1 antibody. Carrier free. Suitable for IP, WB and reacts with Mouse, Rat samples.

View Alternative Names

ACCN2, BNAC2, ASIC1, Acid-sensing ion channel 1, Brain sodium channel 2, BNaC2

4 Images
Western blot - Anti-ASIC1 antibody [EPR25411-45] - BSA and Azide free (AB284410)
  • WB

Lab

Western blot - Anti-ASIC1 antibody [EPR25411-45] - BSA and Azide free (AB284410)

This data was developed using ab284406, the same antibody clone in a different buffer formulation.

Blocking and diluting buffer and concentration : 5% NFDM/TBST

The observed MW are consistent with what has been described in the literature (PMID : 19218436, PMID : 26252376).

Exposure time : 3 minutes

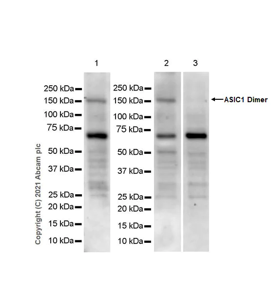
All lanes:

Western blot - Anti-ASIC1 antibody [EPR25411-45] (<a href='/en-us/products/primary-antibodies/asic1-antibody-epr25411-45-ab284406'>ab284406</a>) at 1/1000 dilution

Lane 1:

Mouse cerebellum tissue lysate at 20 µg

Lane 2:

Rat brain tissue lysate at 20 µg

Lane 3:

Rat cerebellum tissue lysate at 20 µg

Secondary

All lanes:

Goat Anti-Rabbit IgG, (H+L), Peroxidase conjugated (<a href='/en-us/products/secondary-antibodies/goat-rabbit-igg-h-l-hrp-ab97051'>ab97051</a>) at 1/100000 dilution

Predicted band size: 60 kDa

Observed band size: 150 kDa,70 kDa

false

Western blot - Anti-ASIC1 antibody [EPR25411-45] - BSA and Azide free (AB284410)
  • WB

Lab

Western blot - Anti-ASIC1 antibody [EPR25411-45] - BSA and Azide free (AB284410)

This data was developed using ab284406, the same antibody clone in a different buffer formulation.

Blocking and diluting buffer and concentration : The observed MW is consistent with what has been described in the literature (PMID : 19218436, PMID : 26252376).

Negative control : heart, kidney (PMID : 9037075).

Exposure time : 15 seconds

All lanes:

Western blot - Anti-ASIC1 antibody [EPR25411-45] (<a href='/en-us/products/primary-antibodies/asic1-antibody-epr25411-45-ab284406'>ab284406</a>) at 1/1000 dilution

Lane 1:

Mouse brain tissue lysate at 20 µg

Lane 2:

Mouse heart tissue lysate at 20 µg

Lane 3:

Mouse kidney tissue lysate at 20 µg

Secondary

All lanes:

Goat Anti-Rabbit IgG (HRP) with minimal cross-reactivity with human IgG at 1/2000 dilution

Predicted band size: 60 kDa

Observed band size: 70 kDa

false

Immunoprecipitation - Anti-ASIC1 antibody [EPR25411-45] - BSA and Azide free (AB284410)
  • IP

Lab

Immunoprecipitation - Anti-ASIC1 antibody [EPR25411-45] - BSA and Azide free (AB284410)

This data was developed using ab284406, the same antibody clone in a different buffer formulation.

Acid-sensing ion channel 1 was immunoprecipitated from 0.35 mg Mouse cerebellum tissue lysate 10 ug with ab284406 at 1/30 dilution (2ug in 0.35mg lysates). Western blot was performed on the immunoprecipitate using ab284406 at 1/1000 dilution. VeriBlot for IP secondary antibody(HRP)(ab131366) was used at 1/5000 dilution.

Lane 1 : Mouse cerebellum tissue lysate 10 ug

Lane 2 : ab284406 IP in Mouse cerebellum tissue lysate

Lane 3 : Rabbit monoclonal IgG (ab172730) instead of ab284406 in mouse cerebellum tissue lysate

Blocking and dilution buffer and concentration : 5% NFDM/TBST.

Exposure time : 41 seconds

All lanes:

Immunoprecipitation - Anti-ASIC1 antibody [EPR25411-45] (<a href='/en-us/products/primary-antibodies/asic1-antibody-epr25411-45-ab284406'>ab284406</a>)

Predicted band size: 60 kDa

Observed band size: 150 kDa,70 kDa

false

Immunoprecipitation - Anti-ASIC1 antibody [EPR25411-45] - BSA and Azide free (AB284410)
  • IP

Lab

Immunoprecipitation - Anti-ASIC1 antibody [EPR25411-45] - BSA and Azide free (AB284410)

This data was developed using ab284406, the same antibody clone in a different buffer formulation.

Acid-sensing ion channel 1 was immunoprecipitated from 0.35 mg Rat cerebellum tissue lysate 10 ug with ab284406 at 1/30 dilution (2ug in 0.35mg lysates). Western blot was performed on the immunoprecipitate using ab284406 at 1/1000 dilution. VeriBlot for IP secondary antibody(HRP)(ab131366) was used at 1/5000 dilution.

Lane 1 : Rat cerebellum tissue lysate 10 ug

Lane 2 : ab284406 IP in Rat cerebellum tissue lysate

Lane 3 : Rabbit monoclonal IgG (ab172730) instead of ab284406 in rat cerebellum tissue lysate

Blocking and dilution buffer and concentration : 5% NFDM/TBST.

Exposure time : 41 seconds

All lanes:

Immunoprecipitation - Anti-ASIC1 antibody [EPR25411-45] (<a href='/en-us/products/primary-antibodies/asic1-antibody-epr25411-45-ab284406'>ab284406</a>)

Predicted band size: 60 kDa

Observed band size: 150 kDa,70 kDa

false

Key facts

Host species

Rabbit

Clonality

Monoclonal

Clone number

EPR25411-45

Isotype

IgG

Carrier free

Yes

Reacts with

Rat, Mouse

Applications

IP, WB

applications

Immunogen

The exact immunogen used to generate this antibody is proprietary information.

Reactivity data

{ "title": "Reactivity Data", "filters": { "stats": ["", "Species", "Dilution Info", "Notes"], "tabs": { "all-applications": {"fullname" : "All Applications", "shortname": "All Applications"}, "ICCIF" : {"fullname" : "Immunocytochemistry/ Immunofluorescence", "shortname":"ICC/IF"}, "IP" : {"fullname" : "Immunoprecipitation", "shortname":"IP"}, "WB" : {"fullname" : "Western blot", "shortname":"WB"}, "IHCP" : {"fullname" : "Immunohistochemistry (Formalin/PFA-fixed paraffin-embedded sections)", "shortname":"IHC-P"}, "IHCFr" : {"fullname" : "Immunohistochemistry (Frozen sections)", "shortname":"IHC-Fr"} }, "product-promise": { "all": "all", "testedAndGuaranteed": "tested", "guaranteed": "expected", "predicted": "predicted", "notRecommended": "not-recommended" } }, "values": { "Human": { "ICCIF-species-checked": "notRecommended", "ICCIF-species-dilution-info": "", "ICCIF-species-notes": "<p></p>", "IP-species-checked": "notRecommended", "IP-species-dilution-info": "", "IP-species-notes": "", "WB-species-checked": "notRecommended", "WB-species-dilution-info": "", "WB-species-notes": "<p></p>", "IHCP-species-checked": "notRecommended", "IHCP-species-dilution-info": "", "IHCP-species-notes": "<p></p>", "IHCFr-species-checked": "notRecommended", "IHCFr-species-dilution-info": "", "IHCFr-species-notes": "" }, "Mouse": { "ICCIF-species-checked": "notRecommended", "ICCIF-species-dilution-info": "", "ICCIF-species-notes": "<p></p>", "IP-species-checked": "testedAndGuaranteed", "IP-species-dilution-info": "", "IP-species-notes": "<p></p>", "WB-species-checked": "testedAndGuaranteed", "WB-species-dilution-info": "", "WB-species-notes": "<p></p>", "IHCP-species-checked": "notRecommended", "IHCP-species-dilution-info": "", "IHCP-species-notes": "<p></p>", "IHCFr-species-checked": "notRecommended", "IHCFr-species-dilution-info": "", "IHCFr-species-notes": "<p></p>" }, "Rat": { "ICCIF-species-checked": "notRecommended", "ICCIF-species-dilution-info": "", "ICCIF-species-notes": "<p></p>", "IP-species-checked": "testedAndGuaranteed", "IP-species-dilution-info": "", "IP-species-notes": "<p></p>", "WB-species-checked": "testedAndGuaranteed", "WB-species-dilution-info": "", "WB-species-notes": "<p></p>", "IHCP-species-checked": "notRecommended", "IHCP-species-dilution-info": "", "IHCP-species-notes": "<p></p>", "IHCFr-species-checked": "notRecommended", "IHCFr-species-dilution-info": "", "IHCFr-species-notes": "<p></p>" } } }

Product details

ab284410 is the carrier-free version of ab284406.

Patented technology
Our RabMAb® technology is a patented hybridoma-based technology for making rabbit monoclonal antibodies. For details on our patents, please refer to RabMAb® patents.

What are the advantages of a recombinant monoclonal antibody?
This product is a recombinant monoclonal antibody, which offers several advantages including:

  • - High batch-to-batch consistency and reproducibility
  • - Improved sensitivity and specificity
  • - Long-term security of supply
  • - Animal-free batch production

For more information, read more on recombinant antibodies.

Conjugation ready
Our carrier-free antibodies are typically supplied in a PBS-only formulation, purified and free of BSA, sodium azide and glycerol. This conjugation-ready format is designed for use with fluorochromes, metal isotopes, oligonucleotides, and enzymes, which makes them ideal for antibody labelling, functional and cell-based assays, flow-based assays (e.g. mass cytometry) and Multiplex Imaging applications.

Use our conjugation kits for antibody conjugates that are ready-to-use in as little as 20 minutes with 1 minute hands-on-time and 100% antibody recovery: available for fluorescent dyes, HRP, biotin and gold.

Compatibility
This product is compatible with the Maxpar® Antibody Labeling Kit from Fluidigm, without the need for antibody preparation. Maxpar® is a trademark of Fluidigm Canada Inc.

Properties and storage information

Form
Liquid
Purification technique
Affinity purification Protein A
Storage buffer
pH: 7.2 - 7.4 Constituents: 100% PBS
Shipped at conditions
Blue Ice
Appropriate short-term storage conditions
+4°C
Appropriate long-term storage conditions
+4°C

Supplementary information

This supplementary information is collated from multiple sources and compiled automatically.

The ASIC1 or acid-sensing ion channel 1 is also known as ASIC or ACCN2. It is part of a group of proton-gated cation channels. ASIC1 has a molecular mass of approximately 60 kDa. This ion channel plays a role in the detection of acidosis where it mediates proton influx across cell membranes affecting changes in membrane potential. ASIC1 is expressed in neurons of the central and peripheral nervous systems with particular abundance in the brain. Its localization to regions such as the amygdala suggests a possible role in processing emotions and pain perception.
Biological function summary

This ion channel aids in neuronal response to pH drops serving as a sensor for acidification. The ASIC1 subunit can form homotrimers or heterotrimers with other ASIC subunits which impacts the ion conductance properties. This protein's activity affects synaptic plasticity and is involved in both short-term and long-term modulation of neuronal circuits. Changes in its activity can influence neurotransmission and has implications in neurological functionality.

Pathways

ASIC1 is part of the neurophysiological signaling pathways affecting synaptic transmission. It interacts with other proteins like ASIC2 and ASIC3 being implicated in the modulation of sensory perception and pain. Involvement in pathways like the pain-transducing signaling pathway places ASIC1 in a context where it can regulate nociceptive signals. It participates in ion flux alterations that contribute to neuronal excitability and synaptic strength.

ASIC1 has connections to neurodegenerative conditions and pain syndromes. It is implicated in the pathophysiology of disorders such as ischemia where acidosis occurs during stress and tissue damage and chronic pain conditions. ASIC1 interacts with proteins such as the NMDA receptor in the context of these diseases suggesting a role in excitotoxicity. Dysfunction or altered regulation of ASIC1 may exacerbate neurodegeneration or chronic pain symptoms highlighting its potential as a therapeutic target.

Product protocols

For this product, it's our understanding that no specific protocols are required. You can visit:

Target data

Isoform 2 and isoform 3 function as proton-gated sodium channels; they are activated by a drop of the extracellular pH and then become rapidly desensitized. The channel generates a biphasic current with a fast inactivating and a slow sustained phase. Has high selectivity for sodium ions and can also transport lithium ions with high efficiency. Isoform 2 can also transport potassium, but with lower efficiency. It is nearly impermeable to the larger rubidium and cesium ions. Isoform 3 can also transport calcium ions. Mediates glutamate-independent Ca(2+) entry into neurons upon acidosis. This Ca(2+) overloading is toxic for cortical neurons and may be in part responsible for ischemic brain injury. Heteromeric channel assembly seems to modulate channel properties. Functions as a postsynaptic proton receptor that influences intracellular Ca(2+) concentration and calmodulin-dependent protein kinase II phosphorylation and thereby the density of dendritic spines. Modulates activity in the circuits underlying innate fear.. Isoform 1 does not display proton-gated cation channel activity.
See full target information ASIC1

Product promise

We are committed to supporting your work with high-quality reagents, and we're here for you every step of the way. In the unlikely event that one of our products does not perform as expected, you're protected by our Product Promise.
For full details, please see our Terms & Conditions

Please note: All products are 'FOR RESEARCH USE ONLY. NOT FOR USE IN DIAGNOSTIC OR THERAPEUTIC PROCEDURES'.

For licensing inquiries, please contact partnerships@abcam.com